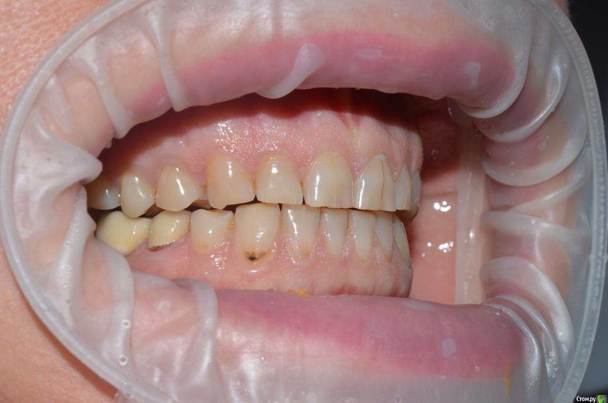
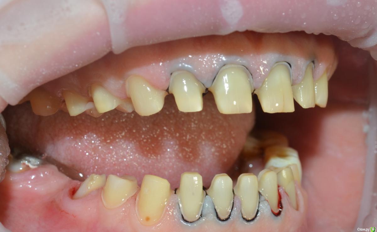
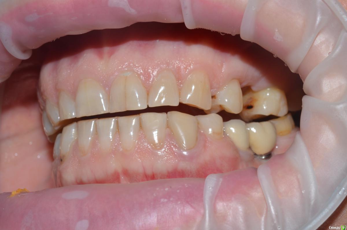
NazranDantist Опубликовано 21 мая, 2015 Поделиться Опубликовано 21 мая, 2015 (изменено) Коллеги поделитесь опытом. Какой план лечения предложить пациентке. Планируется тотальная работа что-нибудь из безметаловой технологии (E-max или претау, еще обдумываем). Вопрос, как выровнять оклюзионную плоскость, нужно ли прибегать к помощи ортодонта? Больше всего интересует первый сегмент, особенно зуб 15, висит слишком сильно. Или все таки стараться выйти из положения керамикой плюс хирургическое удлинение? Изменено 21 мая, 2015 пользователем NazranDantist Ссылка на комментарий
Ординатор Опубликовано 21 мая, 2015 Поделиться Опубликовано 21 мая, 2015 (изменено) нужно больше данных о пациенте(анамнез, жалобы,возраст ), как минимум еще ОПТГ, и диагностические модели.В первую очередь определить причину стертости зубов! Как устраните причину можно будет поговорить о протезировании. Изменено 21 мая, 2015 пользователем Ординатор Ссылка на комментарий
NazranDantist Опубликовано 21 мая, 2015 Автор Поделиться Опубликовано 21 мая, 2015 нужно больше данных о пациенте(анамнез, жалобы,возраст ), как минимум еще ОПТГ, и диагностические модели.В первую очередь определить причину стертости зубов! Как устраните причину можно будет поговорить о протезировании. Причин стирания зубов может быть очень много, как правило у таких пациентов помимо оклюзионных нарушений имеются нарушения постуральной системы, вплоть до скелетных изменений, наблюдается ассиметрия черепных костей (или их неправильное положение) и т.