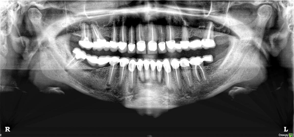
viky Опубликовано 13 марта, 2015 Поделиться Опубликовано 13 марта, 2015 Здравствуйте! В 2012 году делала протезирование. Были проблемы: отлетала коронка, появился свищ, снимок сделать не могла, была в положении. На 8 марта этого года сходила с ума от зубной боли, панорама показала кисты почти под всеми протезированными зубами.Глупость моего протезирования, пожалуйста, не обсуждайте. Подскажите, что сейчас делать? Возможно ли в Москве терапевтическим путем попробовать лечить их?Кисты без сомнений появились в результате плохого протезирования? Заранее благодарна всем ответившим Ссылка на комментарий
red_butler Опубликовано 13 марта, 2015 Поделиться Опубликовано 13 марта, 2015 (изменено) Подскажите, что сейчас делать?найти грамотного терапевта - эндодонтиста Изменено 13 марта, 2015 пользователем red_butler Ссылка на комментарий
red_butler Опубликовано 13 марта, 2015 Поделиться Опубликовано 13 марта, 2015 Кисты без сомнений появились в результате плохого протезирования? нет Ссылка на комментарий
viky Опубликовано 13 марта, 2015 Автор Поделиться Опубликовано 13 марта, 2015 Спасибо! Сколько врачей посмотрели снимок, сказали скорее всего что том материалом пломбировки, потому что каналы хорошо закрыты.Скажите, пожалуйста, каковы прогнозы, при терапевтическом лечении?Все коронки нужно выкинуть, пере лечить каналы и делать новые коронки? Правильно я понимаю или есть еще какая то схема?И если кто то посоветует грамотного врача, буду очень благодарна. Ссылка на комментарий
diesel87 Опубликовано 13 марта, 2015 Поделиться Опубликовано 13 марта, 2015 Спасибо! Сколько врачей посмотрели снимок, сказали скорее всего что том материалом пломбировки, потому что каналы хорошо закрыты.Скажите, пожалуйста, каковы прогнозы, при терапевтическом лечении?Все коронки нужно выкинуть, пере лечить каналы и делать новые коронки? Правильно я понимаю или есть еще какая то схема?И если кто то посоветует грамотного врача, буду очень благодарна.Снятие коронок с тех зубов на которых будет проводиться перелечивание каналов, грамотное эндолечение и повторное протезирование. Второй вариант боле радикальный, удаление и имплантация с последующим протезированием. Но лучше найдите эндодонтиста, на форуме есть для этого отдельная тема. А у вашего терапевта, что готовил зубы под протезирование стабильный результат лечения, ему только елку новогоднюю украшать! Ссылка на комментарий
viky Опубликовано 13 марта, 2015 Автор Поделиться Опубликовано 13 марта, 2015 Снятие коронок с тех зубов на которых будет проводиться перелечивание каналов, грамотное эндолечение и повторное протезирование. Второй вариант боле радикальный, удаление и имплантация с последующим протезированием. Но лучше найдите эндодонтиста, на форуме есть для этого отдельная тема. А у вашего терапевта, что готовил зубы под протезирование стабильный результат лечения, ему только елку новогоднюю украшать!Спасибо за комментарий. А велика ли вероятность вылечить терапевтически?Врач, который лечил, говорит, что возможно причина не в нем. И теперь исправить можно только хирургически. Предложила разделить расходы по лечению, потому что я прилично заплатила за его работу. Не хочет, может я не права Ссылка на комментарий
DmitrySH Опубликовано 13 марта, 2015 Поделиться Опубликовано 13 марта, 2015 Нет, нужно именно терапевтически. Без этого никакая хирургия не поможет ( только удаление)Предстоит сложная и длительная работа. Подавляющее большинство подобных зубов вполне нормально "спасаются". Но не исключено, что где-то может и хирургия потребоваться. Ссылка на комментарий
