St. Опубликовано 13 июня, 2015 Поделиться Опубликовано 13 июня, 2015 Итак, пациентка средних лет. Жалуется на ноющие боли в области зубов в.ч., с иррадиацией в ухо. Конкретно локализовать не может. Боль возникла 3 дня назад, после обычной чистки зубов, болело периодами. сама ни с чем не связывает. Во время еды явно не болел. слишком холодного или горячего не ела. Вчера болел сильно, сутки с короткими светлыми промежутками. Пила кетанов - помогал на несколько часов. Сутра болел сильно, пила нимесил - на момент осмотра прошло 5ч после приема - явно ничего не болело.Об-но: Зубы 13-17 интактные, 47, 45-43 - интактные, 46-отсутствует. Р-ия на холод (-40) кратковременная, быстропроходящая, в 15- со слов интенсивнее, но проходит сразу при устранении раздражителя. Перкуссия в 14, 15 слабоположительная, остальных б\б. СОПР без видимых пат.изменений.Л\у не увеличены. Открывание рта в полном обыеме, плавное, сустав не щёлкает.Точки выхода над- и подглазничного и подбородочного нервов безболезнены.Сейчас обострение полиноза - пьет антигистаминку. Отделяемое из носа есть. Переохлаждалась.На рентгене ничего не увидела.Что это может быть? и что с этим делать?Я ничего придумать не смогла. Посоветовала на ночь выпить ещё пакетик нимесила. и прийти завтра. Возможно боль локализуется.Может отит? Снимок с телефона(( Ссылка на комментарий
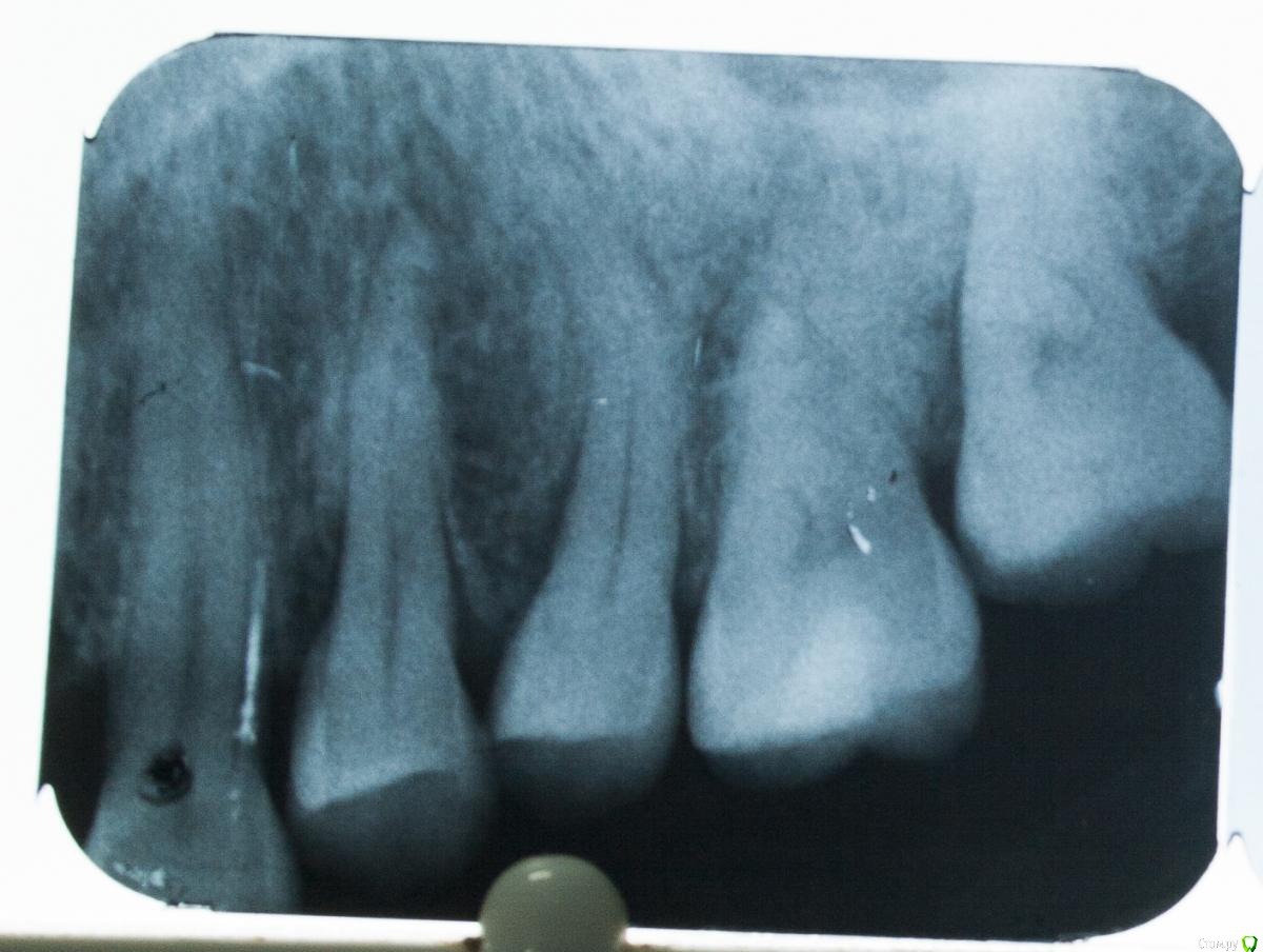
Fred Опубликовано 13 июня, 2015 Поделиться Опубликовано 13 июня, 2015 Снимок специально размытый такой выставили? Ссылка на комментарий
St. Опубликовано 13 июня, 2015 Автор Поделиться Опубликовано 13 июня, 2015 Конечно, сама размывала Фотоаппарата не было, а на телефон.. как есть Ссылка на комментарий
Fred Опубликовано 13 июня, 2015 Поделиться Опубликовано 13 июня, 2015 Не знаю, по-моему, даже телефоном можно поймать фокус, если минут 5-10 поиграться ... Ссылка на комментарий
St. Опубликовано 13 июня, 2015 Автор Поделиться Опубликовано 13 июня, 2015 Может мы отвлечемся от обсуждения моего телефона и умения фоткать без автофокуса.По сути вопроса что-нибудь скажите? Ссылка на комментарий
Stomart Опубликовано 13 июня, 2015 Поделиться Опубликовано 13 июня, 2015 Может мы отвлечемся от обсуждения моего телефона и умения фоткать без автофокуса.По сути вопроса что-нибудь скажите?Как можно сказать по сути когда на этом снимке ничего не видно? Что увидел - кучу парадонтальных карманов, которые могут давать боль + пломба? глубоко на 16 зубе. Ссылка на комментарий
Scrabble Опубликовано 13 июня, 2015 Поделиться Опубликовано 13 июня, 2015 (изменено) Если снимок не увеличивать, то 14 весь в чёрном облаке. То ли мистика, то ли там проблемы. Сделайте прикусные снимки для диагностики скрытых кариозных полостей на апроксималках(и периодонт видно будет чётко). Внизу тоже. Изменено 13 июня, 2015 пользователем Scrabble Ссылка на комментарий
