G1234 Опубликовано 17 февраля, 2015 Поделиться Опубликовано 17 февраля, 2015 Зуб 16 лечили лет 30 назад, недавно на корне обнаружена киста диаметром 7-8 мм, пока не беспокоит, но лечить надо. Врач-немец (сейчас в Германии и в Россию только через полгода) предложил попробовать открыть канал, выпустить содержимое, промыть (забыл чем) и понаблюдать развитие кисты.Если не получится - удалять, т.к. чистить кисту из полости рта - надо окно в костях делать, при этом гарантии, что киста уйдет нет, а имплантат потом ставить будет некуда. Вроде разумно. Но при распломбировании начались проблемы - заполнение канала очень твердое (сделали в 80х качественно, врач даже преположил сначала что там штырь металлический). Сейчас заложил размягчитель на недельку.Судя по всему с такими зубами раньше дела не имел, а все упирается в удастся или нет распломбировать корневой канал с резорцин-формалином внутри. Нашел в интернете, что данная смесь после застывания превращается в очень твёрдое и одновременно хрупкое (наподобие стекла) вещество, которое не всегда, даже с помощью ультразвука, удаётся полностью извлечь из канала. Что можно было бы ему подсказать? В интернете нашел: - ультразвук, если есть, попробовать- работать под микроскопом Химия:- Endosolvе R (Septodont) предназначен для распломбировки каналов с резорцин-формалином, но многие говорят, что не эффективен. Альтернативы: CRESOPHENE (Septodont) или депофорез (гидроокиси меди-кальция?) или это не то? - специальные боры и методы "... С-pilot или что-то в этом роде, короткий и жесткий. Как просвет нащупается (появится ощущение захвата инструмента), перехожу на обычные ручные файлы, по достижении рабочей длины - как обычно"; "... иногда помогает нащупать и войти SX протейпер в устье ( хотя он и очень гибкий на кончике, но неоднократно помогал), а потом ручные уже..." "... пробую нащупать устья с помощью ультразвука, эндосольв использую тоже.Специально для этих целей покупаю римеры отечественного производства, казанские, они жесткие. С эндосольвом применяю Н-файлы, они немножко цепляют пасту. Но! Если проведена импрегнация смеси с катализатором, то в канале - стекло и глубоко пройти невозможно без риска перфорации. С микроскопом только можно." "... использую Н-файлы для этих случаев (везде конечно написано, что только возвратно-поступательные движения для этого инструмента, т.к при других движениях риск отлома инструмента), но за 3 года ни одного не сломала, аккуратно очень надо только ..." "... Есть достаточно агрессивная техника работы с Н-файлом "1/4 оборота и тянуть". Она предусматривает возможность вращения Н-файла на 1/4 оборота с некоторым апикальным давлением. Описана техника в книге Петрикаса "Пульпэктомия".одно время часто выручали мелкие к-файлы Komet (8,10,15 - лучше не встречал). Крезофен, эффекта эндосольв как-то не наблюдал..." "... Конечно само стекло пробурить не реально, но можно АКУРАТНО вклиниться в пространство между материалом и тканью зуба, после чего - фрагментировать и извлеч остатки материала. Разумеется этого не стоит делать в нижней 1/3 т.