Andre_ Опубликовано 16 июня, 2015 Автор Поделиться Опубликовано 16 июня, 2015 Кхм, в тему "водить трамвай" или "как не надо". Шурупу около 5 мес, заживал как в книжке, чего там с ним - не пойму. Ссылка на комментарий
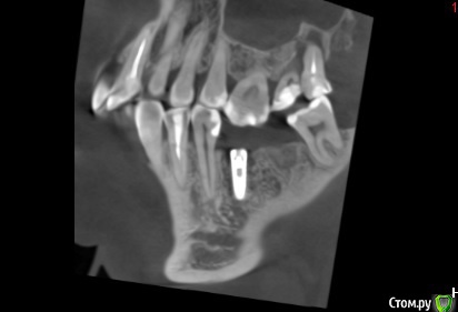
Andre_ Опубликовано 16 июня, 2015 Автор Поделиться Опубликовано 16 июня, 2015 Шурупить в синус, немного делая закрытый, буду через пару недель, если не считать косячной отслойки, можно сказать, что всё успешно. Открывать шуруп - в ближайшие дни (прокрутится или нет вместе с ФДМ, интересно ) Ссылка на комментарий
lonely_jack Опубликовано 18 июня, 2015 Поделиться Опубликовано 18 июня, 2015 Хех... не оказалось под рукой норм шовника. Зашил одиночный имплант пятеркой или четверкой отечественного производства, не ожидал подвоха...но на вид размер был двойка, назначил через 7 дней на снятие швов. Кератинизированой десны - куча. Со слов пациента - швы через 2 часа слетели. Ссылка на комментарий
Andre_ Опубликовано 22 июня, 2015 Автор Поделиться Опубликовано 22 июня, 2015 Хех... не оказалось под рукой норм шовника. Зашил одиночный имплант пятеркой или четверкой отечественного производства, не ожидал подвоха...но на вид размер был двойка, назначил через 7 дней на снятие швов. Кератинизированой десны - куча. Со слов пациента - швы через 2 часа слетели.своеобразная польза! Ссылка на комментарий
Имплантатор Опубликовано 29 июня, 2015 Поделиться Опубликовано 29 июня, 2015 Хм... Не вижу смысла в синусе вообще. 6 мм высоты достаточно. Можно просто имплантатом закортикалиться на 1 мм. С таким-то расстоянием до окклюзионной... 1 1 Ссылка на комментарий
Рекомендуемые сообщения
Для публикации сообщений создайте учётную запись или авторизуйтесь
Вы должны быть пользователем, чтобы оставить комментарий
Создать аккаунт
Зарегистрируйте новый аккаунт в нашем сообществе. Это очень просто!
Регистрация нового пользователяВойти
Уже есть аккаунт? Войти в систему.
Войти