Maxfac Опубликовано 3 марта, 2015 Поделиться Опубликовано 3 марта, 2015 Вообще, случай любопытный, могли бы кейсрепорт забабахать, а не на сайте светить) 2 Ссылка на комментарий
Ico Опубликовано 3 марта, 2015 Поделиться Опубликовано 3 марта, 2015 (изменено) del Изменено 3 марта, 2015 пользователем Ico Ссылка на комментарий
kriokov Опубликовано 3 марта, 2015 Поделиться Опубликовано 3 марта, 2015 (изменено) Там ничего нет, кроме прозрачной жидкостиможет цитология что то бы дала, ? В 17 лет, девушку в инвалида перевести просто так рука не поднимется. Точно Вы сказали про отмерь и отрежь. Изменено 3 марта, 2015 пользователем kriokov 3 Ссылка на комментарий
ПалСаныч Опубликовано 3 марта, 2015 Поделиться Опубликовано 3 марта, 2015 Так и предполагал, что Ильгам уже все сделал, а нас дразнит))Тогда вопрос: все лечение свелось к промыванию этой полости в течеие 2 дней? 1 Ссылка на комментарий
Ico Опубликовано 3 марта, 2015 Поделиться Опубликовано 3 марта, 2015 Ильгам,спасибо что поделились 1 Ссылка на комментарий
SDC Опубликовано 3 марта, 2015 Поделиться Опубликовано 3 марта, 2015 (изменено) Вообще, случай любопытный, могли бы кейсрепорт забабахать, а не на сайте светить)А я ЗА, такое отношение: сначала - коллегам из узкого круга форума, а потом уже - репорты-кандидатские.Спасибо, Ильгам.P.S. вот только не увидел фото через 4 мес. - слетело Изменено 3 марта, 2015 пользователем SDC 1 Ссылка на комментарий
ILGAMSA Опубликовано 4 марта, 2015 Автор Поделиться Опубликовано 4 марта, 2015 Вообще, случай любопытный, могли бы кейсрепорт забабахать, а не на сайте светить)Не знаю Вас по имени...Но случаев таких видел достаточно, правда лечение было классическим, как в учебниках - депульпирование всех зубов, экскохлеация, графтинг в полость. Этот кейс Рогацкин Д.В. на лекциях светит)) В работе еще один подобный случай. Пока месяц после "недооперации". Ссылка на комментарий
ILGAMSA Опубликовано 4 марта, 2015 Автор Поделиться Опубликовано 4 марта, 2015 Так и предполагал, что Ильгам уже все сделал, а нас дразнит))Тогда вопрос: все лечение свелось к промыванию этой полости в течеие 2 дней?Да, ПалСаныч. Только к этому. Думаю, что и промывать не стоило. Ссылка на комментарий
ILGAMSA Опубликовано 4 марта, 2015 Автор Поделиться Опубликовано 4 марта, 2015 А я ЗА, такое отношение: сначала - коллегам из узкого круга форума, а потом уже - репорты-кандидатские.Спасибо, Ильгам.P.S. вот только не увидел фото через 4 мес. - слетелоДержи http://s020.radikal.ru/i719/1503/49/ccde0a3c1c7f.jpg 12 Ссылка на комментарий
ПалСаныч Опубликовано 4 марта, 2015 Поделиться Опубликовано 4 марта, 2015 Ильгам, поясни: ты имеешь ввиду, что хватило бы того, что проткнул костную стенку иглой? Или ты бором продырявил и потом зашил? Ссылка на комментарий
Maxfac Опубликовано 4 марта, 2015 Поделиться Опубликовано 4 марта, 2015 правда лечение было классическим, как в учебниках - депульпирование всех зубов, экскохлеацияТак в этом-то и фишка вашего случая - в том, что и без депульпирования, и без экскохлеации. Но это дело ваше, где выкладывать. Вообще, тема одонтогенных опухолей и кист очень интересна. Недавно была защищена кандидатская, автор которой предложил не меньше шести (не уверен на счёт точного числа. Может, и восьми) видов амелобластом, имеющих разный характер течения, прогнозы и тд, а также несколько тактик лечения. Посыл такой, что до гистологической верификации вообще ничего нельзя предпринимать. А в некоторых случаях можно обойтись менее инвазивный тактикой, чем классическая резекция "с запасом". Я прекрасно понимаю всю условность российской науки, но чем меньше будет желающих махать шашкой без разбора, тем лучше. 5 Ссылка на комментарий
