Trit Опубликовано 1 августа, 2015 Поделиться Опубликовано 1 августа, 2015 Добрый день!Подскажите, пожалуйста, по ситуации.Планируем делать имплантацию на 6 и 7 зубы вверху слева (если смотреть на человека). Зубы удалили порядка 2 лет назад. По словам врачей толщина кости составляет 9,5-10мм., т.е. синус лифтинг не нужен. Серьезно обдумываем по 2 клиникам. Хотим ставить Альфа Био, т.к. побюджетнее. В 1 клинике предложили Alfa Bio и Nobel. При этом врач сказал, что поставит по Альфа Био имплантант потолще, но покороче, т.к. 6,5мм кости плотная, а остальное рыхловатое. Коронки поставят сочлененные, а не раздельные (т.е. не 2 отдельные). Про необх-ть анализов крови не говорили, просто предложили записаться, если всё решим.Во 2 клинике врач предложил Alfa bio или Astra tech. При этом по Альфе будет брать имплантант порядка 10мм. и делать некоторый уклон. По Астре такого он не говорил и что он бы лучше. Получается, что размерный ряд у Астры лучше подходи, хотя странно, что у 1 врача проблем с размерностью не было (да и до этого еще один врач также не говорил о проблемах с Альфой в нашем случае). Хирургический шаблон он не применяет (большой опыт, а шаблоны для начинающих), вопрос про контроль момента затяжки вконец обидел "профессионализм" врача, и он неохотно стал общаться. Коронки он также делает сам. Анализы крови просил принести (какие точно, пока у него не спрашивал).Разница в финальной цене в пользу 2 клиники 19 т.р. за 2 зуба.Хотел уточнить: на Ваш взгляд какая клиника может быть предпочтительнее, применяются ли сейчас на практике хирургические шаблоны и контроль затяжки спец.инструментом (в 1 клинике об этом не спрашивал, т.к. про это прочитал позже только на этом сайте) или возможно действительно "перегибаю палку". Уже запутался во всех этих выборах (хочется, что всё было нормально и не поиметь дырку в гайморовой пазухе или что-то иное неприятное)...Заранее большое спасибо.p.s. Сам время от времени имею дело с физ.лицами (не врач) и конечно задаются вопросы (что делается дальше, надо ли это здесь записать и т.п.), но понимаю, что человек имеет право понимать что делается за свои деньги. Ссылка на комментарий
diesel87 Опубликовано 1 августа, 2015 Поделиться Опубликовано 1 августа, 2015 Здравствуйте, у вас есть снимки на руках, выложите сюда пожалуйста, разговор будет более предметный тогда. Ссылка на комментарий
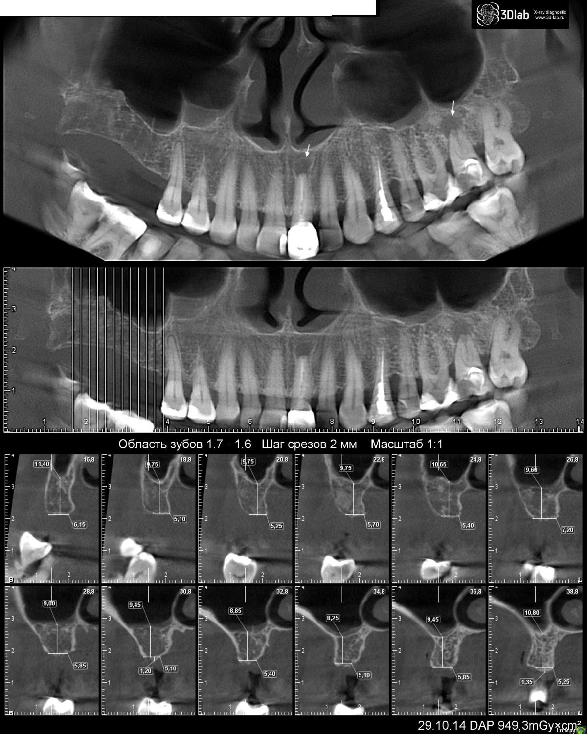
Trit Опубликовано 1 августа, 2015 Автор Поделиться Опубликовано 1 августа, 2015 Здравствуйте!Да, снимок есть, прилагаю. Ссылка на комментарий
red_butler Опубликовано 1 августа, 2015 Поделиться Опубликовано 1 августа, 2015 Замеры на снимке не корректные, условия для имплантации хорошие. Шаблон не обязателен. Если возможности позволяют - ставьте астру Ссылка на комментарий
Trit Опубликовано 1 августа, 2015 Автор Поделиться Опубликовано 1 августа, 2015 Замеры на снимке не корректные, условия для имплантации хорошие. Шаблон не обязателен. Если возможности позволяют - ставьте аструСпасибо большое за мнение. Я про шаблон на данном сайте прочитал, потому и у врача спрашивал. Видимо он обиделся немного... Astra выходит дороже на 40т.р. за оба зуба, поэтому хотел обойтись Альфа Био.А касательно того, что при применении Альфы надо будет "заходить под углом" это так оно и есть (т.е. используется более тонкий имплантант) или был прав врач, рекомендовавший применение более короткого, но потолще?p.s. извините, моя ошибка за первичное описание ситуации не в своей теме. Ссылка на комментарий
