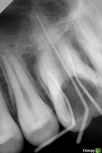
dr.Dre Опубликовано 20 августа, 2015 Поделиться Опубликовано 20 августа, 2015 (изменено) Добрый день пациент 14 лет,глубокий кариес,препарировал сразу провалился.Ситуация такая в дистальном канале очень сильная кальцификация максимум на эту длину прошел.Коллеги как поступить в даной ситуации?Спасибо Изменено 20 августа, 2015 пользователем dr.Dre Ссылка на комментарий
Бардо Опубликовано 20 августа, 2015 Поделиться Опубликовано 20 августа, 2015 Коллеги как поступить в даной ситуации Для начала прекращайте открытые зубы отправлять на снимок. Ссылка на комментарий
dr.Dre Опубликовано 20 августа, 2015 Автор Поделиться Опубликовано 20 августа, 2015 Для начала прекращайте открытые зубы отправлять на снимок. пациент держал рот открытый и не закрывалрентген у меня в кабинете Ссылка на комментарий
Паращук Роман Опубликовано 20 августа, 2015 Поделиться Опубликовано 20 августа, 2015 Подгибайте 8ку и пробуйте под ГХ без давления. Ссылка на комментарий
dr.Dre Опубликовано 20 августа, 2015 Автор Поделиться Опубликовано 20 августа, 2015 Подгибайте 8ку и пробуйте под ГХ без давления.вхожу 6 даже не цепляет Ссылка на комментарий
DOCTORARSEN Опубликовано 20 августа, 2015 Поделиться Опубликовано 20 августа, 2015 Добрый день пациент 14 лет,глубокий кариес,препарировал сразу провалился.Ситуация такая в дистальном канале очень сильная кальцификация максимум на эту длину прошел.Коллеги как поступить в даной ситуации?СпасибоКак правило, на такой глубине корневого канала облитераций не бывает. Думаю вы там сделали ступеньку. Вам нужно подгибать 8 или 10 К-File и попробовать пройти ступеньку. Ссылка на комментарий
dr.Dre Опубликовано 20 августа, 2015 Автор Поделиться Опубликовано 20 августа, 2015 Как правило, на такой глубине корневого канала облитераций не бывает. Думаю вы там сделали ступеньку. Вам нужно подгибать 8 или 10 К-File и попробовать пройти ступеньку.а как поступить если не пройду? Ссылка на комментарий
DOCTORARSEN Опубликовано 20 августа, 2015 Поделиться Опубликовано 20 августа, 2015 Надо попросить более опытного колегу помочь вам, если нет такого хорошенко промить и запломбировать корневой канал на эту глубину, время от времени делать контрольные снимки. Ссылка на комментарий
Паращук Роман Опубликовано 20 августа, 2015 Поделиться Опубликовано 20 августа, 2015 а как поступить если не пройду?будет глубокая экстерпация. Ссылка на комментарий
dr.Dre Опубликовано 20 августа, 2015 Автор Поделиться Опубликовано 20 августа, 2015 Надо попросить более опытного колегу помочь вам, если нет такого хорошенко промить и запломбировать корневой канал на эту глубину, время от времени делать контрольные снимки. огромное спасибо Ссылка на комментарий
Fred Опубликовано 20 августа, 2015 Поделиться Опубликовано 20 августа, 2015 В дистальном, или в МБ? По-моему, тут в МБ беда. 1 Ссылка на комментарий
St. Опубликовано 20 августа, 2015 Поделиться Опубликовано 20 августа, 2015 В 14 лет и на середине канала - скорее ступенька. Пробуйте обойти или показать колегам. Ссылка на комментарий
dr.Dre Опубликовано 20 августа, 2015 Автор Поделиться Опубликовано 20 августа, 2015 В дистальном, или в МБ? По-моему, тут в МБ беда.мб когда делал рентген задел гуттаперчевый штифт,та все нормально) Ссылка на комментарий
Fred Опубликовано 20 августа, 2015 Поделиться Опубликовано 20 августа, 2015 Понятно. Чтобы такого не случалось, нужно обрезать штифты делая снимок. Непройденный канал на такую длину как в ДБ в молодом возрасте при пульпите даст меньше вероятностей осложнений, чем попытки его во что бы то не стало найти. МБ2 поищите, тот у молодых широкий, он более вероятно даст беду, нежели пара мм в ДБ ... Ссылка на комментарий
Ker Опубликовано 20 августа, 2015 Поделиться Опубликовано 20 августа, 2015 (изменено) Возможно апекс куда-то вбок открывается, градусов так под 70-90.http://rghost.ru/8RBXn4YqC/image.png Изменено 20 августа, 2015 пользователем Ker Ссылка на комментарий
dr.Dre Опубликовано 20 августа, 2015 Автор Поделиться Опубликовано 20 августа, 2015 Понятно. Чтобы такого не случалось, нужно обрезать штифты делая снимок. Непройденный канал на такую длину как в ДБ в молодом возрасте при пульпите даст меньше вероятностей осложнений, чем попытки его во что бы то не стало найти. МБ2 поищите, тот у молодых широкий, он более вероятно даст беду, нежели пара мм в ДБ ...спасибо за совет,а Мб 2 не просматриваеться на снимке? Ссылка на комментарий
dr.Dre Опубликовано 20 августа, 2015 Автор Поделиться Опубликовано 20 августа, 2015 Возможно апекс куда-то вбок открывается, градусов так под 70-90. http://rghost.ru/8RBXn4YqC/image.pngспасибо попробую пройти Ссылка на комментарий
Ker Опубликовано 20 августа, 2015 Поделиться Опубликовано 20 августа, 2015 спасибо попробую пройтиТолько аккуратнее - можно сделать лишнее отверстие. Ссылка на комментарий
Fred Опубликовано 20 августа, 2015 Поделиться Опубликовано 20 августа, 2015 спасибо за совет,а Мб 2 не просматриваеться на снимке?Сложно.Зачем его там просматривать? Просто нужно знать, что МБ корень верхних моляров не круглый в поперечнике, а эллиптический, что подразумевает как минимум щелевидный канал, не округлый. А обычно это два канала с перешейками между ними. Рассматривайте МБ корень верхних моляров как медиальный корень нижних - там ведь вы заранее настроены на два канала. 1 Ссылка на комментарий
dr.Dre Опубликовано 20 августа, 2015 Автор Поделиться Опубликовано 20 августа, 2015 Только аккуратнее - можно сделать лишнее отверстие.спасибо,буду аккуратно Ссылка на комментарий
dr.Dre Опубликовано 20 августа, 2015 Автор Поделиться Опубликовано 20 августа, 2015 Сложно.Зачем его там просматривать? Просто нужно знать, что МБ корень верхних моляров не круглый в поперечнике, а эллиптический, что подразумевает как минимум щелевидный канал, не округлый. А обычно это два канала с перешейками между ними. Рассматривайте МБ корень верхних моляров как медиальный корень нижних - там ведь вы заранее настроены на два канала.спасибо за совет так и сделаю Ссылка на комментарий
Рекомендуемые сообщения
Для публикации сообщений создайте учётную запись или авторизуйтесь
Вы должны быть пользователем, чтобы оставить комментарий
Создать аккаунт
Зарегистрируйте новый аккаунт в нашем сообществе. Это очень просто!
Регистрация нового пользователяВойти
Уже есть аккаунт? Войти в систему.
Войти