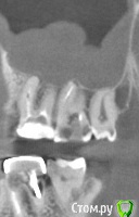
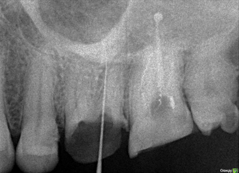
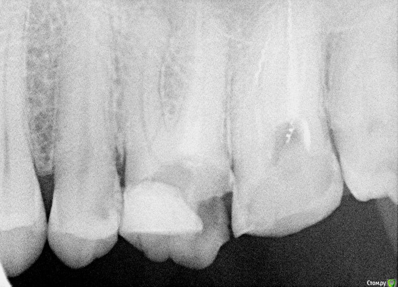
krokomot Опубликовано 24 февраля, 2015 Поделиться Опубликовано 24 февраля, 2015 Пациент решил подлечиться. Выявились проблемы с ранее лечеными по поводу осложненного кариеса зубами.Вот снимки зубов, конкретнее, зуба 2.7 содержащего во всех каналах инородные тела).(2.6 проходит ретритмент), но есть и КТ на нем в области фуркации 2.7 стенка менее 0,5 мм.Имеются признаки одонтогенного синусита (Ренгенологические) клинических нет. Вот вопрос кто-нибудь взлся бы детать ретритмент такого особенного зуба? Ссылка на комментарий
diesel87 Опубликовано 24 февраля, 2015 Поделиться Опубликовано 24 февраля, 2015 А жалобы есть? Ссылка на комментарий
M@estro Опубликовано 25 февраля, 2015 Поделиться Опубликовано 25 февраля, 2015 Тканей достаточно, я бы взялся 3 Ссылка на комментарий
Чертков Александр Опубликовано 25 февраля, 2015 Поделиться Опубликовано 25 февраля, 2015 Тканей достаточно, я бы взялсяЯ бы тоже. Ссылка на комментарий
krokomot Опубликовано 25 февраля, 2015 Автор Поделиться Опубликовано 25 февраля, 2015 А вас не смущает выведение материала за верхушку и формирование вокркг него гранулемы? Ссылка на комментарий
krokomot Опубликовано 25 февраля, 2015 Автор Поделиться Опубликовано 25 февраля, 2015 А жалобы есть?Жалоб нет Ссылка на комментарий
DmitrySH Опубликовано 25 февраля, 2015 Поделиться Опубликовано 25 февраля, 2015 Нет, материал не смущает. Гранулему можно только предположить, как-то не четко все в периапексе Ссылка на комментарий
krokomot Опубликовано 25 февраля, 2015 Автор Поделиться Опубликовано 25 февраля, 2015 Нет, материал не смущает. Гранулему можно только предположить, как-то не четко все в периапексеточно есть постараюсь добавить фото с кт Ссылка на комментарий
orthophil Опубликовано 25 февраля, 2015 Поделиться Опубликовано 25 февраля, 2015 Каналонаполнители/ lentulo в силере да еще и в верхней половине. Работать можно. Ссылка на комментарий
krokomot Опубликовано 26 февраля, 2015 Автор Поделиться Опубликовано 26 февраля, 2015 Дополняю снимками с КТ зуб с каналонаполнителями Ссылка на комментарий
Гарриевич Опубликовано 27 февраля, 2015 Поделиться Опубликовано 27 февраля, 2015 там же каналонаполнители, а не какиенить сотый профайлы мне такой зуб кажется очень ретрибельныма если в каналх будет чисто, организм скорее всего сам справится с тем, что за его пределами Ссылка на комментарий
Рекомендуемые сообщения
Для публикации сообщений создайте учётную запись или авторизуйтесь
Вы должны быть пользователем, чтобы оставить комментарий
Создать аккаунт
Зарегистрируйте новый аккаунт в нашем сообществе. Это очень просто!
Регистрация нового пользователяВойти
Уже есть аккаунт? Войти в систему.
Войти