St. Опубликовано 13 июня, 2015 Автор Поделиться Опубликовано 13 июня, 2015 Ясно, спасибо. снимки завтра пересниму. Скрытых полостей не увидела - там тремы между всеми зубами. Ссылка на комментарий
St. Опубликовано 14 июня, 2015 Автор Поделиться Опубликовано 14 июня, 2015 Перезалила снимок Ссылка на комментарий
St. Опубликовано 14 июня, 2015 Автор Поделиться Опубликовано 14 июня, 2015 Собственно сегодня боль у пациентки локализовалась, показывала четко на 15. Р-ия на холод ноющая, перкуссия чувствительна. Решили депульпировать. Открыла, получила сукровично-гнойный экссудат в достаточно большом количестве. Отмыла, экссудата много, оставила гидроокись. Кто что думает о причине поражения 15?Вот снимок в процессе работы Ссылка на комментарий
Л Ю С Я Опубликовано 14 июня, 2015 Поделиться Опубликовано 14 июня, 2015 Если полости, пломбы нет, ищите трещину Ссылка на комментарий
St. Опубликовано 14 июня, 2015 Автор Поделиться Опубликовано 14 июня, 2015 Как искать? Красить и оптику? субъективно глазами в устье не видела. КТ ведь тоже не покажет..(( Ссылка на комментарий
Л Ю С Я Опубликовано 14 июня, 2015 Поделиться Опубликовано 14 июня, 2015 Красить и оптику Ссылка на комментарий
St. Опубликовано 14 июня, 2015 Автор Поделиться Опубликовано 14 июня, 2015 Ещё есть варианты что я упускаю? Может ещё на что внимание обратить? Ссылка на комментарий
Гарриевич Опубликовано 14 июня, 2015 Поделиться Опубликовано 14 июня, 2015 зондировали связку? Ссылка на комментарий
Zlata-doctor Опубликовано 15 июня, 2015 Поделиться Опубликовано 15 июня, 2015 пародонтальный путь инфицирования, по моему мнению. Смотрите также и 14, думаю, что он тоже поражен. Ссылка на комментарий
St. Опубликовано 15 июня, 2015 Автор Поделиться Опубликовано 15 июня, 2015 зондировали связку?Нет, не сообразила сразу. Ссылка на комментарий
St. Опубликовано 7 июля, 2015 Автор Поделиться Опубликовано 7 июля, 2015 Красить и оптику Вы были правы. Это таки трещина. Отправила к хирургу(( Почему мог треснуть интактный зуб? Ссылка на комментарий
M@estro Опубликовано 9 июля, 2015 Поделиться Опубликовано 9 июля, 2015 Почему мог треснуть интактный зуб? Нагрузка, потеря проксимальных контактов, большой объем пломбы. Почему -то многие считают,что пока зуб витальный - он прочный ровно настолько, насколько прочен интактный зуб. Но это заблуждение. Ссылка на комментарий
St. Опубликовано 9 июля, 2015 Автор Поделиться Опубликовано 9 июля, 2015 Когда есть пломба, это понятно. И Ваши выводы логичны. Но в этом случае пломб не было, внешне зуб выглядел интактным. По прикусу явного перегруза там не заметила, моляры на месте. Ссылка на комментарий
shishok Опубликовано 9 июля, 2015 Поделиться Опубликовано 9 июля, 2015 Возможно,травма была давно(что-то прикусила-кость,орех,оливку).А зуб "выстрелил" позже. Ссылка на комментарий
inSight Опубликовано 15 июля, 2015 Поделиться Опубликовано 15 июля, 2015 Риторически , возможно ли такой зуб вести на гидрооксиде кальция или же проруте? Сроки? При условии отсутствия болей. Ссылка на комментарий
