oleg Vl Опубликовано 12 апреля, 2015 Поделиться Опубликовано 12 апреля, 2015 Если человек один раз обманул, он еще сколько угодно раз обманет. Нет веры больше.В свете темы, смешно еще то, что мы тоже на астру думаем переходить))). А для Нобеля в нашем городе тоже не последние клиенты. если не первые по объему. а бутор этот 5 штук поставил и сказал что больше не прикоснусь. Ссылка на комментарий
Doc Опубликовано 12 апреля, 2015 Поделиться Опубликовано 12 апреля, 2015 Вообще некоторых я бы послал к Мало поучиться.А то вот такое называют "все на четырех". А это, как бы помягче выразиться, не совсем то... Ссылка на комментарий
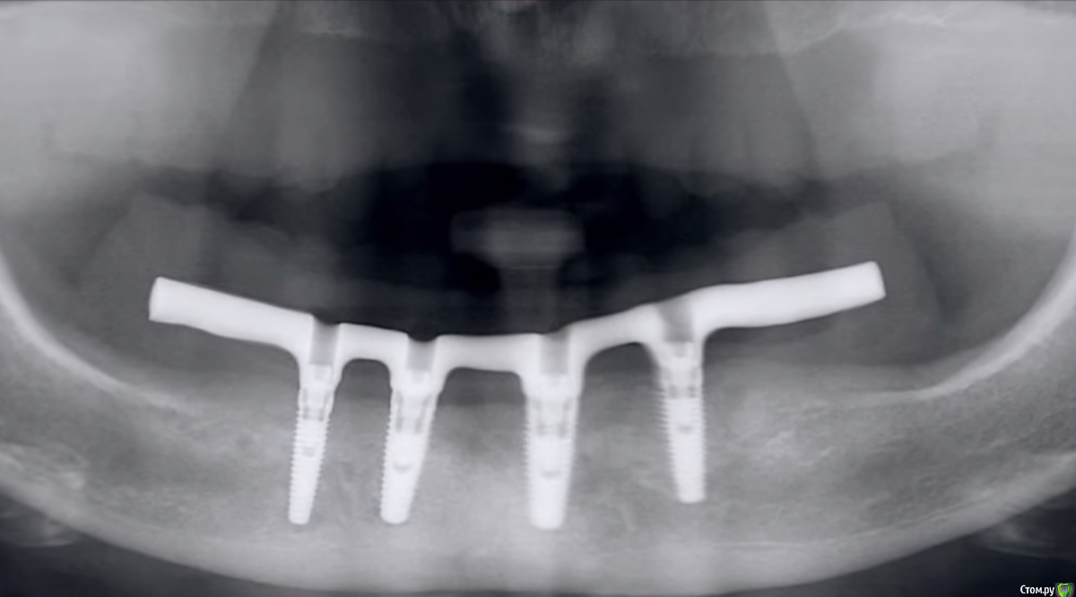
Doc Опубликовано 12 апреля, 2015 Поделиться Опубликовано 12 апреля, 2015 Выше приведена времянка (надеюсь), так что есть шанс, что мы не так поняли.А вот тут готовая работа. Тоже есть вопросы. Называют это "все на четырех". Ссылка на комментарий
Фарид Расулыч Опубликовано 13 апреля, 2015 Поделиться Опубликовано 13 апреля, 2015 Ну чисто логически тут все на четырех))))) Просто не соответствует концепции) Ссылка на комментарий
Doc Опубликовано 13 апреля, 2015 Поделиться Опубликовано 13 апреля, 2015 Ну чисто логически тут все на четырех)))))Просто не соответствует концепции)Логически мужчина имеет две руки и две ноги, но почему-то он не женщина! Не надо называть тогда это "все на четырех", если это нечто совсем другое. 2 Ссылка на комментарий
Evikrol Опубликовано 13 апреля, 2015 Поделиться Опубликовано 13 апреля, 2015 Выше приведена времянка (надеюсь), так что есть шанс, что мы не так поняли.А вот тут готовая работа. Тоже есть вопросы. Называют это "все на четырех". Снимок экрана 2015-04-12 в 22.03.47А вообще что это на последней фото? Несъемный-съемный протез, это постоянная работа не временная? А гигиена как? Ссылка на комментарий
Doc Опубликовано 13 апреля, 2015 Поделиться Опубликовано 13 апреля, 2015 А вообще что это на последней фото? Несъемный-съемный протез, это постоянная работа не временная? А гигиена как?написали, что это условно-несъемный протез по системе "все на четырех". Подробностей не знаю, не видел. Мне просто прислали это с вопросом что общего это имеет с концепцией? На мой взгляд ничего. Ссылка на комментарий
doctore Опубликовано 13 апреля, 2015 Поделиться Опубликовано 13 апреля, 2015 Я помогу с ответами пожалуй )) Первое оптг -работа Макса Копылова - наверху будет доставлено еще 2 винта в дистальных отделах. Сейчас стоит временная конструкция.Вторая оптг- моя работы. Условно сьемный протез.Какие вопросы к гигиене? 1 Ссылка на комментарий
Doc Опубликовано 13 апреля, 2015 Поделиться Опубликовано 13 апреля, 2015 Я помогу с ответами пожалуй )) Первое оптг -работа Макса Копылова - наверху будет доставлено еще 2 винта в дистальных отделах. Сейчас стоит временная конструкция. Вот как полезна осторожность! Не зря я написал, что возможно мы не все знаем! В таком случае Вы меня успокоили. А то мне это показали как все на четырех. Вторая оптг- моя работы. Условно сьемный протез.Какие вопросы к гигиене?К гигиене не мой вопрос был, у меня вопросов нет, не видел протеза. А вот почему Вы это назвали "все на четырех"? Ведь это близко не лежало к нашему товарищу Мало и его концепции. Я как-то в приличном обществе сказал фразу "сделал все на шести", так меня заклевали за использование неправильных определений, а то была просто аналогия-калька. Ссылка на комментарий
Evikrol Опубликовано 13 апреля, 2015 Поделиться Опубликовано 13 апреля, 2015 Можно я задам ещё пару вопросов, если вы не против, по поводу данной работы. Значит пациент не может снять сам нижний протез? Как правильно выполнять промывное пространство, нужно ли оно там, как правильно должен выглядеть такого рода протез? Ссылка на комментарий
