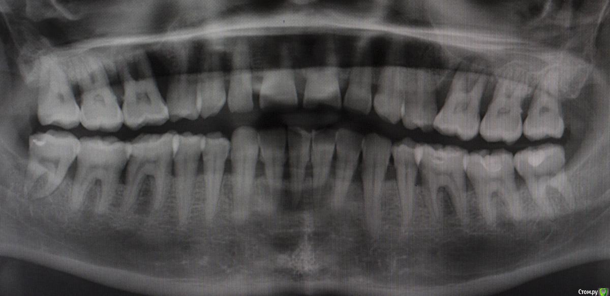
DmitrySH Опубликовано 28 июля, 2015 Поделиться Опубликовано 28 июля, 2015 (изменено) Такой вот сюрприз от знакомого, у которого на весь рот пара пломб да одна коронка. С гигиеной только плохо, как я с ним не боролся. Не могу понять этиологию. http://s008.radikal.ru/i303/1507/f8/dcbbdfee70a4.jpg Изменено 28 июля, 2015 пользователем dmitrySH Ссылка на комментарий
diesel87 Опубликовано 28 июля, 2015 Поделиться Опубликовано 28 июля, 2015 А для чего кт делали? Ссылка на комментарий
АнтонТЛТ Опубликовано 28 июля, 2015 Поделиться Опубликовано 28 июля, 2015 Да там как-будто кариозная полость сообщается с пульпарной камерой Ссылка на комментарий
diesel87 Опубликовано 28 июля, 2015 Поделиться Опубликовано 28 июля, 2015 Да там как-будто кариозная полость сообщается с пульпарной камеройХочешь сказать тупо прохлопанный периодонтит?) Ссылка на комментарий
АнтонТЛТ Опубликовано 28 июля, 2015 Поделиться Опубликовано 28 июля, 2015 Хочешь сказать тупо прохлопанный периодонтит?)Ну по данным срезам похоже, как на самом деле хз)) Ссылка на комментарий
diesel87 Опубликовано 28 июля, 2015 Поделиться Опубликовано 28 июля, 2015 Ну по данным срезам похоже, как на самом деле хз))И от него еще и гайморит?) Ссылка на комментарий
DmitrySH Опубликовано 28 июля, 2015 Автор Поделиться Опубликовано 28 июля, 2015 Визуально кариеса нет. Пациент из той группы, у которой зубы могут быть покрыты кучей налета, все желтого цвета, но кариесу мало подвержены.КТ делал, хотел понять что с костью вокруг зуба, что с пазухой. Небно абсцесс, все мягкое, отечное. Изначально думал, что только пародонтальная проблема. С гайморитом отдельно надо разбираться, с другой стороны в пазухе вообще просвета нет. Ссылка на комментарий
