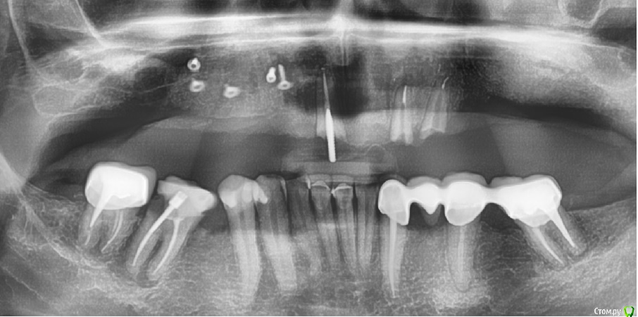
kamranchick Опубликовано 15 сентября, 2018 Поделиться Опубликовано 15 сентября, 2018 Господа чтобы не плодить темы, надеюсь суворовец не против)НКР вместе с синусом было 2 недели назад, через неделю на осмотре был большой отек и расхождение швов по центру, пациент честно сказал что нижние зубы били именно в центр.на сегодняшний день картина вот такая, какие будут рекомендации?Ванночки и ждем, либо? P.S ничего не болит у пациента, пациент приятный честный.НКР вел под амоксиклавом, нимесилом и хг.Эволюшн мембрана, биосс С и ауто немного...фоткал на телефон, фотоаппарат временно на реконструции)От соседнего зуба инфекция мало вероятна, разрез до него не доводил. Ссылка на комментарий
АнтонТЛТ Опубликовано 15 сентября, 2018 Поделиться Опубликовано 15 сентября, 2018 Посмотри его через месяц)) если ничего не беспокоит 1 Ссылка на комментарий
kamranchick Опубликовано 15 сентября, 2018 Поделиться Опубликовано 15 сентября, 2018 О))) этот вариант мне нравится больше всего!) Ссылка на комментарий
syrovovec Опубликовано 18 сентября, 2018 Автор Поделиться Опубликовано 18 сентября, 2018 Однозначно ждать, думаю все будет хорошо. 1 Ссылка на комментарий
TIGER Опубликовано 22 сентября, 2018 Поделиться Опубликовано 22 сентября, 2018 не вижу ничего криминального 1 Ссылка на комментарий
zubovolok Опубликовано 4 октября, 2018 Поделиться Опубликовано 4 октября, 2018 Господа чтобы не плодить темы, надеюсь суворовец не против)НКР вместе с синусом было 2 недели назад, через неделю на осмотре был большой отек и расхождение швов по центру, пациент честно сказал что нижние зубы били именно в центр.на сегодняшний день картина вот такая, какие будут рекомендации?Ванночки и ждем, либо? P.S ничего не болит у пациента, пациент приятный честный.НКР вел под амоксиклавом, нимесилом и хг.Эволюшн мембрана, биосс С и ауто немного...фоткал на телефон, фотоаппарат временно на реконструции)От соседнего зуба инфекция мало вероятна, разрез до него не доводил. Коллеги планируется имплантация в позиции 1.3,1.1,2.3,2.5 пациент носит чспп верхний, без него прикус нефиксированный и фронтальные зубы нижней челюсти упираются в альвеолярный отросток, как быть после имплантации, чтобы не было такого же расхождения швов? Ссылка на комментарий
Dman Опубликовано 4 октября, 2018 Поделиться Опубликовано 4 октября, 2018 вырезайте место под импланты в съемном или поставьте мини имплант с болл атачментом - будет брать на себя нагрузку. Пациент пользуется съемным в обычном режиме Ссылка на комментарий
zubovolok Опубликовано 4 октября, 2018 Поделиться Опубликовано 4 октября, 2018 вырезайте место под импланты в съемном или поставьте мини имплант с болл атачментом - будет брать на себя нагрузку. Пациент пользуется съемным в обычном режимеА швы и чспп на них это нормально? Или в любом случае лучше чем зубами будет травмировать) Ссылка на комментарий
syrovovec Опубликовано 5 октября, 2018 Автор Поделиться Опубликовано 5 октября, 2018 А швы и чспп на них это нормально? Или в любом случае лучше чем зубами будет травмировать)ЧСПП на швы нормально, если пациент сможет его одеть на отечную слизистую)) Ссылка на комментарий
zubovolok Опубликовано 5 октября, 2018 Поделиться Опубликовано 5 октября, 2018 ЧСПП на швы нормально, если пациент сможет его одеть на отечную слизистую))одеть конечно не сможет, придётся корректировать его) Ссылка на комментарий
Evikrol Опубликовано 5 октября, 2018 Поделиться Опубликовано 5 октября, 2018 Почему не сможет. Если сразу после операции одеть протез, и снимать только ради гигиены. То протез даже сдержит мягкие ткани от отёка. Проверено не раз. Конечно если дождаться отёка то не оденет. Ссылка на комментарий
