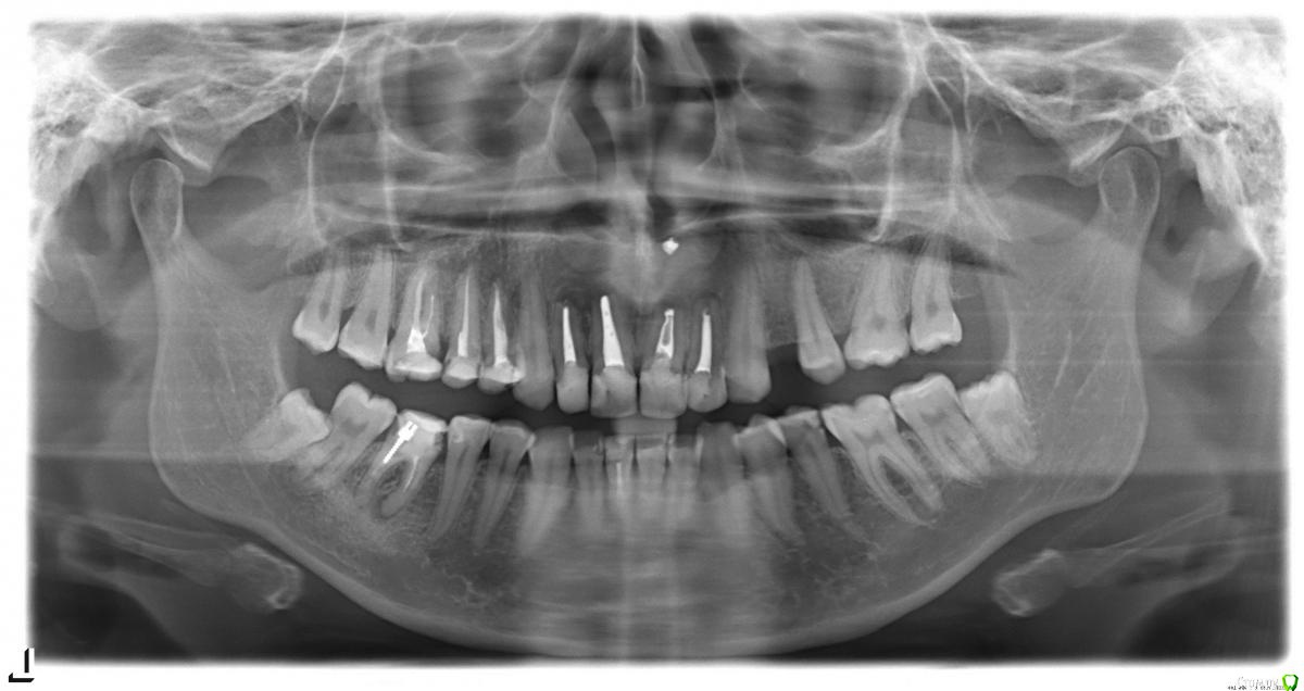
Анна 1986 Опубликовано 18 мая, 2015 Поделиться Опубликовано 18 мая, 2015 (изменено) Добрый день!История такая: под вопросом перелечивание каналов с кистами, самый актуальный сейчас зуб - это шестерка (снизу слева). Стоит ли пытаться перелечить (насчитали очень дорого, и без каких-либо гарантий) зуб, есть ли шанс, что киста "пройдет", или в этом случае лучше удалить зуб и поставить мост (за два соседних)? Еще конечно под вопросами и перелечивание всех остальных зубов с кистами (их насчитали аж 3), передние 4 зуба месяц назад удалили (планирую ставить мост, т.к. очень боюсь что наращивание костной ткани и имплантация пройдут не удачно). Заранее спасибо, всем кто откликнется! Прикладываю ссылку на заархивированную КТ https://yadi.sk/d/cH63onEggiLwU Изменено 18 мая, 2015 пользователем Анна 1986 Ссылка на комментарий
Анна 1986 Опубликовано 18 мая, 2015 Автор Поделиться Опубликовано 18 мая, 2015 еще есть оптг Ссылка на комментарий
Bier Опубликовано 18 мая, 2015 Поделиться Опубликовано 18 мая, 2015 Анна, тут все зависит от специалиста. Спасти зуб можно, но не знаю можно ли это сделать в Вашем городе.То же и с передними зубами, ставить мост - прямая дорога к съемному протезу, вы испортите клыки, в итоге потеряете и их и останетесь совсем без зубов. Ссылка на комментарий
Гарриевич Опубликовано 19 мая, 2015 Поделиться Опубликовано 19 мая, 2015 ///Стоит ли пытаться перелечить?///Стоит ///есть ли шанс, что киста "пройдет"///Есть, причем большой Ссылка на комментарий
M@estro Опубликовано 19 мая, 2015 Поделиться Опубликовано 19 мая, 2015 Анна,точно знаю ,что Ваши проблемы решат в Екатеринбурге,лично знаком с несколькими докторами из этого города 1 Ссылка на комментарий
Анна 1986 Опубликовано 19 мая, 2015 Автор Поделиться Опубликовано 19 мая, 2015 (изменено) у меня получается какой-то замкнутый круг(((делать наращивание костной ткани боюсь: что не приживется, что потребуется повторное наращивание, что образуется киста (ранее над передними зубами кисты появлялись 5 раз, делали резекции, в следствии чего от своего костного материала почти ничего не осталось)Имплантация тоже не 100% гарантия приживаемости.Если хотя бы гарантия была, что все точно приживется - еще бы наверно рискнула, а так очень страшно. Конечно огромную роль играет финансовая сторона, за наращивание около 80 т.р., за каждый имплантат (а их надо 5) от 80 т.р. (80+5*80=480 тыс.), и это если с перового раза все приживется. плюс перед этим перелечить все имеющиеся зубы - просто неподъемная на сегодняшний день для меня сумма. С мостом - я тоже понимаю, что пострадают (или вообще со временем потеряю) родные здоровые зубы (практически последние здоровые), но ведь он, как я понимаю, точно "приживется". Конечно еще есть третий вариант - съемник, но это просто морально тяжело, в 30 лет остаться со съемным протезом (несмотря на то что это самый бюджетный и безболезненный вариант) Изменено 19 мая, 2015 пользователем Анна 1986 Ссылка на комментарий