Sampson Опубликовано 29 июля, 2015 Поделиться Опубликовано 29 июля, 2015 (изменено) Зуб на удаление и диагностическое вскрытие. Пациент к ЛОРуФото зуба хочется увидеть. Пульпит может быть следствием пародонтита из-за оголения боковых ответвлений. Изменено 29 июля, 2015 пользователем Sampson Ссылка на комментарий
Гарриевич Опубликовано 29 июля, 2015 Поделиться Опубликовано 29 июля, 2015 Дим, как с круговой связкой? что показывает холодовой тест? Ссылка на комментарий
DmitrySH Опубликовано 29 июля, 2015 Автор Поделиться Опубликовано 29 июля, 2015 (изменено) Небно зондируется до апекса, на холод не реагирует, впрочем и перкуссия тоже отрицательна. Болит только слизистая небно. Сейчас пообщался, после вчерашней ревизии "кармана" все прошло, ничего не болит. Он в субботу еще в отпуск собрался Изменено 29 июля, 2015 пользователем dmitrySH Ссылка на комментарий
bogdan_r Опубликовано 29 июля, 2015 Поделиться Опубликовано 29 июля, 2015 Сколько лет пациенту? Ссылка на комментарий
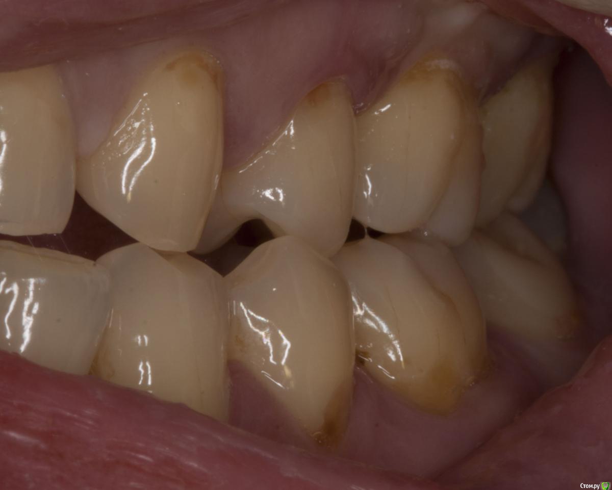
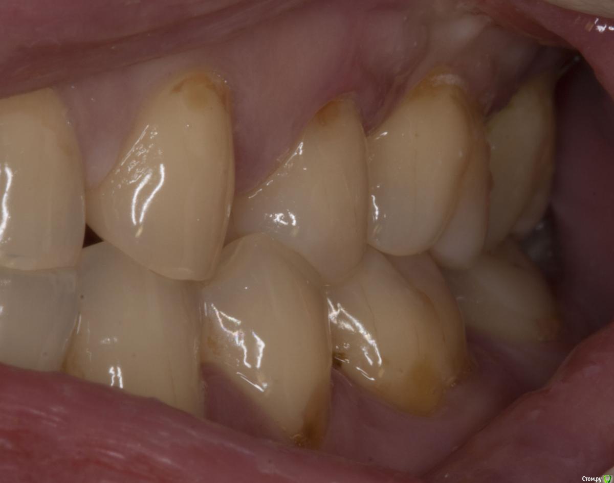
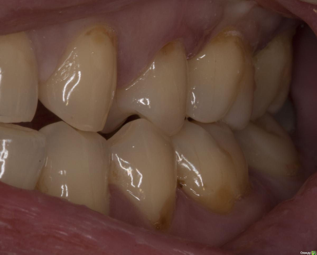
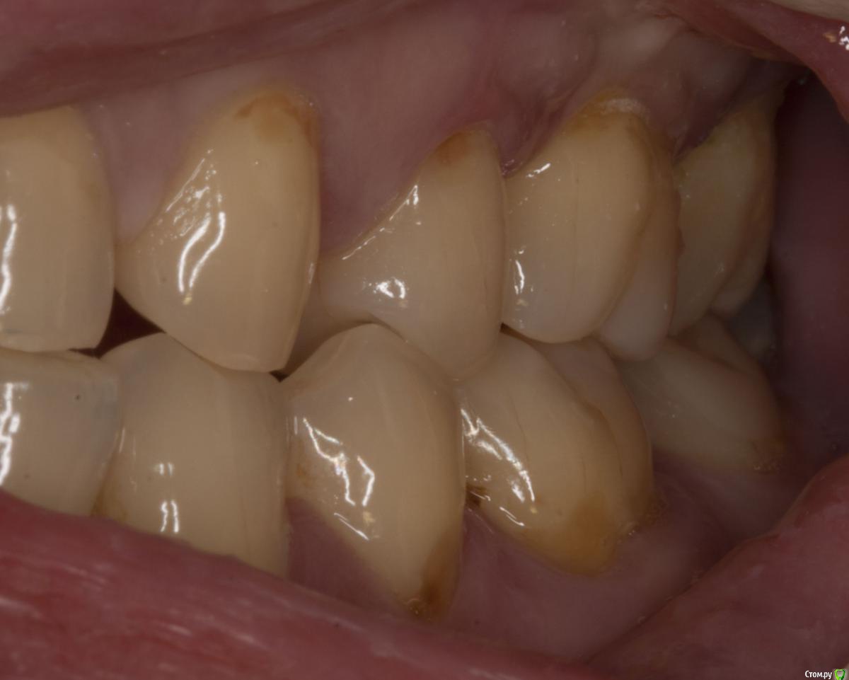
M@estro Опубликовано 29 июля, 2015 Поделиться Опубликовано 29 июля, 2015 (изменено) Травматический узел. Изменено 29 июля, 2015 пользователем M@estro 10 Ссылка на комментарий
