dr.Dre Опубликовано 18 августа, 2015 Поделиться Опубликовано 18 августа, 2015 Добрый день,пациентка 30 лет,жалобы на ночные боли 45 зубе,запломбировал канал ноет уже неделю,назначал НВПС,не помогло,говорит зуб реагирует на холодное.На 44 разрежение костной ткани может ето он? Ссылка на комментарий
Ker Опубликовано 18 августа, 2015 Поделиться Опубликовано 18 августа, 2015 (изменено) Больше претендентов на пульпит\кариес нет?44 давно лечен?Причина точно в 45? Апикальная часть парочки выглядит сомнительно Изменено 18 августа, 2015 пользователем Ker 1 Ссылка на комментарий
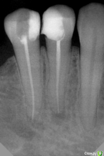
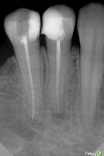
Паращук Роман Опубликовано 18 августа, 2015 Поделиться Опубликовано 18 августа, 2015 Недостаточная мех обработка корневых каналов,неясен протокол ирригации. Может поп канал в 44. http://s019.radikal.ru/i616/1508/91/c1609413d3a1.jpg Ссылка на комментарий
dr.Dre Опубликовано 18 августа, 2015 Автор Поделиться Опубликовано 18 августа, 2015 Больше претендентов на пульпит\кариес нет?44 давно лечен?Причина точно в 45? Апикальная часть парочки выглядит сомнительно44 незнаю не я проводил лечение,да причина в 45. Ссылка на комментарий
dr.Dre Опубликовано 18 августа, 2015 Автор Поделиться Опубликовано 18 августа, 2015 44 незнаю не я проводил лечение,да причина в 45.Больше претендентов нету Ссылка на комментарий
dr.Dre Опубликовано 18 августа, 2015 Автор Поделиться Опубликовано 18 августа, 2015 Недостаточная мех обработка корневых каналов,неясен протокол ирригации. Может поп канал в 44. http://s019.radikal.ru/i616/1508/91/c1609413d3a1.jpgконечная обработка 35/4,ирригация Гипохлорит,конечная хлоргексидин 0,05%,канал сушил спиртом Ссылка на комментарий
Ker Опубликовано 18 августа, 2015 Поделиться Опубликовано 18 августа, 2015 (изменено) Больше претендентов нету Советую проверить еще разок, на всякий случай. Если нету - значит где-то косяк. Изменено 18 августа, 2015 пользователем Ker 2 Ссылка на комментарий
dr.Dre Опубликовано 18 августа, 2015 Автор Поделиться Опубликовано 18 августа, 2015 Недостаточная мех обработка корневых каналов,неясен протокол ирригации. Может поп канал в 44. http://s019.radikal.ru/i616/1508/91/c1609413d3a1.jpgдумаете 2 канальный? Ссылка на комментарий
dr.Dre Опубликовано 18 августа, 2015 Автор Поделиться Опубликовано 18 августа, 2015 Значит где-то косяк.нужно перепломбировать? Ссылка на комментарий
Ker Опубликовано 18 августа, 2015 Поделиться Опубликовано 18 августа, 2015 нужно перепломбироватьТоропиться не советую, но если это именно 4.5, и на боль спад не пойдет то возможно.Где то периодонт инструментом травмировали, возможно, или гипохлорид обжег, либо инфекция попала тут можно долго гадать. Чувствительность от холодного может другой зуб давать, выше уже сказано. В общем смотрите сами по ситуации, проверьте еще раз всё. Ссылка на комментарий
dr.Dre Опубликовано 18 августа, 2015 Автор Поделиться Опубликовано 18 августа, 2015 Торопиться не советую, но если это именно 4.5, и на боль спад не пойдет то возможно.Где то периодонт инструментом травмировали, возможно, или гипохлорид обжег, либо инфекция попала тут можно долго гадать. Чувствительность от холодного может другой зуб давать, выше уже сказано. В общем смотрите сами по ситуации, проверьте еще раз всё.спасибо за ответ) Ссылка на комментарий
Паращук Роман Опубликовано 18 августа, 2015 Поделиться Опубликовано 18 августа, 2015 35.04? Точно? Дезобтурируйте,расширяйте и Са. Ссылка на комментарий
