Anassstasya Опубликовано 12 июня, 2015 Поделиться Опубликовано 12 июня, 2015 Парень 17 лет . Что делать незнаю ! Работаю только 8 месяцев .Помогите советом????? Ссылка на комментарий
Паращук Роман Опубликовано 12 июня, 2015 Поделиться Опубликовано 12 июня, 2015 Кт,провести эндо с закрытием верхушки мта или ирм. Через 10мес повторное кт для оценки. 4 Ссылка на комментарий
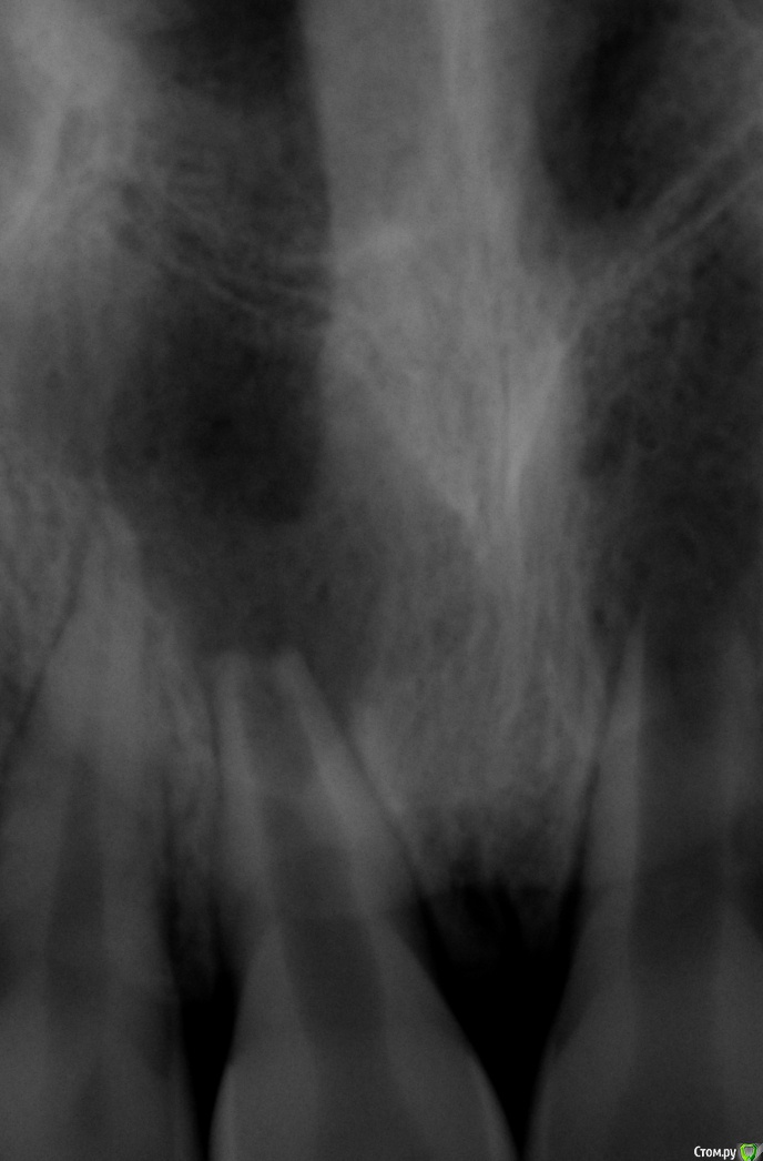
Гарриевич Опубликовано 12 июня, 2015 Поделиться Опубликовано 12 июня, 2015 а на чтожалуется? 1 Ссылка на комментарий
Kainov Опубликовано 12 июня, 2015 Поделиться Опубликовано 12 июня, 2015 Мне кажется, тут ортоградно закрыть нормально не получится. Резцы сдохли давно, мб травма давняя в анамнезе. Предложу ортоградную обработку, затем ретроградно пробки и ортоградно пломбирование оставшейся части канала, возможно даже СИЦем. Ссылка на комментарий
krokomot Опубликовано 12 июня, 2015 Поделиться Опубликовано 12 июня, 2015 А что если это уже все резорбция, все таки зубам 11 лет. И в звязи с чем такое моголо развиться симметрично? Сделайте понораму. Ссылка на комментарий
Kainov Опубликовано 12 июня, 2015 Поделиться Опубликовано 12 июня, 2015 А что если это уже все резорбция, все таки зубам 11 лет. И в звязи с чем такое моголо развиться симметрично? Сделайте понораму.Резорбция имеет совершенно другие контуры. Тут налицо остановка дентиногенеза тк пульпа сдохла, как следствие мы видим куски радиолюценции. 2 Ссылка на комментарий
M@estro Опубликовано 12 июня, 2015 Поделиться Опубликовано 12 июня, 2015 Резорбция имеет совершенно другие контуры. Тут налицо остановка дентиногенеза тк пульпа сдохла, как следствие мы видим куски радиолюценции. + 1 , травма лет в 9-10, в период формирования корней . 2 топикстаретер - спросите подробнее пациента, такое не забывают. Имхо - отправить к более опытному специалисту, сами не справитесь. 3 Ссылка на комментарий
Рекомендуемые сообщения
Для публикации сообщений создайте учётную запись или авторизуйтесь
Вы должны быть пользователем, чтобы оставить комментарий
Создать аккаунт
Зарегистрируйте новый аккаунт в нашем сообществе. Это очень просто!
Регистрация нового пользователяВойти
Уже есть аккаунт? Войти в систему.
Войти