red_butler Опубликовано 1 августа, 2015 Поделиться Опубликовано 1 августа, 2015 Могу только предположить, что речь о использовании имплантов разной длины. У астры ходовая длина 9 мм, у альфы 10, высота до дна синуса около 9 мм, 10 мм имплант пройдет либо с небольшим синуслифтом или с постановкой под углом. Ссылка на комментарий
Trit Опубликовано 1 августа, 2015 Автор Поделиться Опубликовано 1 августа, 2015 Да, видимо размерный ряд по длине у разных фирм отличается. Синус лифтинг не будем делать, врач сказал, что не надо. Но в описываемой ситуации в 1 клинике мне врач как раз говорил, что если ставить более короткий, но толстый имплантант Альфы, то синус не нужен (но коронка сдвоенная), а если хотим более эстетично с раздельными коронками, тогда применяем более длинный и тонкий имплантант, но тогда нужен синус лифтинг. Во второй же клинике (где как раз предложили сделать 10мм альфу под углом) просто озвучили два варианта с Астрой и Альфой. Вот и думай кому верить...Кроме того, если делать под углом, не будет ли из-за этого некорректно распределяться нагрузка при жевании и соседние корни оказывать воздействие на имплантант (выталкивать, надавливать и т.п.) ? Ссылка на комментарий
stommm Опубликовано 1 августа, 2015 Поделиться Опубликовано 1 августа, 2015 Вы кт более 9 месяцев назад делали, за это время расстояние до пазухи могло и уменьшиться. Если размеры костной ткани актуальные, то имхо лучше астра 8-9 мм, но установленные в оптимальную для протезирования позицию. Ссылка на комментарий
Trit Опубликовано 2 августа, 2015 Автор Поделиться Опубликовано 2 августа, 2015 Согласен, кость могла немного рассосаться. Хотя зубы удалялись около 3 лет назад или чуть ранее, и за это время кость, слава Богу, сильно не уменьшилась по толщине. Соответственно за 9 мес. координальный изменений надеюсь также не случилось. Получается, что установка под углом всё же неоптимальное положение и в дальнейшем подозреваю с этим могут быть проблемы.Тогда мне не совсем понятно, зачем пытаться ставить имплантант в заведомо неоптимальное положение (под углом, который по вертикали будет около 26 градусов, если сравнивать имплант 9мм. прямо и 10мм. под углом), когда можно или однозначно рекомендовать пациенту использование имплантант от Астры (чтобы встал прямо), или взять имплантант более толстый, но покороче, от Альфа Био (собственно то, что предлагал врач в первой клинике) ?p.s. На иной консультации врач говорил, что толщина кости около 10 (если правильно помню, ну может на 1мм. поболее), но при этом он также предлагал использовать Альфа Био как раз на длину 9,5мм. С цифрами толщин в данном случае могу немного путаться. Ссылка на комментарий
Mane Опубликовано 2 августа, 2015 Поделиться Опубликовано 2 августа, 2015 возможно действительно "перегибаю палку" так и есть Ссылка на комментарий
Mane Опубликовано 2 августа, 2015 Поделиться Опубликовано 2 августа, 2015 что человек имеет право понимать что делается за свои деньги. понимать - это вам делают зубыболее глубинно -вам устанавливают имплантатыеще глубже - туда вам лезть не стоит и дело вовсе не в деньгах, вы должны понимать не потому что платите деньги, а потому что занимаются ВАШИМ здоровьем. ТОЛЬКО по этому Ссылка на комментарий