Бардо Опубликовано 18 августа, 2015 Поделиться Опубликовано 18 августа, 2015 (изменено) конечная обработка 35/4 блин, 35.04 он на снимке не так выглядит. Что-то у вам или с синструментацией или с обтурацией. Это у вас один штифт в канале, да? Изменено 18 августа, 2015 пользователем Бардо 3 Ссылка на комментарий
sydnik Опубликовано 18 августа, 2015 Поделиться Опубликовано 18 августа, 2015 (изменено) да там один штифт в канале, а вокруг куча г...и зачем вам эта вода (хлоргесидин 0.05%) Изменено 18 августа, 2015 пользователем sydnik Ссылка на комментарий
dr.Dre Опубликовано 19 августа, 2015 Автор Поделиться Опубликовано 19 августа, 2015 блин, 35.04 он на снимке не так выглядит. Что-то у вам или с синструментацией или с обтурацией. Это у вас один штифт в канале, да?штифт один,метод центрального штифта,латеральной конденсацией не владею Ссылка на комментарий
dr.Dre Опубликовано 19 августа, 2015 Автор Поделиться Опубликовано 19 августа, 2015 да там один штифт в канале, а вокруг куча г...и зачем вам эта вода (хлоргесидин 0.05%)латеральной конденсацией не владею Ссылка на комментарий
Ker Опубликовано 19 августа, 2015 Поделиться Опубликовано 19 августа, 2015 (изменено) латеральной конденсацией не владею А зря. Ничего сложного там нет, апикальную часть кстати, недостаточно расширяете.) П.С. не в обиду, надеюсь, только дабы в следующий раз было лучше Изменено 19 августа, 2015 пользователем Ker Ссылка на комментарий
dr.Dre Опубликовано 19 августа, 2015 Автор Поделиться Опубликовано 19 августа, 2015 (изменено) А зря. Ничего сложного там нет, апикальную часть кстати, недостаточно расширяете.) П.С. не в обиду, надеюсь, только дабы в следующий раз было лучшеспасибо за критику,я наоборот рад,есть к чему стремиться,а вы б мне не пояснили как правильно делать латеральную конденсацию,какие инструменты лутше использовать ,какие нюансы,как расширять апикальную часть буду очень благодарен,учиться есть огромное желание,пока по курсам нет возможности ездить Изменено 19 августа, 2015 пользователем dr.Dre Ссылка на комментарий
Ker Опубликовано 19 августа, 2015 Поделиться Опубликовано 19 августа, 2015 спасибо за критику,я наоборот рад,есть к чему стремиться,а вы б мне не пояснили как правильно делать латеральную конденсацию,какие инструменты лутше использовать ,какие нюансы,как расширять апикальную часть буду очень благодарен,учиться есть огромное желание,пока по курсам нет возможности ездитьЛитературы полно. Набор спредеров возьми, и штифты гуттаперчевые нужны разных размеров. Сушишь канал, пасту туда, мастер штифт (самый толстый влезший на рабочую длинну) берешь тонкий спредер, обмакиваешь в пасту и загоняешь в канал. Прижимаешь мастер штифт. Крутишь спредер вдоль оси чтобы легче выходил и вытаскиваешь. Вставляешь в образовавшуюся канавку новый штифт гуттаперчевый, обмазав его в пасте. Дальше опять спредер, потом новый штифт. И так пока не утрамбуешь так пока спредер не перестанет влезать. Расширять апекс как? Рабочу длинну определяешь, и отсупив миллиметр-пол, создаешь апикальный упор - место, в которое инстумент упирается, когда его вводишь канал. Это предохраняет периодонт от травмы (инстумент не выведешь, пасту и ирриганты тоже) и расширяешь канал до апикального упора. В искривленных каналах осторожнее, можно уступ нарезать Ссылка на комментарий
