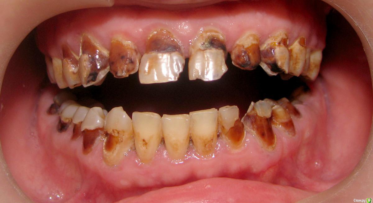
Alex52 Опубликовано 27 июля, 2015 Поделиться Опубликовано 27 июля, 2015 Первичка, наркоту отрицает, со слов практически здоровЛет 20 за компом - с этим и связывает свое состояние. Так и хочется поставить такой диагноз - компьютерный некроз, но не понимаю патогенез, он же не с куском плутония целовался.Пигментированные ткани почти все мягкие (не сильно), на температуру реагируют.Коллега предлагает сделать курс ремотерапии, чтобы пигментация была с крепитацией, а потом лечить по диагнозу, может что и живое останется и вкладок поменьше - но что-то слабо верится в такой курс. Ссылка на комментарий
faity Опубликовано 27 июля, 2015 Поделиться Опубликовано 27 июля, 2015 (изменено) 1.8, 1.7, 2.8, 3.8, 3.6, 4.8 под снос, имплантация и тоталтотал можно оверлеем без девитализации ЕМах на все зубы, кроме 3.1, 4.1, 4.2, на них виниры Изменено 27 июля, 2015 пользователем faity 1 Ссылка на комментарий
Ker Опубликовано 27 июля, 2015 Поделиться Опубликовано 27 июля, 2015 Коллега предлагает сделать курс ремотерапии, чтобы пигментация была с крепитацией, а потом лечить по диагнозу, может что и живое останется и вкладок поменьше - но что-то слабо верится в такой курс.Мне тоже слабо верится, голосую за более радикальные методы. Ссылка на комментарий
molchanoff Опубликовано 27 июля, 2015 Поделиться Опубликовано 27 июля, 2015 ага 20 лет просидел за компом не чистя зубы вот и результат Ссылка на комментарий
johniola Опубликовано 27 июля, 2015 Поделиться Опубликовано 27 июля, 2015 ух эти нарики............................ 1 Ссылка на комментарий
Doc.IQ Опубликовано 27 июля, 2015 Поделиться Опубликовано 27 июля, 2015 100% чем то балуется..Ремотерапия в данном случае результатов не даст..произвести удаление 18,17,28,38,48,36,сделать некрэктомию оставшихся зубов,оценить полученный результат,после этого выбирать дизайн препаровки,ортопедическую конструкцию,материал..импланты само собой в дистальных отделах..кажется мне,что без кладок кое где будет не обойтись... Ссылка на комментарий
Bobby Опубликовано 27 июля, 2015 Поделиться Опубликовано 27 июля, 2015 ух эти нарики............................ Именно это хотел написать! Ссылка на комментарий
Zlata-doctor Опубликовано 28 июля, 2015 Поделиться Опубликовано 28 июля, 2015 курит? Ссылка на комментарий
lehadoc Опубликовано 28 июля, 2015 Поделиться Опубликовано 28 июля, 2015 Прямо с моего пациента всё списано. Нарик 100%. Мне также про комп и всё прочее мозги втирали пока я пазлы не сложил.Очень сложно с такими работать.Пик был ,когда пульпит лечил 25 зуба без анестезии. Ссылка на комментарий
faity Опубликовано 28 июля, 2015 Поделиться Опубликовано 28 июля, 2015 я одно время работал в клинике которая сотрудничала с металлургическим заводом, там таких много было из-за отравления непонятно чем. Ссылка на комментарий
brg Опубликовано 28 июля, 2015 Поделиться Опубликовано 28 июля, 2015 курит?Курит!!!Смеси-спайсы, был у меня похожил как на фотоОн сам сразу сказал -курил, завязал.Хочу новые зубы 1 Ссылка на комментарий
Бардо Опубликовано 28 июля, 2015 Поделиться Опубликовано 28 июля, 2015 наркоту отрицает Угу, как же. Неблагодарное вообще это дело. У меня в госке такие через день, мои правда не отрицают Ссылка на комментарий
red_butler Опубликовано 28 июля, 2015 Поделиться Опубликовано 28 июля, 2015 голосую за амфетамин 3 Ссылка на комментарий
faity Опубликовано 28 июля, 2015 Поделиться Опубликовано 28 июля, 2015 голосую за амфетамин я за Путина голосовал, но это даже по моим меркам перебор))) 1 Ссылка на комментарий
Гарриевич Опубликовано 29 июля, 2015 Поделиться Опубликовано 29 июля, 2015 может это конечно совпадение, но одним компом тут не обошлось кмк Ссылка на комментарий
DmitrySH Опубликовано 29 июля, 2015 Поделиться Опубликовано 29 июля, 2015 1.8, 1.7, 2.8, 3.8, 3.6, 4.8 под снос, имплантация и тоталтотал можно оверлеем без девитализации ЕМах на все зубы, кроме 3.1, 4.1, 4.2, на них виниры Ну как сейчас можно планировать ортопедию, оверлеи или нет.???Сперва тут удаления и тотальная терапия, убрать все рыхлое, по показаниям где-то эндо. Где-то витальными оставлять, но без фанатизма. 1 Ссылка на комментарий
Bratok Опубликовано 29 июля, 2015 Поделиться Опубликовано 29 июля, 2015 Поднимать прикус планируете и как если да ? Ссылка на комментарий
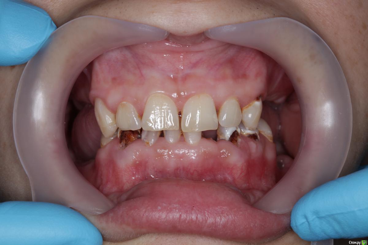
gum Опубликовано 30 июля, 2015 Поделиться Опубликовано 30 июля, 2015 Так в итоге какой прогноз, кто таких протезировал. У меня сейчас девушка с такой картиной, у эндокринолога лечится. С ее слов. Жду заключения врача. Так у нее дентин весь мягкий эмаль крошится. Кроме как все удалять есть еще варианты? Так как коронки потом падать начнут. Ссылка на комментарий
Рекомендуемые сообщения
Для публикации сообщений создайте учётную запись или авторизуйтесь
Вы должны быть пользователем, чтобы оставить комментарий
Создать аккаунт
Зарегистрируйте новый аккаунт в нашем сообществе. Это очень просто!
Регистрация нового пользователяВойти
Уже есть аккаунт? Войти в систему.
Войти