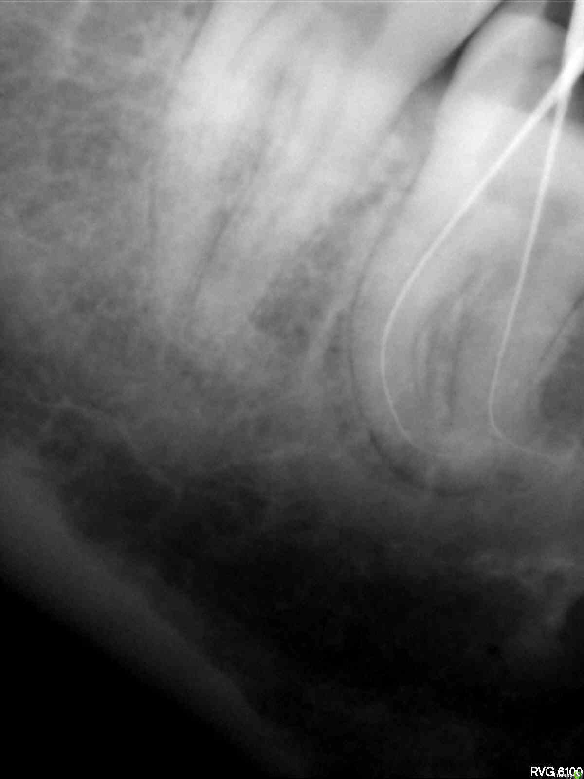
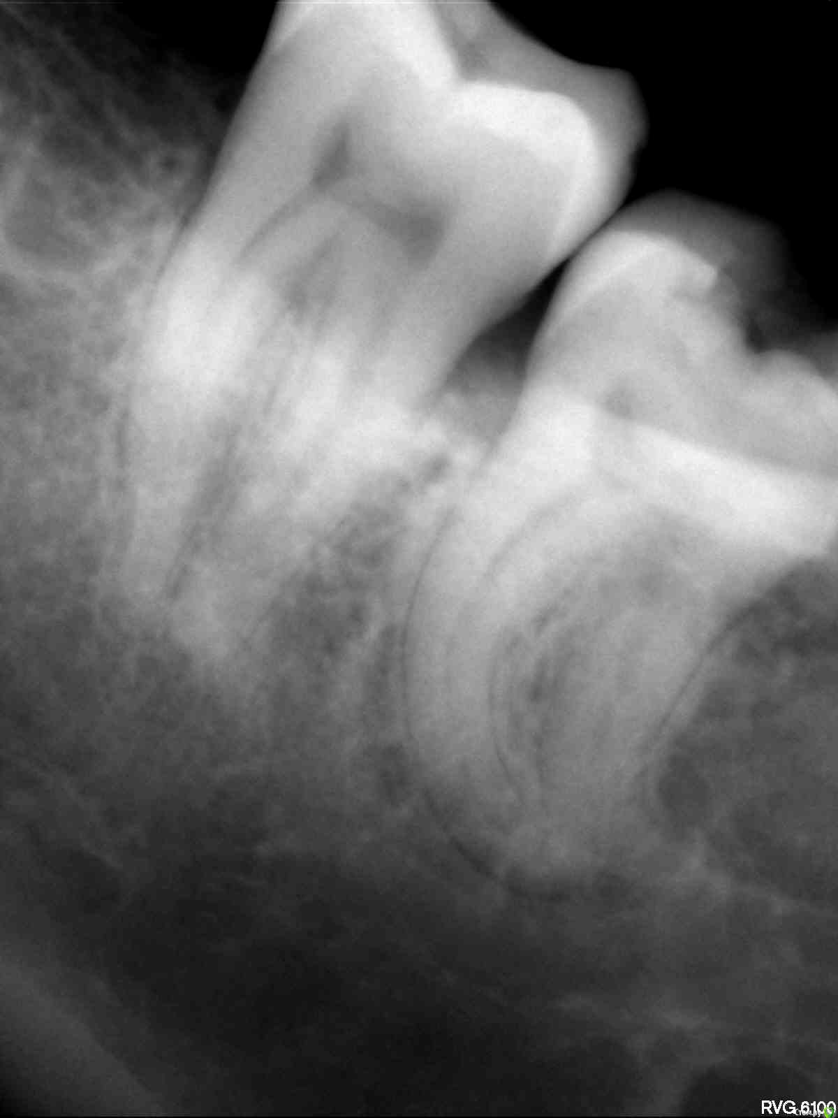
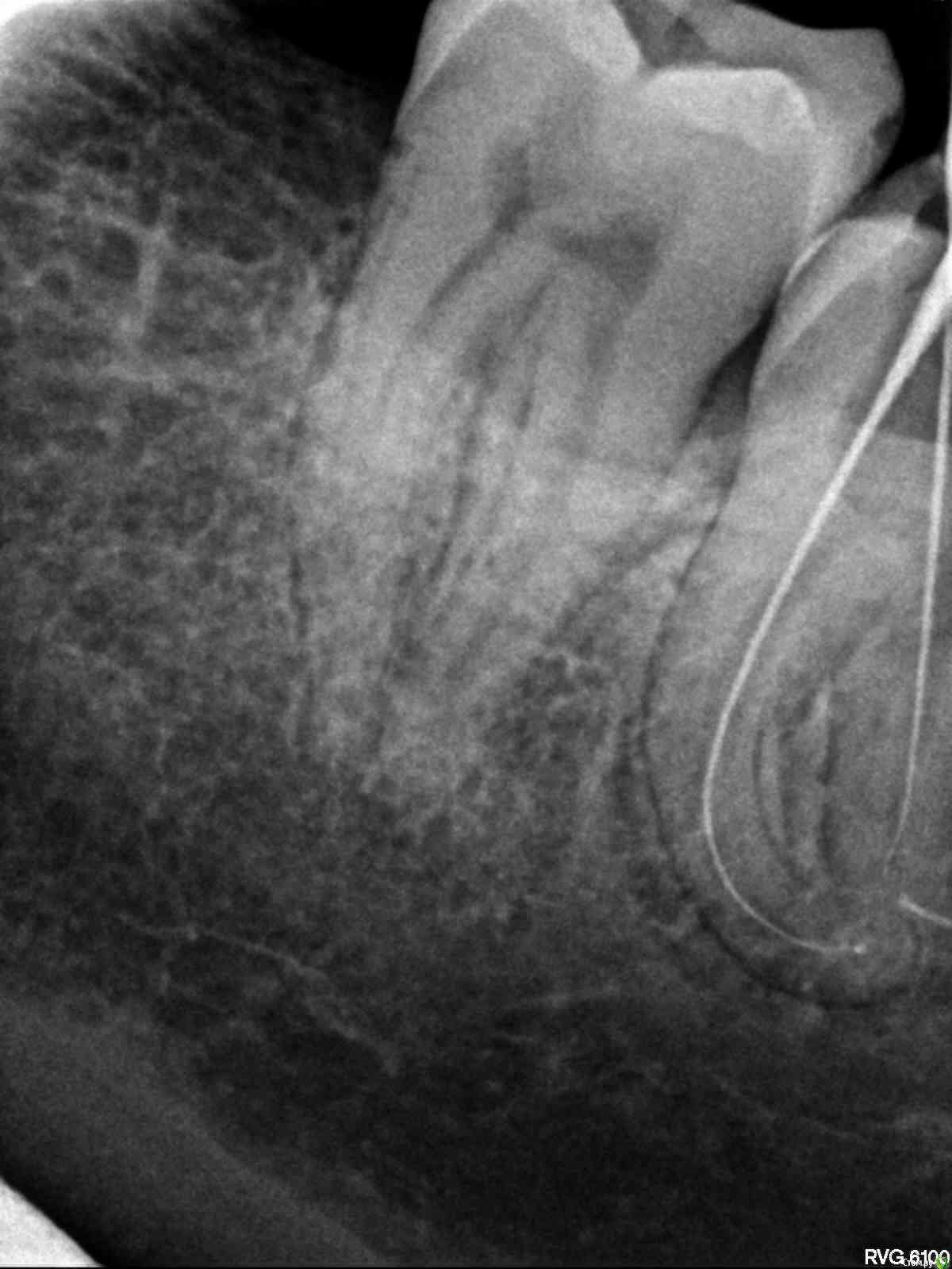
Витторио Орлионе Опубликовано 24 июня, 2015 Поделиться Опубликовано 24 июня, 2015 Уважаемые коллеги, очень нужен ваш мудрый совет. Пациентка обратилась в клинику 23.06 с жалобами на пульсирующие боли в области нижней челюсти слева. На окклюзионной поверхности зуба 3.8 глубокая кариозная полость не сообщающаяся с полостью зуба. Зондирование болезненно, температурная проба положительная, перкуссия слабо болезненна. Пациентка хотела сохранить зуб. Поэтому анестезия, некрэктомия, раскрытие и формирование полости, обработка ручными и mtwo файлами, мыл гипохлоритом. Итог: патенси нет, обломок инструмента, пульпевит №3, септопак. Явка 25.06. Если лечить то:Сообщать ли пациентке об обломке?Какую тактику выбрать (вести на каласепте или отмыть и запломбировать, стоит ли пытаться достать)?Чем пломбировать каналы (гуттаперча или резорцин)? Если удалять то?Как обосновать пациентке смену лечения на удаление?Разделять корни или нет? Ссылка на комментарий
L'azur Опубликовано 24 июня, 2015 Поделиться Опубликовано 24 июня, 2015 Лечить, но без резорцина (да простит меня небезызвестный доктор) 1 Ссылка на комментарий
sydnik Опубликовано 24 июня, 2015 Поделиться Опубликовано 24 июня, 2015 наверное это первый у Вас отломок, раз Вы так переживаете.успокойтесь и просто доделайте свою работу. Работаете с кофером? на каком этапе обработки сломался? Ссылка на комментарий
Витторио Орлионе Опубликовано 24 июня, 2015 Автор Поделиться Опубликовано 24 июня, 2015 да, первый эндокосяк, пульпу убрал и пару раз промыл, полом полез 10.02 mtwo и устроил фото сессию.В этот раз без коффера работал, далеко очень, вот и не стал использовать. Ссылка на комментарий
Витторио Орлионе Опубликовано 24 июня, 2015 Автор Поделиться Опубликовано 24 июня, 2015 и критика принимается тоже, так что не скупитесь Ссылка на комментарий
