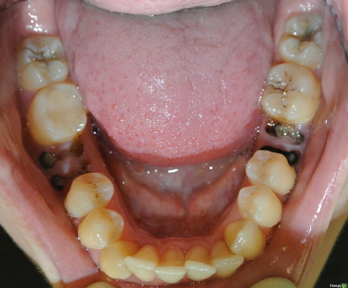
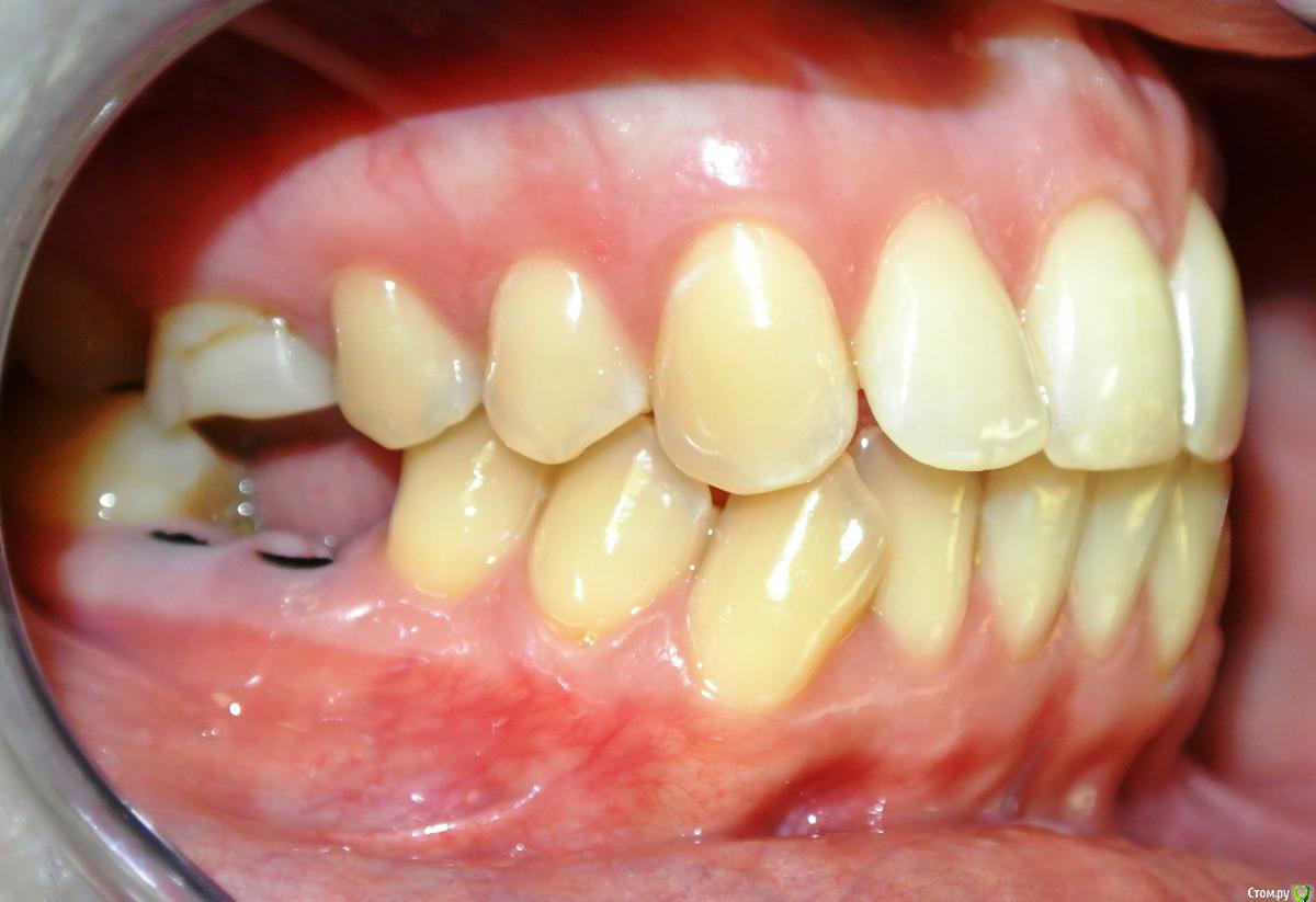
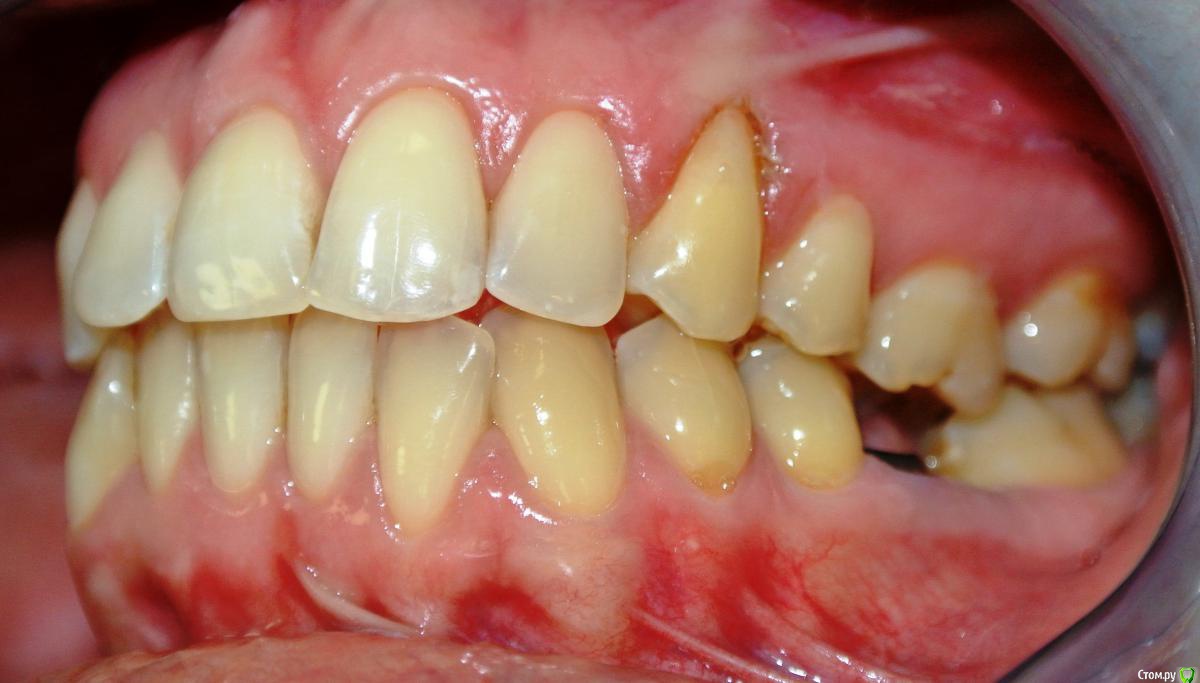
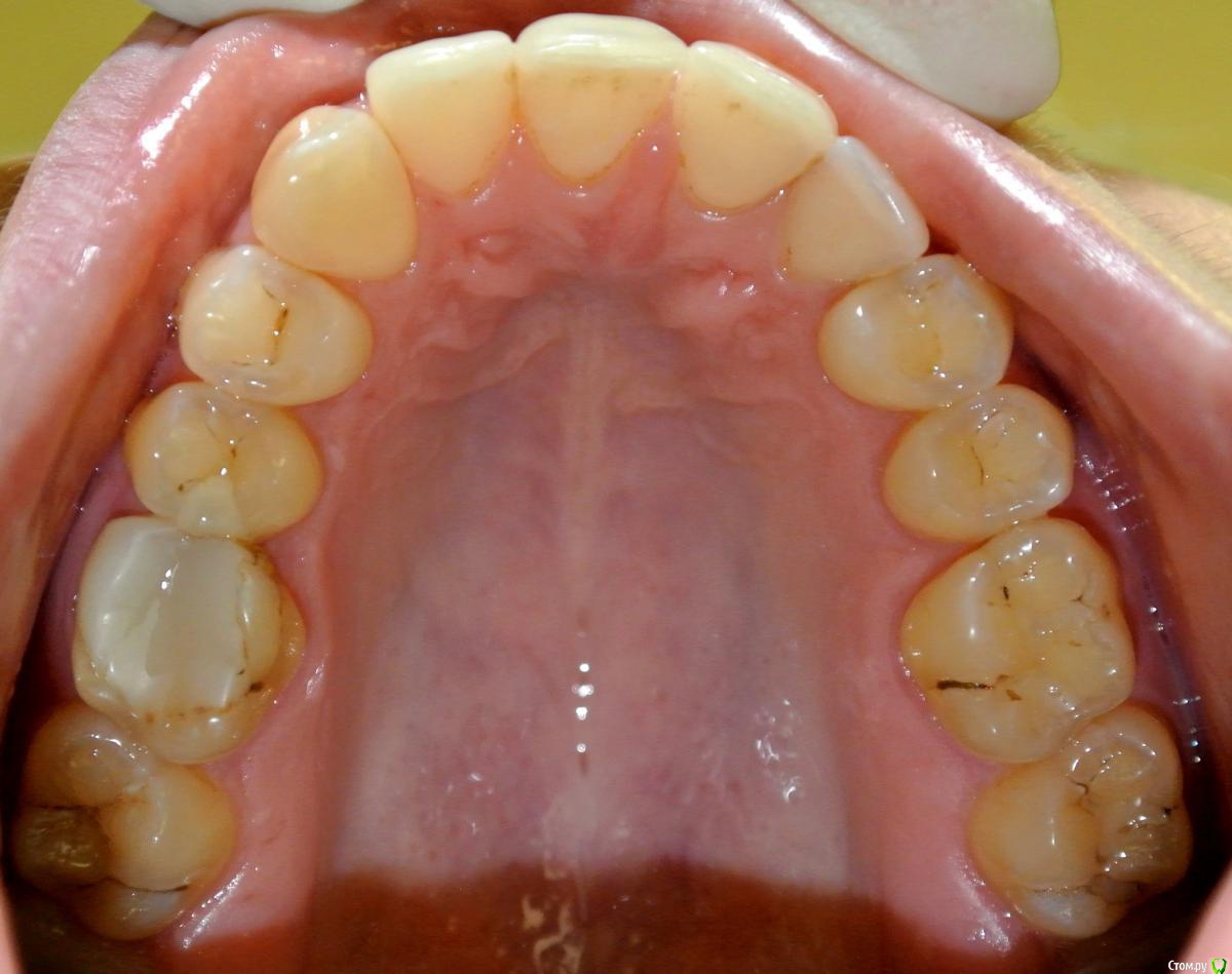
Dina_N Опубликовано 2 апреля, 2015 Поделиться Опубликовано 2 апреля, 2015 Пациентка Н., 30 лет. Жалоба на смещение средней линии верхнего зубного ряда. Из анамнеза: зуб 1.3. удален в возрасте 9 лет (ох уж эти удаляльщики). Как можно скорректировать положение средней линии? Ссылка на комментарий
Yana guapa Опубликовано 2 апреля, 2015 Поделиться Опубликовано 2 апреля, 2015 Хорошо бы фото с улыбкой в полный фас , т.к. средние линии лица, носа, губ, ВЧ и НЧ все между собой могут не совпадать. Судя по данным фото, смещение средней линии ВЧ присутствует, но в большей степени здесь играет роль уплощение ВЧ справа. Поэтому и расширять в данном месте нужно, устранять асимметрию ВЧ, с восстановлением дефекта з/р (имплантацией клыка) . Вся ВЧ сужена. Раскрывать под клык надо. Ссылка на комментарий
Monkey Опубликовано 3 апреля, 2015 Поделиться Опубликовано 3 апреля, 2015 Скорее всего придется по одному перетягивать и возвращать клык Ссылка на комментарий
an_ver Опубликовано 4 апреля, 2015 Поделиться Опубликовано 4 апреля, 2015 Пипец! С таким гнильем на н\ч девочка думает о средней линии.. 3 Ссылка на комментарий
Dina_N Опубликовано 4 апреля, 2015 Автор Поделиться Опубликовано 4 апреля, 2015 дополнительные фотографии Ссылка на комментарий
