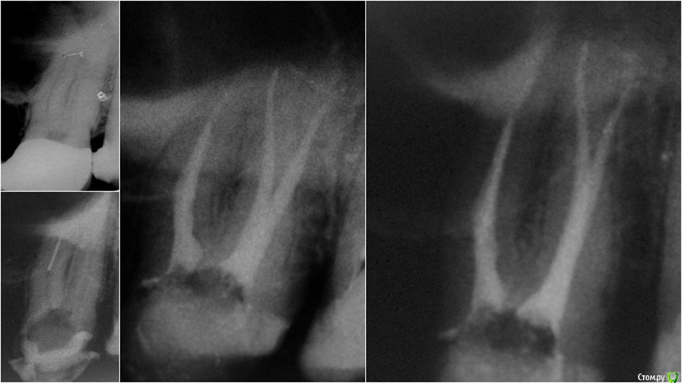
Romanson Опубликовано 5 мая, 2015 Поделиться Опубликовано 5 мая, 2015 (изменено) Уважаемые коллеги, гуляя по просторам facebook'a наткнулся на этот кейс.Не могу понять, какой принцип у этого девайса? Каким образом используется эта петля в игле? Объясните пожалуйста...Фото Gergely Benyőcs Изменено 5 мая, 2015 пользователем Romanson Ссылка на комментарий
anvladd Опубликовано 5 мая, 2015 Поделиться Опубликовано 5 мая, 2015 (изменено) Я так понимаю накидывается как петля на шею) ,на отломок и тянется. Изменено 5 мая, 2015 пользователем anvladd Ссылка на комментарий
Большой Зеленый Опубликовано 5 мая, 2015 Поделиться Опубликовано 5 мая, 2015 К этому девайсу обязательно нужен микроскоп и очень прямые руки 1 Ссылка на комментарий
faity Опубликовано 5 мая, 2015 Поделиться Опубликовано 5 мая, 2015 согласен с Андреем. есть штуки со спиралькой внутри, распространения не получили Ссылка на комментарий
L'azur Опубликовано 5 мая, 2015 Поделиться Опубликовано 5 мая, 2015 А Колчанов умеет и без скопа Ссылка на комментарий
Romanson Опубликовано 5 мая, 2015 Автор Поделиться Опубликовано 5 мая, 2015 К этому девайсу обязательно нужен микроскоп и очень прямые рукиЭто понятно, без второго вообще ни один девайс работать не будет Я так понимаю накидывается как петля на шею) ,на отломок и тянется.Точно! Не заметил петлю на этом фотоГде такую проволоку тонкую (0.05) купить? В обычных бытовых магазинах спрашивать? Ссылка на комментарий
bugel Опубликовано 5 мая, 2015 Поделиться Опубликовано 5 мая, 2015 Проволку от антожира распустить можно, попробовать,вроде крепче и тоньше не видел. Ссылка на комментарий
Kolchanov Опубликовано 5 мая, 2015 Поделиться Опубликовано 5 мая, 2015 А Колчанов умеет и без скопа Это что, фан-клуб? Вы ошибаетесь, я иголками еще ни одного отломка не достал. Да и вообще чаще получается так, что они остаются в каналах. Мне вообще кажется, что такой уже освобожденный кусок и сам бы выскочил без всяких иголок. 4 Ссылка на комментарий
Ico Опубликовано 5 мая, 2015 Поделиться Опубликовано 5 мая, 2015 Из апекса удить самое то,а заклиненный фрагмент вряд ли. Ссылка на комментарий
L'azur Опубликовано 5 мая, 2015 Поделиться Опубликовано 5 мая, 2015 Это что, фан-клуб? Вы ошибаетесь, я иголками еще ни одного отломка не достал. Да и вообще чаще получается так, что они остаются в каналах. Мне вообще кажется, что такой уже освобожденный кусок и сам бы выскочил без всяких иголок. Это респект Ссылка на комментарий
diesel87 Опубликовано 5 мая, 2015 Поделиться Опубликовано 5 мая, 2015 Wild Wild West... Ссылка на комментарий
Romanson Опубликовано 6 мая, 2015 Автор Поделиться Опубликовано 6 мая, 2015 Это что, фан-клуб? Вы ошибаетесь, я иголками еще ни одного отломка не достал. Да и вообще чаще получается так, что они остаются в каналах. Мне вообще кажется, что такой уже освобожденный кусок и сам бы выскочил без всяких иголок. Тоже так подумал, что если уже есть возможность на отломок иглу с петлей накинуть, то обычный уз справился бы с этой задачей не хуже. Возможно, этот метод применяется для отломков агрессивных инструментов, когда освободив даже больше половины отломка он не выкручивается и не вылетает?.. Ссылка на комментарий
anvladd Опубликовано 6 мая, 2015 Поделиться Опубликовано 6 мая, 2015 не порвется ли эта проволока если отломок хорошо "засел"? Ссылка на комментарий
Рекомендуемые сообщения
Для публикации сообщений создайте учётную запись или авторизуйтесь
Вы должны быть пользователем, чтобы оставить комментарий
Создать аккаунт
Зарегистрируйте новый аккаунт в нашем сообществе. Это очень просто!
Регистрация нового пользователяВойти
Уже есть аккаунт? Войти в систему.
Войти