Ico Опубликовано 24 июня, 2015 Поделиться Опубликовано 24 июня, 2015 Думаю все будет хорошо,просто доделайте работу как было задумано,а в конце,перед паковкой, активируйте хлорку гуттаперчей соответствующего конуса и диаметра несколько раз.Говорить или нет - смотрите сами исходя из результата паковки и симптоматики. Ссылка на комментарий
Витторио Орлионе Опубликовано 24 июня, 2015 Автор Поделиться Опубликовано 24 июня, 2015 то есть можно обойтись и без каласепта? Ссылка на комментарий
Ico Опубликовано 24 июня, 2015 Поделиться Опубликовано 24 июня, 2015 (изменено) то есть можно обойтись и без каласепта?В вашем случае необходими выполнить основной мед-мех протокол очистки,до обломка,потом,доплнительно ирригация с активацией.Если нет болевой периодонтитной симптоматики,то паковать надо сразу,т.к есть шанс протолкнуть силер к фрагменту и сделать паковку более герметичной без пустот.Если же будете с кальцием делать,то обязательно убедитесь,что она плотно распределена в апекальной части канала,иначе эффекта от нее не будет. Изменено 24 июня, 2015 пользователем Ico Ссылка на комментарий
Витторио Орлионе Опубликовано 24 июня, 2015 Автор Поделиться Опубликовано 24 июня, 2015 беда ещё вот в чём: мезиальный канал так и не пройден до апекса, может ли это усугубить прогноз? Ссылка на комментарий
Ico Опубликовано 24 июня, 2015 Поделиться Опубликовано 24 июня, 2015 беда ещё вот в чём: мезиальный канал так и не пройден до апекса, может ли это усугубить прогноз? Очистите как сможете,но без фанатизма и с кофером.Резорцинить или нет - это Вам решать как врачу.Зуб не почка))))) 1 Ссылка на комментарий
Витторио Орлионе Опубликовано 24 июня, 2015 Автор Поделиться Опубликовано 24 июня, 2015 Не хочу создавать проблем при его ретрите, но и в тоже время переживаю за отсутствие стерильности в канале, считаю что резорцин-это автоклав наизнанку, поэтому как вариант и мозгую его.От души благодарю Вас. Ссылка на комментарий
krokomot Опубликовано 24 июня, 2015 Поделиться Опубликовано 24 июня, 2015 По поводу обломка надо всегда сообщать пациенту и всё объяснить, что может быть, а чего быть не может, это правильно. Потому как если не скажите скажет кто-то другой, и тогда вы будите совсем в плохом свете. Пациенты больше не любят обманщиков, чем даже криворуких)) Ссылка на комментарий
