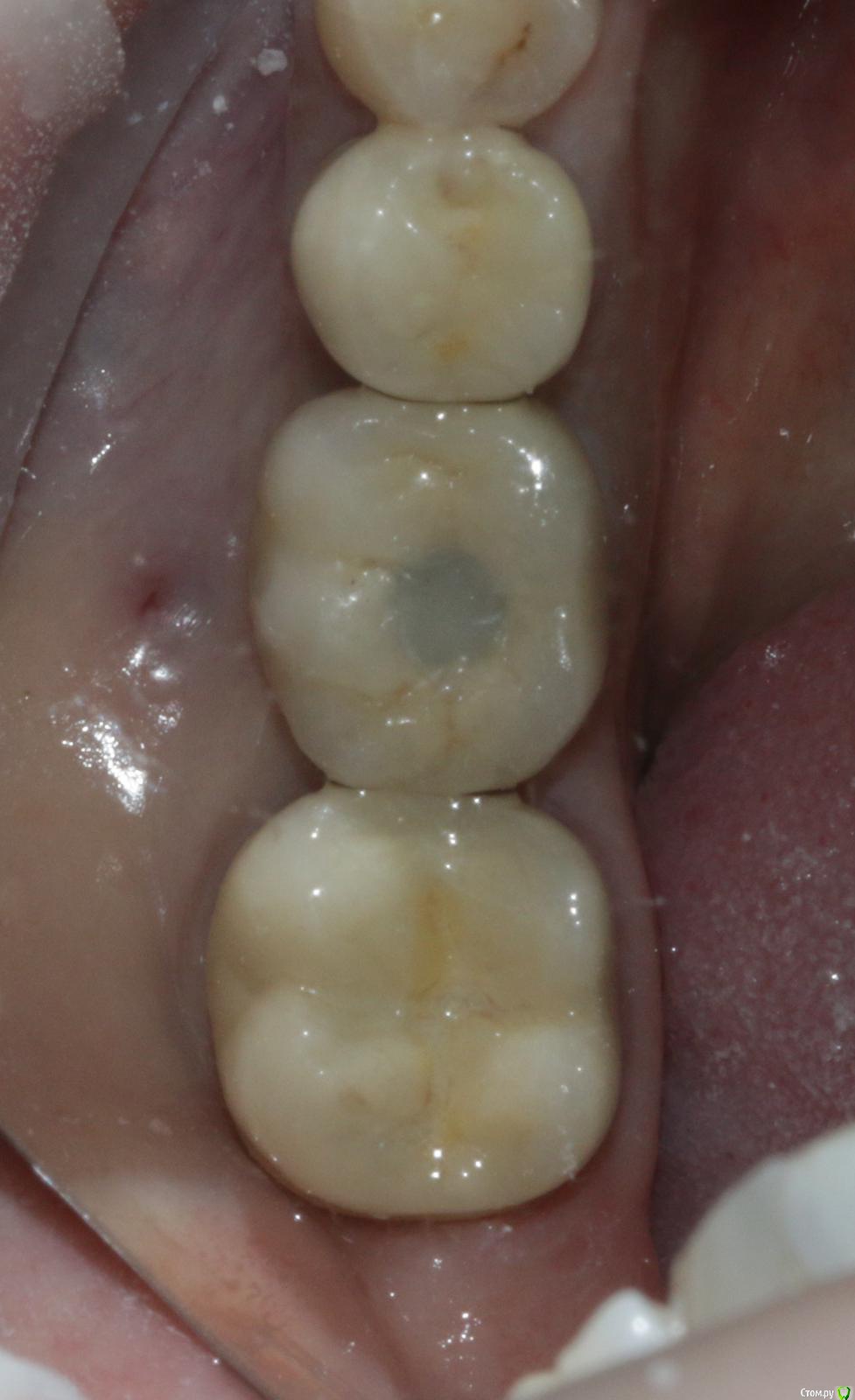
Ильдар Опубликовано 29 марта, 2015 Поделиться Опубликовано 29 марта, 2015 Коллеги, здравствуйте!Вот демонтировал старье. мк на зубы.имплант 4310, поставил поглубже.мк на имплант - техник прислал коронку с шахтой и абатмент,я склеил на fuji1. закрутил на 35 н.залепил не очень красиво , но с плавиковой, силаном и олбонд 3. думаю надежно.контрольный прицельный есть, видимо забыл его. извиняюсь за нечеткие fото. буду рад отзывам 3 Ссылка на комментарий
molchanoff Опубликовано 29 марта, 2015 Поделиться Опубликовано 29 марта, 2015 техник прислал коронку с шахтой и абатмент,я склеил на fuji1. закрутил на 35 н. чет не понятно у вас винтовая или цементная фиксация? Ссылка на комментарий
Фарид Расулыч Опубликовано 29 марта, 2015 Поделиться Опубликовано 29 марта, 2015 Ух как Имплант мощно заглубили) дентиум? Ссылка на комментарий
Ильдар Опубликовано 29 марта, 2015 Автор Поделиться Опубликовано 29 марта, 2015 чет не понятно у вас винтовая или цементная фиксация? техник начинал делать цементную. после литья каркаса я его попросил модиицировать под винтовую. он сделал отверстие в коронке, облицевал, заполировал. я склеил абатмент и коронку в руках, закрутил в рот. Ссылка на комментарий
Ильдар Опубликовано 29 марта, 2015 Автор Поделиться Опубликовано 29 марта, 2015 Ух как Имплант мощно заглубили) дентиум?да, дентиум. Ссылка на комментарий
molchanoff Опубликовано 29 марта, 2015 Поделиться Опубликовано 29 марта, 2015 техник начинал делать цементную. после литья каркаса я его попросил модиицировать под винтовую. он сделал отверстие в коронке, облицевал, заполировал. я склеил абатмент и коронку в руках, закрутил в рот.а зачем? 1 Ссылка на комментарий
-SAE-Dantist_32 Опубликовано 29 марта, 2015 Поделиться Опубликовано 29 марта, 2015 не нравятся мне ети винтовые фиксации. Ссылка на комментарий
-SAE-Dantist_32 Опубликовано 29 марта, 2015 Поделиться Опубликовано 29 марта, 2015 не не ваши,я вообще имел ввиду Ссылка на комментарий
k.t.m. Опубликовано 29 марта, 2015 Поделиться Опубликовано 29 марта, 2015 все нра и прилегание коронок на зубах и витальность, но вот дентиум больше 1мм не стал бы заглублять,при отсроченном протоколе.и для одиночек снимаю закрытым методом-меньше возни 1 Ссылка на комментарий
Ильдар Опубликовано 29 марта, 2015 Автор Поделиться Опубликовано 29 марта, 2015 все нра и прилегание коронок на зубах и витальность, но вот дентиум больше 1мм не стал бы заглублять,при отсроченном протоколе.и для одиночек снимаю закрытым методом-меньше возниЗаглублен только относительно язычной кортикалки. Я не покупал трансферы для закрытой, а надо ) Ссылка на комментарий