д. Но я не собираюсь это все лечить, поэтому для себя решил, что правильное определение ЦС, восстановление анатомии зубов, создание правильных контактов и выравнивание окклюзионной плоскости - это то что я могу сделать. Все остальное - для научных изыскателей Фото моделей в артикуляторе будут в понедельник. А орто зачем? Ссылка на комментарий
Ординатор Опубликовано 21 мая, 2015 Поделиться Опубликовано 21 мая, 2015 Причин стирания зубов может быть очень много, как правило у таких пациентов помимо оклюзионных нарушений имеются нарушения постуральной системы, вплоть до скелетных изменений, наблюдается ассиметрия черепных костей (или их неправильное положение) и т.д. Но я не собираюсь это все лечить, поэтому для себя решил, что правильное определение ЦС, восстановление анатомии зубов, создание правильных контактов и выравнивание окклюзионной плоскости - это то что я могу сделать. Все остальное - для научных изыскателей Фото моделей в артикуляторе будут в понедельник. А орто зачем? при таком стирании часто бывают изменение в периапикальных тканях. чтобы потом пациент не пытался связать свой бессимптомный периодонтит с вашими винирами Ссылка на комментарий
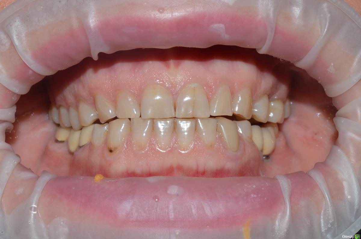
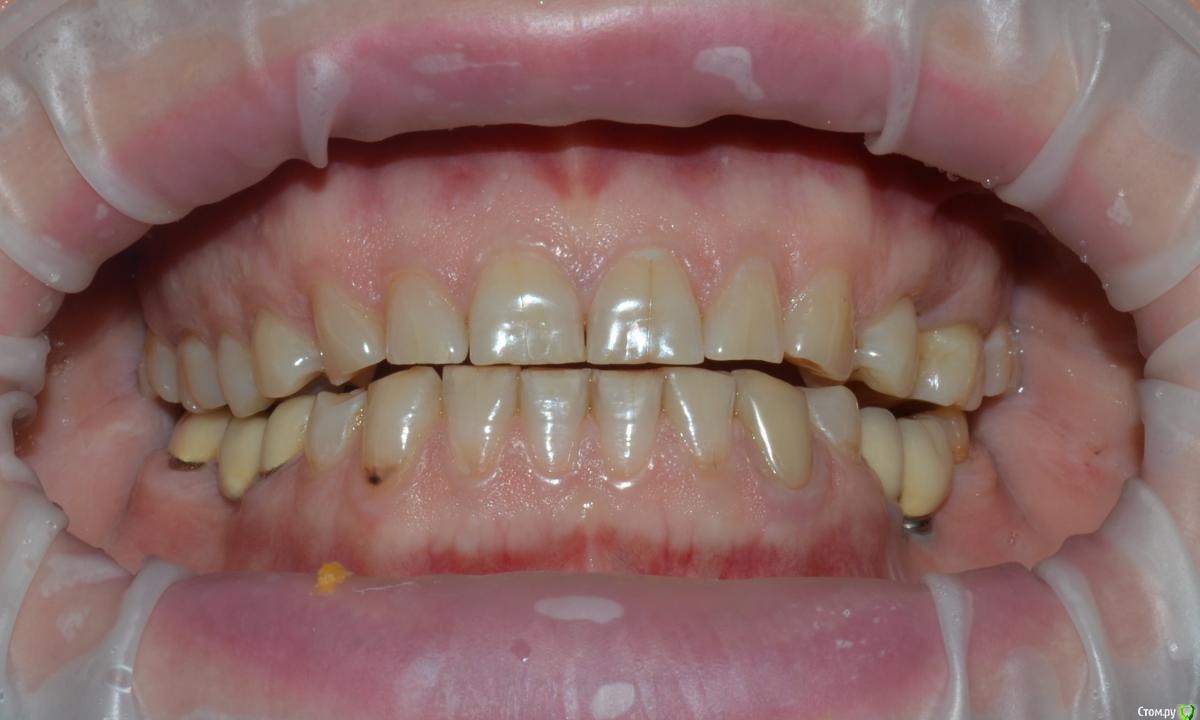
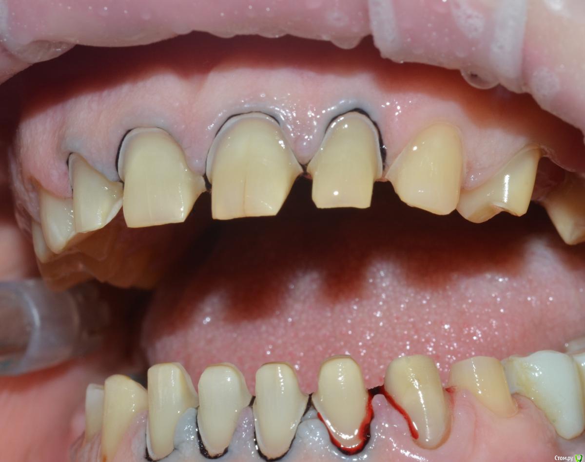
