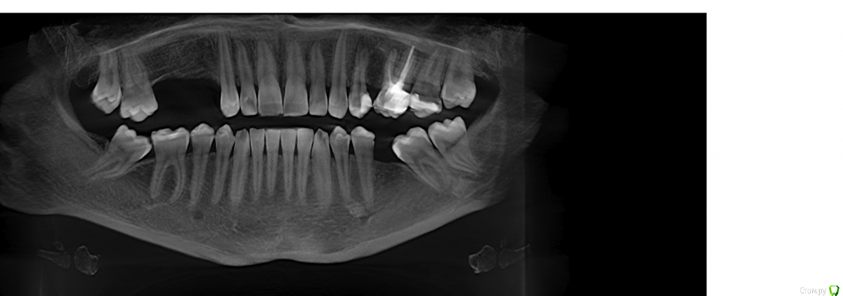
Robinbobin Опубликовано 25 марта, 2015 Поделиться Опубликовано 25 марта, 2015 Имплантаты Dio UF ll,костный материал ауто+остеоматрикс.Хотелось бы услышать мои ошибки 6 Ссылка на комментарий
red_butler Опубликовано 25 марта, 2015 Поделиться Опубликовано 25 марта, 2015 я бы обошелся без вертикального разреза, и делал бы разрез по гребню. Почему делали открытый синус? Ссылка на комментарий
Большой Зеленый Опубликовано 25 марта, 2015 Поделиться Опубликовано 25 марта, 2015 Да все отлично только овертритмент ИМХОhttp://s018.radikal.ru/i510/1503/69/a152c76082f0.png то же самое только без синуса Ссылка на комментарий
Robinbobin Опубликовано 25 марта, 2015 Автор Поделиться Опубликовано 25 марта, 2015 я бы обошелся без вертикального разреза, и делал бы разрез по гребню. Почему делали открытый синус? Я делал разрез по гребню но из-за маленького опыта порвал((((Делал открытый потому что объем кости был 2-2.5 мм а боком поставить побоялся) Ссылка на комментарий
red_butler Опубликовано 25 марта, 2015 Поделиться Опубликовано 25 марта, 2015 Делал открытый потому что объем кости был 2-2.5 мм а боком поставить побоялся) все, увидел, конечно открытый Ссылка на комментарий
Robinbobin Опубликовано 25 марта, 2015 Автор Поделиться Опубликовано 25 марта, 2015 (изменено) Да все отлично только овертритмент ИМХОhttp://s018.radikal.ru/i510/1503/69/a152c76082f0.png то же самое только без синусаОчень сложно так поставить в такой ситуации по крайней мере для меня Изменено 25 марта, 2015 пользователем Robinbobin Ссылка на комментарий
red_butler Опубликовано 25 марта, 2015 Поделиться Опубликовано 25 марта, 2015 Robinbobin а зачем 1.4 так заглубили? Я бы плюсом сделал НКР на оба винта Ссылка на комментарий
Robinbobin Опубликовано 25 марта, 2015 Автор Поделиться Опубликовано 25 марта, 2015 Robinbobin а зачем 1.4 так заглубили? Я бы плюсом сделал НКР на оба винта Читал что шурупы конусные нужно заглублять,а нкр зачем?дефицита кости с вестибулярной стороны нету же вроде 1 Ссылка на комментарий
колесников Опубликовано 25 марта, 2015 Поделиться Опубликовано 25 марта, 2015 Вестибулярная компактная пластинка резорбируется на 3 мм у шеек имплантов. Вы конечно оставили дополнительно остеоматрикс вестибулярно ? В области 14 обязательно подсадите стт, можно на этапе формирователя. 16 можно было и короче взять,тогда бы он целиком находился в материале. А в целом Всё достойно. Ссылка на комментарий
Robinbobin Опубликовано 25 марта, 2015 Автор Поделиться Опубликовано 25 марта, 2015 Вестибулярная компактная пластинка резорбируется на 3 мм у шеек имплантов. Вы конечно оставили дополнительно остеоматрикс вестибулярно ? В области 14 обязательно подсадите стт, можно на этапе формирователя. 16 можно было и короче взять,тогда бы он целиком находился в материале. А в целом Всё достойно. Ассистент не сфографировал момент подсадки сст в область имплантата 1.4 поэтому наверно и забыл написать))) но на этапе формирователя думаю еще подсадить Спасибо! Ссылка на комментарий
Тимур86 Опубликовано 25 марта, 2015 Поделиться Опубликовано 25 марта, 2015 У пациента часом гайморита нету? Ссылка на комментарий
