Led_9 Опубликовано 4 марта, 2015 Поделиться Опубликовано 4 марта, 2015 Добрый день!Назрел вопрос насущный по исправлению прикуса. То, что надо ставить брекеты под вопрос не ставлю, ситуация сложная. Была на консультациях у двух специалистов. И уже пора определяться с тем, у кого делать. Но одолевают сомнения, после последних посещений.Итак. Клиника №1.Врач сделав расчет, слепки и т.д. говорит, что удалять ничего не придется для лечения. Пожалуй,в этой клинике я бы осталась, врач вызывает только положительные эмоции. Но цены на работы кусачие.Клиника №2.По первому посещению никаких вопросов к ортодонту не возникает. На второе посещение я привезла слепки, сделанные в первой клинике, снимки и расчет первого врача.Врач говорит, что наверное удалять сверху ничего не будет. А вот про удаление нижних пока сказать не может, ибо в ходе лечения может потребоваться их удаление. Собственно, сам вопрос который назрел таков: Возможно ли удаление в процессе лечения прикуса брекетами? Кто-то сталкивался? Насколько это сложно, поскольку изначально рассматривали удаление 6к снизу (поскольку 1ой по сути нет - стоит реставрация из пломб. материала), ведь на 6ки приклеиваются брекеты? Сейчас доктор второй клиники говорит о возможности удаления 8к снизу в ходе лечения. Хорошо это, что доктор обсуждает такую возможность перед началом лечения (имею ввиду именно удаление в процессе)? Или может быть в первом случае доктор не совсем прав, что не обсуждает таких вариантов развития событий? Правильно ли я понимаю, что доктор закупает систему исходя из того как он решил лечить сначала? И строит план лечения из того наличия зубов, с чем решил работать? Буду признательна, если со мной поделятся своим опытом и пациенты и врачи, поскольку для меня это не простое решение, и я очень боюсь "плохих" последствий, если вдруг столкнусь с некачественной ортодонтией.... Ссылка на комментарий
red_butler Опубликовано 4 марта, 2015 Поделиться Опубликовано 4 марта, 2015 http://forum.stom.ru/topic/4655-patcientam/ Ссылка на комментарий
-SAE-Dantist_32 Опубликовано 4 марта, 2015 Поделиться Опубликовано 4 марта, 2015 Здравия желаю,для начала ориентируйтесь на консультацию врача ортодонта,это и будет отправной точкой в выборе врача Ссылка на комментарий
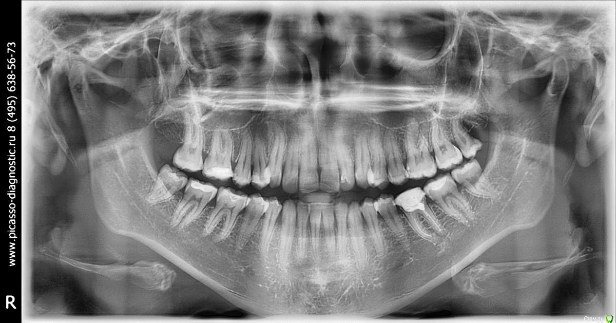
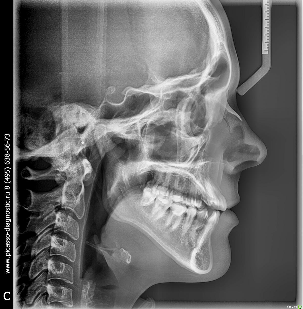
Led_9 Опубликовано 5 марта, 2015 Автор Поделиться Опубликовано 5 марта, 2015 Доброе утро! Спасибо за ответ. Снимки я не прикрепила специально, т.к. не хотела получить консультацию по плану лечения, а хотела получить совет именно на что следует обратить внимание при выборе доктора (вполне возможно что я зря засомневалась и такой подход абсолютно нормален). Но все же снимки прикрепляю. Ссылка на комментарий
Рекомендуемые сообщения
Для публикации сообщений создайте учётную запись или авторизуйтесь
Вы должны быть пользователем, чтобы оставить комментарий
Создать аккаунт
Зарегистрируйте новый аккаунт в нашем сообществе. Это очень просто!
Регистрация нового пользователяВойти
Уже есть аккаунт? Войти в систему.
Войти