ReaperGanzA Опубликовано 5 марта, 2015 Поделиться Опубликовано 5 марта, 2015 Здравствуйте форумчане!Пришла пациентка, зачатков латеральных резцов небыло, клыки прорезались на местах двоек, на местах постоянных клыков были временные клыки, правый подвижен, но стоит до сих пор, левый выпал, поставили имплант.Почему не сделали ортодонтию - не могу сказать, ко мне пациентка пришла уже с имплантом.Задача сейчас создать адекватный контур прорезывания, нужен вестибулярный зенит и апроксимальные области.Проблема в том что мезиодистальная ширина больше чем нужно для премоляра и стоит вопрос как размоделировывать его сейчас.Вопрос в том как бы вы наращивали вестибулярку на временной коронке и на каком уровне разместили бы зенит по отношению к соседним зубам.Планируется третий премоляр. Также интересует как бы вы формировали аппроксималки, какие делали бы контакты с соседними зубами и главное КАК. Если по срокам подскажете будет вообще супер. Ссылка на комментарий
artemov Опубликовано 5 марта, 2015 Поделиться Опубликовано 5 марта, 2015 Все зависит от того, на какой глубине платформа имплантата, как мне кажется.. 2 Ссылка на комментарий
bugroff87 Опубликовано 5 марта, 2015 Поделиться Опубликовано 5 марта, 2015 (изменено) Была похожая ситуация, вышло так. Одномоментно с времянками. Изменено 5 марта, 2015 пользователем bugroff87 4 Ссылка на комментарий
SDC Опубликовано 5 марта, 2015 Поделиться Опубликовано 5 марта, 2015 А я бы перепланировал и моделировал клык на импл. Клык лучше впишется и по ширине, и по эстетике.И еще надо попробовать сконтурировать легкими движениями на модели клык под боковой резец. 3 Ссылка на комментарий