Ibulat_1986 Опубликовано 30 марта, 2015 Поделиться Опубликовано 30 марта, 2015 а зачем?аналогичный вопрос, не понял фишки. Ссылка на комментарий
bugel Опубликовано 30 марта, 2015 Поделиться Опубликовано 30 марта, 2015 Наверно основание абатмента глубоко под десневой части, чтобы цемента не было после фиксации- периимплантита в будущем, поэтому перевёл в винтовую. Ссылка на комментарий
Ильдар Опубликовано 30 марта, 2015 Автор Поделиться Опубликовано 30 марта, 2015 Наверно основание абатмента глубоко под десневой части, чтобы цемента не было после фиксации- периимплантита в будущем, поэтому перевёл в винтовую.Да Ссылка на комментарий
Ильдар Опубликовано 30 марта, 2015 Автор Поделиться Опубликовано 30 марта, 2015 а зачем?Видимый металл на 6-м это не абатмент, это гирлянда. Граница коронка /абатмент глубже. Поэтому винтовая. Ссылка на комментарий
АнтонТЛТ Опубликовано 30 марта, 2015 Поделиться Опубликовано 30 марта, 2015 чет не понятно у вас винтовая или цементная фиксация? SCRP screw-cement retained prosthesis (цементно-винтовая фиксация) Ссылка на комментарий
Evgeny_K Опубликовано 5 апреля, 2015 Поделиться Опубликовано 5 апреля, 2015 Ильдар, чем пломбировали шахту? Ссылка на комментарий
Ильдар Опубликовано 6 апреля, 2015 Автор Поделиться Опубликовано 6 апреля, 2015 Ильдар, чем пломбировали шахту?Эстелайт оа2 вроде был Ссылка на комментарий
Nemiroff Опубликовано 12 апреля, 2015 Поделиться Опубликовано 12 апреля, 2015 (изменено) в каталоге дентиум написано, что абатменты фиксируются усилием 25-30 ньютон. при большем усилии, если вы будете пытаться открутиться с конусной системы, то имеете высокий риск сломать винт, сорвать шахту винта или просто не открутить ничего. показаний к заглублению в данном клиническом случае нет на мой взгляд.а показания к круговой гирлянде не соседних зубах заключались в их витальности и необходимости сделать тонкий переход края коронки в тонкий уступ? Изменено 12 апреля, 2015 пользователем Nemiroff Ссылка на комментарий
Dr.Sham Опубликовано 15 апреля, 2015 Поделиться Опубликовано 15 апреля, 2015 МК вообще должна быть либо по кругу с гирляндой, либо с плечом. Ссылка на комментарий
annda Опубликовано 16 апреля, 2015 Поделиться Опубликовано 16 апреля, 2015 Очень люблю такую фиксацию.В вашем случае-не стала бы так заглублять,выровняла бы окклюзионный ряд,подшлифовав выдвинувшийся антагонист(с заменой пломбы на нём).Обычно заранее предупреждаю об этом пациентов.Пилю столько,сколько надо,но волны не стараюсь не делать. Ссылка на комментарий
