andrei-gpn Опубликовано 11 марта, 2015 Поделиться Опубликовано 11 марта, 2015 Добрый день! Проконсультируйте пожалуйста.Мне 32 года, около месяца назад, очень сильно воспалились десна на нижней челюсти, в районе центральных зубов, чуть позже встали воспаляться десна и наверху. Воспаление длилось около недели, потом начало спадать. На приеме у пародонтолога проведена профессиональная чистка и поставлен диагноз генерализованный пародононтит тяжелой степени, и подвижность отдельных 1 степени ( нижние центральные зубы имеют небольшую подвижность), плюс образовалось несколько карманов, ну а про кровоточивость десен я уже не говорю, после того как бросил курить, это стало постоянным явлением. рекомендовано оперативное лечение обоих челюстей ( видимо имелся ввиду открытый кюретаж). Так вот, действительно ли я нуждаюсь в оперативном лечении, будет ли эффект от этой операции ( пародонтолог предупредил, что после операции десна опустится), есть ли возможность как то исправить ситуацию, может в моем случае будет достаточно вектора. Большое спасибо, снимок прилагаю. Ссылка на комментарий
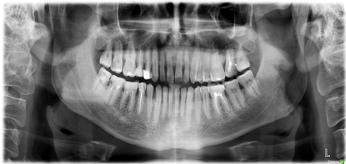
red_butler Опубликовано 11 марта, 2015 Поделиться Опубликовано 11 марта, 2015 Для начала санация и вектор или закрытый кюретаж. Для полноценного ответа нужен очный осмотр, если судить только по снимку - пародонтит средней степени Ссылка на комментарий
Гарриевич Опубликовано 11 марта, 2015 Поделиться Опубликовано 11 марта, 2015 Вам нужны убрать из полости рта все старые пломбы с нависающими краямиперелечить 15, 14, 27,36, 46, 47 зубы и покрыть их коронкамипролечить 17 и тоже подумать о коронкеи решить с 48 вопрос Ссылка на комментарий
Рекомендуемые сообщения
Для публикации сообщений создайте учётную запись или авторизуйтесь
Вы должны быть пользователем, чтобы оставить комментарий
Создать аккаунт
Зарегистрируйте новый аккаунт в нашем сообществе. Это очень просто!
Регистрация нового пользователяВойти
Уже есть аккаунт? Войти в систему.
Войти