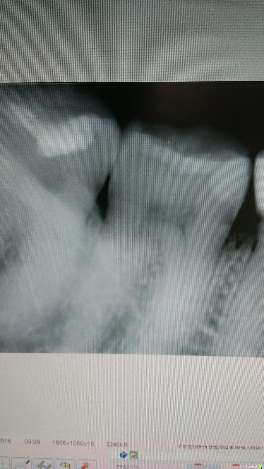
Girl Опубликовано 10 июня, 2015 Поделиться Опубликовано 10 июня, 2015 (изменено) Обратилась пациентка с болью на холодное между 47 и 48.47 лечен год назад по кариесу, на жеват пов-ти пломба. 48 тоже лечен не знаю когда, тоже на жевательной пломба и вторичный кариес. Между зубами реакция на холод и зондирование. Вот снимок. Это 47? У него вроде полость на дистальной пов-ти. Изменено 10 июня, 2015 пользователем Girl Ссылка на комментарий
red_butler Опубликовано 10 июня, 2015 Поделиться Опубликовано 10 июня, 2015 Вот снимок. Где? Ссылка на комментарий
Girl Опубликовано 10 июня, 2015 Автор Поделиться Опубликовано 10 июня, 2015 Вот ))) Ссылка на комментарий
red_butler Опубликовано 10 июня, 2015 Поделиться Опубликовано 10 июня, 2015 Меняйте все, на шестом вижу дефект или рецидив кариесаДа, фамилия пациентки в открытом доступе, не к чему Ссылка на комментарий
Girl Опубликовано 10 июня, 2015 Автор Поделиться Опубликовано 10 июня, 2015 Согласна. Не обратила внимания. Ссылка на комментарий
Рекомендуемые сообщения
Для публикации сообщений создайте учётную запись или авторизуйтесь
Вы должны быть пользователем, чтобы оставить комментарий
Создать аккаунт
Зарегистрируйте новый аккаунт в нашем сообществе. Это очень просто!
Регистрация нового пользователяВойти
Уже есть аккаунт? Войти в систему.
Войти