Romanson Опубликовано 14 апреля, 2015 Поделиться Опубликовано 14 апреля, 2015 Вообще некоторых я бы послал к Мало поучиться.А то вот такое называют "все на четырех". А это, как бы помягче выразиться, не совсем то... IMG_2052.PNGDoc, расскажите пожалуйста, почему эта работа или та что ниже не соответствует концепции "все на 4х?" И, если есть такая возможность, объясните пожалуйста, чем ещё концепция "all in 4" отличается от просто четырех имплантов на одной беззубой челюсти? Ссылка на комментарий
Doc Опубликовано 14 апреля, 2015 Поделиться Опубликовано 14 апреля, 2015 Doc, расскажите пожалуйста, почему эта работа или та что ниже не соответствует концепции "все на 4х?" И, если есть такая возможность, объясните пожалуйста, чем ещё концепция "all in 4" отличается от просто четырех имплантов на одной беззубой челюсти?Потому что концепция совсем другая и подразумевает установку двух дистальных имплантатов под углом с использованием специальных угловых абатментов. Я где-то на форуме выкладывал уже подобные работы, поищите, там все ясно и понятно. Что касается верхней работы, то как благополучно выяснилось, там планируется добавить еще два имплантата и тот факт, что это работа Максима Копылова уже гарантирует, что она будет сделана по всем правилам. Максим не тот человек, чтобы делать всякую ерунду. Я не зря предположил, что мы чего-то про эту работу не знаем. Ну а нижняя работа, как я понял, уже окончательная и там доктор рассчитывает на верхний съемный протез и что нагрузка будет минимальная, потому хватит и четырех имплантатов. Скорее всего так и есть, и при адекватном осторожном использовании эта работа простоит дольше, чем пациент проживет, но это совсем не "все на четырех", т.к. это уже торговая марка и она подразумевает определенный протокол. Ссылка на комментарий
doctore Опубликовано 14 апреля, 2015 Поделиться Опубликовано 14 апреля, 2015 А вот почему Вы это назвали "все на четырех"? Ведь это близко не лежало к нашему товарищу Мало и его концепции. Я как-то в приличном обществе сказал фразу "сделал все на шести", так меня заклевали за использование неправильных определений, а то была просто аналогия-калька. ну,Мало концептуально говорит о соответствующем расположении винтов, как вы правильно заметили и о протоколе. Что не исключает возможности иного подхода в расположении имплантатов , как и в названии . На четырех ? На четырех ))На верхней челюсти действительно полный сьемный протез . И возраст пациента подразумевает достаточный для него срок службы конструкции Ссылка на комментарий
doctore Опубликовано 14 апреля, 2015 Поделиться Опубликовано 14 апреля, 2015 Можно я задам ещё пару вопросов, если вы не против, по поводу данной работы. Значит пациент не может снять сам нижний протез? Как правильно выполнять промывное пространство, нужно ли оно там, как правильно должен выглядеть такого рода протез? Вы правы- сам пациент снять данной работы не может.Отсюда и название - условно сьемный. В клинике мы снимаем его каждый год для гигиены с заменой винтов.Я предпочитаю моделировку промежуточной придесневой части выполнять с формированием овоидов если позволяет форма гребня и обьем мягких тканей. Ссылка на комментарий
Evikrol Опубликовано 15 апреля, 2015 Поделиться Опубликовано 15 апреля, 2015 Спасибо Ссылка на комментарий
chernov Опубликовано 24 апреля, 2015 Поделиться Опубликовано 24 апреля, 2015 Вы правы- сам пациент снять данной работы не может.Отсюда и название - условно сьемный. В клинике мы снимаем его каждый год для гигиены с заменой винтов.Я предпочитаю моделировку промежуточной придесневой части выполнять с формированием овоидов если позволяет форма гребня и обьем мягких тканей.А нет фото именно этой работы в полости рта? Ссылка на комментарий
an_ver Опубликовано 17 июня, 2015 Автор Поделиться Опубликовано 17 июня, 2015 Я так понял,что к Мало ни кто не ездил,раз отзывов нет(((. Ссылка на комментарий
Рекомендуемые сообщения
Для публикации сообщений создайте учётную запись или авторизуйтесь
Вы должны быть пользователем, чтобы оставить комментарий
Создать аккаунт
Зарегистрируйте новый аккаунт в нашем сообществе. Это очень просто!
Регистрация нового пользователяВойти
Уже есть аккаунт? Войти в систему.
Войти