Vsergeev 20 Опубликовано 21 апреля, 2015 Поделиться Опубликовано 21 апреля, 2015 Добрый день.Сломался передний верхний левый зуб. 35 лет. Ходил в две клиники для консультации. Канал в зубе ранее пломбировали. На снимке видно, что канал до конца не заполнен пломбировочным материалом. Говорят, что периодонтит. Предложение первой клиники - вылечить, перепломбировать канал, сделать вкладку в корень и сверху коронку. Все устроило. И по цене доступно. Для уверенности и сравнения цен решил посетить еще одну клинику. Сказали, что лечить и ставить вкладку это без гарантии т.к. периодонтит. Лучше переплатить и ставить имплант. Есть ли практика, когда лечили корень, ставили коронку и потом приходилось выдергивать и всё же ставить имплант или вариант пролечиванием и сохранение корня может быть хорошим вариантом.Буду признателен за пояснения. Ссылка на комментарий
Yana guapa Опубликовано 21 апреля, 2015 Поделиться Опубликовано 21 апреля, 2015 снимок Вашего зуба не помешает.если средства позволяют - сделайте первый вариант, сколько проходите столько проходите с коронкой. А потом имплант, когда станет неизбежно. Гарантий никто Вам не даст, это Ваш организм, как он себе поведет никто не знает. Может простоит полгода, а может и много лет... смотря как его Вам еще перелечат. Ссылка на комментарий
Vsergeev 20 Опубликовано 21 апреля, 2015 Автор Поделиться Опубликовано 21 апреля, 2015 (изменено) Спасибо за оперативный ответ! Какой снимок необходим, КТ или достаточно прицельного? Изменено 21 апреля, 2015 пользователем Vsergeev 20 Ссылка на комментарий
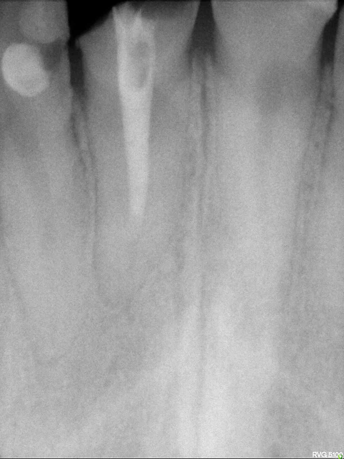
Vsergeev 20 Опубликовано 21 апреля, 2015 Автор Поделиться Опубликовано 21 апреля, 2015 снимок прикрепил Ссылка на комментарий
red_butler Опубликовано 21 апреля, 2015 Поделиться Опубликовано 21 апреля, 2015 Если судить только по снимку, зуб нужно перелечить и протезировать Ссылка на комментарий
Vsergeev 20 Опубликовано 21 апреля, 2015 Автор Поделиться Опубликовано 21 апреля, 2015 Имплант ставить с целью исключить возможную дальнейшую переплату смысла нет? Расчет в голове примерно такой: сейчас за лечение и протезирование выйдет около 30000. Если делать имплант + протезирование то около 45000 с металлокерамикой и 65000 если диоксид циркония. Конечно, первый вариант дешевле и более привлекателен, но когда одни говорят, что лучше не рисковать, а другие, что лучше не переплачивать, то у человека не разбирающегося возникает вопрос "как вернее?". Да и ситуация, когда есть риск через год получить снова воспаление корня и получить удаление с дальнейшим имплантологу приведет к итоговым расходам 30000 (первичное лечение и протезирование) + 45000 (имплант и коронка) = 75000Если в практике часто происходят перелечивание уже под коронкой, то рисковать как-то не особо хочется. Возможно, что сохранение своего корня предпочтительней и важно для каких-либо других ситуаций/процессов, то тогда конечно сохранять и лечить. Хочется услышать мнение профессионалов по этому поводу. Ссылка на комментарий
St. Опубликовано 21 апреля, 2015 Поделиться Опубликовано 21 апреля, 2015 Я бы советовала попробовать побороться за свой зуб. По снимку смысл есть. Риск повторного воспаления есть, но в Вашем случае небольшой.А имплант всегда поставить успеете. Тем более, что импланты это тоже не панацея. Ссылка на комментарий
Гарриевич Опубликовано 21 апреля, 2015 Поделиться Опубликовано 21 апреля, 2015 При грамотном лечении "снова воспаление корня" не возникнет Ссылка на комментарий
Vsergeev 20 Опубликовано 21 апреля, 2015 Автор Поделиться Опубликовано 21 апреля, 2015 Большое спасибо за советы! Развеяли мои опасения. Буду делать коронку на свой оставшийся зуб. Предложили сразу делать коронки на все 4 передние верхние т.к. Имеются большие пломбы. Два живых (вторые справа и слева) и два нет (те, что по центру, один из которых сломался). Через 2 дня сделаю КТ и окончательно озвучат план лечения. Ссылка на комментарий
Рекомендуемые сообщения
Для публикации сообщений создайте учётную запись или авторизуйтесь
Вы должны быть пользователем, чтобы оставить комментарий
Создать аккаунт
Зарегистрируйте новый аккаунт в нашем сообществе. Это очень просто!
Регистрация нового пользователяВойти
Уже есть аккаунт? Войти в систему.
Войти