Skip Опубликовано 4 апреля, 2015 Поделиться Опубликовано 4 апреля, 2015 А я бы не стал здесь раскрывать пространство для клыка, а раскрыл бы место между премолярами для имплантата, а из 4-ки сделал бы клык. Догадайтесь, почему..?И ещё один маленький нюанс. Без кортикотомии (а возможно и остеотомии) там трудно будет осуществить всю эту механику, это ведь не подросток с заблокированным в кости клыком. 1 Ссылка на комментарий
Yana guapa Опубликовано 4 апреля, 2015 Поделиться Опубликовано 4 апреля, 2015 А я бы не стал здесь раскрывать пространство для клыка, а раскрыл бы место между премолярами для имплантата, а из 4-ки сделал бы клык. Догадайтесь, почему..? могу предположить, что если четверку оставить на месте, то дистализировать зубов меньше уже надо.(вперед толкать зубы итак уже некуда, не эстетично будет). и плюс четверка в кости сейчас хорошо находится. А если раскрывать в области клыка, то возможно будет провал в альвеолярной части . Ссылка на комментарий
Skip Опубликовано 4 апреля, 2015 Поделиться Опубликовано 4 апреля, 2015 и плюс четверка в кости сейчас хорошо находится. А если раскрывать в области клыка, то возможно будет провал в альвеолярной части . Всё верно, именно это я имел ввиду. Ссылка на комментарий
229KAMA Опубликовано 11 апреля, 2015 Поделиться Опубликовано 11 апреля, 2015 Пациентка Н., 30 лет. Жалоба на смещение средней линии верхнего зубного ряда. Из анамнеза: зуб 1.3. удален в возрасте 9 лет (ох уж эти удаляльщики). Как можно скорректировать положение средней линии?DSC_7521.JPGDSC_7522.JPGDSC_7524.JPGDSC_7525.JPGDSC_7526обр.jpgDSC_7527 