bugroff87 Опубликовано 5 марта, 2015 Поделиться Опубликовано 5 марта, 2015 Мне кажется было бы лучше если бы имплант стоял чуть выше, чтобы зенит был выше. Ссылка на комментарий
CRAZYDUCK Опубликовано 5 марта, 2015 Поделиться Опубликовано 5 марта, 2015 А я бы перепланировал и моделировал клык на импл. Клык лучше впишется и по ширине, и по эстетике.И еще надо попробовать сконтурировать легкими движениями на модели клык под боковой резец.+1,а почему решили сделать третий премоляр , а не клык? Ссылка на комментарий
ReaperGanzA Опубликовано 5 марта, 2015 Автор Поделиться Опубликовано 5 марта, 2015 Все зависит от того, на какой глубине платформа имплантата, как мне кажется..3 мм Ссылка на комментарий
ReaperGanzA Опубликовано 5 марта, 2015 Автор Поделиться Опубликовано 5 марта, 2015 А я бы перепланировал и моделировал клык на импл. Клык лучше впишется и по ширине, и по эстетике.И еще надо попробовать сконтурировать легкими движениями на модели клык под боковой резец.Я рассматриваю и клык и премоляр как варианты пока веду на времяшке.Почему я изначально задумал премоляр: у пациентки вертикальное расстояние небольшое. В сочетании с тем что по ширине дефект тоже больше чем нужно для премоляра и клыка, то по моей логике невысокий и слегка широкий премоляр эстетичнее невыского и широкого клыка. Сразу вопрос: если делать одиночный клык на импланте и делать на нем клыковое ведение, длина импланта обязательно должна быть 13 мм или это миф? Вообще когда планировал, хотел к ведению на импланте подключить четвертый. Я склонен сделать еще пару фотографий и выложить их сюда чтобы определиться что гармоничнее впишется клык или премоляр, плюс сделаю фотки в прикусе и посмотрим. Места там не много. Вообще пока что интересует техническая сторона вопроса, как наращиваете, чем, какие сроки? Фишки мб? Ссылка на комментарий
