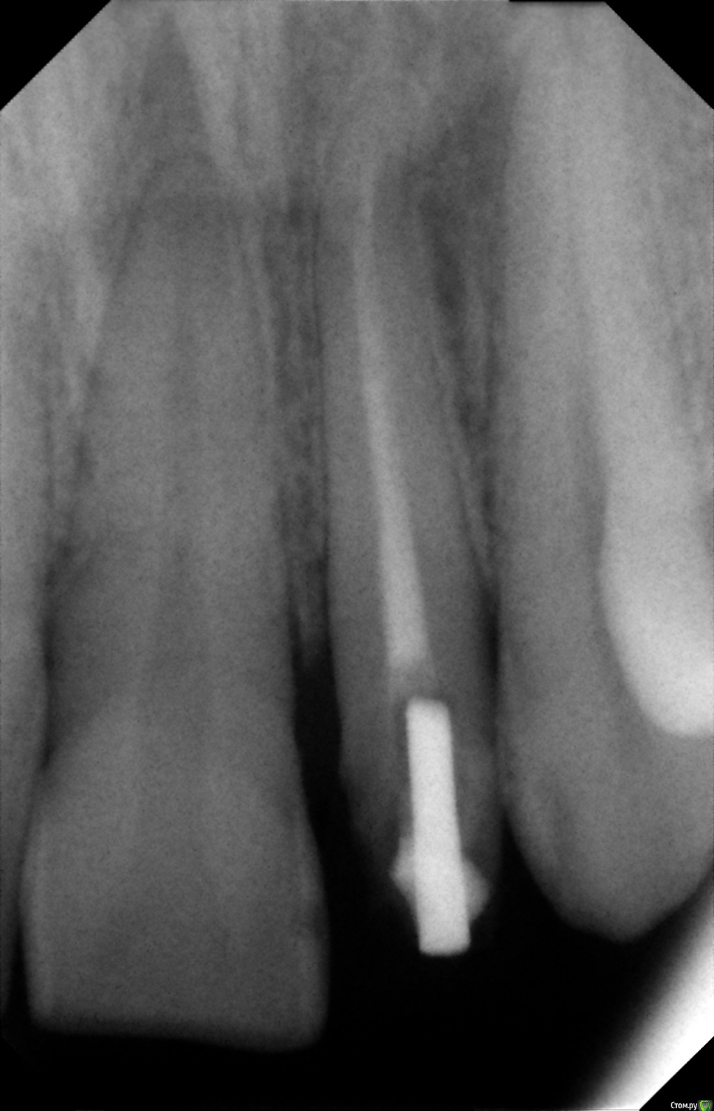
LARIEL Опубликовано 9 мая, 2015 Поделиться Опубликовано 9 мая, 2015 Нужна консультация специалистов. Город маленький, выбирать не из чего. Какие перспективы у зуба со штифтом? Предлагается поставить пластмассовую коронку на то, как есть сейчас на снимке, если металлокерамику - поменять штифт на новый. Ссылка на комментарий
anvladd Опубликовано 9 мая, 2015 Поделиться Опубликовано 9 мая, 2015 Снимке где? Ссылка на комментарий
LARIEL Опубликовано 9 мая, 2015 Автор Поделиться Опубликовано 9 мая, 2015 Снимке где?не могу прикрепить, пробую Ссылка на комментарий
LARIEL Опубликовано 9 мая, 2015 Автор Поделиться Опубликовано 9 мая, 2015 не могу прикрепить, пробую Ссылка на комментарий
Гарриевич Опубликовано 9 мая, 2015 Поделиться Опубликовано 9 мая, 2015 В идеале:Штифт убрать, зуб перелечить, вкладкой или штифтом восстановить и покрыть коронкойПластмассовая коронка это путь в никуда 3 Ссылка на комментарий
St. Опубликовано 9 мая, 2015 Поделиться Опубликовано 9 мая, 2015 Пластмассу можно рассматривать только как временную меру. Если есть возможность лучше делать сразу хорошо и основательно) 1 Ссылка на комментарий
LARIEL Опубликовано 13 мая, 2015 Автор Поделиться Опубликовано 13 мая, 2015 В идеале:Штифт убрать, зуб перелечить, вкладкой или штифтом восстановить и покрыть коронкойПластмассовая коронка это путь в никудаСпасибо за ответ! С пластмассой зуб не простоит долго, неизбежно будет потерян? Ссылка на комментарий
St. Опубликовано 13 мая, 2015 Поделиться Опубликовано 13 мая, 2015 Спасибо за ответ! С пластмассой зуб не простоит долго, неизбежно будет потерян?Пластмасса:1. более хрупкая, так что можно быстро сломать2. быстро темнеет и обрастает налетом, потому что пористая 3. не так плотно прилегает к зубу, поэтому может чаще расцементироваться и под неё могут забраться микробы, что тоже плохо. Пластмассовые коронки изначально не рассчитаны на длительную эксплуатацию. Это временные конструкции. 4 Ссылка на комментарий
Гарриевич Опубликовано 13 мая, 2015 Поделиться Опубликовано 13 мая, 2015 так и естьпластмасса это только временный вариант Ссылка на комментарий
4ebstom Опубликовано 14 мая, 2015 Поделиться Опубликовано 14 мая, 2015 Извлечь штифт,перелечить канал,коронка с восстановлением зуба . Ссылка на комментарий
LARIEL Опубликовано 29 мая, 2015 Автор Поделиться Опубликовано 29 мая, 2015 Я в шоке! Это нормально, когда врач спрашивает у пац "Что поставить: вкладку или штифтовкладку?", не объясняя разницы между ними, да мне это и не нужно знать. Это нормально, когда врач пишет СМС в перчатках, затем , не обрабатывая руки, продолжает работать дальше? Разве является нормальным, когда не убраны плевки от предыдущего пац, и врач продолжает работать со следующим? И что ожидать от такого "лечения"... Ссылка на комментарий
red_butler Опубликовано 29 мая, 2015 Поделиться Опубликовано 29 мая, 2015 Я в шоке! Это нормально, когда врач спрашивает у пац "Что поставить: вкладку или штифтовкладку?", не объясняя разницы между ними, да мне это и не нужно знать. Это нормально, когда врач пишет СМС в перчатках, затем , не обрабатывая руки, продолжает работать дальше? Разве является нормальным, когда не убраны плевки от предыдущего пац, и врач продолжает работать со следующим? И что ожидать от такого "лечения"...без комментариев Ссылка на комментарий
Рекомендуемые сообщения
Для публикации сообщений создайте учётную запись или авторизуйтесь
Вы должны быть пользователем, чтобы оставить комментарий
Создать аккаунт
Зарегистрируйте новый аккаунт в нашем сообществе. Это очень просто!
Регистрация нового пользователяВойти
Уже есть аккаунт? Войти в систему.
Войти