Ico Опубликовано 3 июня, 2015 Поделиться Опубликовано 3 июня, 2015 Тань,к эмали приклеится гораздо проще чем к дентину.В данном видео показан отличный мануал и микротомы на длинной ножке))Если на пломбу механическая нагрузка не деиствует,она дольше протянет,это как минимум 5 лет при хорошей гигиене.У тебя все пациенты ходят раз в пол года на осмотры? Закон Мерфи - "Ситуация пущенная на самотек,разрешится самым плохим образом".Тань,если бы автор ролика получил идентичный снимок,он бы не стал лечить такой случай,он как видишь,все равно не сильно - то и опоздал,не у каждого есть жена стоматолог :lol: Ссылка на комментарий
Джима Опубликовано 3 июня, 2015 Поделиться Опубликовано 3 июня, 2015 Тань,к эмали приклеится гораздо проще чем к дентину...........если бы автор ролика получил идентичный снимок,он бы не стал лечить такой случайПрикольно. Вроде на одном языке пишем, я пишу одно, ты видишь другое О том, к чему лучше клеится композит - к эмали или к дентину - я вообще-то в курсе Я имела в виду, что именно к той эмали, гиперминерализованной под пятном, трудно приклеить. А где плохо приклеится - потом быстрее всего подтекать начнёт. Поэтому убрала всё до нормальных тканей.То, что автор не лечил бы Костин снимок, это 100% Он даже свой, с изменениями в дентине, только через год лечить стал. О том и речь, что иногда такой кариес идёт оооочень медленно или вообще стоит на месте. От пациента зависит, от возраста, пола, общего здоровья, пищевых привычек, не только от гигиены.В данном видео показан отличный мануал и микротомы на длинной ножке))Если на пломбу механическая нагрузка не деиствует,она дольше протянет,это как минимум 5 лет при хорошей гигиене.На пломбу или на контакт пломбы-зуба? Мне не нравится этот краевой гребень, там кой-где меньше миллиметра толщины осталось - чего ради этот героический бутерброд строить? Мне не нравится серая полоска в фиссуре под композитом на жевательной поверхности прямо над полостью и не нравится то, что полость светится на всём протяжении гребня. Отколется он, 100%. Какие 5 лет? Не верю. Я не против микроинвазивных методов работы, я против расширения показаний. Вот так, как на видео, надо было год назад лечить.Почему-то не показали никак соседнюю стенку. И ещё я не увидела кариес-маркера и не увидела идеально чистой полости (очень интересно было бы заглянуть снизу под эту крышу). Если доктор её увидел, а я нет, ну и маркер был, но не показали, тогда это не "отличный мануал", а просто гламурные понты Ну вот, наговорила гадостей за глаза про незнакомого доктора. Это ты виноват Паш, если б это в моём зубе такое было, а у тебя были бы вожделенные микротомы, такой же скоп, как у доктора, и такая же симпатичная ася - ты бы мне тоже вот так же лечил? Оставил бы этот несчастный край вместе с серой полосой под старым композитом?У тебя все пациенты ходят раз в пол года на осмотры?ээмммм.. как бы сказать, чтоб не наврать. Конечно, не все. Но те, кого я хочу понаблюдать, вписываются в тетрадку, обзваниваются админами, практически все приходят, если их зовут. Речь не о том. Паш, у меня ведь дети На молочных молярах на контактах почти всегда лечу, даже если это только в эмали и только-только началось. Раньше наблюдала, сделала свои выводы Ссылка на комментарий
Ico Опубликовано 3 июня, 2015 Поделиться Опубликовано 3 июня, 2015 Прикольно. Вроде на одном языке пишем, я пишу одно, ты видишь другое О том, к чему лучше клеится композит - к эмали или к дентину - я вообще-то в курсе Я имела в виду, что именно к той эмали, гиперминерализованной под пятном, трудно приклеить. А где плохо приклеится - потом быстрее всего подтекать начнёт. Поэтому убрала всё до нормальных тканей.То, что автор не лечил бы Костин снимок, это 100% Он даже свой, с изменениями в дентине, только через год лечить стал. О том и речь, что иногда такой кариес идёт оооочень медленно или вообще стоит на месте. От пациента зависит, от возраста, пола, общего здоровья, пищевых привычек, не только от гигиены.На пломбу или на контакт пломбы-зуба? Мне не нравится этот краевой гребень, там кой-где меньше миллиметра толщины осталось - чего ради этот героический бутерброд строить? Мне не нравится серая полоска в фиссуре под композитом на жевательной поверхности прямо над полостью и не нравится то, что полость светится на всём протяжении гребня. Отколется он, 100%. Какие 5 лет? Не верю. Я не против микроинвазивных методов работы, я против расширения показаний. Вот так, как на видео, надо было год назад лечить.Почему-то не показали никак соседнюю стенку. И ещё я не увидела кариес-маркера и не увидела идеально чистой полости (очень интересно было бы заглянуть снизу под эту крышу). Если доктор её увидел, а я нет, ну и маркер был, но не показали, тогда это не "отличный мануал", а просто гламурные понты Ну вот, наговорила гадостей за глаза про незнакомого доктора. Это ты виноват Паш, если б это в моём зубе такое было, а у тебя были бы вожделенные микротомы, такой же скоп, как у доктора, и такая же симпатичная ася - ты бы мне тоже вот так же лечил? Оставил бы этот несчастный край вместе с серой полосой под старым композитом?ээмммм.. как бы сказать, чтоб не наврать. Конечно, не все. Но те, кого я хочу понаблюдать, вписываются в тетрадку, обзваниваются админами, практически все приходят, если их зовут. Речь не о том. Паш, у меня ведь дети На молочных молярах на контактах почти всегда лечу, даже если это только в эмали и только-только началось. Раньше наблюдала, сделала свои выводы Эээээ короче убедила Ссылка на комментарий
