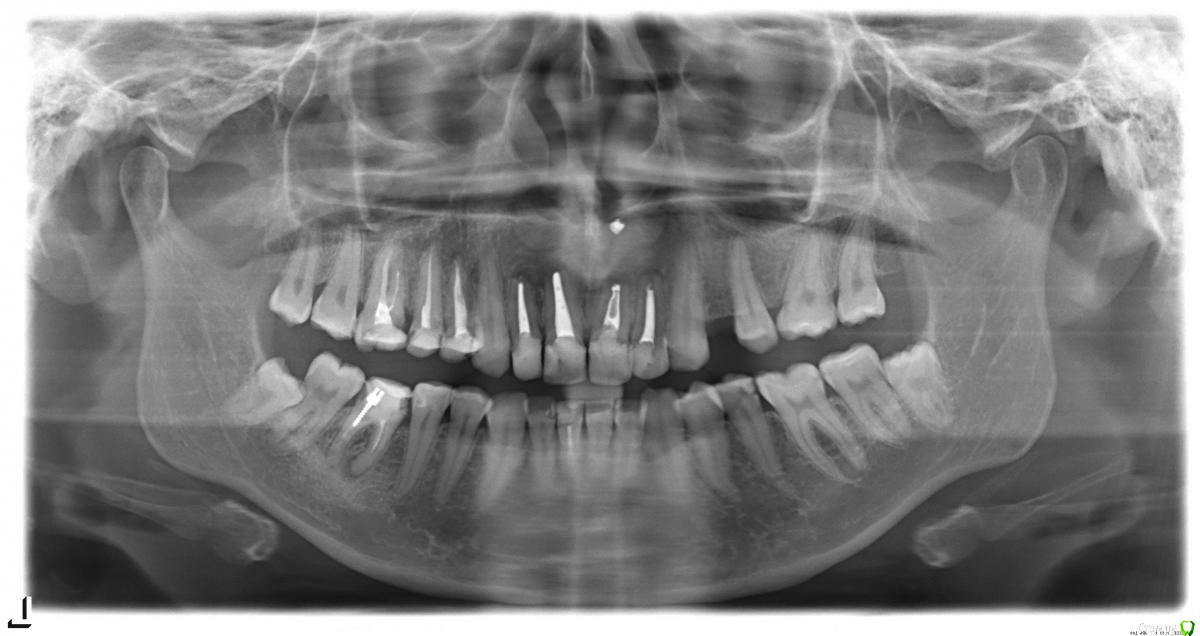
Анна 1986 Опубликовано 2 апреля, 2015 Поделиться Опубликовано 2 апреля, 2015 Добрый день! Прошу Ваших советов...У меня с детства, начиная лет с 10 образовывались кисты над передними верхними зубами.Каждый раз делали резекции, но с интервалом в 2-3 года все повторялось вновь. Последний раз рецидив был в 2012г., кисту удалили, на ее место поместили спец. материал (не знаю какой).Сейчас снова рецидив (узнала по образующимся свищам)Сходила на консультации к нескольким хирургам, и все сходятся во мнении, что делать резекции нет смысла, надо удалять 4 передних зуба.Хочу попросить оценить план лечения:1. Удаление передних 4 зубов, и через несколько дней поставить съемный протез (косметическая пластинка)2. Через 2-3 месяца - костная пластика3. Через 4-6 месяцев - если костная пластика прошлась успешно - имплантация либо мост на 11 верхних зубов. Очень страшно делать все процедуры, особенно из-за частых кист (скорее всего они образовывались из-за не верно вылеченных в свое время каналов), и страх, что не приживется костная ткань и импланты. Ссылка на комментарий
red_butler Опубликовано 2 апреля, 2015 Поделиться Опубликовано 2 апреля, 2015 хорошо бы сделать Кт, если судить только по ОПГ - вижу проблему только с одним резцом Ссылка на комментарий
Анна 1986 Опубликовано 2 апреля, 2015 Автор Поделиться Опубликовано 2 апреля, 2015 КТ есть, но я не знаю как его сюда прикрепить Ссылка на комментарий
red_butler Опубликовано 2 апреля, 2015 Поделиться Опубликовано 2 апреля, 2015 КТ есть, но я не знаю как его сюда прикрепитьhttp://forum.stom.ru/topic/10677-kak-vylozhit-kt-na-saite/ Ссылка на комментарий
Анна 1986 Опубликовано 2 апреля, 2015 Автор Поделиться Опубликовано 2 апреля, 2015 спасибо, я вечером попробую выложить! Ссылка на комментарий
red_butler Опубликовано 2 апреля, 2015 Поделиться Опубликовано 2 апреля, 2015 спасибо, я вечером попробую выложить!выкладывайте срезы интересующей области, полностью Кт доктора качают неохотно Ссылка на комментарий
Bier Опубликовано 2 апреля, 2015 Поделиться Опубликовано 2 апреля, 2015 Скорее всего резекции были сделаны неправильно, на первый взгляд все зубы можно спасти 1 Ссылка на комментарий
johniola Опубликовано 2 апреля, 2015 Поделиться Опубликовано 2 апреля, 2015 Я бы не торопился удалять эти зубы.Если зубы не подвижны,найдити грамотного хирурга,и повторите резекции с ретроградной пломбировкой мта,а потом поставьте хорошие коронки.Ничего Вам не заменит свои передние зубы,не делайте ошибку. 2 Ссылка на комментарий
Анна 1986 Опубликовано 2 апреля, 2015 Автор Поделиться Опубликовано 2 апреля, 2015 Я забыла уточнить важный момент - передние зубы у меня не свои, там штифты, и сами зубы - пломбы Ссылка на комментарий
red_butler Опубликовано 2 апреля, 2015 Поделиться Опубликовано 2 апреля, 2015 Я забыла уточнить важный момент - передние зубы у меня не свои, там штифты, и сами зубы - пломбызубы у вас свои, просто восстановлены пломбами 2 Ссылка на комментарий
Bier Опубликовано 2 апреля, 2015 Поделиться Опубликовано 2 апреля, 2015 Я бы не торопился удалять эти зубы.Если зубы не подвижны,найдити грамотного хирурга,и повторите резекции с ретроградной пломбировкой мта,а потом поставьте хорошие коронки.Ничего Вам не заменит свои передние зубы,не делайте ошибку.Я бы даже советовал эндодонтиста, занимающегося апикальной хирургией. 1 Ссылка на комментарий
Анна 1986 Опубликовано 18 мая, 2015 Автор Поделиться Опубликовано 18 мая, 2015 Только сейчас удалось забрать диск с КТ, посмотрите пожалуйста, и оставьте Ваше мнение, если не затруднит https://yadi.sk/d/cH63onEggiLwU Ссылка на комментарий
Alejandro Опубликовано 20 мая, 2015 Поделиться Опубликовано 20 мая, 2015 Я бы не торопился удалять эти зубы.Если зубы не подвижны,найдити грамотного хирурга,и повторите резекции с ретроградной пломбировкой мта,а потом поставьте хорошие коронки.Ничего Вам не заменит свои передние зубы,не делайте ошибку. +1 Ссылка на комментарий
Рекомендуемые сообщения
Для публикации сообщений создайте учётную запись или авторизуйтесь
Вы должны быть пользователем, чтобы оставить комментарий
Создать аккаунт
Зарегистрируйте новый аккаунт в нашем сообществе. Это очень просто!
Регистрация нового пользователяВойти
Уже есть аккаунт? Войти в систему.
Войти