обр.jpgСкажите пожалуста Я вот прочитал "1.3. удален в возрасте 9 лет" -это постоянный клык вроде так по номеру и квадранту (постоянный). А на фото Я вижу его на предоставленных фотографиях , что он стоит в челюсти. Или Я вижу , что то не так. Если ошибаюсь то возможно по не опытности ? приношу свои извинения. Ссылка на комментарий
Brigita Опубликовано 11 апреля, 2015 Поделиться Опубликовано 11 апреля, 2015 23 наверно имелось ввиду Ссылка на комментарий
229KAMA Опубликовано 11 апреля, 2015 Поделиться Опубликовано 11 апреля, 2015 Да возможно вы правы. Может топикстартер ошибся( с кем не бывает) в нумерации. Но тогда почему бывалые , не сказали об этом , ни слова. Хотя посоветовали работать в области четверок , что предпочтительней , чем работа в области клыка. Также с акцентировали внимание на сужение челюсти в правом сегменте в/ч. Это значит , что они видели это и ничего не сказали , так как это неимеет значения в выборе плана лечения ? или просто это настолько не сушественная описка 1.3. вместо 2.3 что можно просто необговаривать это в плане предложения лечения.Просто я вначале пути и интересует каждая мелочь. Возможно нестоит так заморачиваться? Если кого то обидел вопросами , прошу прошения. Ссылка на комментарий
Skip Опубликовано 11 апреля, 2015 Поделиться Опубликовано 11 апреля, 2015 Возможно нестоит так заморачиваться? Если кого то обидел вопросами , прошу прошения. А каким образом, именно в данном случае, сторона дефекта может повлиять на тактику лечения? Просто задумайтесь)) Ссылка на комментарий