Mane Опубликовано 13 марта, 2015 Поделиться Опубликовано 13 марта, 2015 К сожалению все нужно начинать сначала. Вам требуется передечивание всех проблемных зубов и по сути тотальное перепротезирование. Не удивлюсь что зубы обпилены от души. Соответственно потребуется хирургия десны. В общем вам одна дорога - к нормальному серьезному реорганизатору. Потому как если вы не будите делать все от планирования заканчивая перепротезированием, тотне стоит и начинать. 1 Ссылка на комментарий
Гарриевич Опубликовано 13 марта, 2015 Поделиться Опубликовано 13 марта, 2015 присоединяюсь к коллегамвсе эти зубы можно и нужно перелечить Скажите, пожалуйста, каковы прогнозы, при терапевтическом лечении? прогноз благоприятный Лечил зубы и протезировал Вас один и тот же врач? Ссылка на комментарий
viky Опубликовано 14 марта, 2015 Автор Поделиться Опубликовано 14 марта, 2015 присоединяюсь к коллегамвсе эти зубы можно и нужно перелечить прогноз благоприятный Лечил зубы и протезировал Вас один и тот же врач?Лечил и протезировал один. Вину свою отрицает, хотя я и не обвиняла, сказала, что давайте совместно решать эту проблему. Готова разделить с Вами расходы, он сказал, что еще один рот помимо своей жены кормить не готов, как будто я его кормить меня прошу...бог ему судья. Единственное, хотелось бы отзыв в клинике написать, но он ушел в другую, чтобы никто больше так не попал. Как его найти теперь не знаюПо поводу работы, сказала, что на консультации врачи сказали, что нарушена технология скорее всего или материал не тот использованСказал, что всех так лечит, что у меня непереносимость какого то компанента. Может такое быть? Зубы лечу сколько себя помню, у разных врачей и разными способами, никогда ничего похожего не было.И еще, может кто подскажет, где хорошего врача найти, может в Нии или на кафедре? Ссылка на комментарий
red_butler Опубликовано 14 марта, 2015 Поделиться Опубликовано 14 марта, 2015 (изменено) И еще, может кто подскажет, где хорошего врача найти, может в Нии или на кафедре?на кафедры не стоит обращаться попробуйте найти врача на форуму, напишите здесь http://forum.stom.ru/topic/4752-posovetujte-terapevta-v-gorode-n/, и посмотрите работы коллег во врачебном разделе Изменено 14 марта, 2015 пользователем red_butler Ссылка на комментарий
viky Опубликовано 14 марта, 2015 Автор Поделиться Опубликовано 14 марта, 2015 К сожалению все нужно начинать сначала. Вам требуется передечивание всех проблемных зубов и по сути тотальное перепротезирование. Не удивлюсь что зубы обпилены от души. Соответственно потребуется хирургия десны. В общем вам одна дорога - к нормальному серьезному реорганизатору. Потому как если вы не будите делать все от планирования заканчивая перепротезированием, тотне стоит и начинать.Обпилил, видимо, от души. Через неделю вылетела верхняя двойка, коронка вместе с зубом, который покрывался коронкой в эстетических целях. Тогда я даже ничего не сказала, нарастил зуб, извинился, расстались Ссылка на комментарий
viky Опубликовано 14 марта, 2015 Автор Поделиться Опубликовано 14 марта, 2015 на кафедры не стоит обращаться попробуйте найти врача на форуму, напишите здесь http://forum.stom.ru/topic/4752-posovetujte-terapevta-v-gorode-n/, и посмотрите работы коллег во врачебном разделеСпасибо, сюда написала, желающих пока нет :-(Скажите, пожалуйста, а с верхними зубами какая ситуация, тоже кисты? (Мнения врачей расходятся)Кто то знает как называется анализ чтобы узнать от чего образовались кисты и где в Москве его сделать?И можно где то сделать независимую экспертизу, чтобы сказали от чего так произошло, чтобы не повторить ошибок при лечении или это точно косяк врача? Ссылка на комментарий
