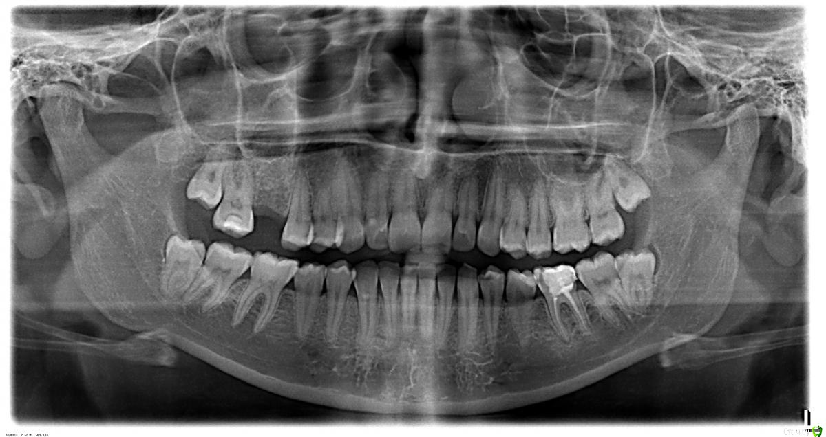
L_Z Опубликовано 19 апреля, 2015 Поделиться Опубликовано 19 апреля, 2015 Добрый день, я уже обращалась с подобным вопросом "Что делать" в теме протезирование, теперь у меня вопрос "почему"Кратко предыстория: 6 сверху зуба я лишилась в результате "невменяемости" меня в момент боли и невменяемости врача, к которому меня занесло по ркомендации, о чем жалею. От 6-ки сверху были только корни и стенка - на одном из корней была гранулема, я и удалила. Фраза доктора "съемный потом или имплантик" не вызвала у меня вопросов при желании избавиться от боли, врач не дала рекомендаций, снялала пломбу и сказала "пока так".Только позже я узнала, что гранулемы лечатся, корни спасаются, каналы переличиваются итд. Я сторонник мер - спасти во чтобы то ни стало, нежели чем "нафиг корни, давай имплант". Это предыстория.Сейчас у меня зуб с трещиной 6 снизу - там тоже начинается воспаление. Врачи говорят - каналы залечены хорошо. Тогда у меня вопрос - ПОЧЕМУ там идет воспаление, если каналы заполнены? Естественно, лечение планирую, но теперь я просто боюсь (свадьба через 2 мес). В общем, все это лирика, в чем же физика?Уважаемые специалисты, могли бы обьяснить причины, по которым в хорошо залеченых каланах на корне зуба идет воспалительный процесс? Пломба не имеет никакой анатомии - и есть трещина - все буду делать, лечит итп, но после свадьбы. Основной вопрос - каковы причины? Забытые каналы? все-таки плохое лечение? не те материалы? Кстати оди из специалистов сказала, что это может быть и реакция организма на инородное заполнение в каналах, и если это не растет - то это не опасно. А также - что перелечивание может как улучшить, так и ухудшить.Где правда?Если еще нужна информация - я все напишу. Интернеты твердят, что грануляция идет от пустоты в каналах, врачи утверждают, что ее там нет, тогда в чем корень зла?Снимок прилагаю Ссылка на комментарий
Гарриевич Опубликовано 19 апреля, 2015 Поделиться Опубликовано 19 апреля, 2015 Нужен прицельный снимок этого зуба, а могли бы обьяснить причины, по которым в хорошо залеченых каланах на корне зуба идет воспалительный процесс? Забытые каналы, все-таки плохое лечение Ссылка на комментарий
L_Z Опубликовано 19 апреля, 2015 Автор Поделиться Опубликовано 19 апреля, 2015 Нужен прицельный снимок этого зуба, а То есть и забытые каналы и плохое лечение?или только забытые каналы?Могли бы более развернуто? Ссылка на комментарий
DmitrySH Опубликовано 19 апреля, 2015 Поделиться Опубликовано 19 апреля, 2015 Послушайте, существует множество причин из-за которых может развиваться воспалительный процесс. Перечислять - просто нет смысла. Да и к чему это гадание.Лечение будет одинаковое. 1 Ссылка на комментарий
L_Z Опубликовано 19 апреля, 2015 Автор Поделиться Опубликовано 19 апреля, 2015 Послушайте, существует множество причин из-за которых может развиваться воспалительный процесс. Перечислять - просто нет смысла. Да и к чему это гадание.Лечение будет одинаковое.Я хочу знать причины, почему бы мне не знать? Перетачивание будет недешевое Ссылка на комментарий
L_Z Опубликовано 19 апреля, 2015 Автор Поделиться Опубликовано 19 апреля, 2015 Фото для доп. информации. красным я отметила трещину. Ссылка на комментарий
molchanoff Опубликовано 20 апреля, 2015 Поделиться Опубликовано 20 апреля, 2015 коронку надо было на эндо леченный зубпломба таких размеров начинает быстро протекать, а значит любое эндо будет провальным.герметизм постоянной конструкции-вот залог успешного эндо лечения.такая физика вас устроит. Ссылка на комментарий
L_Z Опубликовано 20 апреля, 2015 Автор Поделиться Опубликовано 20 апреля, 2015 коронку надо было на эндо леченный зубпломба таких размеров начинает быстро протекать, а значит любое эндо будет провальным.герметизм постоянной конструкции-вот залог успешного эндо лечения.такая физика вас устроит.Устроит, спасибо Ссылка на комментарий
Рекомендуемые сообщения
Для публикации сообщений создайте учётную запись или авторизуйтесь
Вы должны быть пользователем, чтобы оставить комментарий
Создать аккаунт
Зарегистрируйте новый аккаунт в нашем сообществе. Это очень просто!
Регистрация нового пользователяВойти
Уже есть аккаунт? Войти в систему.
Войти