nat-man Опубликовано 17 апреля, 2015 Поделиться Опубликовано 17 апреля, 2015 (изменено) ЗДРАВСТВУЙТЕ, УВАЖАЕМЫЕ СПЕЦИАЛИСТЫ!Поставили формирователь 12 апреля , мне показалось, что стоит высоко, но сильно не беспокоилась,но после консультации с ортопедом 14 апреля расстроилась. Собираюсь ставить керамическую коронку, ортопед предложил верх коронки покрасить под цвет десны или искуственную десну с сосочками.... или к коронке прикреплены эти сосочки,,, вообщем полное фиаско моей мечты о зубе, который "растет" из десны и который, не отличить от настоящего... Ни фотографий, ни готовых коронок ортопед не показал, приходится пользоваться своей фантазией и интернетом. Честно говоря, я в шоке.... Хочу свою десну.... Почему возникла такая проблема с десной? Можно ли ее наростить? или может есть другие варианты? Изменено 17 апреля, 2015 пользователем nat-man Ссылка на комментарий
red_butler Опубликовано 17 апреля, 2015 Поделиться Опубликовано 17 апреля, 2015 покажите Rg снимок Ссылка на комментарий
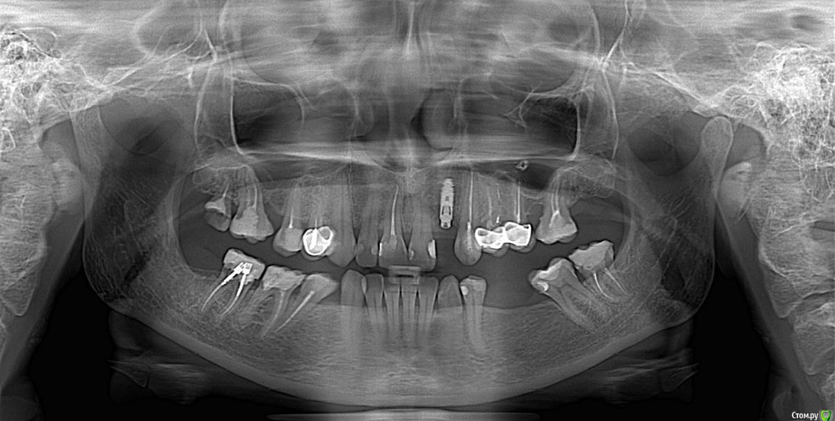
nat-man Опубликовано 17 апреля, 2015 Автор Поделиться Опубликовано 17 апреля, 2015 снимок сделан в день перед установкой формирователя Ссылка на комментарий
red_butler Опубликовано 17 апреля, 2015 Поделиться Опубликовано 17 апреля, 2015 Ситуацию можно улучшить за счет пластики десны Ссылка на комментарий
nat-man Опубликовано 17 апреля, 2015 Автор Поделиться Опубликовано 17 апреля, 2015 Ситуацию можно улучшить за счет пластики десныспасибо, а кто проводит такие операции? сам хирург-имплантолог который ставил имплант? почему сложилась такая ситуация с десной? это моя вина или из-за слишком высокого уровня установки импланта? спасибо. Ссылка на комментарий
red_butler Опубликовано 17 апреля, 2015 Поделиться Опубликовано 17 апреля, 2015 спасибо, а кто проводит такие операции? сам хирург-имплантолог который ставил имплант? почему сложилась такая ситуация с десной? это моя вина или из-за слишком высокого уровня установки импланта? спасибо.делает хирург который это умеет, да имплант поставлен слегка выше. Покажите фото своей улыбки Ссылка на комментарий
nat-man Опубликовано 17 апреля, 2015 Автор Поделиться Опубликовано 17 апреля, 2015 вот как-то так Ссылка на комментарий
red_butler Опубликовано 17 апреля, 2015 Поделиться Опубликовано 17 апреля, 2015 требуется пластика десны Ссылка на комментарий
nat-man Опубликовано 17 апреля, 2015 Автор Поделиться Опубликовано 17 апреля, 2015 спасибо Ссылка на комментарий
nat-man Опубликовано 17 апреля, 2015 Автор Поделиться Опубликовано 17 апреля, 2015 т.е переустанавливать сам имплант не надо? и после пластики все будет красиво? Ссылка на комментарий
red_butler Опубликовано 17 апреля, 2015 Поделиться Опубликовано 17 апреля, 2015 и после пластики все будет красиво? будет лучше 1 Ссылка на комментарий
nat-man Опубликовано 17 апреля, 2015 Автор Поделиться Опубликовано 17 апреля, 2015 боюсь в нашем городе такого специалиста нет... спасибо за консультацию. Ссылка на комментарий
red_butler Опубликовано 17 апреля, 2015 Поделиться Опубликовано 17 апреля, 2015 боюсь в нашем городе такого специалиста нет... спасибо за консультацию.Попробуйте найти врача на форуме http://forum.stom.ru/topic/16116-posovetujte-khirurgaimplantologa/ Ссылка на комментарий
nat-man Опубликовано 17 апреля, 2015 Автор Поделиться Опубликовано 17 апреля, 2015 спасибо) а имплант поставлен несколько выше, потому что по другому было нельзя сделать, или высоко, потому что врач неправильно сделал? Ссылка на комментарий
red_butler Опубликовано 17 апреля, 2015 Поделиться Опубликовано 17 апреля, 2015 спасибо) а имплант поставлен несколько выше, потому что по другому было нельзя сделать, или высоко, потому что врач неправильно сделал?Я не видел изначальную картину, а следовательно не смогу ответить на этот вопрос. Ссылка на комментарий
nat-man Опубликовано 17 апреля, 2015 Автор Поделиться Опубликовано 17 апреля, 2015 зуб мне удалял хирург, который потом через пол года и ставил имплант, никаких вопросов у него по десне не было, делала все в срок. Удаление в апреле, имплантация в декабре, все у одного врача, все по срокам... Ссылка на комментарий
Mane Опубликовано 23 апреля, 2015 Поделиться Опубликовано 23 апреля, 2015 вам можно помочь засчет пластики десны.если вы не хотите переустанавливать имплант может стоит слетать на прием например в северную столицу? Ссылка на комментарий
nat-man Опубликовано 24 апреля, 2015 Автор Поделиться Опубликовано 24 апреля, 2015 спасибо большое за совет, а как быстро я должна попасть на пластическую операцию? можно ли подождать до июля? в июле отпуск. И еще такой вопрос, как долго мне надо будет находится рядом с клиникой после пластической операции? Спасибо. Ссылка на комментарий
Mane Опубликовано 5 мая, 2015 Поделиться Опубликовано 5 мая, 2015 Терпит конечно. И до июля и до августа. Сделали операцию и можно ехать домой Ссылка на комментарий
Рекомендуемые сообщения
Для публикации сообщений создайте учётную запись или авторизуйтесь
Вы должны быть пользователем, чтобы оставить комментарий
Создать аккаунт
Зарегистрируйте новый аккаунт в нашем сообществе. Это очень просто!
Регистрация нового пользователяВойти
Уже есть аккаунт? Войти в систему.
Войти