shishok Опубликовано 30 июля, 2015 Поделиться Опубликовано 30 июля, 2015 Планируете обе шестёрки убирать? Ссылка на комментарий
diesel87 Опубликовано 30 июля, 2015 Поделиться Опубликовано 30 июля, 2015 Паш, расскажи подробнее пожалуйста Ссылка на комментарий
DmitrySH Опубликовано 30 июля, 2015 Автор Поделиться Опубликовано 30 июля, 2015 Пациенту 37-38. Подумали и решили отсрочить удаление до возвращения из отпуска. Ссылка на комментарий
M@estro Опубликовано 30 июля, 2015 Поделиться Опубликовано 30 июля, 2015 Паш, расскажи подробнее пожалуйста Пришла пациентка на прием, болит зуп. Сделали снимок , карман локально до 1 см глубиной. Подвижность 3 степени, обострение. Зуб целый. Ну челюстью подвигала - оппа! - вот и привет. Причем призналась. что сресяк у нее месяца 4 -5 усилился, вот и окончательно не выдержал. Вторая была девушка - тоже 2.6 зуб, но я не фотал её. Ситуация похожая, я тоже зуб вынул просто. Там вообще был целый моляр, ни дырочки в нем, ни пломбы. Год лечили от гайморита антибиотиками её лоры, потому как " все зубы интактные" . В поликлише в смотровом проглядели её этот зуб. Я удалил - через две недели пришла на приём с благодарностью - разложило нос ) Видел недавно её - гайморита нет и следа. Ссылка на комментарий
bogdan_r Опубликовано 30 июля, 2015 Поделиться Опубликовано 30 июля, 2015 но у вашем случае у антагониста пломба, а у паца тс нет пломбы на антагонисте. или там другая причина супраоклюзии? Ссылка на комментарий
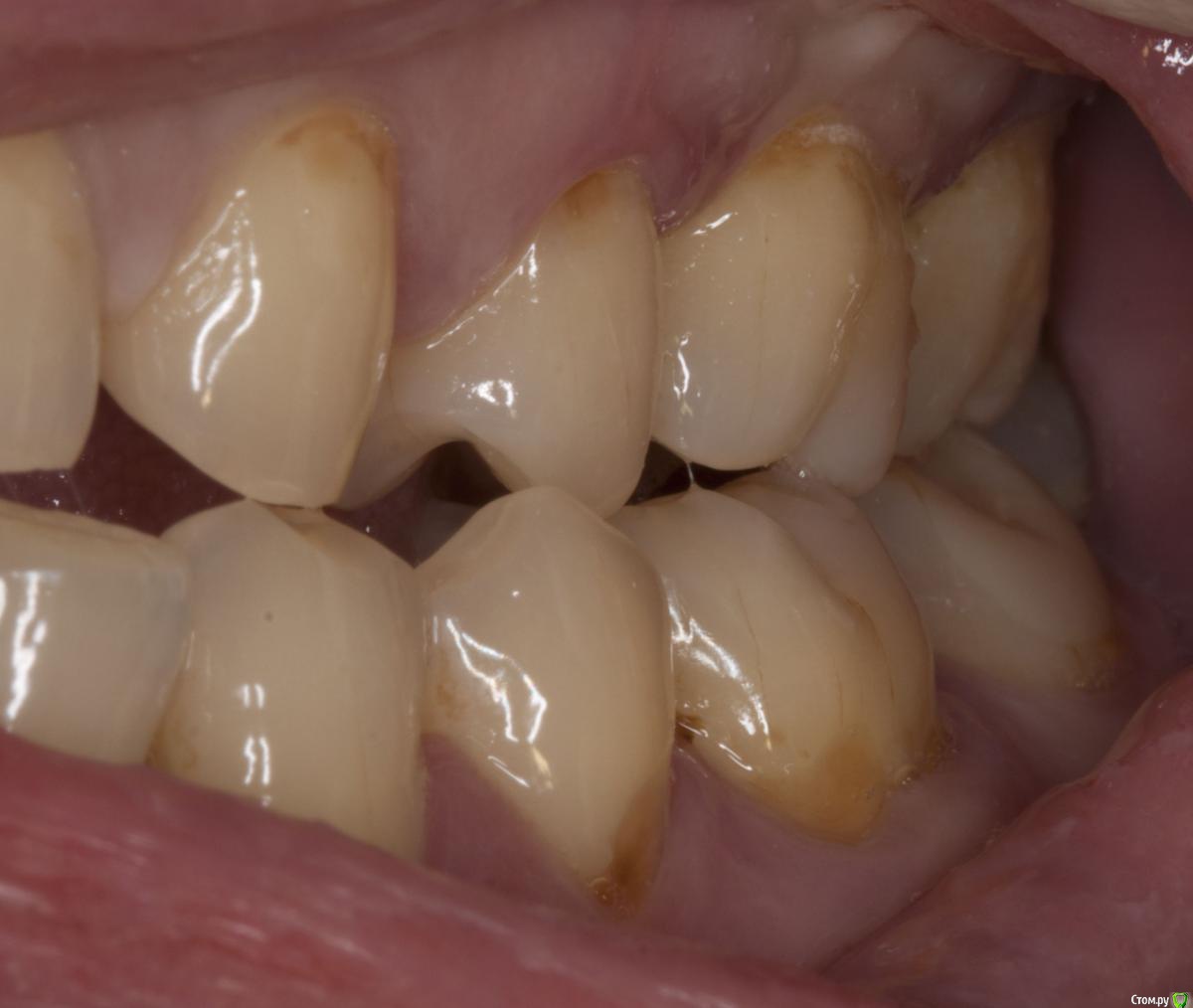