red_butler Опубликовано 14 марта, 2015 Поделиться Опубликовано 14 марта, 2015 (изменено) Спасибо, сюда написала, желающих пока нет :-(Скажите, пожалуйста, а с верхними зубами какая ситуация, тоже кисты? (Мнения врачей расходятся)наверху точно перелечивать 1.7 1.6, остальные уточнять прицельными снимками или Кт Изменено 14 марта, 2015 пользователем red_butler Ссылка на комментарий
DmitrySH Опубликовано 14 марта, 2015 Поделиться Опубликовано 14 марта, 2015 Нет, тут не "или" КТ, а обязательно КТ Ссылка на комментарий
Гарриевич Опубликовано 14 марта, 2015 Поделиться Опубликовано 14 марта, 2015 И можно где то сделать независимую экспертизу, чтобы сказали от чего так произошло, чтобы не повторить ошибок при лечении или это точно косяк врача?Процентов 90, что от несоблюдения протокола лечения Ссылка на комментарий
viky Опубликовано 15 марта, 2015 Автор Поделиться Опубликовано 15 марта, 2015 Процентов 90, что от несоблюдения протокола леченияРазговаривала с врачом, кот лечил-протезировал, он настаивает на хирургическом изменение, я сказала, что буду пробовать терапевтическим путем избавиться от недуга. Сказал, что снять коронки это вообще.... Вы не представляете, что говорите, я посадил на очень крепкий материал, дальше истеричный смех....вам все зубы сломают...Уважаемые врачи! Действительно так сложно снять коронки ? Правильно я понимаю, что если не скрыть и не прочистить, а залезть со стороны корня, инфекция не уйдет из канала? На всякий случай узнала , чем лечили Для пломбировки каналов использовались гутаперча, эндометозон, гипохлорид натрия.И если можно напишите, пожалуйста , правильный план лечения-пере протезирования . Как это выглядитВ одной клинике мне составили, пока на низ (материально не готова сейчас все сразу делать): снятие коронок путем распиливания, лечение каналов, закрытие временными коронками. Через месяц имплантация 46,47,37. Постоянные пломбы на все, которые с временными были. Еще через месяц реставрация зубов и слепки. Через 10 дней коронки. Лечение под контролем томограммы. Коронки доктор хочет отдельные ставить на каждый зуб, в случае чего чтобы подлезть потомДругих вариантов пока не предложили Ссылка на комментарий
Dmitriy84 Опубликовано 16 марта, 2015 Поделиться Опубликовано 16 марта, 2015 Разговаривала с врачом, кот лечил-протезировал, он настаивает на хирургическом изменение, я сказала, что буду пробовать терапевтическим путем избавиться от недуга. Сказал, что снять коронки это вообще.... Вы не представляете, что говорите...В таком случае ваш врач не представляет, о чём говорит, отправляя вас на тотальную апикальную хирургию с ретроградной пломбировкой всех каналов! 1 Ссылка на комментарий
diesel87 Опубликовано 16 марта, 2015 Поделиться Опубликовано 16 марта, 2015 В таком случае ваш врач не представляет, о чём говорит, отправляя вас на тотальную апикальную хирургию с ретроградной пломбировкой всех каналов!Да ему думаю вообще будет на руку если пациентке удалят все зубы, улики так сказать) 1 Ссылка на комментарий
Рекомендуемые сообщения
Для публикации сообщений создайте учётную запись или авторизуйтесь
Вы должны быть пользователем, чтобы оставить комментарий
Создать аккаунт
Зарегистрируйте новый аккаунт в нашем сообществе. Это очень просто!
Регистрация нового пользователяВойти
Уже есть аккаунт? Войти в систему.
Войти