Витторио Орлионе Опубликовано 24 июня, 2015 Автор Поделиться Опубликовано 24 июня, 2015 звучит убедительно, спасибо. Буду рад если Вы подскажете как дипломатично подать пациентке этот "сюрприз". Ссылка на комментарий
Гарриевич Опубликовано 24 июня, 2015 Поделиться Опубликовано 24 июня, 2015 Как есть так и подайте, зуб 8-ой по ААЭ это запредельная сложность, сломать там инструмент это конечно не приятно, но предсказуемоКак сказал Ico, мойте, мойте, мойте и пакуйте. Резорцин ни к чемуЕсли сломали 10ку то можете в принципе полчаса потратить и постараться его обойти. Главное не пытайтесь это сделать ротари Ссылка на комментарий
red_butler Опубликовано 24 июня, 2015 Поделиться Опубликовано 24 июня, 2015 звучит убедительно, спасибо. Буду рад если Вы подскажете как дипломатично подать пациентке этот "сюрприз".У Вас есть согласие на эндо? Там это должно оговариваться. Ссылка на комментарий
krokomot Опубликовано 24 июня, 2015 Поделиться Опубликовано 24 июня, 2015 Продемонстрируйте искривленность корней и каналов. Обьясните что отломок инструмента металл а воспаление может провоцировать только микрофлора. Вы сделали все возможное но увы случается и такое, особенно в системе исривленных каналов. Когда ко мне приходят пациенты от других врачей с большими глазами говорят у меня там доктор отломок оставил и не сказал!!! и теперь у меня там воспаление из-за отломка всегда объясняю, что воспаление возникает из-за микробов, а люди с большими осколками в теле ходят всю жизнь и ничего не происходит, поэтому главное протокол антисептической и механической обработки канала. Как правило успокаиваются. Я тут наговорил надеюсь понятно))) 3 Ссылка на комментарий
Витторио Орлионе Опубликовано 24 июня, 2015 Автор Поделиться Опубликовано 24 июня, 2015 на мой взгляд так шикарно изложили, всё ясно и понятно, так и скажу, спасибо. Ссылка на комментарий