AlexanderGudkov Опубликовано 2 августа, 2015 Поделиться Опубликовано 2 августа, 2015 Какие углы? У вас почти идеальные условия для имплантации. Сюда 8 или 9 мм ставить без всяких углов, наклонов и пр. Ссылка на комментарий
Trit Опубликовано 2 августа, 2015 Автор Поделиться Опубликовано 2 августа, 2015 Какие углы? У вас почти идеальные условия для имплантации. Сюда 8 или 9 мм ставить без всяких углов, наклонов и пр.Так вот видимо у Альфа Био размерный ряд не имеет имплантантов такой длины. По другому мнению кость только порядка 6,5 мм твердая, далее рыхловатая. Вот пытаюсь понять и посоветоваться. Ссылка на комментарий
AlexanderGudkov Опубликовано 2 августа, 2015 Поделиться Опубликовано 2 августа, 2015 Если бы я выбирал между астрой и альфой-биой, последнюю бы не выбрал) 1 Ссылка на комментарий
Доктор Хаус Опубликовано 2 августа, 2015 Поделиться Опубликовано 2 августа, 2015 На мой взгляд лутще ставить имплантаты паралельно оси будущего зуба. 1 Ссылка на комментарий
Trit Опубликовано 3 августа, 2015 Автор Поделиться Опубликовано 3 августа, 2015 Если бы я выбирал между астрой и альфой-биой, последнюю бы не выбрал)Я понимаю, что Астра считается скажем так "более премиальной", но тут стоит вопрос балансировки бюджета на весь проект, а Астра выходит на 40т.р. дороже. А в чем-то есть принципиальное отличие Астры от Альфа-Био (конструктив, используемые материалы и т.п.), которое существенное для данной ситуации? Исходя из ваших отзывов для себя уяснил, что лучше не ставить имплантат под углом и в данном случае использовать Астру, т.к. размерный ряд производителя позволяет подобрать оптимальный размер (9мм).Хотел уточнить: 1. Нет ли у Альфа-Био чего-то подходящего в размерном ряду для данного случая, например, применить имплантант более толстый, но покороче, от Альфа Био ?2. При имплантации под углом, не будет ли из-за этого некорректно распределяться нагрузка при жевании и соседние корни оказывать воздействие на имплантант (выталкивать, надавливать и т.п.), либо это неким образом возможно компенсировать коронкой спец.формы ?Спасибо Ссылка на комментарий
Доктор Хаус Опубликовано 3 августа, 2015 Поделиться Опубликовано 3 августа, 2015 У альфы есть и 6 на 6, и восьми миллиметровые есть . Ссылка на комментарий
Trit Опубликовано 12 августа, 2015 Автор Поделиться Опубликовано 12 августа, 2015 Приветствую!Собственно пока решили остановиться на следующем.Ставить на оба зуба Альфа Био короткие и толстые имплантанты (чтобы без "вхождения" в пазуху носа) + индивид.абатмент + металлокерамич.коронка ("сдвоенная" на оба зуба). Циркониевая коронка дороговато, да и смысла в ней нет, т.к. ставим на жевательные зубы. Все это выполняется под ходу роста зуба (т.е. не под углом). К чему еще надо быть готовым: со временем убыль кости до 2мм, надеюсь, что наращивание поможет (если не секрет, какой диапозон цен на эту процедуру? Если дорого, может тогда есть смысл подкопить и поставить Астру чтобы не было убыли кости?).Поправьте меня, если не прав.Астру на форуме хвалят конечно, в т.ч. ввиду малой убыли кости, но надеюсь, что Альфа не настолько плохая система в сравнении с Астрой. Ссылка на комментарий
