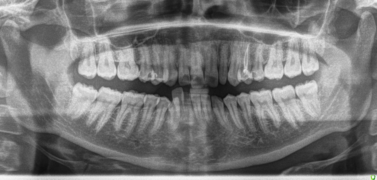
Евлампий Опубликовано 23 апреля, 2015 Поделиться Опубликовано 23 апреля, 2015 Всем доброго дня.Исправлять прикус или оставить все как есть? Пол женский, возраст 30лет, прикус неправильный с детства. Явных функциональных проблем нет: в боковых отделах зубы смыкаются нормально, повышенной стираемости, клиновидных дефектов нет, пародонт в порядке. ВНЧС тоже внешне никак себя не проявляет, щелчков нет, рот открывается нормально Но сделав ОПТГ по другому поводу обнаружилась сильная ассиметрия ветвей нижней челюсти и суставных головок. Исправлять ли прикус в целях предупреждения возможных проблем с ВНЧС в будущем или лучше оставить все как есть? Эстетика решающего значения не имеет. Благодарю вас. Ссылка на комментарий
red_butler Опубликовано 24 апреля, 2015 Поделиться Опубликовано 24 апреля, 2015 Евлампий Вы врач? Ссылка на комментарий
Евлампий Опубликовано 24 апреля, 2015 Автор Поделиться Опубликовано 24 апреля, 2015 нет. даже близко нет. почему Вы так решили? Ссылка на комментарий
Doctor Che Опубликовано 28 апреля, 2015 Поделиться Опубликовано 28 апреля, 2015 Очень уж грамотно излагаете .ИМХО, оставить пока все как есть. Сейчас все скомпенсировано организмом, а вот когда начнутся проблемы с ВНЧС, пародонтом или стираемостью зубов тогда и начинать решать проблему.Работает - не лезь, а то перестанет!© 1 1 Ссылка на комментарий
Евлампий Опубликовано 30 апреля, 2015 Автор Поделиться Опубликовано 30 апреля, 2015 Doctor Che, огромное-преогромное спасибо Вам за помощь!!! Ссылка на комментарий
Евлампий Опубликовано 30 апреля, 2015 Автор Поделиться Опубликовано 30 апреля, 2015 Докладываю)Побывала на консультации у нескольких докторов. В общем, сколько врачей столько мнений.Кто-то пугал, что по-любому рано или поздно зубы загнуться из-за неправильного прикуса и немедленно надо все исправлять.Кто-то говорил, что по суставу не критично, но скученность на нижней челюсти желательно поправить. (т.е. больше в эстетических целях, я так поняла это все надо делать)А один доктор сказал что только по одной ОПТГ судить о состоянии сустава нельзя, но предрасположенность есть - ассиметрия правой и левой половины и слабовыраженные суставные бугорки. (этот док мне понравился больше всего, но он не ортодонт ) Навскидку, пока без дополнительных обследований предполагают лечение с удалением премоляров на верхней челюсти. На мой вопрос, как это отразится на суставе, дают очень расплывчатые ответы. Жду ваших ответов.1.Целесообразно ли исправлять прикус в моей ситуации?2.Возможно ли обойтись без удаления на верхней челюсти и целесообразно ли это? 3. Самый главный вопрос - в моем случае брекетами по большей части можно улучшить только эстетику или и эстетику и функцию тоже (под функцией понимается в первую очередь сустав)? Как удаление отразится на ВНЧС? Спасибо. Ссылка на комментарий
Scrabble Опубликовано 14 мая, 2015 Поделиться Опубликовано 14 мая, 2015 Я не ортодонт, сразу предупреждаю. Но совершенно очевидно, что ортодонтия Вам необходима. И, скорее всего, в сочетании с ортогнатической хирургией. Без ТРГ вряд ли что-то определённое можно сказать. А что касается пломб на премолярах-Вам нужны керамические вкладки(они будут точно вопроизводить архитектонику окклюзионной поверхности зубов-с учётом функции) 2 Ссылка на комментарий
Yana guapa Опубликовано 20 мая, 2015 Поделиться Опубликовано 20 мая, 2015 Жду ваших ответов.1.Целесообразно ли исправлять прикус в моей ситуации?2.Возможно ли обойтись без удаления на верхней челюсти и целесообразно ли это? 3. Самый главный вопрос - в моем случае брекетами по большей части можно улучшить только эстетику или и эстетику и функцию тоже (под функцией понимается в первую очередь сустав)? Как удаление отразится на ВНЧС? Спасибо. 1. если ничего не беспокоит, соглашусь с Doctor Che. Организм сам скомпенсировал как смог и пока все работает. Никто не даст гарантий, что после лечения станет лучше (уж слишком все индивидуально). А если с целью профилактики, чтобы не было проблем сВНЧС- так это уже поздно, проблемы уже есть, просто они не дают о себе знать, и это хорошо. У нас далеко не у всех идеальные прикусы, но мы не бежим все исправлять их, если нет реальных жалоб. 2. если надумаете лечиться - то для составления плана лечения нужна полная диагностика, без нее трудно ответить на вопросы.3. результат зависит от плана лечения, способа устранения: просто брекеты, или ортогнатия. без диагностики на эти вопросы невозможно ответить. Ссылка на комментарий
Рекомендуемые сообщения
Для публикации сообщений создайте учётную запись или авторизуйтесь
Вы должны быть пользователем, чтобы оставить комментарий
Создать аккаунт
Зарегистрируйте новый аккаунт в нашем сообществе. Это очень просто!
Регистрация нового пользователяВойти
Уже есть аккаунт? Войти в систему.
Войти