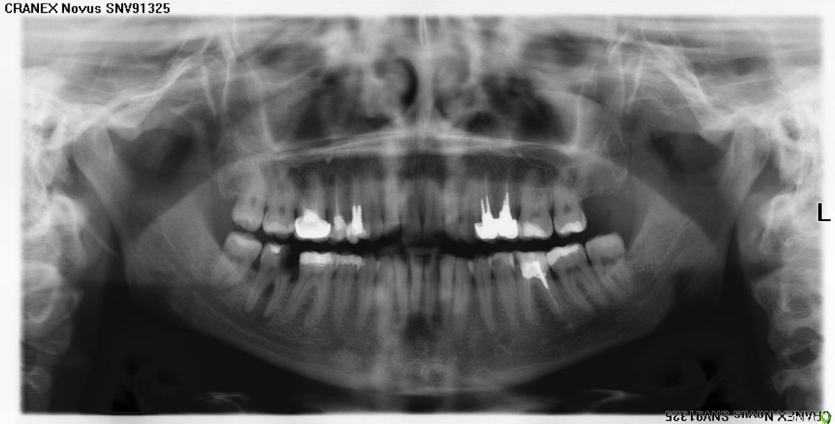
KCatherine Опубликовано 23 марта, 2015 Поделиться Опубликовано 23 марта, 2015 (изменено) Добрый день, два врача , приговорили зуб к удалению, но хотелось бы все таки убедиться, что это единственный выход. Нижняя семерка справа. И есть ли смысл вообще за него бороться , либо сразу настроиться на имплантацию ? Изменено 23 марта, 2015 пользователем KCatherine Ссылка на комментарий
sydnik Опубликовано 23 марта, 2015 Поделиться Опубликовано 23 марта, 2015 добрый , смысл есть и вероятность успеха в вашем случае очень высока .пс для полной картины сделайте еще прицельный снимок 1 Ссылка на комментарий
KCatherine Опубликовано 23 марта, 2015 Автор Поделиться Опубликовано 23 марта, 2015 добрый , смысл есть и вероятность успеха в вашем случае очень высока .пс для полной картины сделайте еще прицельный снимок Спасибо за ответ, очень бы хотелось попробовать обойтись без удаления. Проблема только найти врача, который возьмется за лечение, пока в двух клиниках сказали, что пытаться восстанавливать бессмысленно. Ссылка на комментарий
sydnik Опубликовано 23 марта, 2015 Поделиться Опубликовано 23 марта, 2015 (изменено) в Москве проблема? поищите здесь на форуме, может кто откликнется Изменено 23 марта, 2015 пользователем sydnik Ссылка на комментарий
KCatherine Опубликовано 23 марта, 2015 Автор Поделиться Опубликовано 23 марта, 2015 в Москве проблема? поищите здесь на форуме, может кто откликнется Буду искать, спасибо ) 1 Ссылка на комментарий
Гарриевич Опубликовано 23 марта, 2015 Поделиться Опубликовано 23 марта, 2015 Вам озвучили причину удаления? Ссылка на комментарий
KCatherine Опубликовано 23 марта, 2015 Автор Поделиться Опубликовано 23 марта, 2015 (изменено) Вам озвучили причину удаления?Гранулемы на корне зуба и из-за этого отмирание костной ткани. Сейчас десна возле зуба остается немного припухшая. Изменено 23 марта, 2015 пользователем KCatherine Ссылка на комментарий
KCatherine Опубликовано 23 марта, 2015 Автор Поделиться Опубликовано 23 марта, 2015 (изменено) Зуб был с нервом , но очень сильно нарощенный, какое-то время назад начал болеть при надавливании, но я почему-то списала на зуб мудрости, т.к. боль не была четко локализованна. Буквально неделю назад скололась часть и опухла десна, сейчас припухлость десны почти спала и сам зуб не болит, но по снимку врачи не обнадеживают. Изменено 23 марта, 2015 пользователем KCatherine Ссылка на комментарий
Гарриевич Опубликовано 23 марта, 2015 Поделиться Опубликовано 23 марта, 2015 если дело только в гранулеме, то лечится без проблемно сам зуб сильно разрушенпоэтому сначала нужно убрать весь кариес и разрушенные ткани и окончательно решать после этого 2 Ссылка на комментарий
KCatherine Опубликовано 23 марта, 2015 Автор Поделиться Опубликовано 23 марта, 2015 если дело только в гранулеме, то лечится без проблемно сам зуб сильно разрушенпоэтому сначала нужно убрать весь кариес и разрушенные ткани и окончательно решать после этого Спасибо большое за ответ. Попробую обратиться в другие клиники на предмет лечения. Причину необходимости удаления мне объясняли исключительно с точки зрения гранулем корня, что в случае затягивания с удалением произойдет дальнейший распад костной ткани и потом возникнут проблемы даже с имплантацией. Ссылка на комментарий
Гарриевич Опубликовано 23 марта, 2015 Поделиться Опубликовано 23 марта, 2015 в случае с затягиванием лечения так и будет 1 Ссылка на комментарий
KCatherine Опубликовано 23 марта, 2015 Автор Поделиться Опубликовано 23 марта, 2015 в случае с затягиванием лечения так и будетЛечения не предлагали, хотя я делала акцент именно на попытке сохранить зуб ) Спасибо, если вдруг кто-нибудь сможет порекомендовать клинику или специалиста, буду признательна ) Ссылка на комментарий
shishok Опубликовано 23 марта, 2015 Поделиться Опубликовано 23 марта, 2015 http://forum.stom.ru/topic/4752-posovetujte-terapevta-v-gorode-n/ Ссылка на комментарий
Рекомендуемые сообщения
Для публикации сообщений создайте учётную запись или авторизуйтесь
Вы должны быть пользователем, чтобы оставить комментарий
Создать аккаунт
Зарегистрируйте новый аккаунт в нашем сообществе. Это очень просто!
Регистрация нового пользователяВойти
Уже есть аккаунт? Войти в систему.
Войти