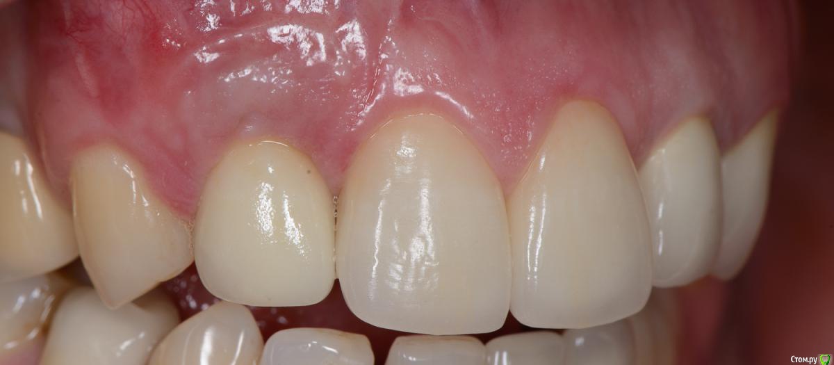
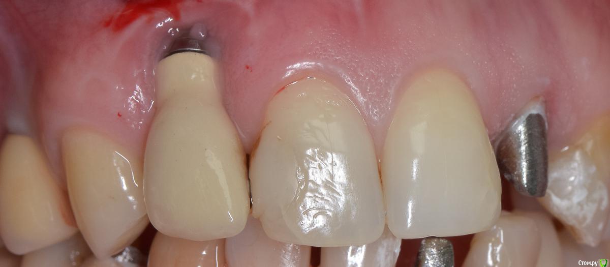
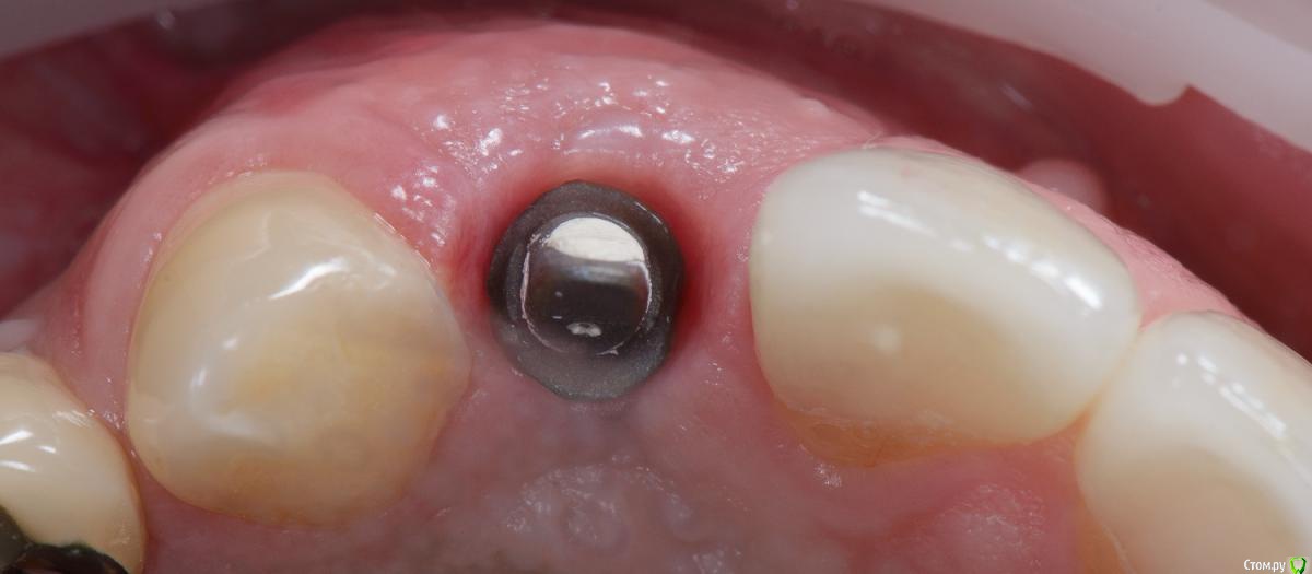
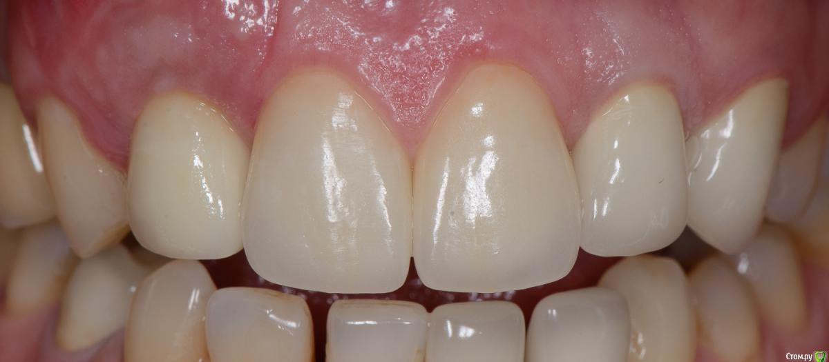
Популярный пост artemov Опубликовано 18 февраля, 2015 Популярный пост Поделиться Опубликовано 18 февраля, 2015 Пациентка обратилась с жалобой на неудовлетворительный внешний вид коронки на имплантате 12, установленной около 5 лет назад. Было сделало: 1 этап: удаление имплантата (пришлось слегка выпилить, был интегрирован), пластика десны ротированным лоскутом по Скляру. 2 этап (нет фотографий, батарейки сели): установка имплантата Ankylos одномоментно с НКР (сосидж по Урбану), поверх ССТ с бугра. 3 этап: минимально-инвазивное раскрытие имплантата, зауженный формирователь. 4 этап: м/к коронка на имплантат 12, пара виниров и коронок на соседних. Стандартный абатмент Ankylos. 58 Ссылка на комментарий
red_butler Опубликовано 18 февраля, 2015 Поделиться Опубликовано 18 февраля, 2015 мне понравилось 4 Ссылка на комментарий
ILGAMSA Опубликовано 18 февраля, 2015 Поделиться Опубликовано 18 февраля, 2015 Красавец! 5 Ссылка на комментарий
АнтонТЛТ Опубликовано 18 февраля, 2015 Поделиться Опубликовано 18 февраля, 2015 Супер 2 Ссылка на комментарий
stommm Опубликовано 18 февраля, 2015 Поделиться Опубликовано 18 февраля, 2015 Очень здорово! Как Вы считаете, что привело к такому состоянию: высокая позиция платформы импланта, макродизайн импланта, керамика под десной...? Ссылка на комментарий
johniola Опубликовано 18 февраля, 2015 Поделиться Опубликовано 18 февраля, 2015 Красавчик,опупительная работа 1 Ссылка на комментарий
Dantist55 Опубликовано 18 февраля, 2015 Поделиться Опубликовано 18 февраля, 2015 Красиво!!! Ссылка на комментарий
syrovovec Опубликовано 18 февраля, 2015 Поделиться Опубликовано 18 февраля, 2015 Сколько времени прошло от первого до третьего этапа? Ссылка на комментарий
Magomed Опубликовано 18 февраля, 2015 Поделиться Опубликовано 18 февраля, 2015 уровень Ссылка на комментарий
Maxfac Опубликовано 18 февраля, 2015 Поделиться Опубликовано 18 февраля, 2015 +1 С любовью сделано. 1 Ссылка на комментарий