St. Опубликовано 19 мая, 2015 Поделиться Опубликовано 19 мая, 2015 передние 4 зуба месяц назад удалили (планирую ставить мост, т.к. очень боюсь что наращивание костной ткани и имплантация пройдут не удачно). Клыки жалко. Имплантация и наращивание кости - это не так страшно, как Вам кажется. Дорого - это да.. КТ у меня не открывается почему-то. Стоит ли пытаться перелечить (насчитали очень дорого, и без каких-либо гарантий) зуб, есть ли шанс, что киста "пройдет", или в этом случае лучше удалить зуб и поставить мост (за два соседних)? Пытаться стоит, только ищите хорошего специалиста. Шансы есть. И потом коронку на него.Не разбрасывайтесь своими зубами, их всё-таки лимитированное количество) удалить вы всегда успеете, надо пытаться сохранять. Ссылка на комментарий
Bier Опубликовано 19 мая, 2015 Поделиться Опубликовано 19 мая, 2015 у меня получается какой-то замкнутый круг(((делать наращивание костной ткани боюсь: что не приживется, что потребуется повторное наращивание, что образуется киста (ранее над передними зубами кисты появлялись 5 раз, делали резекции, в следствии чего от своего костного материала почти ничего не осталось)Имплантация тоже не 100% гарантия приживаемости.Если хотя бы гарантия была, что все точно приживется - еще бы наверно рискнула, а так очень страшно. Конечно огромную роль играет финансовая сторона, за наращивание около 80 т.р., за каждый имплантат (а их надо 5) от 80 т.р. (80+5*80=480 тыс.), и это если с перового раза все приживется. плюс перед этим перелечить все имеющиеся зубы - просто неподъемная на сегодняшний день для меня сумма. С мостом - я тоже понимаю, что пострадают (или вообще со временем потеряю) родные здоровые зубы (практически последние здоровые), но ведь он, как я понимаю, точно "приживется". Конечно еще есть третий вариант - съемник, но это просто морально тяжело, в 30 лет остаться со съемным протезом (несмотря на то что это самый бюджетный и безболезненный вариант)С тем уровнем лечения каналов, что есть на Ваших снимках , мост - путь в никуда. Для фронтальной зоны надо всего 2 имплантата. Есть места, где делают все с гарантией. Подумайте о том, чтобы сделать операцию в другом городе. Ссылка на комментарий
Alejandro Опубликовано 20 мая, 2015 Поделиться Опубликовано 20 мая, 2015 Зуб скорее всего резорциненный, успех перелечивания во многом будет зависеть от уровня мастерства доктора. Ссылка на комментарий
Анна 1986 Опубликовано 20 мая, 2015 Автор Поделиться Опубликовано 20 мая, 2015 Еще спрошу, когда делали резекции, закладывали костный материал (какой не знаю к сожалению), сейчас по К/Т видно, что он рассосался, является ли это показателем того, что костный материал не приживается? Ссылка на комментарий
kladoffka Опубликовано 20 мая, 2015 Поделиться Опубликовано 20 мая, 2015 является ли это показателем того, что костный материал не приживается нет. 1 Ссылка на комментарий
Рекомендуемые сообщения
Для публикации сообщений создайте учётную запись или авторизуйтесь
Вы должны быть пользователем, чтобы оставить комментарий
Создать аккаунт
Зарегистрируйте новый аккаунт в нашем сообществе. Это очень просто!
Регистрация нового пользователяВойти
Уже есть аккаунт? Войти в систему.
Войти