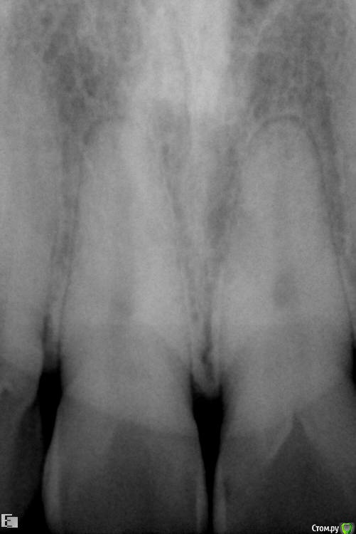
VladV Опубликовано 19 апреля, 2015 Поделиться Опубликовано 19 апреля, 2015 Помогите, пожалуйста, советом. Заранее извиняюсь за простыню. Около полутора месяцев назад пропустил два удара в голову. Один пришелся в верхнюю челюсть, другой в районе правой брови. Была сильно разбита верхняя губа, которая слиплась и срослась сама (не зашивали). Зубы, вроде бы, не беспокоили. Проверял холодом - реакция есть. Явных болевых ощущений не было, но как-то стал чувствовать верхнюю единицу (11), иногда совсем чуть-чуть зуб поднывал и было ощущение, что совсем немного сдвинулся назад, внутрь рта (возможно, всегда таким был, не обращал внимания). При смыкании зубов поверхностью верхнего к поверхности нижнего, а не нижний за верхний, явной боли не было, но я старался не смыкать лишний раз и не кусать этими зубами. Губа зажила где-то через две недели, только внутри уплотнение небольшое осталось. Не знаю, важно ли, но примерно после заживления губы то ли словил вирус, то ли есть связь с зубами, но начался сильный насморк, который длился недели две и вторая неделя была с густыми зелеными (простите за подробности) выделениями и даже иногда кровь шла из носа от попыток их вымыть и высморкать.Спустя месяц, когда насморк прошел, решил сходить к стоматологу в частную клинику и проверить зубы на всякий случай, т.к. непонятные ощущения в 11 зубе остались. Простучали зубы 22-21-11-12. У всех зубов чувствительность одинаковая, у 11 чуть сильнее. Сделали несколько прицельных снимков. Врач ничего криминального с корнями не обнаружил. Посоветовали сделать чистку зубов ультразвуком и AirFlow, т.к. был сильный налет и отложение камня.Через пару дней сделал чистку. Полтора часа чистили все зубы, так как около 5 лет до этого не чистил. Врач долго не мог понять, что за смолянистый темный налет был на зубах (не курю и кофем не злоупотребляю), в итоге выяснили, что из-за постоянного полоскания ротовыми ополаскивателями, содержащими хлор. Увлекался ими последние полгода. После травмы зуба казалось, что после ополаскивания зубу легче становилось и его долго ничего не беспокоило. Во время осмотра между верхними единицами обнаружился легкий кариес. Врач сказал, что на корни и мои ощущения 11 зуба он никак влиять не может. После чистки местами были травмированы десны, местами маленькие гематомы были, некоторые зубы стали особенно чувствительно переносить холодное и горячее. Но то ли так совпало, то ли из-за чистки, 11 зуб стал чаще поднывать, причем, непонятные ощущения переместились ближе к пространству между 11 и 12 зубом, и на 12 зуб вроде бы тоже стали распространяться. Сложно описать, но такое ощущение, что чувствительность куда-то ближе к носу ушла, иногда как будто напряжение какое-то между зубами возникало, будто еда застряла. Стал непроизвольно тсыкать - прислонять язык к щели 11-12, 11-21, 12-13 и втягивать резко воздух, так легче что ли становилось или из-за ощущений от увеличенных просветов между зубами. Потом то ли из-за того, что не пользуюсь передними зубами, то ли из-за чего-то другого, но появилось ощущение, что изменился прикус. Нижние единицы стали как-то ощутимее упираться в верхние единицы, будто в другом месте из-за якобы ушедшей чуть-чуть вперед нижней челюсти. Иногда верхние единицы становились как чужие, снижалась чувствительность что ли. Иногда кажется соленоватый привкус у десны между 11 и 12 зубами, хотя крови и каких-либо выделений в слюне нет. В какие-то дни эти ощущения уходили, в какие-то возвращались. Заметил, что у 11 зуба есть небольшая подвижность, определил прислоняя палец к щели 11-12 и сжимая/расслабляя челюсти. Понаблюдав неделю пошел уже