ILGAMSA Опубликовано 5 марта, 2015 Автор Поделиться Опубликовано 5 марта, 2015 Ильгам, поясни: ты имеешь ввиду, что хватило бы того, что проткнул костную стенку иглой? Или ты бором продырявил и потом зашил?Думаю да.Проткнул стенку, под давлением брызнуло содержимое. Промыл, поставил катетер. В последующие два дня по катетеру не выходило ничего. Ссылка на комментарий
Малик Опубликовано 5 марта, 2015 Поделиться Опубликовано 5 марта, 2015 Думаю да.Проткнул стенку, под давлением брызнуло содержимое. Промыл, поставил катетер. В последующие два дня по катетеру не выходило ничего.Ильгам,а какова тактика при декомпрессии радикулярных кист? насколько оставляете катетер? Ссылка на комментарий
ILGAMSA Опубликовано 5 марта, 2015 Автор Поделиться Опубликовано 5 марта, 2015 В лечении радикулярных кист важна в первую очередь эндодонтия. Остальное не так важно. 4 Ссылка на комментарий
als00 Опубликовано 9 марта, 2015 Поделиться Опубликовано 9 марта, 2015 спасибо! Ссылка на комментарий
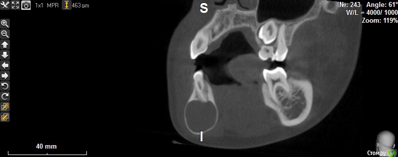
als00 Опубликовано 10 марта, 2015 Поделиться Опубликовано 10 марта, 2015 как считаете,то же? девочка Ссылка на комментарий
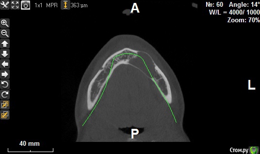
ILGAMSA Опубликовано 11 марта, 2015 Автор Поделиться Опубликовано 11 марта, 2015 Нет, это совсем другое.похоже на опухоль.Деформация челюсти, экзофитный рост. 1 Ссылка на комментарий
ПалСаныч Опубликовано 14 марта, 2015 Поделиться Опубликовано 14 марта, 2015 Я б сделал так: толстой иглой от капельницы пропунктировал бы. Если жидкость, то на цитологию-если ответ киста, то считай методом Ильгама уже сделал ( продырявил, откачал). Если жидкости не получил, то гарпунной биопсийной иглой получить материал и на гистологию. А там по результатам. 1 Ссылка на комментарий
ПалСаныч Опубликовано 14 марта, 2015 Поделиться Опубликовано 14 марта, 2015 Ильгам, и все же, в чем отличие от вашего случая? Что Вы имели ввиду под экзофитным ростом? А деформация челюсти может от того, что киста давно растет? Да и зубы сдвинула.... Ссылка на комментарий
als00 Опубликовано 14 марта, 2015 Поделиться Опубликовано 14 марта, 2015 На самом деле пациентку не видел. Показали только снимок. Отправили в ЧЛХ. Ссылка на комментарий
ILGAMSA Опубликовано 15 марта, 2015 Автор Поделиться Опубликовано 15 марта, 2015 Ильгам, и все же, в чем отличие от вашего случая? Что Вы имели ввиду под экзофитным ростом? А деформация челюсти может от того, что киста давно растет? Да и зубы сдвинула....В моем случае кость не деформирована вовсе.В случае als00 очевидна разница. Киста не сдвигает корни зубов, если только это не глобуло-максиллярная (фиссуральная) киста. Ссылка на комментарий
Рекомендуемые сообщения
Для публикации сообщений создайте учётную запись или авторизуйтесь
Вы должны быть пользователем, чтобы оставить комментарий
Создать аккаунт
Зарегистрируйте новый аккаунт в нашем сообществе. Это очень просто!
Регистрация нового пользователяВойти
Уже есть аккаунт? Войти в систему.
Войти