к. есть риск возникновения продольного перелома корня... Если корень прямой - алмазный бор наш верный друг.." "... Резорцин-формалин распломбировывается, если изначально был плохо сделан. А если он был сделан с прохождением канала до верхушки, с предварительной импрегнацией, то его можно охарактеризовать как невыковыриваемое вещество. Иногда такие зубы по 30 лет стоят и удаляются, когда пришла пора ... Инструменты тупятся, горят, звук, как железом по стеклу. " "...распломбировываю канал РФМ с помощью Эндосольва для РФМ, иногда приходиться оставлять его на пару дней в канале, распломбировываю ручным инструментом, и машинным, Протейперами, несколько раз распломбировывал протейперами одетыми в механический наконечник, получаеться внаглую, апекс разбиваеться, и есть возможность сломать протейпер в канале! По возможности пройти, неполучаеться - депофорез, тем более если вы прошли на 2/3 (для перестраховки)..." - С-pilot, SX протейпер, ример, Н-файл, к-файл Комет это боры такие? Как врачу-немцу их описать или по названиям сам легко догадаться должен? Ссылка на комментарий
Гарриевич Опубликовано 17 февраля, 2015 Поделиться Опубликовано 17 февраля, 2015 1- нужен снимок2- найдите врача который уже перелечивал подобные зубы (наши иммигранты в Германии) 3 Ссылка на комментарий
red_butler Опубликовано 17 февраля, 2015 Поделиться Опубликовано 17 февраля, 2015 даже читать до конца не стал, буду ждать снимки Ссылка на комментарий
G1234 Опубликовано 18 февраля, 2015 Автор Поделиться Опубликовано 18 февраля, 2015 даже читать до конца не стал, буду ждать снимки Ссылка на комментарий
red_butler Опубликовано 18 февраля, 2015 Поделиться Опубликовано 18 февраля, 2015 требуется повторное лечение корневых каналов, врач должен обладать мануальными навыками и материальной базой, в идеале микроскоп. В Европе зубы леченые резорцин-формалиновой пастой, называют "красными" или "русскими" и как правило удаляют Ссылка на комментарий
G1234 Опубликовано 18 февраля, 2015 Автор Поделиться Опубликовано 18 февраля, 2015 требуется повторное лечение корневых каналов, врач должен обладать мануальными навыками и материальной базой, в идеале микроскоп. В Европе зубы леченые резорцин-формалиновой пастой, называют "красными" или "русскими" и как правило удаляюттак оно и есть: первый врач - удалять, второй (клиника университетская) - резекция, этого нашел через коллег. Он похоже знает что надо делать, но до сих пор не имел дела с "русской" спецификой.Искать бывшего соотечественника сложно - городишко наш небольшой. Ссылка на комментарий
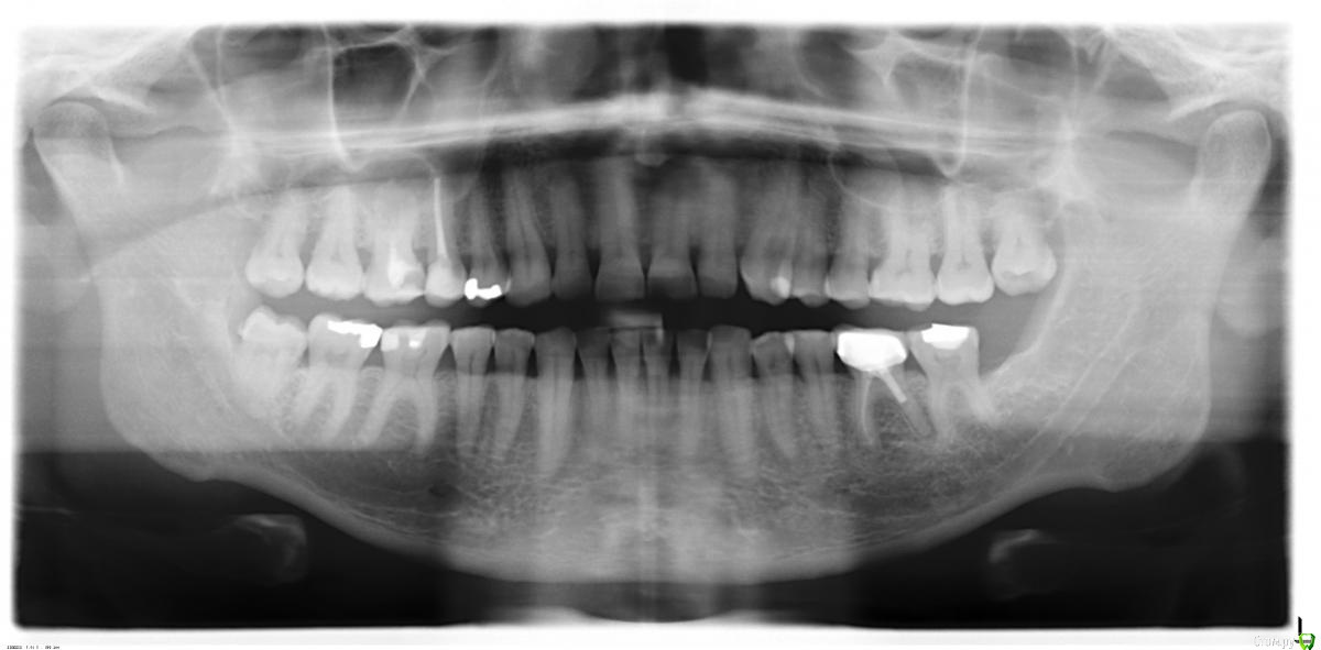