Витторио Орлионе Опубликовано 24 июня, 2015 Автор Поделиться Опубликовано 24 июня, 2015 У Вас есть согласие на эндо? Там это должно оговариваться. просто согласие на стоматологическое вмешательство, а риски уже прописывает доктор собственноручно. Ссылка на комментарий
red_butler Опубликовано 24 июня, 2015 Поделиться Опубликовано 24 июня, 2015 просто согласие на стоматологическое вмешательство, а риски уже прописывает доктор собственноручно. Что то звучит совсем не удобно... в этом случае Вы от руки пишете перфорации, перелом инструмента и тд и тп? Ссылка на комментарий
Витторио Орлионе Опубликовано 24 июня, 2015 Автор Поделиться Опубликовано 24 июня, 2015 да, как-то так Ссылка на комментарий
red_butler Опубликовано 24 июня, 2015 Поделиться Опубликовано 24 июня, 2015 да, как-то такудобнее когда на каждую процедуру (эндо, кариес, отбеливание, хирургия, имплантация, и тд), есть свое согласие Ссылка на комментарий
Витторио Орлионе Опубликовано 24 июня, 2015 Автор Поделиться Опубликовано 24 июня, 2015 абсолютно с вами согласен, в другой организации у меня всё так и есть. Везде свои порядки. Ссылка на комментарий
Витторио Орлионе Опубликовано 24 июня, 2015 Автор Поделиться Опубликовано 24 июня, 2015 а нужно ли отмечать в карте этот злосчастный обломок? Ссылка на комментарий
red_butler Опубликовано 24 июня, 2015 Поделиться Опубликовано 24 июня, 2015 а нужно ли отмечать в карте этот злосчастный обломок?Если не достанете, то конечно опишите, шило то не утаишь Ссылка на комментарий
Витторио Орлионе Опубликовано 24 июня, 2015 Автор Поделиться Опубликовано 24 июня, 2015 Спасибо Вам, Рэд и всем кто поучавствовал, с вашей помощью расставил все запятые и точки в нужных местах. Удалять нельзя, лечить. Ссылка на комментарий
Рекомендуемые сообщения
Для публикации сообщений создайте учётную запись или авторизуйтесь
Вы должны быть пользователем, чтобы оставить комментарий
Создать аккаунт
Зарегистрируйте новый аккаунт в нашем сообществе. Это очень просто!
Регистрация нового пользователяВойти
Уже есть аккаунт? Войти в систему.
Войти