an_ver Опубликовано 1 мая, 2015 Поделиться Опубликовано 1 мая, 2015 (изменено) Обратилась пациентка, ходит с временными уже 1-1,5..что то шлифовали, что то меняли...не может привыкнуть((. Из того что увидел...гиперемия слизистой десны, слегда синюшность,сосочки раздавлены,акриловые временные (Синма) наверное.Сделали орто..и опа! Шедевр бюджета! Все ПУЛЬПИРОВАЛИ, впердолили вкладки и больше всего убила пластина....сеогодня придет...сфотаю выложу...надо как то девушке помочь. Изменено 1 мая, 2015 пользователем an_ver Ссылка на комментарий
M@estro Опубликовано 1 мая, 2015 Поделиться Опубликовано 1 мая, 2015 Времяши на формиках. Уступы километр .. Печаль. Фото кидай и модели Ссылка на комментарий
an_ver Опубликовано 1 мая, 2015 Автор Поделиться Опубликовано 1 мая, 2015 Времяши на формиках. Уступы километр .. Печаль. Фото кидай и моделиДа уж...моделей еще нет.Сегодня только фото будет.Прилегание фкладок и направление ножек вкладок совсем в ступор ввели...блин как можно мимо захренячить...иного слова нет....ну и запил...думаю пипец там Ссылка на комментарий
M@estro Опубликовано 1 мая, 2015 Поделиться Опубликовано 1 мая, 2015 Да уж...моделей еще нет.Сегодня только фото будет.Прилегание фкладокДа,на прилегание тоже обратил внимание.. Что ж,легче вынимать)) Ссылка на комментарий
an_ver Опубликовано 1 мая, 2015 Автор Поделиться Опубликовано 1 мая, 2015 Да,на прилегание тоже обратил внимание.. Что ж,легче вынимать))На 12 похоже перфо есть.Проблема думаю будет большая...денег то кучу уже оставила.Доктор то который делал,свалил с работы этой и бортанул ее,типа договор у вас не со мной а с клиникой,все что можно я сделал((( 1 Ссылка на комментарий
kriokov Опубликовано 1 мая, 2015 Поделиться Опубликовано 1 мая, 2015 запил дебильный. Надо смотреть фотки, может за счет хирургического удлинения коронковой части выйти из положения можно , если глубоко под десну не сгнило. Пародонтита то нет. Судя по всему рукотворные там проблемы с десной .Пластина сстоит как вкопанная? Ссылка на комментарий
an_ver Опубликовано 1 мая, 2015 Автор Поделиться Опубликовано 1 мая, 2015 запил дебильный. Надо смотреть фотки, может за счет хирургического удлинения коронковой части выйти из положения можно , если глубоко под десну не сгнило. Пародонтита то нет. Судя по всему рукотворные там проблемы с десной .Пластина сстоит как вкопанная?Сегодня посмотрю что с пластиной и пофотаю Ссылка на комментарий
diesel87 Опубликовано 1 мая, 2015 Поделиться Опубликовано 1 мая, 2015 Про ортопедию не скажу, есть конечно явные косяки, что даже мне видно, но пластина убила...док сэкономить решил деньги пациента на хирургии и снять с нее больше на ортопедии? Сколько годков барышне? Ждем фото. Ссылка на комментарий
an_ver Опубликовано 1 мая, 2015 Автор Поделиться Опубликовано 1 мая, 2015 (изменено) Про ортопедию не скажу, есть конечно явные косяки, что даже мне видно, но пластина убила...док сэкономить решил деньги пациента на хирургии и снять с нее больше на ортопедии? Сколько годков барышне? Ждем фото.Я не удивился..просто хирург этот очень знаменит и элитен)) ставит импланты без всяких консультаций ортопеда.Барышне 52,выглядит на 45 максимум Изменено 1 мая, 2015 пользователем an_ver Ссылка на комментарий