NazranDantist Опубликовано 4 сентября, 2015 Автор Поделиться Опубликовано 4 сентября, 2015 Продолжение кейса. Работа еще не закончена, зуб 25, 35, 36 - аббатменты на подходе, поэтому решили сделать после отпуска пациентки. Фото протокол не соблюдал, курс рубля прыгал, торопился в обменник . Вся работа - имакс на Цереке с редуцированием, фиксация - фронт на чойс, боковые - У-200. Ссылка на комментарий
Freelancer1981 Опубликовано 4 сентября, 2015 Поделиться Опубликовано 4 сентября, 2015 Как цс определяли?Я бы верхние режущий край у верхних зубов(отпрепарированных)загладил,а то разительный контраст с нижними..Фото бы день денька через 3-4.. Ссылка на комментарий
NazranDantist Опубликовано 4 сентября, 2015 Автор Поделиться Опубликовано 4 сентября, 2015 Как цс определяли?Я бы верхние режущий край у верхних зубов(отпрепарированных)загладил,а то разительный контраст с нижними..Фото бы день денька через 3-4..ЦС определял методом джига, высоту "на глаз". Фото сделать нет возможности, пациентка уехала, обещала вернуться Ссылка на комментарий
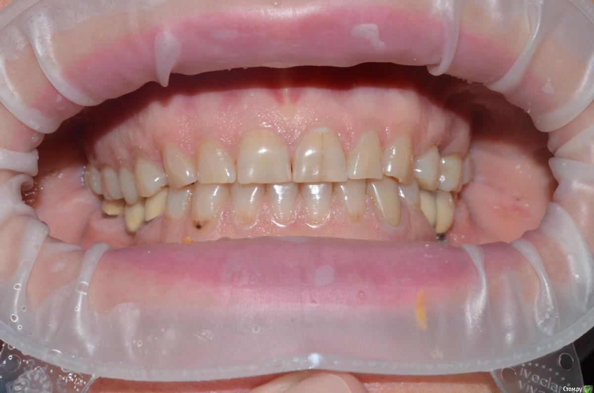
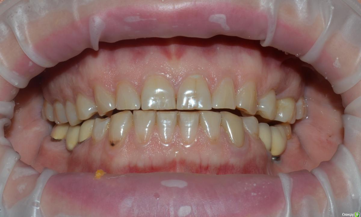
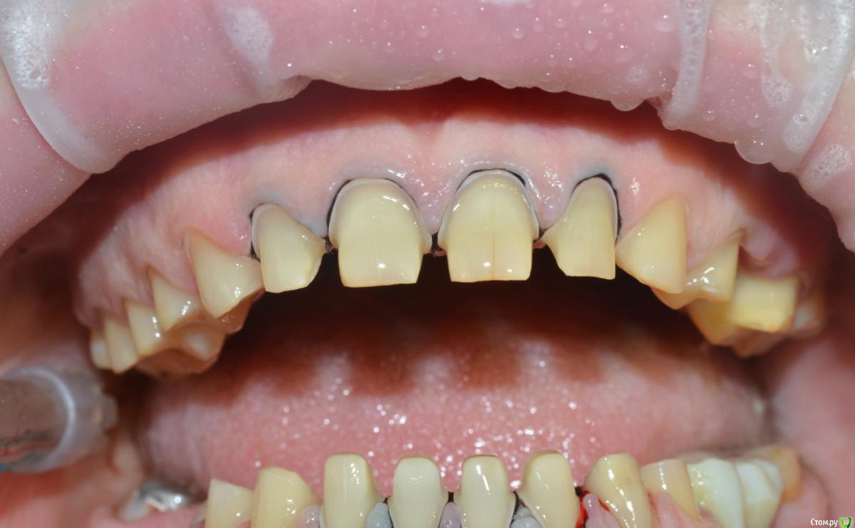
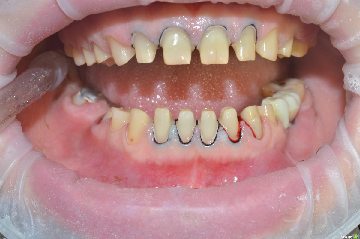
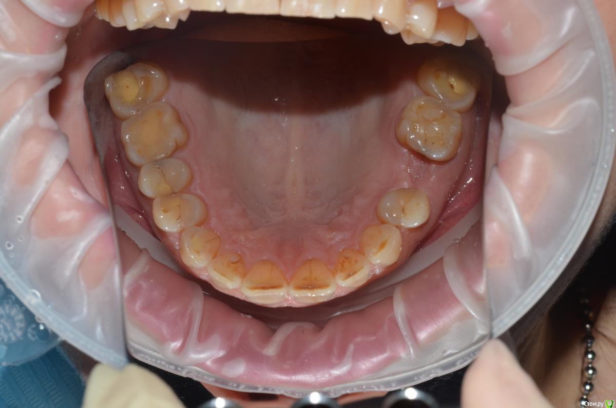
