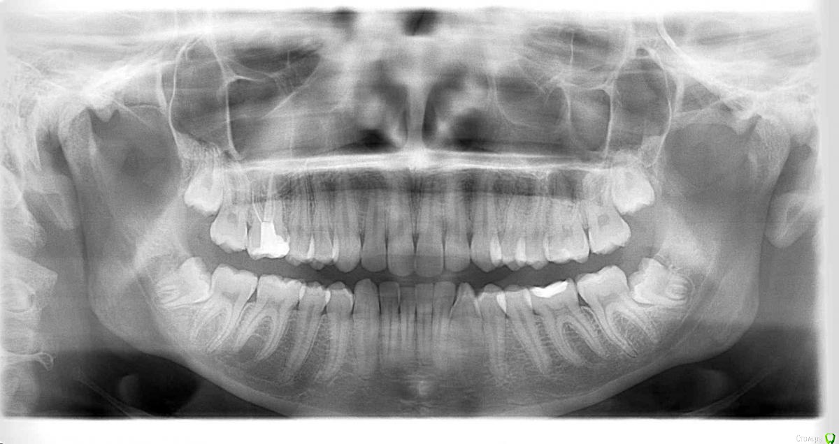
Orhan_dentist125 Опубликовано 11 марта, 2015 Поделиться Опубликовано 11 марта, 2015 ДД, коллеги. Видна ли на этом снимке киста 16 зуба?И что изображено над 26 и 27 зубом? Заранее спасибо Ссылка на комментарий
сирена Опубликовано 11 марта, 2015 Поделиться Опубликовано 11 марта, 2015 1.Не вижу2.Гайморова пазуха 1 Ссылка на комментарий
Чертков Александр Опубликовано 11 марта, 2015 Поделиться Опубликовано 11 марта, 2015 1.Не вижу2.Гайморова пазуха+1 Ссылка на комментарий
Orhan_dentist125 Опубликовано 11 марта, 2015 Автор Поделиться Опубликовано 11 марта, 2015 1.Не вижу2.Гайморова пазухаГайморову вижу, я про верхушки корней 26 и 27 говорю. Там вон границы хорошо видны Ссылка на комментарий
Orhan_dentist125 Опубликовано 11 марта, 2015 Автор Поделиться Опубликовано 11 марта, 2015 +1На верхушках корней 26 и 27 Ссылка на комментарий
Чертков Александр Опубликовано 11 марта, 2015 Поделиться Опубликовано 11 марта, 2015 На верхушках корней 26 и 27Кроме бухты синуса ничего не вижу Ссылка на комментарий
marialera Опубликовано 11 марта, 2015 Поделиться Опубликовано 11 марта, 2015 над 17 есть деструкция Ссылка на комментарий
St. Опубликовано 11 марта, 2015 Поделиться Опубликовано 11 марта, 2015 Я патологии не вижу. По-моему как-то так.. 1 Ссылка на комментарий
red_butler Опубликовано 12 марта, 2015 Поделиться Опубликовано 12 марта, 2015 делайте прицельный снимок 1.7 2 Ссылка на комментарий
M@estro Опубликовано 13 марта, 2015 Поделиться Опубликовано 13 марта, 2015 а лучше - КТ 3 Ссылка на комментарий
Tabula Rasa Опубликовано 14 марта, 2015 Поделиться Опубликовано 14 марта, 2015 а лучше - КТ+ Ссылка на комментарий
Асхат Опубликовано 14 марта, 2015 Поделиться Опубликовано 14 марта, 2015 проверте на витальность Ссылка на комментарий
red_butler Опубликовано 14 марта, 2015 Поделиться Опубликовано 14 марта, 2015 проверте на витальность1.7??? зачем? 1 Ссылка на комментарий
Асхат Опубликовано 14 марта, 2015 Поделиться Опубликовано 14 марта, 2015 1.7??? зачем?2.6 на всякий случай Ссылка на комментарий
Асхат Опубликовано 14 марта, 2015 Поделиться Опубликовано 14 марта, 2015 2.6 на всякий случайи 1.7 не труднож Ссылка на комментарий
Рекомендуемые сообщения
Для публикации сообщений создайте учётную запись или авторизуйтесь
Вы должны быть пользователем, чтобы оставить комментарий
Создать аккаунт
Зарегистрируйте новый аккаунт в нашем сообществе. Это очень просто!
Регистрация нового пользователяВойти
Уже есть аккаунт? Войти в систему.
Войти