SDC Опубликовано 18 февраля, 2015 Поделиться Опубликовано 18 февраля, 2015 так оно и есть: первый врач - удалять, второй (клиника университетская) - резекция, этого нашел через коллег. Он похоже знает что надо делать, но до сих пор не имел дела с "русской" спецификой.Искать бывшего соотечественника сложно - городишко наш небольшой. Передайте, что если санкции продолжатся, то скоро все "русские зубы" будут такими и держите наготове телефон с открытым инстаграмм - немецкие одонтологи с ума сойдут.А где лечили 15 зуб и 36?На дистальном корне 36 тоже проблемка есть. Вы немецким коллегам подскажите, что небный (палатинальный) канал прямой и пройти его на 1/2 может студент в России.В области верхушек вестибулярных/щечных корней вроде бы нет воспаления в периодонте.Немец из университесткой не может пройти прямой канал, но рекомендует апико небного корня? (это можно сделать только со стороны неба и очень сложно) Ну и в конце концов, не так дорого и в Россию смотаться, особенно, если платят в евро, а все авиакомпании сильно просели в отношении стоимости перелетов. Ссылка на комментарий
DmitrySH Опубликовано 18 февраля, 2015 Поделиться Опубликовано 18 февраля, 2015 На щечных тоже есть, но существенно меньше Ссылка на комментарий
SDC Опубликовано 18 февраля, 2015 Поделиться Опубликовано 18 февраля, 2015 (изменено) На щечных тоже есть, но существенно меньшеА где? Я практически везде вижу периодонтальную щель, зато на небном резорбцию и приличную деструкцию кости. Изменено 18 февраля, 2015 пользователем SDC Ссылка на комментарий
DmitrySH Опубликовано 18 февраля, 2015 Поделиться Опубликовано 18 февраля, 2015 Подумав добавлю, что если нет опыта работы с такими зубами - то не надо туда лезть. Процесс давний, не беспокоит. Если не удается осуществить лечение сейчас, оставьте до приезда в Россию. Для нас то такие зубы - обычная рутина. Иначе, скорее всего, кончится удалением Ссылка на комментарий
DmitrySH Опубликовано 18 февраля, 2015 Поделиться Опубликовано 18 февраля, 2015 ...офф топ, что-то в этом браузере цитировать не могу вдруг.. не пойму. Вокруг щечных корней такие небольшие "пузыри". На дистальном чуть больше, примерно 1-1.5 мм вокруг апекса Ссылка на комментарий
SDC Опубликовано 18 февраля, 2015 Поделиться Опубликовано 18 февраля, 2015 ...офф топ, что-то в этом браузере цитировать не могу вдруг.. не пойму. Вокруг щечных корней такие небольшие "пузыри". На дистальном чуть больше, примерно 1-1.5 мм вокруг апексаВ общем, КТ надо смотреть - диагностика будет точнее Ссылка на комментарий
Чертков Александр Опубликовано 19 февраля, 2015 Поделиться Опубликовано 19 февраля, 2015 Для нас то такие зубы - обычная рутина. 1 Ссылка на комментарий
G1234 Опубликовано 19 февраля, 2015 Автор Поделиться Опубликовано 19 февраля, 2015 В общем, КТ надо смотреть - диагностика будет точнееА как и куда КТ файлы выложить? Был сегодня у врача. когда упомянул про гипохлори́т на́трия (NaOCl), про который нашел сегодня утром, что он хорошо растворяет резорцин-формалин (Russian Red), тот с радостью согласился, т.к. препарат ему хорошо знаком.Меня смущает только, что он решил его (5%) в зубе аж на целых три недели оставить. Обычно речь идет вроде о нескольких днях максимум. В одном дипломе образцы в 5-6 г растворялись полностью за 12-24 часов. Конечно кислоты в зубе врядли хватить все полностью растворить. И смех и грех - в конце визита выяснилось, что он КТ не посмотрел, т.к. подумал, что и на диске и на флешке, что я ему дал, одно и тоже. Диск с КТ ему отдал, надеюсь посмотрит на досуге, но скорее всего только в следующий раз. Ссылка на комментарий