St. Опубликовано 15 июля, 2015 Автор Поделиться Опубликовано 15 июля, 2015 Риторически , возможно ли такой зуб вести на гидрооксиде кальция или же проруте? Сроки? При условии отсутствия болей.Длительно находящийся в каналах кальций гипотетически может провоцировать внутреннюю резорбцию.При наличии трещины туда будут вростать грануляции, и расширять ее ещё больше.Я видела где-то в литературе в качестве временной меры зуб с трещиной пломбировали толи мта, толи амальгамой (не помню точно). Но для этого откидывали лоскут и пилили окно в кости. По моему, оно таких усилий не стоит. Ссылка на комментарий
inSight Опубликовано 15 июля, 2015 Поделиться Опубликовано 15 июля, 2015 Вдруг интересно Стабильность и состояние пульпы зубов с переломом корня затем необходимо проверить на 6-8-й неделе, через 4 и 6 мес, 1 год и 5 лет. Признаки разрушения пульпы в коронарном фрагменте, например постоянное негативное тестирование чувствительности пульпы или появление разрежения на линии перелома, считают показанием для терапии корневого канала. Во время лечения корневого канала обработка и обтурация должны быть ограничены только линией перелома, поскольку апикальная пульпа обычно сохраняет жизнеспособность. Иногда предпринимают попыт ки сформировать минерализованный барьер на этом уровне с помощью повторного лечения гидроксидом кальция. Современной альтернативой служит размещ е ние слоя МТА в 3-4 мм за линией перелома с последующей обтурацией остального пространства канала термопластической гуттаперчей и силером. При развитии апикального периодонтита не следует пытаться провести эндодонтическое вмешательство через линию перелома, нужно сразу выполнять хирургическое вмешательство Andreasen и соват. [5, 6] исследовали 400 интраальвеолярных переломов корня зуба у детей и подростков для идентифика ции факторов, связанных с различными моделями заживления. Результаты клинических и рентгенологических исследований про демонстрировали, что 120 из 400 зубов (30%) излечились сраще нием твёрдой ткани фрагментов зуба. Мягкая ткань (возможно, периодонтальная связка) сама по себе была найдена в 170 зубах (43%), кость и мягкая соединительная ткань (возможно, перио- I донтальная связка) - в 22 зубах (5%), а воспалительная ткань, связанная с некрозом коронарного фрагмента, - в 88 зубах (22%). Факторы риска, присутствующие у пациентов до получения травмы и связанные с повреждением, больше всего влияли на заживление твёрдой ткани и выживание пульпы в коронарном фрагменте. Они зависели от возраста, стадии развития корня (то есть диаметра пульпы на участке трещины), подвижности коронарного фрагмен та и степени смещения коронарного от апикального фрагмента. Когда начальное смещение коронарного фрагмента составля ло 1 мм или меньше, оптимальная репозиция и шинирование, обеспечивающее некоторую степень гибкости, способствовали выживанию пульпы и сращению твёрдых тканей. Сохранение шины более 4 нед не обеспечивало дополнительной выгоды. В то же время, результаты лечения не ухудшались при задерж ке вмешательства на несколько дней. Cvek М., Mejare 1., Andreasen J. О. Conservative endodontictreatment of teeth fractured in the middle or apical part of theroot//Dent. Traumatol. - 2004. - Vol. 20. - P. 261-269.