red_butler Опубликовано 12 августа, 2015 Поделиться Опубликовано 12 августа, 2015 может тогда есть смысл подкопить и поставить Астру чтобы не было убыли кости?). да 2 Ссылка на комментарий
Доктор Хаус Опубликовано 12 августа, 2015 Поделиться Опубликовано 12 августа, 2015 Наращивать кость возле установленного имплантанта очень сложно , и будет дороже синус лифтинга и астры , в моей практики. Ссылка на комментарий
Trit Опубликовано 14 августа, 2015 Автор Поделиться Опубликовано 14 августа, 2015 Вот честно, тогда не пойму, почему только у Астры и Штрауман (по-моему также и у этой компании) практически нет убыли кости? А в отношении того же Нобеля, который то ли из-за маркетинга, то ли из-за иных уникальных технологич.решений, позиционирующийся как минимум не хуже Астры, такого не говорят. Да и Альфа Био, имеющая серьезный опыт в сфере разработки и производства имплантатов и более старейшая, чем Астра Тек, также до сих пор не решила проблему убыли кости. В моём понимании, это достаточная проблема для пациента, которая возникает в процессе эксплуатации и которую, по-хорошему, надо будет каким-то образом решать (видимо только наращиванием кости, иначе ходить с оголенным имплантатом и "ловить" бактерии с медицинской точки зрения нецелесообразно).p.s. Правильно понимаю, что применение индивид.абатмента не решит эту проблему?p.s.s. Наращивать кость возле установленного имплантанта очень сложно , и будет дороже синус лифтинга и астры , в моей практики. Хочется избежать синус-лифтинга для данной ситуации, т.к., как говорили уважаемые доктора, кости пока хватает и ситуация благоприятная для имплантации, а закрытый синус это всё же доп.деньги, травматичность процесса, вмешательство в пазуху носа и приживляемость наращиваемой кости. Ссылка на комментарий
Trit Опубликовано 18 августа, 2015 Автор Поделиться Опубликовано 18 августа, 2015 Всем доброго дня!Не могли бы прояснить вопросы, что я писал выше про разную степень убыли кости у разных производителей имплантатов и применение индивид.абатмента для решения этой проблемы? Ссылка на комментарий
Bier Опубликовано 26 августа, 2015 Поделиться Опубликовано 26 августа, 2015 Убыль кости не прогрессирующая в большинстве случаев и клинического значения не имеет.инд абатмент не решает проблему Ссылка на комментарий
колесников Опубликовано 26 августа, 2015 Поделиться Опубликовано 26 августа, 2015 (изменено) Убыль кости не прогрессирующая в большинстве случаев и клинического значения не имеет.инд абатмент не решает проблемуя бы так категорично не утверждал. Изменено 26 августа, 2015 пользователем Bier модерация Ссылка на комментарий
Bier Опубликовано 26 августа, 2015 Поделиться Опубликовано 26 августа, 2015 я бы так категорично не утверждал.Коллега, раздел для пациентов не место для профессиональных споров. Доказывать свою точку зрения в медицине принято при помощи независимых двойных слепых рандоминизированных исследований, а не при помощи единичной рентгенограммы. 1 Ссылка на комментарий
Рекомендуемые сообщения
Для публикации сообщений создайте учётную запись или авторизуйтесь
Вы должны быть пользователем, чтобы оставить комментарий
Создать аккаунт
Зарегистрируйте новый аккаунт в нашем сообществе. Это очень просто!
Регистрация нового пользователяВойти
Уже есть аккаунт? Войти в систему.
Войти