bilal Опубликовано 27 апреля, 2015 Поделиться Опубликовано 27 апреля, 2015 (изменено) добрый вечер.обратился пациент от другого врача. со слов пациента месяц назад удалил 25, обратился с жалобами на гноетечение из носа слева и сообщение с пазухой на месте удаления, по снимку видно что там корень от 25 остался в пазухе.вопрос: каким путем лучше достать через лунку и сообщение с пазухой или латерально как при открытом синус лифте, и сообщение лучшее закрыт сразу или оставить для промывание на пару дней.кт нет возможности делать .спасибо заранее Изменено 27 апреля, 2015 пользователем bilal Ссылка на комментарий
faity Опубликовано 27 апреля, 2015 Поделиться Опубликовано 27 апреля, 2015 открывайте как при синусе, чистите, санируйте, и закрывайте, аб и противовоспалительные внутрь, сосудосуживающие и иммуномодуляторы интранозально по схеме Ссылка на комментарий
alekszander Опубликовано 28 апреля, 2015 Поделиться Опубликовано 28 апреля, 2015 а не вариант отправить к ЛОРам и эндоскопом все убрать? Как минимум менее травматично. Ссылка на комментарий
faity Опубликовано 28 апреля, 2015 Поделиться Опубликовано 28 апреля, 2015 так доктор же спросил, что ОН может сделать Ссылка на комментарий
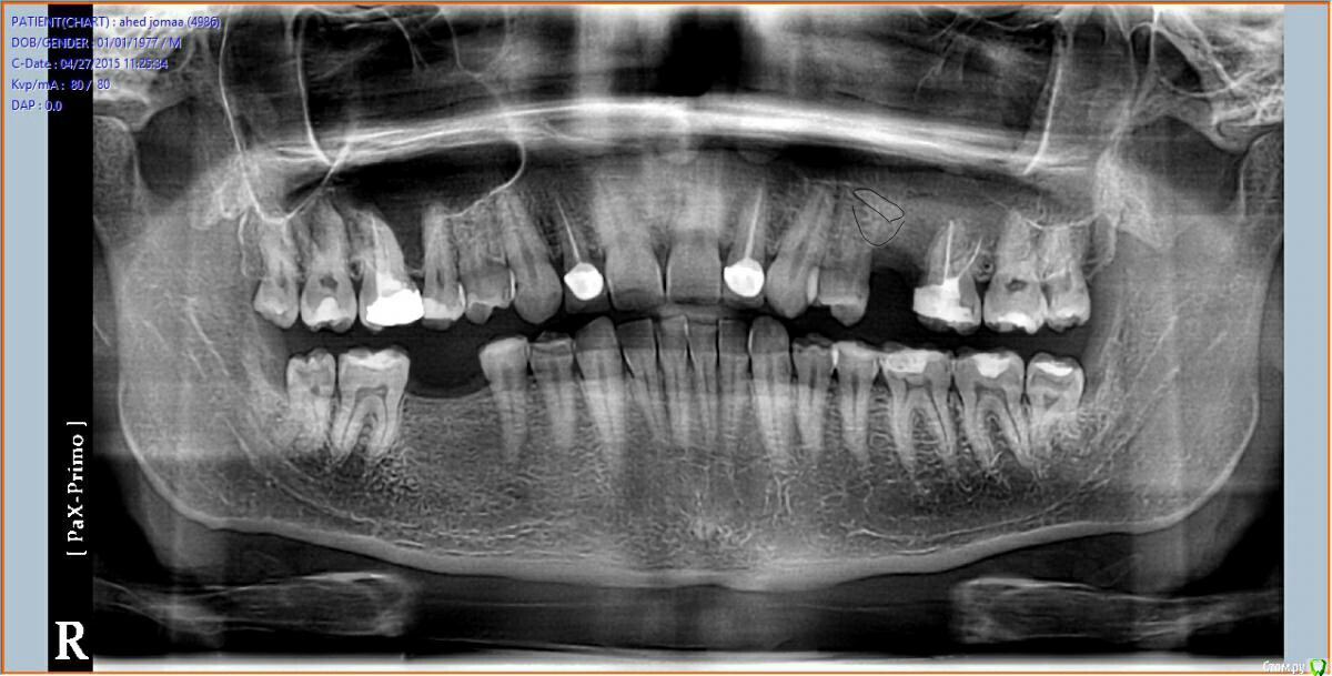
Kev Опубликовано 28 апреля, 2015 Поделиться Опубликовано 28 апреля, 2015 Ребята, что-то с телефона не могу рассмотреть где там корень в пахузе на ОПТГ, покажите. Ссылка на комментарий
bilal Опубликовано 28 апреля, 2015 Автор Поделиться Опубликовано 28 апреля, 2015 Вот, нарисовал границы пазухи и корень, как я вижу Ссылка на комментарий
faity Опубликовано 29 апреля, 2015 Поделиться Опубликовано 29 апреля, 2015 сделайте РГ чтоли в 3-х проекциях, информативнее будет в данном случае Ссылка на комментарий
Большой Зеленый Опубликовано 29 апреля, 2015 Поделиться Опубликовано 29 апреля, 2015 Что то не похоже на корень. 5 Ссылка на комментарий
Strelok96 Опубликовано 29 апреля, 2015 Поделиться Опубликовано 29 апреля, 2015 Тоже не вижу корень на снимке, надо делать КТ. 2 Ссылка на комментарий
alekszander Опубликовано 29 апреля, 2015 Поделиться Опубликовано 29 апреля, 2015 не стал бы я лезть без более тщательной R-диагностики, и скорее всего бы все же направил бы на эндоскоп.PS про корень который не видят, как-то постеснялся спросить, поскольку сколько не смотрю так и не вижу его. 1 Ссылка на комментарий
lonely_jack Опубликовано 29 апреля, 2015 Поделиться Опубликовано 29 апреля, 2015 (изменено) а я тут пазухи не вижу, на мой взгляд, не может она так сильно "прогнуться" на месте одного зуба Изменено 29 апреля, 2015 пользователем lonely_jack Ссылка на комментарий
kriokov Опубликовано 30 апреля, 2015 Поделиться Опубликовано 30 апреля, 2015 Вот, нарисовал границы пазухи и корень, как я вижусделайте обычный прицельный снимок, если корень так низко как вы отметили-- будет видно. 2 2 Ссылка на комментарий