johniola Опубликовано 1 мая, 2015 Поделиться Опубликовано 1 мая, 2015 Ну нифига себе,даже я так не смогу.Там надо десну поднимать,и наверно кость тоже.Вкладки думаю бы не вынимал,только хуже будет,хотя инфы мало.На 12 до перфы чуть недотянул.имхо Ссылка на комментарий
diesel87 Опубликовано 1 мая, 2015 Поделиться Опубликовано 1 мая, 2015 Я не удивился..просто хирург этот очень знаменит и элитен)) ставит импланты без всяких консультаций ортопеда.Барышне 52,выглядит на 45 максимумСтавит сам без консультации ортопеда и диагностики КТ и видимо после него никто уже не может запротезировать!) Ссылка на комментарий
an_ver Опубликовано 1 мая, 2015 Автор Поделиться Опубликовано 1 мая, 2015 Ставит сам без консультации ортопеда и диагностики КТ и видимо после него никто уже не может запротезировать!)Протезируют...и молчат)))...у всех ипотеки)) Ссылка на комментарий
Magomed Опубликовано 1 мая, 2015 Поделиться Опубликовано 1 мая, 2015 вот мы все круты,только и умеем критиковать других. То что сделанно то сделанно.Цель вашего поста спросить нас как ей помоч ? Или какие гавн...е врачи у нас . не пойму а если вы смотрите на орто и видити объективно в полости рта и просите совета. Может всё таки передать более опыт.специалисту. Не в обиду сказанно. 1 Ссылка на комментарий
M@estro Опубликовано 1 мая, 2015 Поделиться Опубликовано 1 мая, 2015 Иногда доктор думает примерно : " Холмс , но как?!". Другими словами - " вокруг столько гов...а - в голове не укладывается" - и ему хочется поделиться печалью. А ещё обидно бывает,что ты весь такой в душевном порыве любовь вкладываешь в работу,пускай и с ошибками зачастую,а вокруг многие без за зрения совести рубят бабки,а ты обтекаешь. Такие дела 7 Ссылка на комментарий
Magomed Опубликовано 1 мая, 2015 Поделиться Опубликовано 1 мая, 2015 Иногда доктор думает примерно : " Холмс , но как?!". Другими словами - " вокруг столько гов...а - в голове не укладывается" - и ему хочется поделиться печалью. А ещё обидно бывает,что ты весь такой в душевном порыве любовь вкладываешь в работу,пускай и с ошибками зачастую,а вокруг многие без за зрения совести рубят бабки,а ты обтекаешь. Такие делаполностью согласен с вами. Но всё таки не стоит гавн...ть других врачей.Я думаю все мы если посмотрим на наши работы как минимум 7 л.давности то можно тоже сказать руки и так далее кривые(ну это я за себя говорю) ))) Ссылка на комментарий
an_ver Опубликовано 2 мая, 2015 Автор Поделиться Опубликовано 2 мая, 2015 Иногда доктор думает примерно : " Холмс , но как?!". Другими словами - " вокруг столько гов...а - в голове не укладывается" - и ему хочется поделиться печалью. А ещё обидно бывает,что ты весь такой в душевном порыве любовь вкладываешь в работу,пускай и с ошибками зачастую,а вокруг многие без за зрения совести рубят бабки,а ты обтекаешь. Такие делаВот и я так думаю..как мои мысли передал Ссылка на комментарий
