Tari Опубликовано 22 марта, 2016 Поделиться Опубликовано 22 марта, 2016 А как на рентгене можно определить ожег ли это? Как кость должна убывать? Если перегрев, то перегрев всей поверхности соприкасаемой со сверлом, либо только в области кортикальной кости? 2 Ссылка на комментарий
Nazim_NV86 Опубликовано 23 марта, 2016 Поделиться Опубликовано 23 марта, 2016 43 градуса вроде. Ссылок не припомню. Ссылка на комментарий
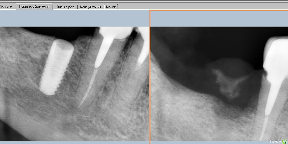
kriokov Опубликовано 23 марта, 2016 Поделиться Опубликовано 23 марта, 2016 А как на рентгене можно определить ожег ли это? Как кость должна убывать? через месяц так примерно, ожог кортикальной , секвестрация, болт удален через 7 суток после установки, секвестр через 1 месяц. В ранние сроки по снимку не определишься ожог это или еще что. 3 Ссылка на комментарий
Рекомендуемые сообщения
Для публикации сообщений создайте учётную запись или авторизуйтесь
Вы должны быть пользователем, чтобы оставить комментарий
Создать аккаунт
Зарегистрируйте новый аккаунт в нашем сообществе. Это очень просто!
Регистрация нового пользователяВойти
Уже есть аккаунт? Войти в систему.
Войти