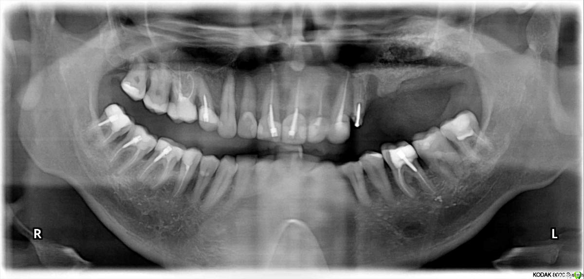
red_butler Опубликовано 16 апреля, 2015 Поделиться Опубликовано 16 апреля, 2015 Только что закончил синуслифтинг. В самом конце стал фиксировать мембрану пинами, ручка соскользнула. Под трясываясь проверяю и отправляю пациента на ОПГ. В общем слизистая поднялась в два раза больше чем планировал. Ушел весь запас графта какой был. 1,5 кубика остеосса, кубик биоосса и кубик остеона. Сегодня выпью за здоровье синуса. 1 Ссылка на комментарий
TIGER Опубликовано 16 апреля, 2015 Поделиться Опубликовано 16 апреля, 2015 У меня такая же история случилась полгода назад) Ссылка на комментарий
Magomed Опубликовано 16 апреля, 2015 Поделиться Опубликовано 16 апреля, 2015 Только что закончил синуслифтинг. В самом конце стал фиксировать мембрану пинами, ручка соскользнула. Под трясываясь проверяю и отправляю пациента на ОПГ. В общем слизистая поднялась в два раза больше чем планировал. Ушел весь запас графта какой был. 1,5 кубика остеосса, кубик биоосса и кубик остеона. Сегодня выпью за здоровье синуса.пинов не вижу. А зачем так подняли? Ссылка на комментарий
Чертков Александр Опубликовано 16 апреля, 2015 Поделиться Опубликовано 16 апреля, 2015 ручка соскользнула. "Пробил" стенку ? Ссылка на комментарий
Acidrocker Опубликовано 16 апреля, 2015 Поделиться Опубликовано 16 апреля, 2015 Был похожий синус у меня, пазуха клинически здорова. 2 Ссылка на комментарий
red_butler Опубликовано 16 апреля, 2015 Автор Поделиться Опубликовано 16 апреля, 2015 пинов не вижу. А зачем так подняли?передумал стучать. Не специально. Ссылка на комментарий
red_butler Опубликовано 16 апреля, 2015 Автор Поделиться Опубликовано 16 апреля, 2015 "Пробил" стенку ? Даже и не понял, толи пробил или просто соскользнул Ссылка на комментарий
Чертков Александр Опубликовано 16 апреля, 2015 Поделиться Опубликовано 16 апреля, 2015 Даже и не понял, толи пробил или просто соскользнулПонятно. А зачем пинами фиксировали? Большое окно? "Перестраховка"? Опять же если "перестраховка", то почему нет пинов на контрольной ПТГ? В синус-лифтинге я "начинающий" , но ни разу не "приколачивал", просто укрывал мембраной. Все ОК. Ссылка на комментарий
red_butler Опубликовано 16 апреля, 2015 Автор Поделиться Опубликовано 16 апреля, 2015 Понятно. А зачем пинами фиксировали? Большое окно? "Перестраховка"? Опять же если "перестраховка", то почему нет пинов на контрольной ПТГ? В синус-лифтинге я "начинающий" , но ни разу не "приколачивал", просто укрывал мембраной. Все ОК.хотел добавить ширину в позиции 2.5, но графта не осталось Ссылка на комментарий
Magomed Опубликовано 17 апреля, 2015 Поделиться Опубликовано 17 апреля, 2015 хотел добавить ширину в позиции 2.5, но графта не осталосьиз синуса надо было отсыпать))) 1 Ссылка на комментарий
DoctorN Опубликовано 17 апреля, 2015 Поделиться Опубликовано 17 апреля, 2015 поставите имплантаты длиной 17) 1 Ссылка на комментарий
red_butler Опубликовано 17 апреля, 2015 Автор Поделиться Опубликовано 17 апреля, 2015 поставите имплантаты длиной 17)можно, но я скромный Ссылка на комментарий
DoctorN Опубликовано 17 апреля, 2015 Поделиться Опубликовано 17 апреля, 2015 можно, но я скромныйвообще ,как мне кажется,последователи проф Кури считают,что синус -лифтинг должен быть как раз такой-а вдруг неудача с имплантатами,вдруг переделывать-а у вас уже тут как тут -еще 15 мм в запасе.ведь если соустье работает нормально,то даже если вы поднимите дно на 3 см-все будет хорошо. 2 Ссылка на комментарий