CHEREDNICHENCO Опубликовано 12 сентября, 2015 Поделиться Опубликовано 12 сентября, 2015 Режет глаз смещение цл, оптг необходимо определенно, хотя бы для оценки состояния тттз и периапикальных тканей в 4 секторе.... Индикатор кариеса используете в работе???.... А зачем в 3 секторе оставили временную конструкцию?! Или это постоянная???..... В десятых- эстетически не вяжется соотношение нижних к верхним... PS: В связи с определенным географическим положением, КНДР находиться в 1 км. 44 м. от места моей работы! и хочу сообщить Вам,- уровень их работ растет от из года, в год! Ссылка на комментарий
NazranDantist Опубликовано 12 сентября, 2015 Автор Поделиться Опубликовано 12 сентября, 2015 Режет глаз смещение цл, оптг необходимо определенно, хотя бы для оценки состояния тттз и периапикальных тканей в 4 секторе.... Индикатор кариеса используете в работе???.... А зачем в 3 секторе оставили временную конструкцию?! Или это постоянная???..... В десятых- эстетически не вяжется соотношение нижних к верхним... PS: В связи с определенным географическим положением, КНДР находиться в 1 км. 44 м. от места моей работы! и хочу сообщить Вам,- уровень их работ растет от из года, в год! А что делать с центральной линией, если она смещена? Кариес индикатор для чего? Про времянки в 3-ем секторе уже написал " Работа еще не закончена, зуб 25, 35, 36 - аббатменты на подходе". Оценка периапекальных тканей проводилась. Ссылка на комментарий
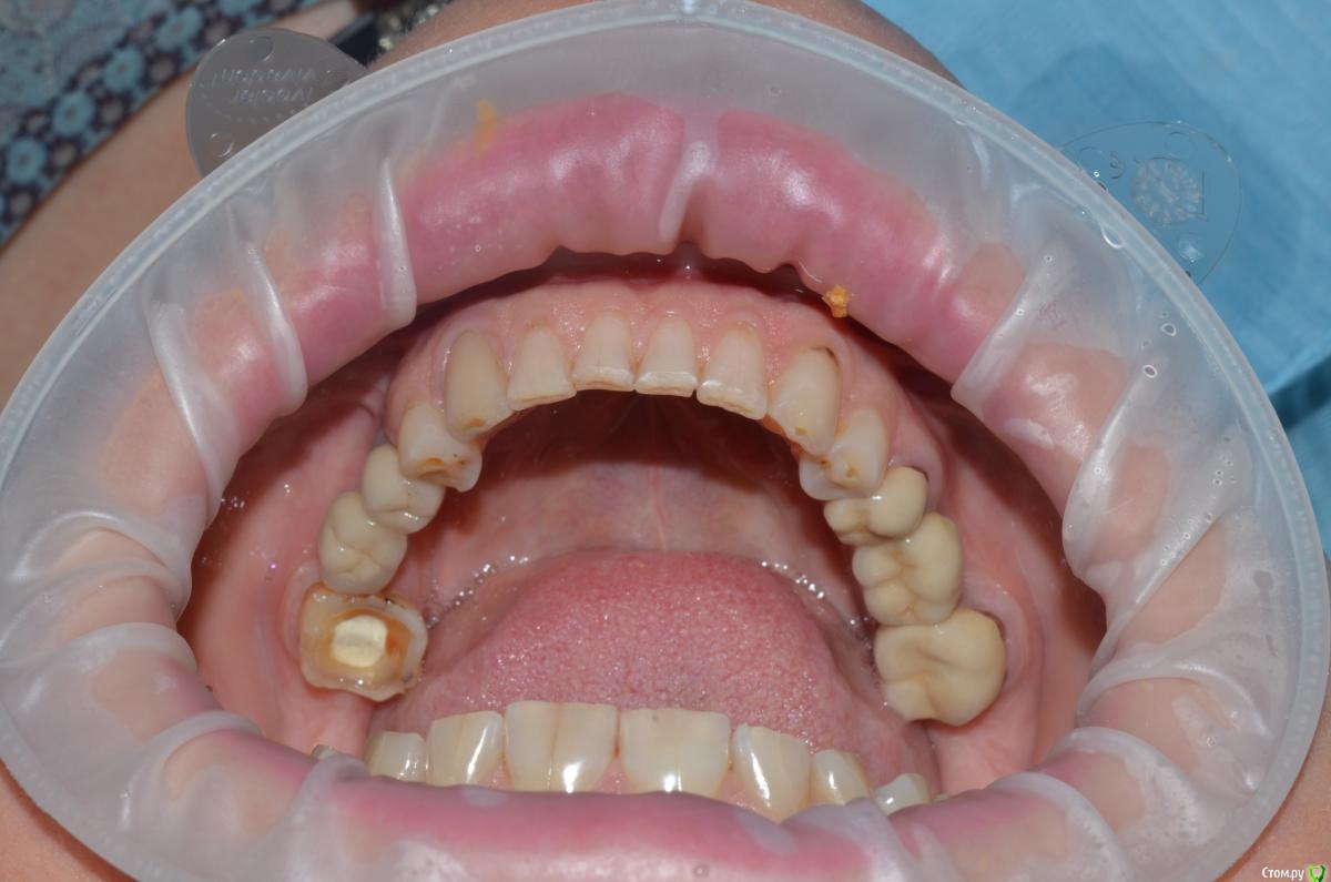
CHEREDNICHENCO Опубликовано 12 сентября, 2015 Поделиться Опубликовано 12 сентября, 2015 До протезирования, без смещения! 1.5, 1.6 кариес II класс, 4.3 - V. Как сагиттальную окклюзионную кривую выводили??? Не проще было подождать подхода аббатов...со времянками? Ссылка на комментарий
