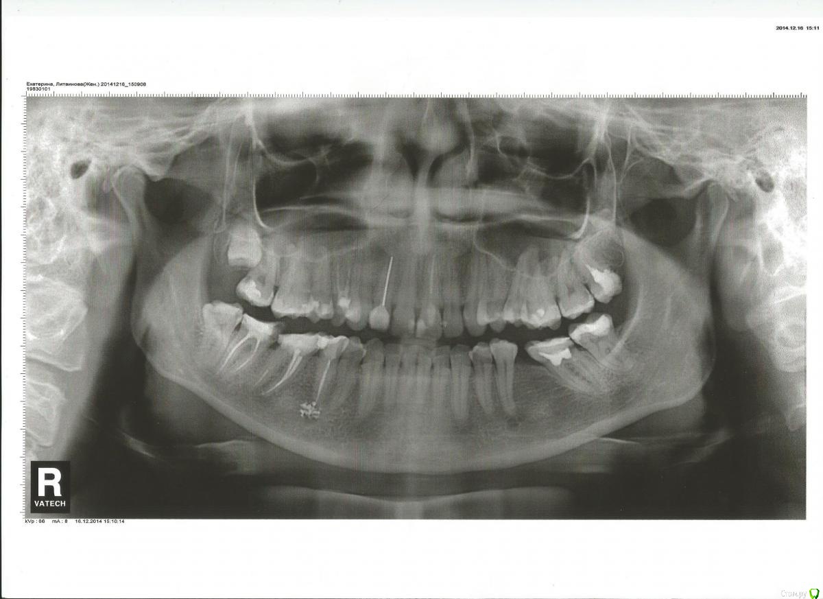
Екатерина Литвинова Опубликовано 16 марта, 2015 Поделиться Опубликовано 16 марта, 2015 (изменено) Здравствуйте,уважаемые специалисты!Женщина 31 год,рост 1-77,все 63.В декабре 2013 решила пролечить 6-ку снизу,справа.Сделали снимок,сказали гранулема.по семейным обстоятельствам лечение отложила до февраля 2014.В середине февраля 2014 на фоне общего благополучия у меня появилось распирание в челюсти и отекла и увеличилась в размерах десна,и щека возле зуба мудрости нависала и я накусывала ее,справа,где и находилась 6-ка с гранулемой.Этот же зуб мудрости в 2010 году,после иссечения капюшона благополучно вылез,и даже был запломбирован.Врачи говорили,что он будет основой для протезирования.Я обратилась к хирургу,объяснила,что 8-ка была нормально расположена в челюсти,но ввиду отека мне вновь иссекли капюшон,и порекомендовали удалить.Все это время меня беспокоили редкие( раз в месяц) колющие боли в челюсти.В марте 2014 я пролечила 6-ку с гранулемой,и в декабре 2014 удалила зуб мудрости..Во время удаления была повреждена 7-ка рядом.Десна постепенно зажила,но я все равно продолжаю ощущать нависание щеки уже на 7-ку,накусываю ее.После пробуждения щека справа внутри отекшая,посередине нее чувствуется венка.В феврале 2015 после небольшого сквозняка дважды по 5-7 дней у меня возникали очень сильные боли в челюсти(как кинжальные)а также в 7-ке(ноющие)и по типу невралгии тройничного нерва.Обращалась к стоматологу,чтобы пролечить 7-ку,ответ:вам нужна коронка на нее.Обратилась к хирургу,сказали,что возможно из-за прикуса,прописали диклофенак уколы и мазь,и обращаться к гнатологу.Была в ЧЛХ,сказали артрит,лечение:мидокалм,аркоксиа.Я не хочу пить эти все препараты без обследований.Что можно сделать в моем случае?Кт ВНЧС,МРТ ВНЧС,Цифровая телерентгенограмма (ТРГ),компьютерная томограмма 3Д челюстиЭлектронная аксиография.Что будет информативней?Где найти гнатолога в Ростове-на-Дону?Заранее спасибо!Извините,за большой рассказ) Изменено 16 марта, 2015 пользователем Екатерина Литвинова Ссылка на комментарий
Екатерина Литвинова Опубликовано 16 марта, 2015 Автор Поделиться Опубликовано 16 марта, 2015 (изменено) Прикрепляю панорамный снимок,сделанный в декабре 2014,перед удалением зуба мудрости Изменено 16 марта, 2015 пользователем Екатерина Литвинова Ссылка на комментарий
Рекомендуемые сообщения
Для публикации сообщений создайте учётную запись или авторизуйтесь
Вы должны быть пользователем, чтобы оставить комментарий
Создать аккаунт
Зарегистрируйте новый аккаунт в нашем сообществе. Это очень просто!
Регистрация нового пользователяВойти
Уже есть аккаунт? Войти в систему.
Войти