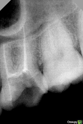
dr.Dre Опубликовано 13 августа, 2015 Поделиться Опубликовано 13 августа, 2015 Добрый день верхний 6 зуб,запломбировал 3 канала а на рентгене видны 2,может такое быть что МВ1 слился з небным,только начинаю работать Ссылка на комментарий
Бардо Опубликовано 13 августа, 2015 Поделиться Опубликовано 13 августа, 2015 может такое быть что МВ1 слился з небным У вас, например, так и произошло. Только дистальный, а не мб1 все же наверное. Чем пломбировали, как обрабатывали? Снимок без времяшки делали что-ли? Ссылка на комментарий
dr.Dre Опубликовано 13 августа, 2015 Автор Поделиться Опубликовано 13 августа, 2015 У вас, например, так и произошло. Только дистальный, а не мб1 все же наверное. Чем пломбировали, как обрабатывали? Снимок без времяшки делали что-ли?Извинете ошибся,ендомотор финишный vdw файлами 30/5,руками дорабатывал до 35, пломбировал акросилом метод центрального штифта,без времянки.Потом закрыл Ссылка на комментарий
Бардо Опубликовано 13 августа, 2015 Поделиться Опубликовано 13 августа, 2015 Хлорка/коффердам? Ссылка на комментарий
dr.Dre Опубликовано 13 августа, 2015 Автор Поделиться Опубликовано 13 августа, 2015 Хлорка/коффердам?Да)все по протоколу Ссылка на комментарий
Гарриевич Опубликовано 13 августа, 2015 Поделиться Опубликовано 13 августа, 2015 Во всех каналах по одному штифту? 1 Ссылка на комментарий
diesel87 Опубликовано 13 августа, 2015 Поделиться Опубликовано 13 августа, 2015 Метод одного штифта не по протоколу, хотя смотря какой протокол у вас. На снимке же четко видно периодонталку обоих корней, маленький дистальный на большом небном. 1 Ссылка на комментарий
dr.Dre Опубликовано 13 августа, 2015 Автор Поделиться Опубликовано 13 августа, 2015 Во всех каналах по одному штифту?Да Ссылка на комментарий
dr.Dre Опубликовано 13 августа, 2015 Автор Поделиться Опубликовано 13 августа, 2015 Метод одного штифта не по протоколу, хотя смотря какой протокол у вас. На снимке же четко видно периодонталку обоих корней, маленький дистальный на большом небном.Вы скажите пожалуйста там все каналы запломбированы? Ссылка на комментарий
dr.Dre Опубликовано 13 августа, 2015 Автор Поделиться Опубликовано 13 августа, 2015 Вы скажите пожалуйста там все каналы запломбированы?Они просто на снимке наложены друг на друга верно? Ссылка на комментарий
diesel87 Опубликовано 13 августа, 2015 Поделиться Опубликовано 13 августа, 2015 Вы скажите пожалуйста там все каналы запломбированы?3 из 4-ех 3 Ссылка на комментарий
dr.Dre Опубликовано 13 августа, 2015 Автор Поделиться Опубликовано 13 августа, 2015 3 из 4-ех4 не нашел Ссылка на комментарий
diesel87 Опубликовано 13 августа, 2015 Поделиться Опубликовано 13 августа, 2015 4 не нашел Есть еще снимки в других проекциях? Ссылка на комментарий
dr.Dre Опубликовано 14 августа, 2015 Автор Поделиться Опубликовано 14 августа, 2015 Есть еще снимки в других проекциях?Нет) Ссылка на комментарий
St. Опубликовано 14 августа, 2015 Поделиться Опубликовано 14 августа, 2015 3 из 4-ехДа ладно, может он в 10 или сколько там % счастливых 3-канальных входит. Ссылка на комментарий
St. Опубликовано 14 августа, 2015 Поделиться Опубликовано 14 августа, 2015 Они просто на снимке наложены друг на друга верно? Да, старайтесь делать снимки, чтобы было видно все каналы. Можно делать несколько снимков.Метод одного штифта это плохо , поскольку в большинстве случаев так не получается герметично и полностью заполнить канал. Переходите лучше на латеральную компакцию. Ссылка на комментарий
diesel87 Опубликовано 14 августа, 2015 Поделиться Опубликовано 14 августа, 2015 Да ладно, может он в 10 или сколько там % счастливых 3-канальных входит.Так mb2 четко просматривается на снимке, к бабке не ходи. Ссылка на комментарий
St. Опубликовано 15 августа, 2015 Поделиться Опубликовано 15 августа, 2015 На этом снимке ничего толком не вижу. Может старость Ссылка на комментарий
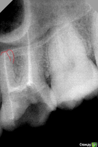
DmitrySH Опубликовано 15 августа, 2015 Поделиться Опубликовано 15 августа, 2015 Причем с отдельным апексом Ссылка на комментарий
St. Опубликовано 15 августа, 2015 Поделиться Опубликовано 15 августа, 2015 если те лень, тыкните, где? Ссылка на комментарий
Бардо Опубликовано 16 августа, 2015 Поделиться Опубликовано 16 августа, 2015 если те лень, тыкните, где? 2 Ссылка на комментарий
St. Опубликовано 16 августа, 2015 Поделиться Опубликовано 16 августа, 2015 Увидела. Спасибо! Ссылка на комментарий
Рекомендуемые сообщения
Для публикации сообщений создайте учётную запись или авторизуйтесь
Вы должны быть пользователем, чтобы оставить комментарий
Создать аккаунт
Зарегистрируйте новый аккаунт в нашем сообществе. Это очень просто!
Регистрация нового пользователяВойти
Уже есть аккаунт? Войти в систему.
Войти