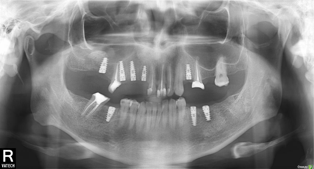
66666 Опубликовано 26 апреля, 2015 Поделиться Опубликовано 26 апреля, 2015 Еще лет 20 назад заметил, что прикус у меня в течении дня меняется. Потом я на это не обращал внимание, потерял много зубов и забыл об этом. За последний год было произведено масштабное удаление, лечение, имплантация и протезирование и я вспомнил об этой проблеме. Последний снимок был сделан до протезирования и даже в том состоянии я это замечал. Меня это совершенно не беспокоит, я привык к новым зубам, но мой врач думает, что это его косяк и каждый раз предлагает мне подточить коронки. Выглядит это так, с утра и примерно до обеда соприкасаются все зубы, позже только передние и крайние правые. И при всем желании я не могу сомкнуть зубы левых челюстей. Есть повод для беспокойства? Ссылка на комментарий
66666 Опубликовано 26 апреля, 2015 Автор Поделиться Опубликовано 26 апреля, 2015 Пардон, соврал. После этого снимка были еще манипуляции. Лучше сделать новый снимок? Ссылка на комментарий
faity Опубликовано 26 апреля, 2015 Поделиться Опубликовано 26 апреля, 2015 вам ортопед-гнатолог нужен, очень грамотный, ООООООЧЕНЬ Ссылка на комментарий
Yana guapa Опубликовано 29 апреля, 2015 Поделиться Опубликовано 29 апреля, 2015 вам ортопед-гнатолог нужен, очень грамотный, ООООООЧЕНЬа зачем?)))) 66666 пишет, что его это не беспокоит))))))) Ссылка на комментарий
Yana guapa Опубликовано 29 апреля, 2015 Поделиться Опубликовано 29 апреля, 2015 вам ортопед-гнатолог нужен, очень грамотный, ООООООЧЕНЬ и вряд ли после "гнатологического" лечения пациенту захочется менять свои новые коронки на... НОВЫЕ))) итак лечение не дешевое , наверно, было Ссылка на комментарий
faity Опубликовано 30 апреля, 2015 Поделиться Опубликовано 30 апреля, 2015 я таки извиняюсь, но если бы он с лопатой в спине пришел и с жалобой на легкий зуд в области лопаток, вы бы ему сказали оставить все как есть, со временем само отвалится? если пациент болен, но не осознает этого, это не повод не лечить, это повод объяснить. а вот будет он этим заниматься или нет, это его личное дело каждый человек- сам к@н@ц своему счастью))) 2 Ссылка на комментарий
Yana guapa Опубликовано 30 апреля, 2015 Поделиться Опубликовано 30 апреля, 2015 Еще лет 20 назад заметил, что прикус у меня в течении дня меняется. Потом я на это не обращал внимание, потерял много зубов и забыл об этом. ........Меня это совершенно не беспокоит, я привык к новым зубам. ..... Есть повод для беспокойства? если пациент болен, но не осознает этого, это не повод не лечить, это повод объяснить. а вот будет он этим заниматься или нет, это его личное дело каждый человек- сам к@н@ц своему счастью))) Пациент спрашивает - есть ли повод для беспокойства. Думаю на этот вопрос может ответить любой грамотный стоматолог. Оооооочень грамотный гнатолог это , конечно, хорошо, но если бы пациента реально что-то беспокоило бы. но он говорит- "Меня это совершенно не беспокоит". а вот если беспокоит, и уважаемый 666666 планирует с этим бороться тогда действительно нужен очень хороший гнатолог!))) Ссылка на комментарий
66666 Опубликовано 30 апреля, 2015 Автор Поделиться Опубликовано 30 апреля, 2015 не надо так спорить) почитал чем занимается гнатолог. ничего не понял. мой лечащий врач разводит руками и не понимает на что я жалуюсь. пожевав капирку след контакта есть, но я его не ощущаю. получается, что зазор не велик. а последнии дни так вообще все нормально. от чего зависит не понял... ps: примерно пол года назад на мой снимок откликнулся в лс некий врач с этого форума и поинтересовался не беспокоит ли меня моя челюсть. я был очень удивлен этому вопросу. а оказалось, что на снимке видно, что суставы у меня какие то странные. Ссылка на комментарий
faity Опубликовано 30 апреля, 2015 Поделиться Опубликовано 30 апреля, 2015 ну то что проблема у вас есть, вы видимо давно в курсе. теперь смотрите в интернете что такое артрит и артроз височно-нижнечелюстного сустава и думайте искать спеца или нет Ссылка на комментарий
Рекомендуемые сообщения
Для публикации сообщений создайте учётную запись или авторизуйтесь
Вы должны быть пользователем, чтобы оставить комментарий
Создать аккаунт
Зарегистрируйте новый аккаунт в нашем сообществе. Это очень просто!
Регистрация нового пользователяВойти
Уже есть аккаунт? Войти в систему.
Войти