Большой Зеленый Опубликовано 5 марта, 2015 Поделиться Опубликовано 5 марта, 2015 А снимка нет? так гадать сложно.. Ссылка на комментарий
Большой Зеленый Опубликовано 5 марта, 2015 Поделиться Опубликовано 5 марта, 2015 Первый случай: платформа утоплена контур создать удалось.http://s018.radikal.ru/i507/1503/38/bffb342c726f.jpg http://s008.radikal.ru/i304/1503/5e/45b459836a21.jpg http://s020.radikal.ru/i722/1503/b7/73b228fb3c8a.jpg Второй случай ,аналогичный только платформа недоутоплена. http://s014.radikal.ru/i329/1503/91/b773208fd5ac.jpg http://s019.radikal.ru/i627/1503/6f/d3ddde713f1b.jpg http://i079.radikal.ru/1503/01/0ade3b81af94.jpg 1 Ссылка на комментарий
ReaperGanzA Опубликовано 5 марта, 2015 Автор Поделиться Опубликовано 5 марта, 2015 А снимка нет? так гадать сложно..Снимок и фотки сделаю, но я не понял, на последнем снимке у вас красным отмечен нужный контур, вы не отжимали его до нужного уровня? И при чём сейчас глубина платформы к данному конкретному случаю? Вы говорите о том что если бы уровень кости был ниже и ниже была платформа то мы бы смогли сделать зенит апикальнее на равне с соседями? Ссылка на комментарий
SDC Опубликовано 5 марта, 2015 Поделиться Опубликовано 5 марта, 2015 если делать одиночный клык на импланте и делать на нем клыковое ведение, длина импланта обязательно должна быть 13 мм или это миф? 13? Это наверное для импл. обл. 13 зуба. Это ж 23? Ссылка на комментарий
SDC Опубликовано 5 марта, 2015 Поделиться Опубликовано 5 марта, 2015 Первый случай...Супер! А 1 швом пробовали ушиться? Ссылка на комментарий