zubovolok Опубликовано 5 октября, 2018 Поделиться Опубликовано 5 октября, 2018 Почему не сможет. Если сразу после операции одеть протез, и снимать только ради гигиены. То протез даже сдержит мягкие ткани от отёка. Проверено не раз. Конечно если дождаться отёка то не оденет.ок,спасибо Ссылка на комментарий
zubovolok Опубликовано 18 декабря, 2018 Поделиться Опубликовано 18 декабря, 2018 Коллеги подскажите пожалуйста каким способом ушивать рану в следующем случае - нижний боковой отдел, с щечной стороны слизистая прикрепляется близко к вершине альвеолярного отростка, после разреза, отслойки и постановки имплантов, ушивал непрерывным матрацным швом. На снятии швов через 10дней обнаружил, что края раны не сомкнуты, края раны эпителизированы, и шов достаточно ослаб (хотя затягивал туго),при простом открывании рта края немного расходятся. Как недопускать такой ситуации? В чем ошибка в технике наложения швов, в выборе варианта ушивания или в том что слизистая близко прикреплена? Ссылка на комментарий
колесников Опубликовано 18 декабря, 2018 Поделиться Опубликовано 18 декабря, 2018 Мобилизовать надо. Дополнительный п-образный шов в основании без натяжения. 1 Ссылка на комментарий
zubovolok Опубликовано 19 декабря, 2018 Поделиться Опубликовано 19 декабря, 2018 Мобилизовать надо. Дополнительный п-образный шов в основании без натяжения.на сколько глубоко отстаивать и как контролировать что достаточно? И п -образный только один стежок или несколько? Ссылка на комментарий
колесников Опубликовано 19 декабря, 2018 Поделиться Опубликовано 19 декабря, 2018 (изменено) 1 зуб-стежок. Мобилизовать пока тянуть не будет. Держите край пинцетом,гладилкаой тяните преддверие вниз,по напряжению определяете насколько эластично сопротивление. Лоскут должен растягиваться,а не сдвигаться. Изменено 19 декабря, 2018 пользователем колесников Ссылка на комментарий
zubovolok Опубликовано 19 декабря, 2018 Поделиться Опубликовано 19 декабря, 2018 (изменено) 1 зуб-стежок. Мобилизовать пока тянуть не будет. Держите край пинцетом,гладилкаой тяните преддверие вниз,по напряжению определяете насколько эластично сопротивление. Лоскут должен растягиваться,а не сдвигаться.большое спасибо,я правильно понял что вместо непрерывного матрацного, п-образный лучше? Изменено 19 декабря, 2018 пользователем zubovolok Ссылка на комментарий
колесников Опубликовано 19 декабря, 2018 Поделиться Опубликовано 19 декабря, 2018 Не могу вам сказать что лучше. Чтобы слизистая регенировала ,края нужно свести и обеспечить стабильность. П-образным швом вы обеспечиваете стабильность лоскутам ,какими швами вы их сведёте и зафиксируете к друг другу наверно не так важно. Ссылка на комментарий
Дмитрий М Опубликовано 20 декабря, 2018 Поделиться Опубликовано 20 декабря, 2018 (изменено) Матрацные швы могут быть как непрерывными, так и узловыми (вертикальными, односторонними и горизонтальными) Горизонтальный матрацный шов накладывается если нужно свести края раны. От вертикального матрацного шва он отличается тем, что нить на поверхности кожи лежит параллельно линии разреза. по сути "п" образный - это узловой(одиночный) матрацный Изменено 20 декабря, 2018 пользователем Дмитрий М Ссылка на комментарий
Рекомендуемые сообщения
Для публикации сообщений создайте учётную запись или авторизуйтесь
Вы должны быть пользователем, чтобы оставить комментарий
Создать аккаунт
Зарегистрируйте новый аккаунт в нашем сообществе. Это очень просто!
Регистрация нового пользователяВойти
Уже есть аккаунт? Войти в систему.
Войти