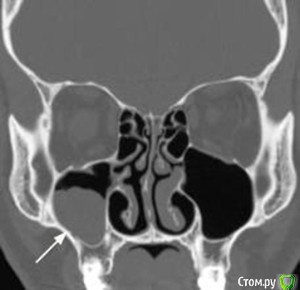
Kostoprav Опубликовано 26 апреля, 2015 Поделиться Опубликовано 26 апреля, 2015 Всем доброго времени суток коллеги!Проблема в следующем- высокая септа и мукоцеле на медиальной стенке пазухи.Мой план: сделать два окна в пазуху по обе стороны от перегородки, аккуратно попробовать отслоить слизистую и если получиться не порвать ее установить два болта не трогая кисту. В случае тотального разрыва мембраны спилить перегородку, убрать мукоцеле, зашить пазуху и повторно пойти на синуслифт через 2 месяца.Хотелось бы услышать Ваши варианты дорогие коллеги. 1 Ссылка на комментарий
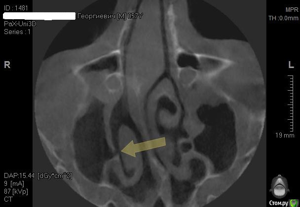
Alexey Doc Опубликовано 26 апреля, 2015 Поделиться Опубликовано 26 апреля, 2015 Покажите пожалуйста соустье справа. На этих срезах видно только слева Ссылка на комментарий
Kostoprav Опубликовано 26 апреля, 2015 Автор Поделиться Опубликовано 26 апреля, 2015 (изменено) соустье работает Изменено 26 апреля, 2015 пользователем Kostoprav Ссылка на комментарий
Alexey Doc Опубликовано 26 апреля, 2015 Поделиться Опубликовано 26 апреля, 2015 Можете показать срез, где видны решетчатые воронки?Почему то не получается загрузить картинку с планшета для примера Ссылка на комментарий
Kostoprav Опубликовано 26 апреля, 2015 Автор Поделиться Опубликовано 26 апреля, 2015 Можете показать срез, где видны решетчатые воронки?Почему то не получается загрузить картинку с планшета для примеравы имеете в виду в аксиальной проекции ? Ссылка на комментарий
колесников Опубликовано 26 апреля, 2015 Поделиться Опубликовано 26 апреля, 2015 Я не рискую ставить одномоментно если собственного объема менее 3 мм. Обычно, в таких случаях ,двухэтапно с разницей в 3 месяца. Ссылка на комментарий
Alexey Doc Опубликовано 28 апреля, 2015 Поделиться Опубликовано 28 апреля, 2015 При просмотре КТ еще обращаю внимание на состояние решетчатых воронок, зачастую при их окклюзии есть проблемы в пазухах.на картинке цифрой 3 обозначена. Если патологии не видите то по тактике согласен, если есть вопросы то консультация Лора 1 Ссылка на комментарий
Kostoprav Опубликовано 28 апреля, 2015 Автор Поделиться Опубликовано 28 апреля, 2015 (изменено) Пришлось пойти по варианту №2. слизистая пазухи в месте прикрепления к септе просто расползлась да так что в кучу не собрать. Спилил аккуратно перегородку, убрал мукоцеле (откачал с нее 2 мл. остальное убрал в месте с оболочкой зажимом), заштопал все герметично правда вот теперь думаю, правильно ли сделал что наглухо ушил, может дренаж оставить нужно было? Изменено 28 апреля, 2015 пользователем Kostoprav Ссылка на комментарий
Alexey Doc Опубликовано 28 апреля, 2015 Поделиться Опубликовано 28 апреля, 2015 Дренаж не нужен!все сделали как надо! Ссылка на комментарий
Kostoprav Опубликовано 28 апреля, 2015 Автор Поделиться Опубликовано 28 апреля, 2015 как думаете через какой промежуток времени лучше проводить повторный синуслифтинг, и как отслаиваться в месте окна чтобы опять не порвать слизистую? спасибо! Ссылка на комментарий
Alexey Doc Опубликовано 28 апреля, 2015 Поделиться Опубликовано 28 апреля, 2015 В области окна остро. А по срокам думаю месяца через 3 смело можно Ссылка на комментарий
Kostoprav Опубликовано 28 апреля, 2015 Автор Поделиться Опубликовано 28 апреля, 2015 В области окна остро. А по срокам думаю месяца через 3 смело можноспасибо Док! Ссылка на комментарий
Bier Опубликовано 28 апреля, 2015 Поделиться Опубликовано 28 апреля, 2015 все хорошо, кроме диагноза, это не мукоцелле ) Ссылка на комментарий
Kostoprav Опубликовано 28 апреля, 2015 Автор Поделиться Опубликовано 28 апреля, 2015 все хорошо, кроме диагноза, это не мукоцелле )а что? Ссылка на комментарий
kriokov Опубликовано 28 апреля, 2015 Поделиться Опубликовано 28 апреля, 2015 а что? ретенционая 1 Ссылка на комментарий
Kostoprav Опубликовано 29 апреля, 2015 Автор Поделиться Опубликовано 29 апреля, 2015 ретенционаяа какая между ними разница? Ссылка на комментарий
Bier Опубликовано 30 апреля, 2015 Поделиться Опубликовано 30 апреля, 2015 По цитирую: "мукоцеле отличается более агрессивным ростом с разрушением костных стенок и прорастанием в окружающие ткани, часто в глазницу. Химический состав жидкости при мукоцеле, при одонтогенной кисте и при ретенционной кисте различен. Так же, как и структура кистозных стенок." Нина Каграманян "Мне часто приходится объяснять разницу между мукоцеле и ретенционной кистой, а эта разница принципиальна. Действительно, мукоцеле - это образование с агрессивным ростом, которое деформирует стенки пазух либо разрушает, прорастая в соседние анатомические области. Наиболее частая локализация - лобная пазуха. Основная причина формирования мукоцеле - блок соустья пазухи + операция в синоназальной области в анамнезе. Основное лечение мукоцеле - хирургическая марсупиализация."Ксения Клименко "Это проблема перевода. В англоязычных источниках ретенционные кисты часто называют mucocele, а по-русски это совершенно разные вещи." Игорь Горбоносов "Игорь, на самом деле путаница и среди зарубежных авторов встречается. Есть понятие mucocele, а есть mucous retention pseudocyst." Ксения Клименко 7 Ссылка на комментарий
Kostoprav Опубликовано 30 апреля, 2015 Автор Поделиться Опубликовано 30 апреля, 2015 спасибо за ликбез! Ссылка на комментарий
Рекомендуемые сообщения
Для публикации сообщений создайте учётную запись или авторизуйтесь
Вы должны быть пользователем, чтобы оставить комментарий
Создать аккаунт
Зарегистрируйте новый аккаунт в нашем сообществе. Это очень просто!
Регистрация нового пользователяВойти
Уже есть аккаунт? Войти в систему.
Войти