ReaperGanzA Опубликовано 5 марта, 2015 Автор Поделиться Опубликовано 5 марта, 2015 13? Это наверное для импл. обл. 13 зуба. Это ж 23? это 23 да, вопрос в том имеет ли длина импланта значение для клыка на котором будет сделано групповое ведение? Ссылка на комментарий
Большой Зеленый Опубликовано 6 марта, 2015 Поделиться Опубликовано 6 марта, 2015 Снимок и фотки сделаю, но я не понял, на последнем снимке у вас красным отмечен нужный контур, вы не отжимали его до нужного уровня? И при чём сейчас глубина платформы к данному конкретному случаю? Вы говорите о том что если бы уровень кости был ниже и ниже была платформа то мы бы смогли сделать зенит апикальнее на равне с соседями?Его просто невозможно отжать. Платформа импланта расположена слишком коронарно. Абатмент с нулевой шейкой.Картинку я нарисовал ,это так как должно было быть.. 1 Ссылка на комментарий
Большой Зеленый Опубликовано 6 марта, 2015 Поделиться Опубликовано 6 марта, 2015 Супер! А 1 швом пробовали ушиться? Нет . че то решил два.. 1 Ссылка на комментарий
ReaperGanzA Опубликовано 6 марта, 2015 Автор Поделиться Опубликовано 6 марта, 2015 Его просто невозможно отжать. Платформа импланта расположена слишком коронарно. Абатмент с нулевой шейкой.Картинку я нарисовал ,это так как должно было быть..Значит я вас правильно понял. Хорошо, а в вашем случае чисто теоретически нельзя было убрать кость чтобы платформа оказалась апикальнее? Или гайморова уже не позволила бы углубить имплант? Итак, если я правильно понял, то отжать зенит можно только если позволяет толщина десны до платформы. Господа, а как вы это делаете? Я к примеру просто шершавлю коронку в нужном месте красным бором, бондингую, дую, свечу, жидкотекучку, распределил, засветил, спиртом протер, щеткой полирнул, пуховкой доработал, в спирт, продул , прикрутил во рту постепенно, если дискомфорт/ боль прошли через пять минут, то оставляю, если нет то подснимаю. Каков критерий достаточности нарощенного объема коронки? Ощущения пациента или прошедшая ишемия за определенное время? Ссылка на комментарий