M@estro Опубликовано 3 августа, 2015 Поделиться Опубликовано 3 августа, 2015 но у вашем случае у антагониста пломба, а у паца тс нет пломбы на антагонисте. или там другая причина супраоклюзии? Я специально сделал серию фото, чтобы виден был перегруз 2.6 при левой латеротрузии. Ссылка на комментарий
DmitrySH Опубликовано 3 августа, 2015 Автор Поделиться Опубликовано 3 августа, 2015 Мой вернется 14 авг, а я 15 уже в отпуске. Если удастся встретиться и зуб будет еще на месте, то тоже отфоткаю. Ссылка на комментарий
diesel87 Опубликовано 4 августа, 2015 Поделиться Опубликовано 4 августа, 2015 Я специально сделал серию фото, чтобы виден был перегруз 2.6 при левой латеротрузии. как бороться с этим на ранних стадиях? Ссылка на комментарий
brg Опубликовано 9 августа, 2015 Поделиться Опубликовано 9 августа, 2015 как бороться с этим на ранних стадиях?Пришлифовывать, убирать сверх нагрузку. Ссылка на комментарий
M@estro Опубликовано 9 августа, 2015 Поделиться Опубликовано 9 августа, 2015 как бороться с этим на ранних стадиях? 1) Ортодонтия 2) Избирательное пришлифовывание Ссылка на комментарий
Gushchin Опубликовано 17 августа, 2015 Поделиться Опубликовано 17 августа, 2015 Маестро, а как эти зубы реагировали на холодовой тест? Ссылка на комментарий
Рекомендуемые сообщения
Для публикации сообщений создайте учётную запись или авторизуйтесь
Вы должны быть пользователем, чтобы оставить комментарий
Создать аккаунт
Зарегистрируйте новый аккаунт в нашем сообществе. Это очень просто!
Регистрация нового пользователяВойти
Уже есть аккаунт? Войти в систему.
Войти