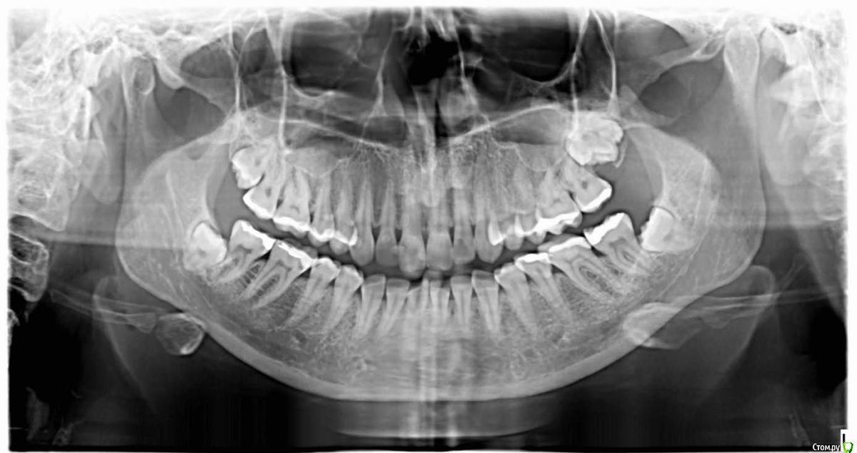
sonoko Опубликовано 21 мая, 2015 Поделиться Опубликовано 21 мая, 2015 (изменено) Добрый день! Собираюсь удалять все свои 4 восьмёрки и хотела бы получить тут консультацию, прежде чем идти к хирургу. Год назад прорезалась верхняя правая восьмёрка (маленький кусочек зуба торчит из нижней поверхности десны), и лечащий врач посоветовал её удалить. Остальные восьмёрки не прорезались. Болезненных ощущений от зубов мудрости не испытываю (иногда несильно "тянет" в области левой нижней восьмёрки), но чувствую, что правая верхняя стала немного подпирать щёку сквозь десну. Пожалуйста, подскажите, сложен ли мой случай? (Да, возможно, я чуть-чуть паникую , но моя ортопантограмма меня неприятно удивила.)Какая из восьмёрок подлежит удалению в первую очередь, и стоит ли оставлять левую верхнюю - вроде как ей есть куда расти? Насколько я могу понять, правая верхняя растёт вбок, но при удалении это ведь не должно вызвать особых проблем? Больше всего меня беспокоит ситуация с левой нижней. Если я правильно интерпретирую снимок, она полностью закрыта: с трёх сторон костью, с четвёртой - соседним зубом. Я бы не стала её трогать, но меня тревожит наличие тянущих и распирающих ощущений, возникающих время от времени. Боюсь, что её рост повредит соседний зуб. Насколько сложным является удаление такого зуба? Можно ли делать его в поликлинике, или лучше обратится в больницу, в отделение челюстно-лицевой хирургии? Заранее спасибо за ответы. Изменено 21 мая, 2015 пользователем sonoko Ссылка на комментарий
Bier Опубликовано 21 мая, 2015 Поделиться Опубликовано 21 мая, 2015 вы путаете лево с право на снимке.Лучше удалять в частной клинике у квалифицированного хирурга. Под седацией все 4 сразу. 1 Ссылка на комментарий
Jurai Опубликовано 21 мая, 2015 Поделиться Опубликовано 21 мая, 2015 Я бы растянула удовольствие - по два с каждой стороны (не работаю с седацией). На первый взгляд, сложностей никаких не ожидается. 1 Ссылка на комментарий
diesel87 Опубликовано 21 мая, 2015 Поделиться Опубликовано 21 мая, 2015 Удаления не сложные, для не прорезавшихся восьмерок, слева кстати сверху возможно еще девятка есть. Если каждый визит к стоматологу сложен и страшен, то можно под седацией все 4 сразу или же по две с каждой стороны для удобства адаптации. 1 Ссылка на комментарий
sonoko Опубликовано 22 мая, 2015 Автор Поделиться Опубликовано 22 мая, 2015 (изменено) Большое спасибо всем за ответы! Радует, что случай мой вполне заурядный (ну, за исключением девятки - из-за неё я и решила, что снимок отзеркален: приняла левые 8+9 за мою единственную почти "проклюнувшуюся" правую восьмёрку.) Я и не подозревала, что девятки вообще существуют. Страха перед визитами к стоматологу у меня нет: к сожалению, зубы плохие, и редкие полгода-год обходятся без новой пломбы. Но все мои посещения зубного в этом году были с нехорошими последствиями: то укол пришёлся в нерв, и левая половина языка онемела почти на месяц, то после отхода от обезболивания все зубы слева стало очень болезненно "дёргать"... А удаление ретинированных зубов всё-таки гораздо более травмирующая процедура, чем установка пломбы. Поэтому перед тем, как идти к хирургу, я хотела знать, к чему мне быть готовой. Всегда сильнее пугает не боль, а недостаток информации. После прочтения ответов появился вопрос: если удалять все за один раз, то не затруднит ли это процесс заживления, ведь во время приёма пищи ранки будут неизбежно травмироваться? Изменено 22 мая, 2015 пользователем sonoko Ссылка на комментарий
diesel87 Опубликовано 22 мая, 2015 Поделиться Опубликовано 22 мая, 2015 Если убирать все за раз, то лучше под седацией, посмотрели счастливые сны, а хирург тем временем убрал все ретенции, послеоперационный период обычно протекает проще, отеков меньше, боли. Но неделю придется с приемом пищи быть аккуратной. 1 Ссылка на комментарий
sonoko Опубликовано 22 мая, 2015 Автор Поделиться Опубликовано 22 мая, 2015 Ок, подумаю о седации: проверю, есть ли противопоказания. Раньше я подобную возможность не рассматривала. А почему при использовании седации меньше боли и отёков? И ещё вопрос, который, наверное, задают все пациенты, когда им "грозит" удаление восьмёрок: в моём случае стоит удалять все? Или какие-то можно оставить? Учитывая, что все жевательные зубы у меня уже пломбированные-перепломбированные, не получится ли так, что восьмёрки мне ещё пригодятся? Ссылка на комментарий
diesel87 Опубликовано 23 мая, 2015 Поделиться Опубликовано 23 мая, 2015 Эти восьмерки вам точно не пригодятся, учитывая что они могут подпортить семерки раньше чем появятся на свет. При седации меньше уколов требуется, травмы меньше. 1 Ссылка на комментарий
sonoko Опубликовано 23 мая, 2015 Автор Поделиться Опубликовано 23 мая, 2015 Ясно, спасибо! Ссылка на комментарий
Рекомендуемые сообщения
Для публикации сообщений создайте учётную запись или авторизуйтесь
Вы должны быть пользователем, чтобы оставить комментарий
Создать аккаунт
Зарегистрируйте новый аккаунт в нашем сообществе. Это очень просто!
Регистрация нового пользователяВойти
Уже есть аккаунт? Войти в систему.
Войти