SAnet Опубликовано 30 мая, 2015 Поделиться Опубликовано 30 мая, 2015 Здравствуйте. Что может провоцировать выдавливание пасты из зуба?, особенно когда ешь, и начинается дискомфорт в зубе. Такое уже было после лечения, переделывали пломбу, щас стоит свето отражаемая, и снова такая же фишка. Ссылка на комментарий
red_butler Опубликовано 30 мая, 2015 Поделиться Опубликовано 30 мая, 2015 SAnet Вы же на форуме давно, для ответов нужны объективные данные, http://forum.stom.ru/topic/20613-sovety-patcientam-obiazatelno-k-prochteniiu/иначе тему придется закрыть. Да и честно, я вообще не понял вопроса. Ссылка на комментарий
diesel87 Опубликовано 30 мая, 2015 Поделиться Опубликовано 30 мая, 2015 Я тоже не понял)) может где то опечатка?) пломбу выдавливает? Ссылка на комментарий
SAnet Опубликовано 30 мая, 2015 Автор Поделиться Опубликовано 30 мая, 2015 Извиняюсь) ... правильнее, каналы мне запломбировали пастой) таким же материалом от зуба запах идет, где то сочится) даже язык холодит/щипит Ссылка на комментарий
Vladimirov Опубликовано 30 мая, 2015 Поделиться Опубликовано 30 мая, 2015 таким же материалом от зуба запах идет как минимум реставрация не герметична Ссылка на комментарий
SAnet Опубликовано 30 мая, 2015 Автор Поделиться Опубликовано 30 мая, 2015 как минимум реставрация не герметична Я 2 раз переделываю. И такая же ситуация. Что такое? у доктора р.кривые не может пломбу сделать? Ссылка на комментарий
St. Опубликовано 30 мая, 2015 Поделиться Опубликовано 30 мая, 2015 Снимки покажите сначала. Пока обсуждать нечего.. Ссылка на комментарий
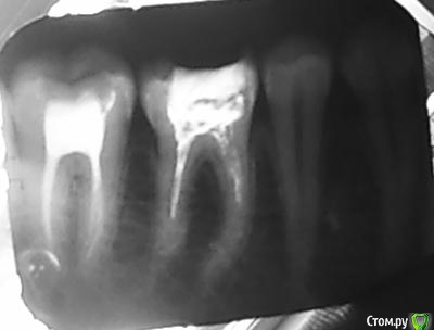
SAnet Опубликовано 31 мая, 2015 Автор Поделиться Опубликовано 31 мая, 2015 Вроде как вот) Ссылка на комментарий
parallax Опубликовано 31 мая, 2015 Поделиться Опубликовано 31 мая, 2015 А который из них Вас гнетёт? Оба моляра не айс. Ссылка на комментарий
St. Опубликовано 31 мая, 2015 Поделиться Опубликовано 31 мая, 2015 Может стоит подумать о смене доктора?. Каналы не очень.. Ссылка на комментарий
SAnet Опубликовано 31 мая, 2015 Автор Поделиться Опубликовано 31 мая, 2015 Я пробовал. Сказали 6 как есть... дальше не могут пройти канальчики) брет? и вообще реакция на холод сильная есть) боли) потом резко проходит Ссылка на комментарий
red_butler Опубликовано 1 июня, 2015 Поделиться Опубликовано 1 июня, 2015 Я пробовал попробуйте еще 1 Ссылка на комментарий
Рекомендуемые сообщения
Для публикации сообщений создайте учётную запись или авторизуйтесь
Вы должны быть пользователем, чтобы оставить комментарий
Создать аккаунт
Зарегистрируйте новый аккаунт в нашем сообществе. Это очень просто!
Регистрация нового пользователяВойти
Уже есть аккаунт? Войти в систему.
Войти