RuStom Опубликовано 16 апреля, 2015 Поделиться Опубликовано 16 апреля, 2015 (изменено) Подскажите, стоит ли пользоваться такой "системой фиксации"Как раз несколько дней назад у меня возник такой же вопрос.Я хотел сделать на Астре коронку 46 с винтовой фиксацией. Но в одной из известных лаб Москвы были какие-то проблемы то ли с комплектующими для винтовой то ли еще с чем-то. Перезвонили, уговорили на цементную.Хорошо, я согласился, но попросил вывести край абатмента выше уровня десны, оставив металлический кантик, чтобы мне не выковыривать цемент из-под десны.Потом лаба зачем-то прислала абатмент на примерку. Хотя раньше не мерили никогда.И на примерке пациент просит, чтобы никакого кантика не было, чтоб вся коронка до десны была белой....Вот может мне сделать дырку в коронке, зацементировать ее, потом привинтить?Просто я боюсь, что даже с кантиком над десной есть большой риск того, что я не дочищу где-нибудь цемент...Хотя, с другой стороны шахта выходит на язычный бугор... Как будет смотреться такая коронка...?В общем, как лучше сделать?http://s3.postimg.org/92mzbethv/DSC_6477.jpghttp://s22.postimg.org/41mmg596p/DSC_6479.jpghttp://s3.postimg.org/y2jvq0hcj/DSC_6493.jpghttp://s10.postimg.org/cbddoh0rd/DSC_6494.jpg Изменено 16 апреля, 2015 пользователем RuStom Ссылка на комментарий
Чертков Александр Опубликовано 16 апреля, 2015 Поделиться Опубликовано 16 апреля, 2015 В общем, как лучше сделать? Дофрезеровать абатмент (опустить уступ), цементировать с ретрацией, коффердамом. 4 Ссылка на комментарий
RuStom Опубликовано 16 апреля, 2015 Поделиться Опубликовано 16 апреля, 2015 Дофрезеровать абатмент (опустить уступ), цементировать с ретрацией, коффердамом. спасибо!А нет риска, что цемент попадет между коффером и абатментом?нужно ли накладывать кламп или просто голую резину натянуть на абатмент? Ссылка на комментарий
RuStom Опубликовано 16 апреля, 2015 Поделиться Опубликовано 16 апреля, 2015 Техник отзвонился. Уже уступ довел до десны. Останется зафиксировать как-то, чтоб цемент не залез под абатмент. Надеюсь, что коффердам спасет. Ссылка на комментарий
Nemiroff Опубликовано 17 апреля, 2015 Поделиться Опубликовано 17 апреля, 2015 на этот инд. абатмент нужно фиксировать м.к. на темпбонд и никогда расцементировки не будет. только абатмент в ретенционной зоне не забудьте отпесочить =) Ссылка на комментарий
Рекомендуемые сообщения
Для публикации сообщений создайте учётную запись или авторизуйтесь
Вы должны быть пользователем, чтобы оставить комментарий
Создать аккаунт
Зарегистрируйте новый аккаунт в нашем сообществе. Это очень просто!
Регистрация нового пользователяВойти
Уже есть аккаунт? Войти в систему.
Войти