Alexey Doc Опубликовано 29 апреля, 2015 Поделиться Опубликовано 29 апреля, 2015 В клинику с целью протезирования обратилась пациентка 70 лет.Ортопед направил на консультацию. В анамнезе: со слов больной год назад удален зуб 1.6 после чего сформировался оро-антральный свищ. В январе 2015 года выполнена правосторонняя радикальная гайморотомия с удалением 1.5, 1.7 зубов. Сопутствующая патология в стадии компенсации.На сегоднещний день жалоб кроме отсутствия зубов нет.В полости рта : верхний свод преддверия справа плавно перетекает в небо мощным тяжем подвижной слизистой шириной примерно 15-17 мм . Альвеолярный отросток отсутствует. Какой\ие минимально инвазивные( учитывая возраст пациентки) способы аугментации вы бы применили у этой больной для последующего протезирования с опорой на имплантатах? Буду рад любому мнению и рац.предложению.Ниже свежие срезы КТ. Ссылка на комментарий
zzkz Опубликовано 29 апреля, 2015 Поделиться Опубликовано 29 апреля, 2015 Фото бы во рту еще.Не вижу естественного соустья. Если нет, опять к лору. То что искусственно сделали работать в должной мере не будет, нарушение дренажа приведет к проблемам. Мерцательный эпителий(кажется так называется) работает от природы в сторону естественного соустья.Еще есть гипертрофия слизистой.А так если слизистая пазухи и слизистая полости рта "одно целое" аккуратно сепарировать и мембрану с тит.усилением. Мобилизовать извините дохера надо. Потом слизистую щеки на место возвращать. Ссылка на комментарий
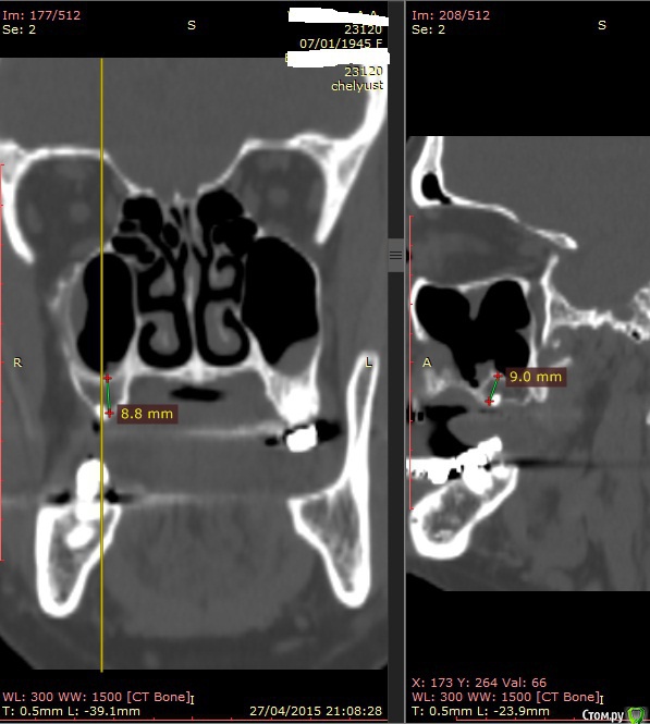
АнтонТЛТ Опубликовано 29 апреля, 2015 Поделиться Опубликовано 29 апреля, 2015 Фото бы во рту еще.Не вижу естественного соустья.на первом срезе 1 Ссылка на комментарий
zzkz Опубликовано 29 апреля, 2015 Поделиться Опубликовано 29 апреля, 2015 ткните пальцем не вижу что то) Ссылка на комментарий
krokomot Опубликовано 29 апреля, 2015 Поделиться Опубликовано 29 апреля, 2015 Мне кажется минимально инвазивно врядли обойдешься. подвижная слизистая всю имплантацию испортит. Если пофантазировать, то можно попробовать имплантацию в скуловую кость или поднадкостничный вариант(индивидуальный), с поднадкостничным вариантом все равно придется все располосовать + заказывать фрезеровку из титана или кхс, приживляесмость кто его знает как пойдет)), но остеоинтеграция тут и не нужна. Чем не вариант для бабули 70 лет)) Ссылка на комментарий
Bier Опубликовано 29 апреля, 2015 Поделиться Опубликовано 29 апреля, 2015 Бабуля может еще 30 проживет...Я за зигомы Ссылка на комментарий
Чертков Александр Опубликовано 30 апреля, 2015 Поделиться Опубликовано 30 апреля, 2015 Я за зигомы О как! Это чего это вдруг? ....убежденный остеорегенерат за зигомы...? Ссылка на комментарий
Alexey Doc Опубликовано 30 апреля, 2015 Автор Поделиться Опубликовано 30 апреля, 2015 ткните пальцем не вижу что то)Хорошо проходимая решетчатая воронка Ссылка на комментарий
Alexey Doc Опубликовано 30 апреля, 2015 Автор Поделиться Опубликовано 30 апреля, 2015 Бабуля может еще 30 проживет...Я за зигомыЗигомами не владею.Вот еще пара картинок реконструкции Ссылка на комментарий
dr Alexandr Опубликовано 2 сентября, 2019 Поделиться Опубликовано 2 сентября, 2019 Можно провести классический с-л открытый с а/костью и имплантация!..объём большой, но это можно сделать, только грамотно спланировать операцию и выдержать сроки! Ссылка на комментарий
Irouil Опубликовано 3 сентября, 2019 Поделиться Опубликовано 3 сентября, 2019 Хорошо, что посоветовали, в последний момент уберегли коллегу от неосторожного решения 2 Ссылка на комментарий
Дмитрий М Опубликовано 8 сентября, 2019 Поделиться Опубликовано 8 сентября, 2019 Хорошо, что посоветовали, в последний момент уберегли коллегу от неосторожного решения Ссылка на комментарий
annda Опубликовано 16 сентября, 2019 Поделиться Опубликовано 16 сентября, 2019 (изменено) 15 поставить бикортикально и отстать от старушки Изменено 16 сентября, 2019 пользователем annda Ссылка на комментарий
Рекомендуемые сообщения
Для публикации сообщений создайте учётную запись или авторизуйтесь
Вы должны быть пользователем, чтобы оставить комментарий
Создать аккаунт
Зарегистрируйте новый аккаунт в нашем сообществе. Это очень просто!
Регистрация нового пользователяВойти
Уже есть аккаунт? Войти в систему.
Войти