dr.Dre Опубликовано 19 августа, 2015 Автор Поделиться Опубликовано 19 августа, 2015 Литературы полно. Набор спредеров возьми, и штифты гуттаперчевые нужны разных размеров. Сушишь канал, пасту туда, мастер штифт (самый толстый влезший на рабочую длинну) берешь тонкий спредер, обмакиваешь в пасту и загоняешь в канал. Прижимаешь мастер штифт. Крутишь спредер вдоль оси чтобы легче выходил и вытаскиваешь. Вставляешь в образовавшуюся канавку новый штифт гуттаперчевый, обмазав его в пасте. Дальше опять спредер, потом новый штифт. И так пока не утрамбуешь так пока спредер не перестанет влезать. Расширять апекс как? Рабочу длинну определяешь, и отсупив миллиметр-пол, создаешь апикальный упор - место, в которое инстумент упирается, когда его вводишь канал. Это предохраняет периодонт от травмы (инстумент не выведешь, пасту и ирриганты тоже) и расширяешь канал до апикального упора. В искривленных каналах осторожнее, можно уступ нарезатьОгромное спасибо,а спредеры какие лутше взять? Ссылка на комментарий
Ker Опубликовано 19 августа, 2015 Поделиться Опубликовано 19 августа, 2015 Огромное спасибо,а спредеры какие лутше взять?Ну у меня обычные стальные. Честно говоря в фирмах не разбираюсь. Есть еще никель титановые, но не думаю что с них есть какой то толк. И вообще гугл ответит лучше чем я) Ссылка на комментарий
dr.Dre Опубликовано 19 августа, 2015 Автор Поделиться Опубликовано 19 августа, 2015 Ну у меня обычные стальные. Честно говоря в фирмах не разбираюсь. Есть еще никель титановые, но не думаю что с них есть какой то толк. И вообще гугл ответит лучше чем я)Спасибо вам Ссылка на комментарий
Бардо Опубликовано 20 августа, 2015 Поделиться Опубликовано 20 августа, 2015 штифт один,метод центрального штифта,латеральной конденсацией не владею Аминь http://www.youtube.com/results?search_query=%D0%BB%D0%B0%D1%82%D0%B5%D1%80%D0%B0%D0%BB%D1%8C%D0%BD%D0%B0%D1%8F+%D0%BA%D0%BE%D0%BD%D0%B4%D0%B5%D0%BD%D1%81%D0%B0%D1%86%D0%B8%D1%8F Ссылка на комментарий
Fred Опубликовано 20 августа, 2015 Поделиться Опубликовано 20 августа, 2015 Литературы полно. Набор спредеров возьми, и штифты гуттаперчевые нужны разных размеров. Сушишь канал, пасту туда, мастер штифт (самый толстый влезший на рабочую длинну) берешь тонкий спредер, обмакиваешь в пасту и загоняешь в канал. Прижимаешь мастер штифт. Крутишь спредер вдоль оси чтобы легче выходил и вытаскиваешь. Вставляешь в образовавшуюся канавку новый штифт гуттаперчевый, обмазав его в пасте. Дальше опять спредер, потом новый штифт. И так пока не утрамбуешь так пока спредер не перестанет влезать. Расширять апекс как? Рабочу длинну определяешь, и отсупив миллиметр-пол, создаешь апикальный упор - место, в которое инстумент упирается, когда его вводишь канал. Это предохраняет периодонт от травмы (инстумент не выведешь, пасту и ирриганты тоже) и расширяешь канал до апикального упора. В искривленных каналах осторожнее, можно уступ нарезатьНее, латералка - это зло! Однозначно лучше один хорошо подобранный мастерштифт. Ссылка на комментарий
Бардо Опубликовано 20 августа, 2015 Поделиться Опубликовано 20 августа, 2015 Однозначно лучше один хорошо подобранный мастерштифт. поди его подбери в сильно овальном канале с 40 размером в апексе ( 1 Ссылка на комментарий
Рекомендуемые сообщения
Для публикации сообщений создайте учётную запись или авторизуйтесь
Вы должны быть пользователем, чтобы оставить комментарий
Создать аккаунт
Зарегистрируйте новый аккаунт в нашем сообществе. Это очень просто!
Регистрация нового пользователяВойти
Уже есть аккаунт? Войти в систему.
Войти