M@estro Опубликовано 3 июня, 2015 Поделиться Опубликовано 3 июня, 2015 На молочных молярах на контактах почти всегда лечу, даже если это только в эмали и только-только началось. У них только-только началось - и через 2 месяца пульпит ) 4 Ссылка на комментарий
Джима Опубликовано 3 июня, 2015 Поделиться Опубликовано 3 июня, 2015 Эээээ короче убедила и чё, даже возражать не будешь?... блин, я так не играю Ссылка на комментарий
Zlata-doctor Опубликовано 4 июня, 2015 Поделиться Опубликовано 4 июня, 2015 Я бы лечила, рентгенологически там уже есть полости и не факт, что только в пределах эмали. Видео не понравилось тоже по тем-же соображениям, о кот писала Джима. Ссылка на комментарий
Ico Опубликовано 5 июня, 2015 Поделиться Опубликовано 5 июня, 2015 и чё, даже возражать не будешь?... блин, я так не играю Короче это все религия http://www.ncbi.nlm.nih.gov/pubmed/19906618 1 Ссылка на комментарий
Джима Опубликовано 6 июня, 2015 Поделиться Опубликовано 6 июня, 2015 (изменено) ну а чё ты хотел.. "Медицина - вторая по точности наука после богословия".на то нам и клиническое мышление Изменено 6 июня, 2015 пользователем Джима 1 Ссылка на комментарий
Карен Аванесов Опубликовано 4 декабря, 2015 Поделиться Опубликовано 4 декабря, 2015 БрЕтанские ученые Ссылка на комментарий
Карен Аванесов Опубликовано 4 декабря, 2015 Поделиться Опубликовано 4 декабря, 2015 Паша, спрячь скорее эти картинку!)))) Ссылка на комментарий
Карен Аванесов Опубликовано 4 декабря, 2015 Поделиться Опубликовано 4 декабря, 2015 Так и сейчас можно, с корректировкой экспозиции. Ссылка на комментарий
Shaid Опубликовано 25 декабря, 2015 Поделиться Опубликовано 25 декабря, 2015 Полость - это пространство внутри чего-нибудь. Ты как считаешь, что есть полость? Полость есть, но в эмали Хе-хе! солидарен с тобой. Что у пациента с гигиеной? Ссылка на комментарий
Kolchanov Опубликовано 26 декабря, 2015 Автор Поделиться Опубликовано 26 декабря, 2015 Нормальный диалог. Я через полгода отвечу Ссылка на комментарий
Петрович Опубликовано 26 декабря, 2015 Поделиться Опубликовано 26 декабря, 2015 Нормальный диалог. Я через полгода отвечу Так ведь раз в пол года пациент приходит. И показывает... что с гигиеной и полостью в эмали Ссылка на комментарий
Kolchanov Опубликовано 26 декабря, 2015 Автор Поделиться Опубликовано 26 декабря, 2015 Скоро узнаем. Ссылка на комментарий
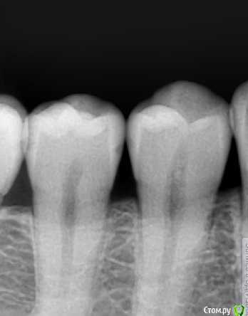
Kolchanov Опубликовано 12 апреля, 2016 Автор Поделиться Опубликовано 12 апреля, 2016 Почти год спустя те же зубы 3 Ссылка на комментарий
Карен Аванесов Опубликовано 12 апреля, 2016 Поделиться Опубликовано 12 апреля, 2016 Константин, а вот теперь тебе вопрос про гиппер препарирование дентина? Он ведь тоже восстанавливается и инфекции там нет, а вот на депульпированных зубах, без "иммунитета" все гораздо хуже. Ссылка на комментарий
Карен Аванесов Опубликовано 12 апреля, 2016 Поделиться Опубликовано 12 апреля, 2016 Это к вопросу о минимальной инвазии, ее все по своему понимают, кому то бот поменьше, но пилить-пилить, а кто то по другому думает. Ссылка на комментарий
Kolchanov Опубликовано 12 апреля, 2016 Автор Поделиться Опубликовано 12 апреля, 2016 инфекции там нет, Рикуччи в своей книге пишет и показывает, что надо дотла вычищать. Ссылка на комментарий
Карен Аванесов Опубликовано 13 апреля, 2016 Поделиться Опубликовано 13 апреля, 2016 Не сотвори себе кумира. Ссылка на комментарий
Гарриевич Опубликовано 14 апреля, 2016 Поделиться Опубликовано 14 апреля, 2016 Не сотвори себе кумира.Там не кумир, там гистология. Ссылка на комментарий
Петрович Опубликовано 14 апреля, 2016 Поделиться Опубликовано 14 апреля, 2016 Там не кумир, там гистология. главное чтобы патогенеза не было. Ссылка на комментарий
Карен Аванесов Опубликовано 15 апреля, 2016 Поделиться Опубликовано 15 апреля, 2016 Випиливаю "до тла" только на девитальных зубах. А вначале практики было много осложнений именно из-за гипперпрепа. Сейчас я не знаю что такое гиппер чувствительность после лечения кариеса и тем более осложнения в виде пульпитов. Но я никого не уговариваю, так работаю мне удобно и пациенты довольны. Ссылка на комментарий
Рекомендуемые сообщения
Для публикации сообщений создайте учётную запись или авторизуйтесь
Вы должны быть пользователем, чтобы оставить комментарий
Создать аккаунт
Зарегистрируйте новый аккаунт в нашем сообществе. Это очень просто!
Регистрация нового пользователяВойти
Уже есть аккаунт? Войти в систему.
Войти