Большой Зеленый Опубликовано 6 марта, 2015 Поделиться Опубликовано 6 марта, 2015 В моем случае можно было сделать все как Вы описываете и гайморова здесь не при чем. Просто это случай очень давний .На заре моего становления. Мало было опыта .Вот и получилось то что получилось. Итак, если я правильно понял, то отжать зенит можно только если позволяет толщина десны до платформы. Верно. Скорее даже не толщина ,а высота по вертикали .Отжимаю десну так же как Вы . Ссылка на комментарий
Dr.Zoom Опубликовано 6 марта, 2015 Поделиться Опубликовано 6 марта, 2015 А я бы перепланировал и моделировал клык на импл. Клык лучше впишется и по ширине, и по эстетике.И еще надо попробовать сконтурировать легкими движениями на модели клык под боковой резец.Я бы тоже моделировал как клык, а свой клык перемоделировал бы в двойку. Ссылка на комментарий
ReaperGanzA Опубликовано 8 марта, 2015 Автор Поделиться Опубликовано 8 марта, 2015 Я бы тоже моделировал как клык, а свой клык перемоделировал бы в двойку. Стоп стоп стоп ребят, трогать клык на месте двойки я не стану если вы говорите о коронке Ссылка на комментарий
Dr.Zoom Опубликовано 9 марта, 2015 Поделиться Опубликовано 9 марта, 2015 Стоп стоп стоп ребят, трогать клык на месте двойки я не стану если вы говорите о коронкеА что, изменение формы только коронка??? Ссылка на комментарий
Борис80 Опубликовано 9 марта, 2015 Поделиться Опубликовано 9 марта, 2015 А можно увидеть фото всей фронтальной группы? Ссылка на комментарий
