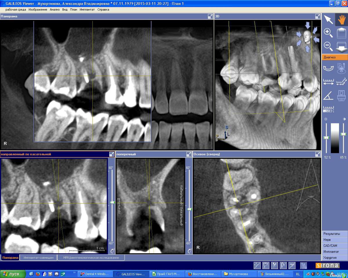
IshIm0 Опубликовано 8 июля, 2015 Поделиться Опубликовано 8 июля, 2015 (изменено) Добрый день. Пациентке Н. 2 недели назад ЛОР-врач удалил инородное тело из гайморовой пазухи справа (пломбировочный материал), который мигрировал в подглазничную область. Сейчас необходимо удалить зуб 16, пациентка хочет имплантат в последующем.Как всё правильно сделать ? Я думаю атравматично удалить зубик, аккуратно вычистить оставшийся пломбировочный материал в проекции дистально-щечного корня зуба 16 через лунку, подсыпать ксенокость, укрыть резорбируемой мембраной, через пол года установить имплантат в проекции 16 с одномоментным синус-лифтингом. Изменено 8 июля, 2015 пользователем IshIm0 Ссылка на комментарий
faity Опубликовано 8 июля, 2015 Поделиться Опубликовано 8 июля, 2015 можно без графта вообще обойтись, можно любой вариант сопли в лунку зашить, можно соккет пресервейшн сделать. но если вы в любом случае намеренны делать синус, то я бы ограничился удалением и тонкой коллагеновой губкой поверх славного сгустка. 4 Ссылка на комментарий
IshIm0 Опубликовано 8 июля, 2015 Автор Поделиться Опубликовано 8 июля, 2015 можно без графта вообще обойтись, можно любой вариант сопли в лунку зашить, можно соккет пресервейшн сделать. но если вы в любом случае намеренны делать синус, то я бы ограничился удалением и тонкой коллагеновой губкой поверх славного сгустка.Пожалуй так и сделаю, тем более посмотрел по КТ там в области бифуркации похоже кистогранулема притаилась. Ссылка на комментарий
syrovovec Опубликовано 8 июля, 2015 Поделиться Опубликовано 8 июля, 2015 Нет там кистогранулемы в фуркации 2 Ссылка на комментарий
OLG Опубликовано 8 июля, 2015 Поделиться Опубликовано 8 июля, 2015 есть кистогранулёма в бифуркации Нет там кистогранулемы в фуркациия вижу резорбцию костной ткани по бифуркации.обычно резорбция костной ткани в бифуркации сопровождается наличием грануляционной ткани или кисты. (см. снимки 1 и 2) 1 Ссылка на комментарий
kriokov Опубликовано 8 июля, 2015 Поделиться Опубликовано 8 июля, 2015 можно без графта вообще обойтись, можно любой вариант сопли в лунку зашить, можно соккет пресервейшн сделать. но если вы в любом случае намеренны делать синус, то я бы ограничился удалением и тонкой коллагеновой губкой поверх славного сгустка.Или просто удалить' ничего не класть' дать зажить и вкрутить 1 Ссылка на комментарий
faity Опубликовано 11 июля, 2015 Поделиться Опубликовано 11 июля, 2015 Или просто удалить' ничего не класть' дать зажить и вкрутитья заметил что с чистой коллагенкой десна жирнее ростет 1 Ссылка на комментарий
Mane Опубликовано 12 июля, 2015 Поделиться Опубликовано 12 июля, 2015 Просто удалить. Через 3-4 мест открытый синус и болт Ссылка на комментарий
JIM Опубликовано 12 июля, 2015 Поделиться Опубликовано 12 июля, 2015 Пациентке Н. 2 недели назад ЛОР-врач удалил инородное тело из гайморовой пазухи справа (пломбировочный материал), который мигрировал в подглазничную область Что же ЛОР сказал об остальной части пазухи? Как-то по снимкам там не очень хорошо... Ссылка на комментарий
IshIm0 Опубликовано 16 июля, 2015 Автор Поделиться Опубликовано 16 июля, 2015 (изменено) Что же ЛОР сказал об остальной части пазухи? Как-то по снимкам там не очень хорошо...Снимки до операции у ЛОР врача, предполагаю, что на инородное тело так слизистая отреагировала, да и на инфицированный зубик. В итоге удалил зуб -> сгусткок -> тонкая коллагеновая губка -> X-образный фиксирующий губку шов.В бифуркации разрастание грануляционной ткани было.Всем спасибо за советы. Изменено 16 июля, 2015 пользователем IshIm0 Ссылка на комментарий
zzkz Опубликовано 16 июля, 2015 Поделиться Опубликовано 16 июля, 2015 я заметил что с чистой коллагенкой десна жирнее ростетЯ сколько их не ложил, швами прижимал, они вываливаются через несколько дней Ссылка на комментарий
Рекомендуемые сообщения
Для публикации сообщений создайте учётную запись или авторизуйтесь
Вы должны быть пользователем, чтобы оставить комментарий
Создать аккаунт
Зарегистрируйте новый аккаунт в нашем сообществе. Это очень просто!
Регистрация нового пользователяВойти
Уже есть аккаунт? Войти в систему.
Войти