meznik Опубликовано 18 февраля, 2015 Поделиться Опубликовано 18 февраля, 2015 Сколько времени выжидали между этапами? Ссылка на комментарий
Чертков Александр Опубликовано 18 февраля, 2015 Поделиться Опубликовано 18 февраля, 2015 Очень понравилось! Справа синуслифт был? 1 Ссылка на комментарий
Mane Опубликовано 18 февраля, 2015 Поделиться Опубликовано 18 февраля, 2015 здорово! Ссылка на комментарий
Фарид Расулыч Опубликовано 18 февраля, 2015 Поделиться Опубликовано 18 февраля, 2015 Крутотень!!!! 1 Ссылка на комментарий
SDC Опубликовано 18 февраля, 2015 Поделиться Опубликовано 18 февраля, 2015 По мягким тканям великолепно. Если бы сделали безметалл. Абатмент и коронку, то было бы еще много+++.Что было временной конструкцией? Ссылка на комментарий
carloss Опубликовано 18 февраля, 2015 Поделиться Опубликовано 18 февраля, 2015 да и с такими абатментами, не стоит шахту закрывать так плотно - излишкам цемента некуда будет уйти, и они окажутся там, где не надо)) хирургия красивая! 1 Ссылка на комментарий
artemov Опубликовано 18 февраля, 2015 Автор Поделиться Опубликовано 18 февраля, 2015 Спасибо, коллеги! Ссылка на комментарий
artemov Опубликовано 18 февраля, 2015 Автор Поделиться Опубликовано 18 февраля, 2015 Очень здорово! Как Вы считаете, что привело к такому состоянию: высокая позиция платформы импланта, макродизайн импланта, керамика под десной...?Я думаю, что причина - глубокое вестибулярное позиционирование имплантата одномоментно с удалением зуба 12, со временем десна и ушла. 2 Ссылка на комментарий
artemov Опубликовано 18 февраля, 2015 Автор Поделиться Опубликовано 18 февраля, 2015 По мягким тканям великолепно. Если бы сделали безметалл. Абатмент и коронку, то было бы еще много+++.Что было временной конструкцией?В качестве временной конструкции использовался адгезивный мостовидный протез. Не сломался ни разу, на радость мне и пациентке :-) Ссылка на комментарий
artemov Опубликовано 18 февраля, 2015 Автор Поделиться Опубликовано 18 февраля, 2015 (изменено) Сколько времени выжидали между этапами?После удаления - 3 месяца, после имплантации с НКР - 6 месяцев. С момента раскрытия, до установки окончательной реставрации - 2 недели. Сроки сжатые, пациентка прилетала на небольшие промежутки времени. Изменено 18 февраля, 2015 пользователем artemov Ссылка на комментарий