an_ver Опубликовано 2 мая, 2015 Автор Поделиться Опубликовано 2 мая, 2015 вот мы все круты,только и умеем критиковать других. То что сделанно то сделанно.Цель вашего поста спросить нас как ей помоч ? Или какие гавн...е врачи у нас . не пойму а если вы смотрите на орто и видити объективно в полости рта и просите совета. Может всё таки передать более опыт.специалисту. Не в обиду сказанно.Мы с вами не с одного города,уважаемый?Какие обиды? Если все это переделывать, а надо,прикиньте во сколько это обойдется? Я если увижу свое говно через 10 лет,то переделаю это бесплатно.Но думаю что пациентка не согласится по финансам. 1 1 Ссылка на комментарий
Magomed Опубликовано 2 мая, 2015 Поделиться Опубликовано 2 мая, 2015 Нет я не из Сыктывкара. переделывать надо конечно. но вкладки думаю достовать не надо. думаю хуже будет. Ссылка на комментарий
an_ver Опубликовано 2 мая, 2015 Автор Поделиться Опубликовано 2 мая, 2015 Нет я не из Сыктывкара. переделывать надо конечно. но вкладки думаю достовать не надо. думаю хуже будет.А как же огромные щели? У практически всех вкладок нет прилегания достойного?Снимки сегодня скину 1 Ссылка на комментарий
chervoncevdaniil Опубликовано 2 мая, 2015 Поделиться Опубликовано 2 мая, 2015 А как же огромные щели? У практически всех вкладок нет прилегания достойного?Снимки сегодня скинуМне кажется тоже рисковано,хотя у меня опыта извлечения вкладок нет,не могу сказать насколько сложно их достать с таким ужасным фитом.Мне кажется,что перед тем как доставать,нужно все риски с пациентом оговорить и чтобы она хотя бы подпись в карте оставила,что понимает,на что соглашается Ссылка на комментарий
gum Опубликовано 2 мая, 2015 Поделиться Опубликовано 2 мая, 2015 Нет извлекать вкладки очень рискованно, длинные штифты, высокий риск истончение стенок корней. А пластиночный имплантат тот же хирург ставил или это отголосок прошлого? Ссылка на комментарий
an_ver Опубликовано 2 мая, 2015 Автор Поделиться Опубликовано 2 мая, 2015 Нет извлекать вкладки очень рискованно, длинные штифты, высокий риск истончение стенок корней. А пластиночный имплантат тот же хирург ставил или это отголосок прошлого?Все тот же Ссылка на комментарий
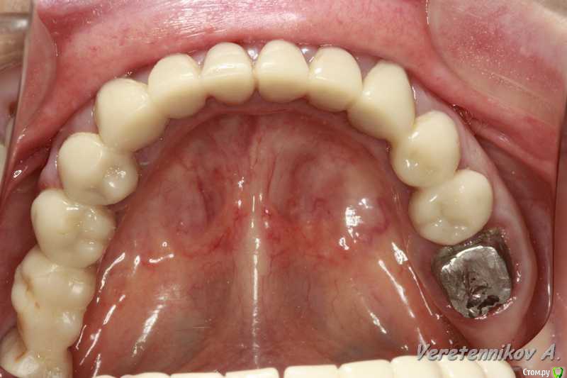
an_ver Опубликовано 2 мая, 2015 Автор Поделиться Опубликовано 2 мая, 2015 Вот фото Ссылка на комментарий
M@estro Опубликовано 3 мая, 2015 Поделиться Опубликовано 3 мая, 2015 (изменено) Десневая ) Только и удлинняйся ) Главное - достать аккуратно. На этапы разбивай работу, пусть с временными походит. Медленно , планомерно - все будет. P.s. Если пациентка неспособна / не готова оценить работу - браться не стоит, имхо. Это не одиночку поставить и забыть. Изменено 3 мая, 2015 пользователем M@estro 2 Ссылка на комментарий
an_ver Опубликовано 4 мая, 2015 Автор Поделиться Опубликовано 4 мая, 2015 Да,пластина стоит мертво...со слов пациентки еще синус делали Ссылка на комментарий
Рекомендуемые сообщения
Для публикации сообщений создайте учётную запись или авторизуйтесь
Вы должны быть пользователем, чтобы оставить комментарий
Создать аккаунт
Зарегистрируйте новый аккаунт в нашем сообществе. Это очень просто!
Регистрация нового пользователяВойти
Уже есть аккаунт? Войти в систему.
Войти