Клиническое исследование переломов зубов с обтурацией гуттаперчей т олько коронарного фрагмента, полной обтура-цией всего канала до верхушки корня за пределами линии перелома,обтурацией коронарного фрагмента с хирургическим удалением апикального фрагмента и применени ем препаратов на основе гидроксида кальция перед обтурацией канала гуттаперчей.Учёные пришли к выводу, что обтурацня т олько коронарного фрагмента с удалением апикального фрагмента или безнего наиболее успешна. Предварительная временная обтурацнякоронарного фрагмента препаратом на основе гидроксида к а л ь ция оставлена на усмотрение клинициста. Клинические аспекты работы с внутренней воспалительнойрезорбцией корня зубаВо время лечения корневого канала с внутрикорневой резорбцией выясняется следующее.Обычно есть доступ к некротизированной коронарной пульпе.Возможно обильное кровотечение при проникновении инструментов в участок воспалённой резорбтивной ткани.Нивелировать это осложнение можно механической обработкойна всю рабочую длину для ограничения кровоснабжения пульпы или использованием обильной ирригации раствором гипохлорита натрия.Ткань, находящуюся в участке резорбции, невозможно механически обработать, поэтому её следует растворить ирригацией раствора гипохлорита натрия с ультразвуковой активацией для проникновения ирригационного раствора в эту область.Затем необходимо провести эндодонтическое лечение и обтурировать просвет канала препаратом на основе традиционного гидроксида кальция. При коронарных поражениях с хорошей видимостью можно использовать химическую обработку трихлоруксусной кислотой.Участок резорбции не поддаётся обтурации холодной гуттаперчей методом латеральной компакции. По этой причине рекомендовано применение термопластических методик обтурации Альтернативные материалы, такие как МТА, волоконные штифты и композиты, открывают новые возможности для реставрации зубов с потерей тканей вследствие внутреннейрезорбции корня. Ссылка на комментарий
inSight Опубликовано 15 июля, 2015 Поделиться Опубликовано 15 июля, 2015 Покурив , подумав успех 25% при пульпит+перелом , вертикалка + МТА за перелом. При Pt+перелом к хирургу на удаление.Так? Ссылка на комментарий
Рекомендуемые сообщения
Для публикации сообщений создайте учётную запись или авторизуйтесь
Вы должны быть пользователем, чтобы оставить комментарий
Создать аккаунт
Зарегистрируйте новый аккаунт в нашем сообществе. Это очень просто!
Регистрация нового пользователяВойти
Уже есть аккаунт? Войти в систему.
Войти