229KAMA Опубликовано 11 апреля, 2015 Поделиться Опубликовано 11 апреля, 2015 А каким образом, именно в данном случае, сторона дефекта может повлиять на тактику лечения? Просто задумайтесь)) Да , понял , спасибо. На тактику лечения никак не повлияет. Ссылка на комментарий
левин виктор Опубликовано 11 июня, 2015 Поделиться Опубликовано 11 июня, 2015 А каким образом, именно в данном случае, сторона дефекта может повлиять на тактику лечения? Просто задумайтесь))А почему тут нету снимка хотя бы ОПТГ, ведь лечение любое ортодонтическое начинают планировать при наличии ОПТГ и ТРГ и тогда можно будет оценить есть ли наличие зуба 2.3, и как следствие выработать тактику лечения Ссылка на комментарий
x4ex Опубликовано 14 июня, 2015 Поделиться Опубликовано 14 июня, 2015 (изменено) похожая ситуация. Изменено 14 июня, 2015 пользователем x4ex 1 Ссылка на комментарий
Alex52 Опубликовано 15 июня, 2015 Поделиться Опубликовано 15 июня, 2015 А вообще реально сделать среднюю линию посередине (каламбур) без ортохирургии, если есть скелетная аномалия (yaw-наклон)?И с хирургией? Ссылка на комментарий
Рекомендуемые сообщения
Для публикации сообщений создайте учётную запись или авторизуйтесь
Вы должны быть пользователем, чтобы оставить комментарий
Создать аккаунт
Зарегистрируйте новый аккаунт в нашем сообществе. Это очень просто!
Регистрация нового пользователяВойти
Уже есть аккаунт? Войти в систему.
Войти