Bier Опубликовано 18 февраля, 2015 Поделиться Опубликовано 18 февраля, 2015 Отличная работа! Ссылка на комментарий
M@estro Опубликовано 18 февраля, 2015 Поделиться Опубликовано 18 февраля, 2015 2 этап (нет фотографий, батарейки сели): установка имплантата Ankylos одномоментно с НКР (сосидж по Урбану), поверх ССТ с бугра. Эх .. Всё супер ! Ссылка на комментарий
rivezico Опубликовано 18 февраля, 2015 Поделиться Опубликовано 18 февраля, 2015 (изменено) топикстартеру: http://files.sharenator.com/21540.jpg Изменено 18 февраля, 2015 пользователем rivezico Ссылка на комментарий
Rafael_Gogyan Опубликовано 19 февраля, 2015 Поделиться Опубликовано 19 февраля, 2015 все отлично.но думаю, можно было обойтись без вертикальных разрезов. рубцы все таки остались. там был вертикальный разрез в области другой раны, можно было рану в области 12 включить в этот лоскут и не делать вертикальных Ссылка на комментарий
ILGAMSA Опубликовано 19 февраля, 2015 Поделиться Опубликовано 19 февраля, 2015 Вот, как Артем выложил эту работу, я сразу подумал: Работа и результат отличные! Но все равно будут два замечания - наличие вертикальных разрезов и стандартного абатмента)))И в том, и в этом случае не было нарушения протокола или врачебной ошибки. Вертикальные разрезы многие мировые менторы делают ежедневно и не считают, что надо что-то менять.Установка стандартного абатмента это сейчас моветон?На мой взгляд, не нужно придираться и искать мелкие недочеты. На форумах и ФБ планка эстетики задрана выше некуда. Все к ней стремятся, а многие коллеги не выставляют обычные кейсы, боясь критики. 19 Ссылка на комментарий
Рекомендуемые сообщения
Для публикации сообщений создайте учётную запись или авторизуйтесь
Вы должны быть пользователем, чтобы оставить комментарий
Создать аккаунт
Зарегистрируйте новый аккаунт в нашем сообществе. Это очень просто!
Регистрация нового пользователяВойти
Уже есть аккаунт? Войти в систему.
Войти