CHEREDNICHENCO Опубликовано 12 сентября, 2015 Поделиться Опубликовано 12 сентября, 2015 Sorry... Перед глазами реклама про южную Корею, вот и замахнулся на кндр!!! В черезпредыдущем сообщении читать вместо кндр- кнр!!! Ссылка на комментарий
NazranDantist Опубликовано 12 сентября, 2015 Автор Поделиться Опубликовано 12 сентября, 2015 (изменено) До протезирования, без смещения! 1.5, 1.6 кариес II класс, 4.3 - V. Как сагиттальную окклюзионную кривую выводили??? Не проще было подождать подхода аббатов...со времянками?Кариеса нет.Смещение есть Изменено 12 сентября, 2015 пользователем NazranDantist Ссылка на комментарий
CHEREDNICHENCO Опубликовано 13 сентября, 2015 Поделиться Опубликовано 13 сентября, 2015 Кариеса нет.DSC_0643.JPGСмещение естьПо фото, когда зубные ряды находятся в контакте- смещение есть! Но на первых фото, когда НЧ находиться в состоянии относительного физиологического покоя, смещения нет! ТО делаю вывод, смещение возникает в результате неправильного соотношения жевательных поверхностей зубов. Ссылка на комментарий
Рекомендуемые сообщения
Для публикации сообщений создайте учётную запись или авторизуйтесь
Вы должны быть пользователем, чтобы оставить комментарий
Создать аккаунт
Зарегистрируйте новый аккаунт в нашем сообществе. Это очень просто!
Регистрация нового пользователяВойти
Уже есть аккаунт? Войти в систему.
Войти