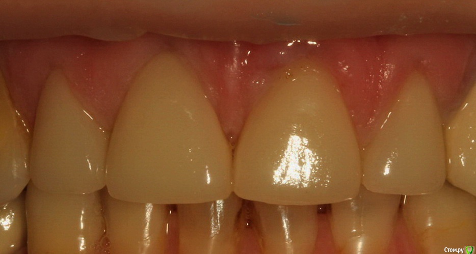
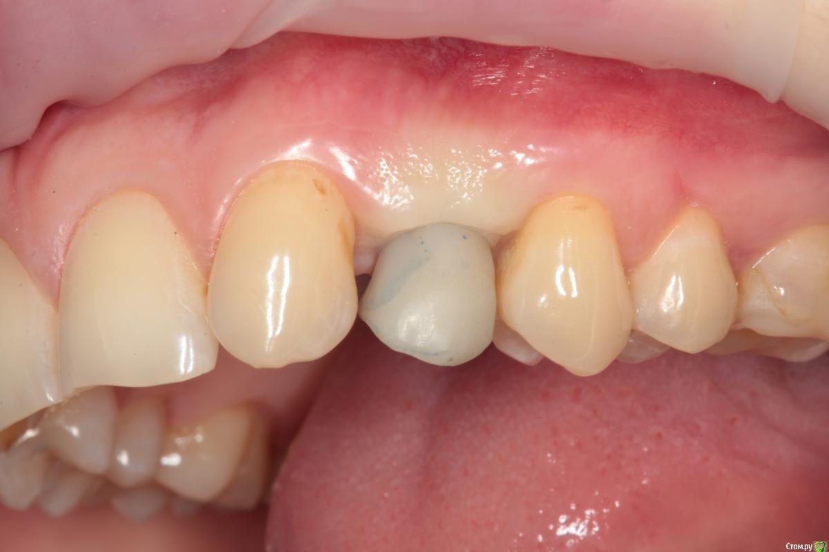
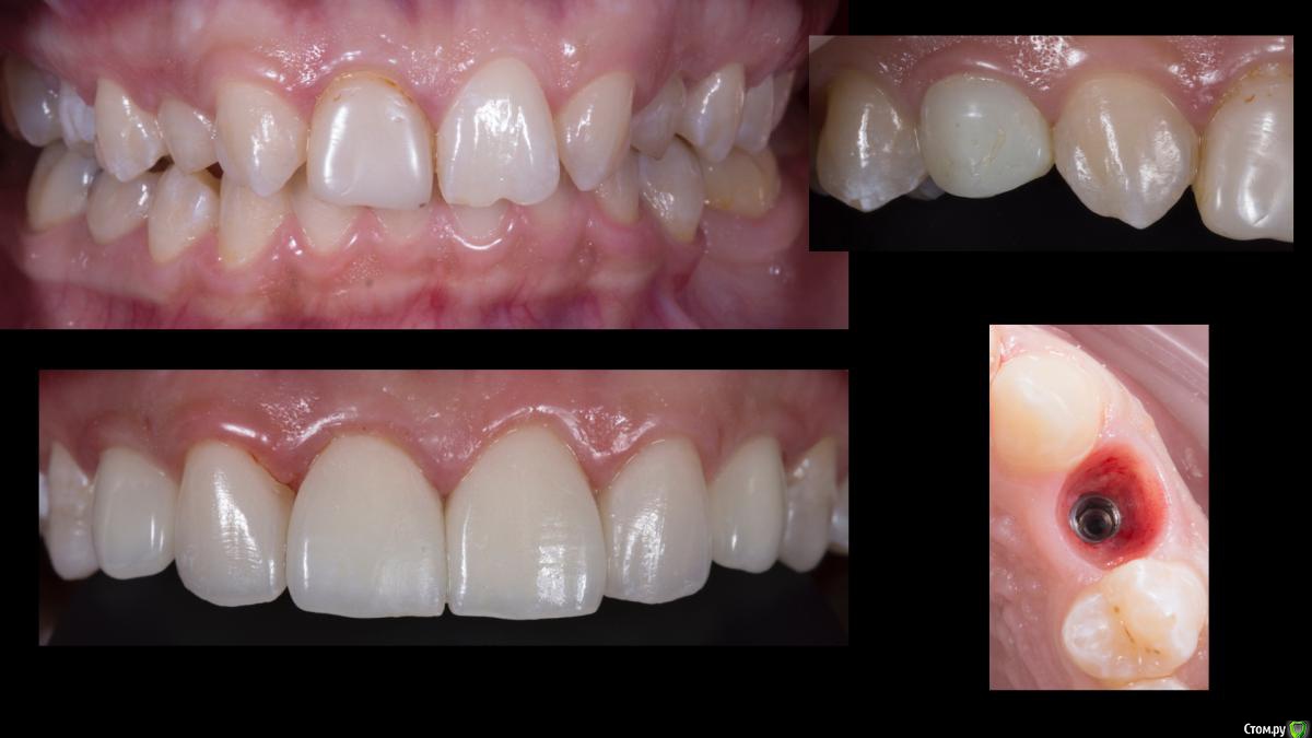
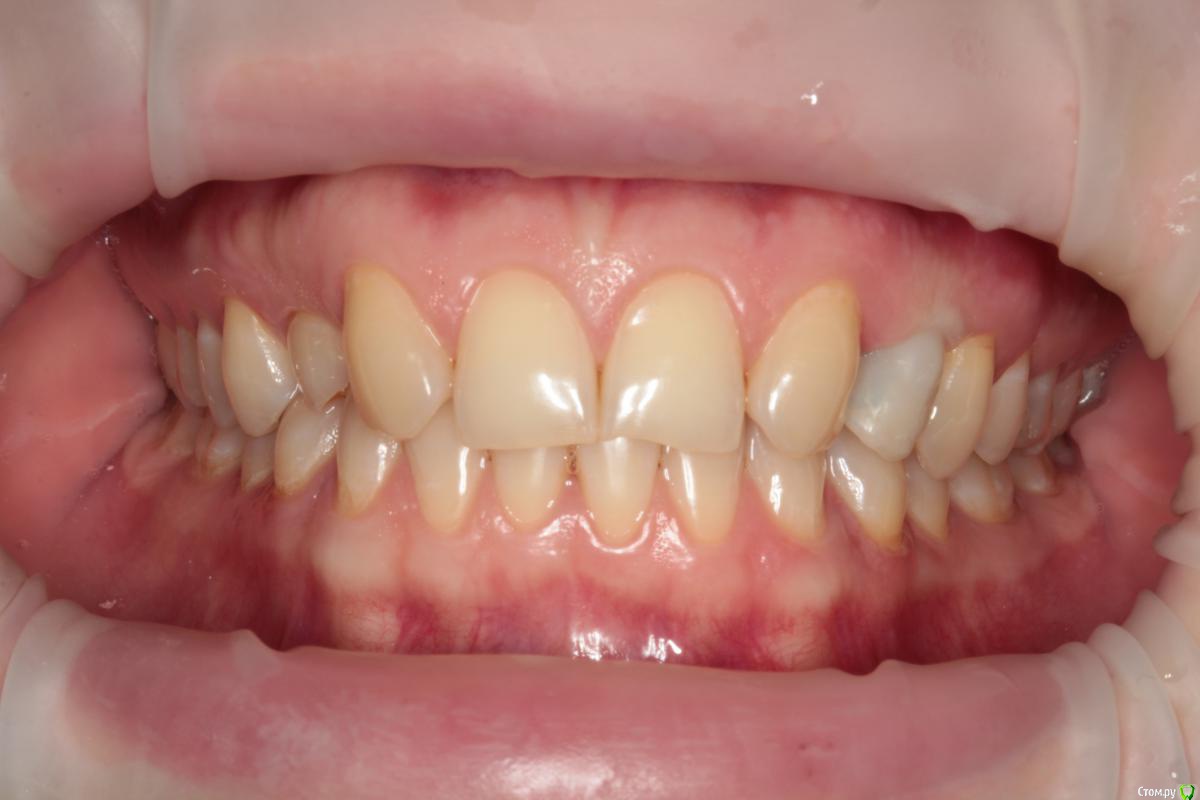
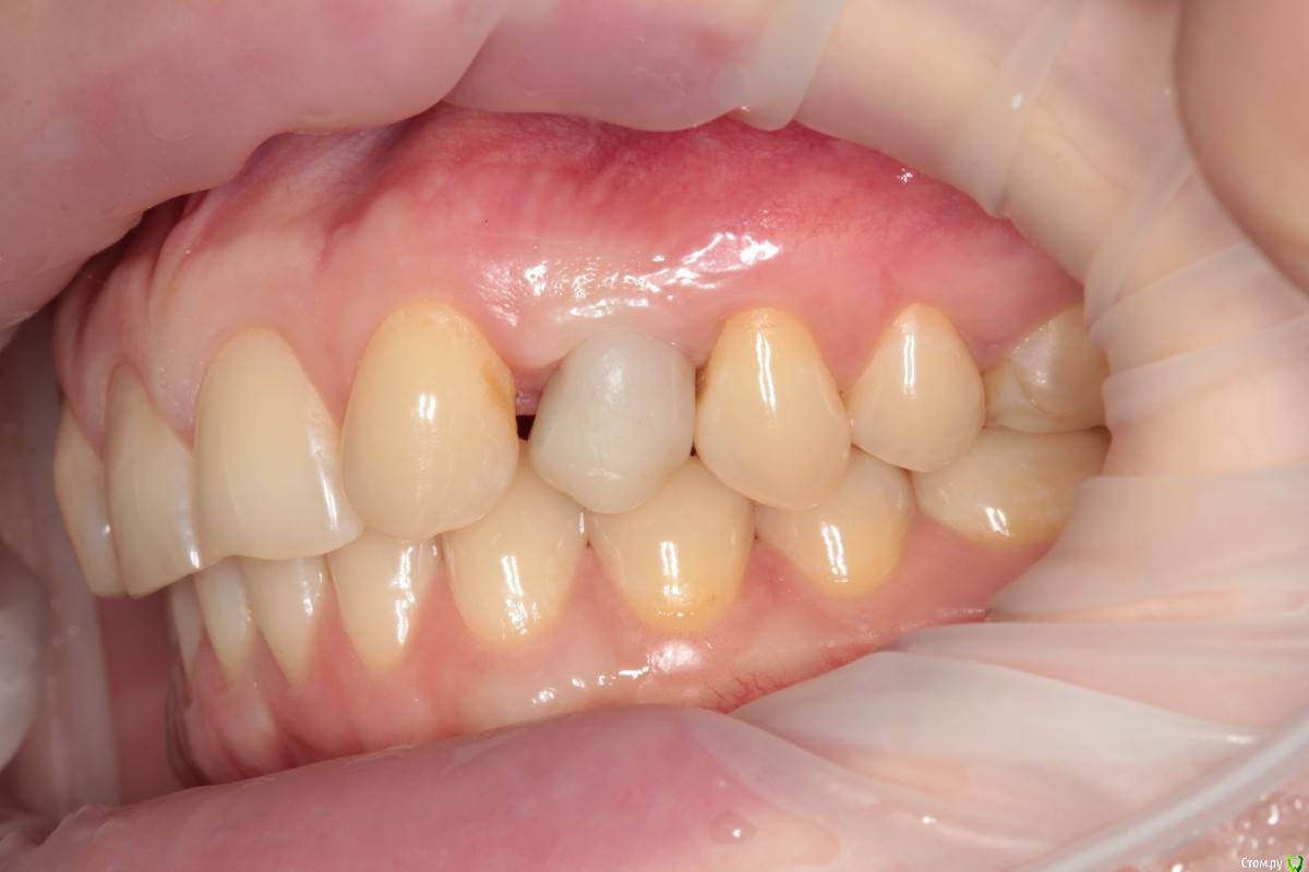
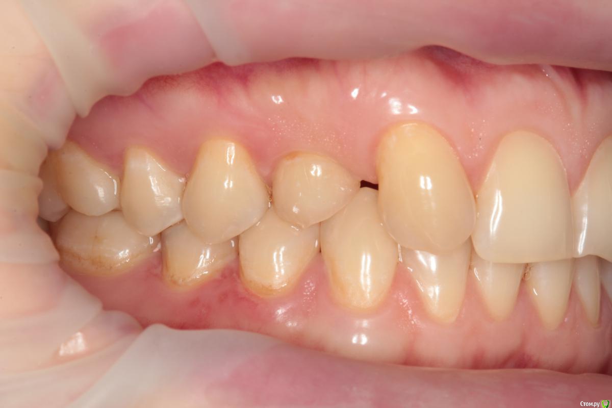
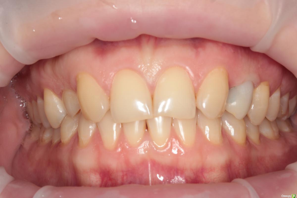
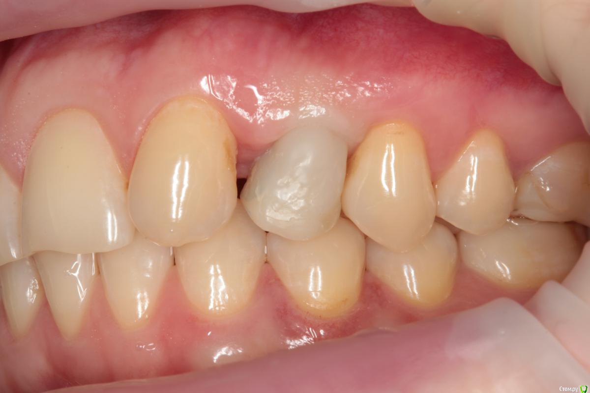
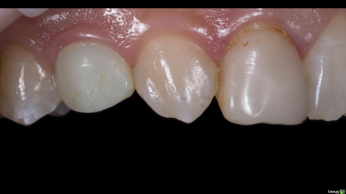
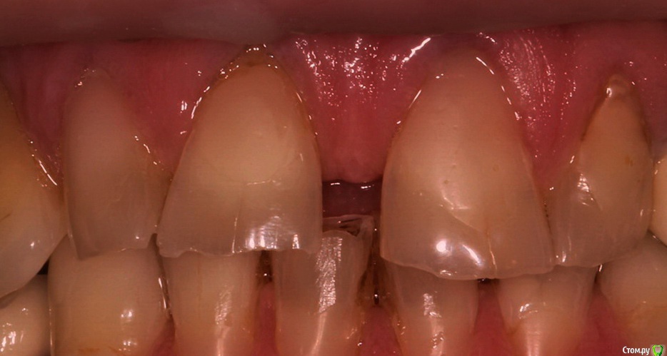
ReaperGanzA Опубликовано 21 марта, 2015 Автор Поделиться Опубликовано 21 марта, 2015 А можно увидеть фото всей фронтальной группы?первые две это промежуточный этап, следующие две это последний этап для формирования десны, выше я не задеру, там уже платформа. По форме делал премоляр. на последнем фото, молочный клык с противоположной стороны, планирую удалить и поставить имплант, зуб на импланте сделать под тот что делаю сейчас и также оставить промежуток меж постоянным клыком и коронкой на импланте. Ссылка на комментарий
Ibulat_1986 Опубликовано 21 марта, 2015 Поделиться Опубликовано 21 марта, 2015 каким образом будете фиксировать постоянную коронку: винтовая или на цементной?мне кажется надо медиальный контактный пункт надо делать плотнее дабы не было травмы пищевым комком, это должно дать возможность сосочку стать чуть выше 1 Ссылка на комментарий
Ibulat_1986 Опубликовано 21 марта, 2015 Поделиться Опубликовано 21 марта, 2015 обратите внимание на pre-op и post-op Ссылка на комментарий
Рекомендуемые сообщения
Для публикации сообщений создайте учётную запись или авторизуйтесь
Вы должны быть пользователем, чтобы оставить комментарий
Создать аккаунт
Зарегистрируйте новый аккаунт в нашем сообществе. Это очень просто!
Регистрация нового пользователяВойти
Уже есть аккаунт? Войти в систему.
Войти