bilal Опубликовано 10 мая, 2015 Автор Поделиться Опубликовано 10 мая, 2015 Спасибо всем за обсуждение. На прицельном снимке более видно. Достал через лунку все таки. 1 Ссылка на комментарий
natan. Опубликовано 20 мая, 2015 Поделиться Опубликовано 20 мая, 2015 Здравствуйте, есть два подхода. 1й как уже сказали открываете латеральное окно, но будьте готовы к тяжелой работе. 2й подход Ссылка на комментарий
natan. Опубликовано 20 мая, 2015 Поделиться Опубликовано 20 мая, 2015 (изменено) 2й подход это fess-functional endoscopic sinus surgery у лор хирургов как менее травм.подход Изменено 21 мая, 2015 пользователем natan. Ссылка на комментарий
ПалСаныч Опубликовано 21 мая, 2015 Поделиться Опубликовано 21 мая, 2015 Как через лунку достали? Ссылка на комментарий
johniola Опубликовано 22 мая, 2015 Поделиться Опубликовано 22 мая, 2015 отсосом Ссылка на комментарий
ПалСаныч Опубликовано 22 мая, 2015 Поделиться Опубликовано 22 мая, 2015 Тогда я знаю еще один способ через лунку... но не скажу))) Ссылка на комментарий
k.t.m. Опубликовано 22 мая, 2015 Поделиться Опубликовано 22 мая, 2015 Тогда я знаю еще один способ через лунку... но не скажу)))марлевым тампоном? 1 Ссылка на комментарий
koreandr Опубликовано 22 мая, 2015 Поделиться Опубликовано 22 мая, 2015 Понравились комментарии пользователя Натан. Особенно после того как корень уже достали) 1 Ссылка на комментарий
kriokov Опубликовано 23 мая, 2015 Поделиться Опубликовано 23 мая, 2015 коллеги, кто FESS владеет , просветите плж.Какого размера плотное инородное тело можно через нос убрать? (ориентировочно. и от чего зависит) Ссылка на комментарий
Kostas Опубликовано 25 мая, 2015 Поделиться Опубликовано 25 мая, 2015 По поводу пациента, с успешно удаленным апексом. Возможно 26 зуб тоже поддерживает воспалительный фон в пазухе. При рецидиве гайморита предупредите пациента о возможном удалении 26. Так на всякий случай. Ссылка на комментарий
Shnapster Опубликовано 30 мая, 2015 Поделиться Опубликовано 30 мая, 2015 марлевым тампоном? просветите пожалуйста) Ссылка на комментарий
Kovalov Igor Опубликовано 30 мая, 2015 Поделиться Опубликовано 30 мая, 2015 просветите пожалуйста)берешь бинт стерильный, складываешь его в тонкую полоску, вводишь в соустье в пазуху, умерено утрамбовываешь, берешь москит или иглодержатель, цепляешь за торчащий конец марли из соустья пазухи и проворачиваешь и постепенно вынимаешь марлю из пазухи. марлю можно вытащить вместе с корнем который прилип к ней .... чтото вроде того) как делают другие, если иначе то поправьте меня)) Ссылка на комментарий
Рекомендуемые сообщения
Для публикации сообщений создайте учётную запись или авторизуйтесь
Вы должны быть пользователем, чтобы оставить комментарий
Создать аккаунт
Зарегистрируйте новый аккаунт в нашем сообществе. Это очень просто!
Регистрация нового пользователяВойти
Уже есть аккаунт? Войти в систему.
Войти