Евгений Ходыкин Опубликовано 26 марта, 2015 Поделиться Опубликовано 26 марта, 2015 Как Вам болты? Ссылка на комментарий
Robinbobin Опубликовано 26 марта, 2015 Автор Поделиться Опубликовано 26 марта, 2015 У пациента часом гайморита нету?До операции пазуха была забита и я отправил к лорикам они дали мне добро и выдали справку Ссылка на комментарий
Robinbobin Опубликовано 26 марта, 2015 Автор Поделиться Опубликовано 26 марта, 2015 Как Вам болты? Мне нравится очень и фрезы хорошие у них Ссылка на комментарий
Евгений Ходыкин Опубликовано 26 марта, 2015 Поделиться Опубликовано 26 марта, 2015 Мне нравится очень и фрезы хорошие у нихЗпротезированные реколлы есть глянуть? Интересует степень резорбции. Ссылка на комментарий
OMFS Опубликовано 28 марта, 2015 Поделиться Опубликовано 28 марта, 2015 Да все отлично только овертритмент ИМХОhttp://s018.radikal.ru/i510/1503/69/a152c76082f0.png то же самое только без синусаКиньте ссылку, пожалуйста, на подобные кейсы и результаты.Спасибо! 1 Ссылка на комментарий
Большой Зеленый Опубликовано 28 марта, 2015 Поделиться Опубликовано 28 марта, 2015 Ссылка на комментарий
Maxfac Опубликовано 28 марта, 2015 Поделиться Опубликовано 28 марта, 2015 Киньте ссылку, пожалуйста, на подобные кейсы и результаты.Спасибо!Как по мне, подобный угол при несъемных конструкциях - компромиссное, не самое лучшее решение. Особенно если речь идет об одиночных или сдвоенных коронках. Я за синус в данном клиническом примере. 4 Ссылка на комментарий
Большой Зеленый Опубликовано 28 марта, 2015 Поделиться Опубликовано 28 марта, 2015 У меня есть несколько работ с короткими имплантами и консолем дистальноhttp://s019.radikal.ru/i603/1503/80/00395f2559e5.jpg http://s015.radikal.ru/i330/1503/17/cb3db2db5ea1.png http://s017.radikal.ru/i407/1503/2a/5abb848b4ce5.jpg Ссылка на комментарий
OMFS Опубликовано 28 марта, 2015 Поделиться Опубликовано 28 марта, 2015 (изменено) У меня есть несколько работ с короткими имплантами и консолем дистально Удаляйте фото из цитатЭто немного другая история.Про все на 4 я слыхал, но это тоже не 2 импланта из которых 1 под наклоном.Сделал бы тоже синус.Спасибо за фотки! Изменено 22 апреля, 2015 пользователем IvanK 1 Ссылка на комментарий
rivezico Опубликовано 28 марта, 2015 Поделиться Опубликовано 28 марта, 2015 +1 Maxfac & OMFS. Хотя и Зеленый тему говорит видимо, но не встречал особо такие темы и мне кажется не так предсказуемо будет в плане ортопедии.... Ссылка на комментарий
Большой Зеленый Опубликовано 28 марта, 2015 Поделиться Опубликовано 28 марта, 2015 Лучшая операция это та что не состоялась. (не в ущерб общему лечению ,конечно) Ссылка на комментарий
DShu Опубликовано 28 марта, 2015 Поделиться Опубликовано 28 марта, 2015 Вертикальный разрез лучше один, по дистальной п-ти 17го. А так норм. Ссылка на комментарий
Рекомендуемые сообщения
Для публикации сообщений создайте учётную запись или авторизуйтесь
Вы должны быть пользователем, чтобы оставить комментарий
Создать аккаунт
Зарегистрируйте новый аккаунт в нашем сообществе. Это очень просто!
Регистрация нового пользователяВойти
Уже есть аккаунт? Войти в систему.
Войти