Нади999 Опубликовано 2 июня, 2015 Поделиться Опубликовано 2 июня, 2015 (изменено) Прошу помочь в следующей ситуации!!!Планирую поставить 2 импланта на верхней челюсти (над гайморовой пазухой). Толщина своей кости в месте предполагаемой имплантации менее 1 мм.Обращалась к имплантологу, он не рискует браться за синус-лифтинг, т.к. не уверен, что данная костукция будет держаться.Могли бы посоветовать, к кому можно обратиться с данной проблемой. Кто из хирургов делает открытый синус-лифтинг в сложных случаях!? Изменено 2 июня, 2015 пользователем Нади999 1 Ссылка на комментарий
red_butler Опубликовано 2 июня, 2015 Поделиться Опубликовано 2 июня, 2015 Прошу помочhttp://forum.stom.ru/topic/20613-sovety-patcientam-obiazatelno-k-prochteniiu/снимки выкладывайте Ссылка на комментарий
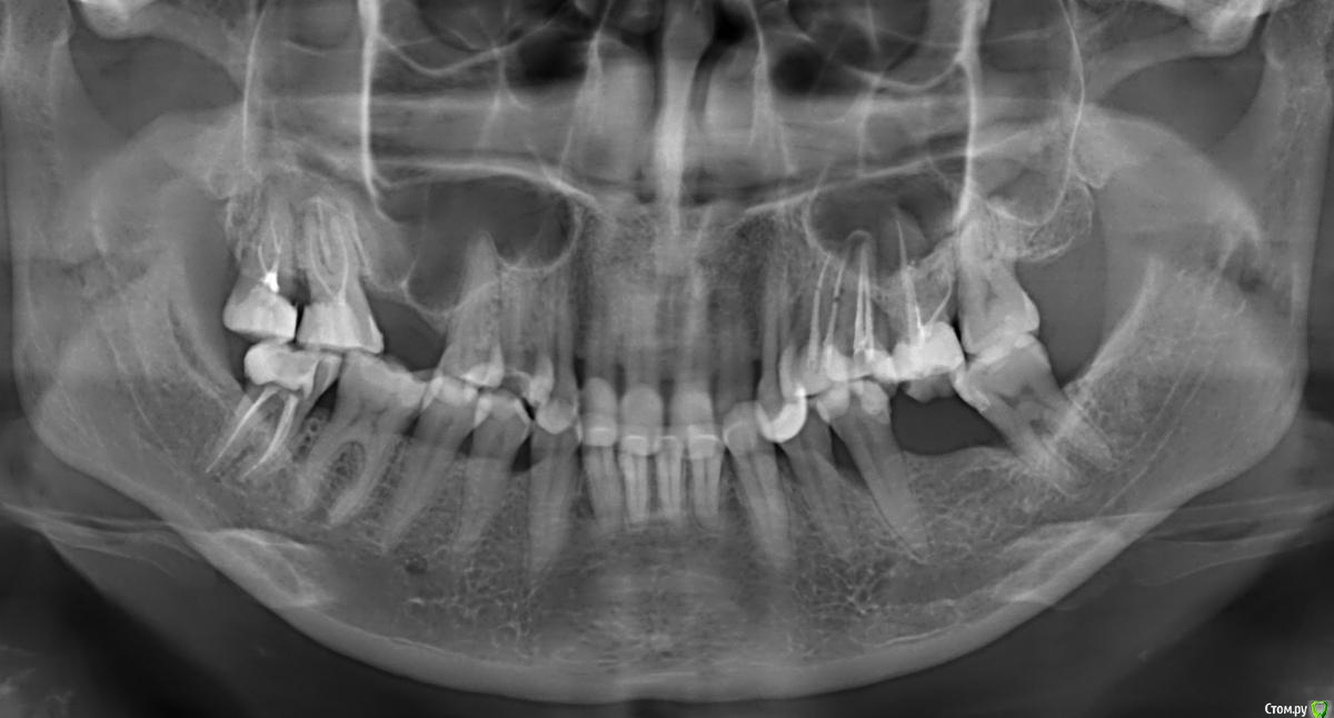
Нади999 Опубликовано 2 июня, 2015 Автор Поделиться Опубликовано 2 июня, 2015 Прикрепляю снимок. Ссылка на комментарий
Bier Опубликовано 2 июня, 2015 Поделиться Опубликовано 2 июня, 2015 проблем с синусом нет, но есть проблемы с соседними зубами. Рекомендации врача в личке. Ссылка на комментарий
red_butler Опубликовано 2 июня, 2015 Поделиться Опубликовано 2 июня, 2015 По этому снимку можно судить о костном предложении по высоте. На верхней челюсти требуется синуслифтинг, проблем тоже не вижу Ссылка на комментарий
Нади999 Опубликовано 2 июня, 2015 Автор Поделиться Опубликовано 2 июня, 2015 Эти зубы я и хочу удалить, чтобы сделать синус и поставить на их место импланты! Ссылка на комментарий
Нади999 Опубликовано 2 июня, 2015 Автор Поделиться Опубликовано 2 июня, 2015 Просто имплантолог, с которым я общалась, сказал, что не факт, что будет держаться! Ссылка на комментарий
Нади999 Опубликовано 2 июня, 2015 Автор Поделиться Опубликовано 2 июня, 2015 проблем с синусом нет, но есть проблемы с соседними зубами. Рекомендации врача в личке.Эти зубы я и хочу удалить, чтобы сделать синус и поставить на их место импланты! Ссылка на комментарий
red_butler Опубликовано 2 июня, 2015 Поделиться Опубликовано 2 июня, 2015 Могли бы посоветовать, к кому можно обратиться с данной проблемой. Кто из хирургов делает открытый синус-лифтинг в сложных случаях!? напишите сюда http://forum.stom.ru/topic/16116-posovetujte-khirurgaimplantologa/ Ссылка на комментарий
Нади999 Опубликовано 2 июня, 2015 Автор Поделиться Опубликовано 2 июня, 2015 По этому снимку можно судить о костном предложении по высоте. На верхней челюсти требуется синуслифтинг, проблем тоже не вижуМогли бы посоветовать, кто из хирургов делает синус-лифтинг в сложных случаях!? Я имею ввиду специалистов, у которых есть успешная практика в этом вопросе. Ссылка на комментарий
Нади999 Опубликовано 2 июня, 2015 Автор Поделиться Опубликовано 2 июня, 2015 напишите сюда http://forum.stom.ru/topic/16116-posovetujte-khirurgaimplantologa/ Спасибо! Сегодня напишу! Ссылка на комментарий
Рекомендуемые сообщения
Для публикации сообщений создайте учётную запись или авторизуйтесь
Вы должны быть пользователем, чтобы оставить комментарий
Создать аккаунт
Зарегистрируйте новый аккаунт в нашем сообществе. Это очень просто!
Регистрация нового пользователяВойти
Уже есть аккаунт? Войти в систему.
Войти