в другую частную клинику. Там опять сделали снимки (прилагаю к сообщению), опять ничего криминального не обнаружили. Кариес легкий между 11 и 21 видят, рекомендуют убрать и отреставрировать зубы, но не видят связи с моими ощущениями. Сказали, наблюдать дальше за зубом, сделать контрольные снимки месяца через три и не заморачиваться. Легко им говорить, у меня уже паранойя развиваться начала. Каждое утро просыпаюсь и сразу прислушиваюсь к ощущениям, потом весь день то отвлекаешься, то опять вспоминаешь и тсыкаешь. Все еще осложняется тем, что в двадцатых числах я почти на 20 дней улетаю в Египет, где если и случится чего, то вряд ли смогут квалифицированно помочь с зубами.В итоге решил поискать информацию в Интернете и наткнулся на этот форум. Начитался ужасов всяких и еще больше теперь боюсь уезжать. Правда, непонятные ощущения после этого стали реже возвращаться, уже пару дней, испугались, наверно. Записался на панорамный снимок, который и прикладываю. Прошу специалистов высказать свое мнение. Действительно ли забить и жить с этими непонятными ощущениями или дальше копать. Какие препараты лучше взять на случай, если что-то пойдет не так в поездке? Заранее спасибо за рекомендации и еще раз простите за простыню. Ссылка на комментарий
DmitrySH Опубликовано 19 апреля, 2015 Поделиться Опубликовано 19 апреля, 2015 Тест на витальность 11 сделайте. Если жив, то спокойно ехать отдыхать и через 3 месяца тест повторить. 1 Ссылка на комментарий
VladV Опубликовано 19 апреля, 2015 Автор Поделиться Опубликовано 19 апреля, 2015 Спасибо за совет, постараюсь завтра найти клинику с подобной услугой. Почему-то в тех двух, где делал снимки, тест не предлагали сделать.Позвольте еще пару вопросов:1. Если прикладывать холодное к 11 зубу, то холод явно ощущется. Опять же прошло уже 45 дней. Этого недостаточнодля определения витальности? Нужно определить какой-то конкретный уровень чувствительности?2. Специфические антибиотики или противовирусное ничего не надо взять с собой или пропить для профилактики, если живой? Ссылка на комментарий
DmitrySH Опубликовано 19 апреля, 2015 Поделиться Опубликовано 19 апреля, 2015 если 11 и 21 - реагируют идентично, то все хорошо Ссылка на комментарий
VladV Опубликовано 19 апреля, 2015 Автор Поделиться Опубликовано 19 апреля, 2015 Я делал так: брал кусок мяса из морозилки, клал в чистый пакет, прикладывал узким краем к 21 зубу (ближе к корню) и считал, через сколько секунд будет совсем неприятная реакция на холод, потом делал паузу и проделывал то же самое с 11 и по секундам примерно одинаково получалось. Правильно? Ссылка на комментарий
DmitrySH Опубликовано 19 апреля, 2015 Поделиться Опубликовано 19 апреля, 2015 Можно и так Хорошего отдыха! Ссылка на комментарий
VladV Опубликовано 19 апреля, 2015 Автор Поделиться Опубликовано 19 апреля, 2015 Спасибо Вам огромное! Полечили голову Если не сильно надоел, скажите, пожалуйста, а вот эти ощущения нарушенного прикуса нормальны? Лучше на время отдыха продолжать не грузить 11 зуб, не кусать и не жевать резцами? Ссылка на комментарий
DmitrySH Опубликовано 19 апреля, 2015 Поделиться Опубликовано 19 апреля, 2015 Ощущения - это субъективно.Если при откусывании нет боли, то кусайте. Ссылка на комментарий
VladV Опубликовано 19 апреля, 2015 Автор Поделиться Опубликовано 19 апреля, 2015 Понял. Доброй ночи! Ссылка на комментарий
Рекомендуемые сообщения
Для публикации сообщений создайте учётную запись или авторизуйтесь
Вы должны быть пользователем, чтобы оставить комментарий
Создать аккаунт
Зарегистрируйте новый аккаунт в нашем сообществе. Это очень просто!
Регистрация нового пользователяВойти
Уже есть аккаунт? Войти в систему.
Войти