Acidrocker Опубликовано 17 апреля, 2015 Поделиться Опубликовано 17 апреля, 2015 вообще ,как мне кажется,последователи проф Кури считают,что синус -лифтинг должен быть как раз такой-а вдруг неудача с имплантатами,вдруг переделывать-а у вас уже тут как тут -еще 15 мм в запасе.ведь если соустье работает нормально,то даже если вы поднимите дно на 3 см-все будет хорошо.подтверждаю) мне Хансер также и сказал на курсе когда у него был)) Ссылка на комментарий
red_butler Опубликовано 17 апреля, 2015 Автор Поделиться Опубликовано 17 апреля, 2015 Я не против, у меня в клинике коллега всегда так делает, меньше 2 кубиков биоосса не использует. Ссылка на комментарий
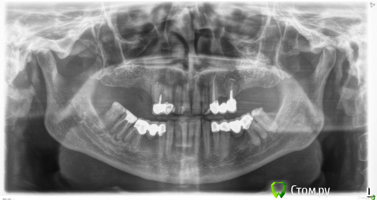
red_butler Опубликовано 16 октября, 2015 Автор Поделиться Опубликовано 16 октября, 2015 Сегодня продолжил, качество кости совсем не понравилось, но окно закрылось, пришлось ушить винты.Теперь думаю отложить 2 этап на 5-6 месяцев.http://s017.radikal.ru/i413/1510/09/0c8ba121c636.jpg Ссылка на комментарий
4ebstom Опубликовано 16 октября, 2015 Поделиться Опубликовано 16 октября, 2015 Рыхло?Торк какой получили? Ссылка на комментарий
Фарид Расулыч Опубликовано 16 октября, 2015 Поделиться Опубликовано 16 октября, 2015 (изменено) А я не люблю гиперсинусы. так как считаю в этом нет смысла. ставить в пазуху винт 17 мм? А нафига он там такой длинный? А прорастет ли графт которыйпод куполом?? Я думаю нет.Поэтому и не извожу материал в таких колличесвах.)на 1 см или на 1.5 вполне хватит)Понятно что апикальный упор это хорошо, но 1 см над имплантом это борщ)Тем более что на 25м импланте его вообще нет. Да и Дентиум тут будет стоять и так хорошо. ИМХО, опять же.) Изменено 16 октября, 2015 пользователем Фарид Расулыч Ссылка на комментарий
Acidrocker Опубликовано 16 октября, 2015 Поделиться Опубликовано 16 октября, 2015 А я не люблю гиперсинусы. так как считаю в этом нет смысла. ставить в пазуху винт 17 мм? А нафига он там такой длинный? А прорастет ли графт которыйпод куполом?? Я думаю нет.Поэтому и не извожу материал в таких колличесвах.)на 1 см или на 1.5 вполне хватит)Понятно что апикальный упор это хорошо, но 1 см это борщ) ИМХО, опять же.) А мне кажется, есть смысл в том, чтобы иметь запас кости по вертикали. И ставить обычной длины, 10 ну или максимум 12мм. То, что графт под куполом может не прорасти за 6 месяцев, это согласен. Но со временем, возможно, интегрируется. На конгрессе ITI Донос показывал этапы созревания графта под нерезорбируемой мембраной. Наверное, можно применить и к синуслифту.Какая может быть усадка через 5-10 лет? Наблюдал усадку MP3 процентов на 30 на сроках 1 год. Ссылка на комментарий
red_butler Опубликовано 16 октября, 2015 Автор Поделиться Опубликовано 16 октября, 2015 Рыхло?Торк какой получили?Не то слово, торк около 15 Ссылка на комментарий
Фарид Расулыч Опубликовано 16 октября, 2015 Поделиться Опубликовано 16 октября, 2015 Запас кости по вертикали это конечно хорошо. Но ты же не будешь отрицать (уверен ты видел такие случаи) когда запаса кости не было в принципе, или даже Имплант торчал в пазухе на 1,5 - 2 мм, и все было ок?Да, может за год или больше все что мы пихнули в синус на 1 см выше импланты превратится в кость, а зачем она там? Мы ведь подразумеваем что за это время Имплант уже должен интегрироваться, тем более пропихнуть 12мм Интегрированный мплант в пазуху усилием жевательной мускулатуры?... Как то слабо верится. Ссылка на комментарий
Рекомендуемые сообщения
Для публикации сообщений создайте учётную запись или авторизуйтесь
Вы должны быть пользователем, чтобы оставить комментарий
Создать аккаунт
Зарегистрируйте новый аккаунт в нашем сообществе. Это очень просто!
Регистрация нового пользователяВойти
Уже есть аккаунт? Войти в систему.
Войти