Гарриевич Опубликовано 19 февраля, 2015 Поделиться Опубликовано 19 февраля, 2015 веселые немцы народ однако 1 Ссылка на комментарий
SDC Опубликовано 19 февраля, 2015 Поделиться Опубликовано 19 февраля, 2015 веселые немцы народ однако Не сильно отличаются))) , у нас даже веселее. 1 Ссылка на комментарий
SDC Опубликовано 19 февраля, 2015 Поделиться Опубликовано 19 февраля, 2015 А как и куда КТ файлы выложить? Был сегодня у врача. когда упомянул про гипохлори́т на́трия (NaOCl), про который нашел сегодня утром, что он хорошо растворяет резорцин-формалин (Russian Red), тот с радостью согласился, т.к. препарат ему хорошо знаком.Меня смущает только, что он решил его (5%) в зубе аж на целых три недели оставить. Обычно речь идет вроде о нескольких днях максимум. В одном дипломе образцы в 5-6 г растворялись полностью за 12-24 часов. Конечно кислоты в зубе врядли хватить все полностью растворить. И смех и грех - в конце визита выяснилось, что он КТ не посмотрел, т.к. подумал, что и на диске и на флешке, что я ему дал, одно и тоже. Диск с КТ ему отдал, надеюсь посмотрит на досуге, но скорее всего только в следующий раз. Дайте ссылку на эту дипломную работу, плз.в каналах гипохлорит инактивируется достаточно быстро, интересно посмотреть на материалы и методы исследования.загрузите зипованное кт на облако и дайте ссылку на скачивание.научите, как Вы ставите ударения над буквами?)) 1 Ссылка на комментарий
Гарриевич Опубликовано 19 февраля, 2015 Поделиться Опубликовано 19 февраля, 2015 научите, как Вы ставите ударения над буквами?))я думаю что фраза "гипохлори́т на́трия" просто скопирована с википедия) Ссылка на комментарий
red_butler Опубликовано 20 февраля, 2015 Поделиться Опубликовано 20 февраля, 2015 G1234 мне кажется в Вашей ситуации, проще удалить зуб и имплантироваться Ссылка на комментарий
G1234 Опубликовано 20 февраля, 2015 Автор Поделиться Опубликовано 20 февраля, 2015 r´´rr´g я думаю что фраза "гипохлори́т на́трия" просто скопирована с википедия)так оно и было Ссылка на комментарий
G1234 Опубликовано 20 февраля, 2015 Автор Поделиться Опубликовано 20 февраля, 2015 (изменено) Дайте ссылку на эту дипломную работу, плз.в каналах гипохлорит инактивируется достаточно быстро, интересно посмотреть на материалы и методы исследования.загрузите зипованное кт на облако и дайте ссылку на скачивание.диплом: http://digitalcommons.uconn.edu/cgi/viewcontent.cgi?article=1000&context=sodm_mastersесли интересно, что немцы пишут, то есть небольшая, свежая статья 2014 (на немецком): http://www.pontius.de/publikationen/2014_zur%20wirkungsweise_und_revision_von_russian_red.pdf Изменено 20 февраля, 2015 пользователем G1234 Ссылка на комментарий
G1234 Опубликовано 20 февраля, 2015 Автор Поделиться Опубликовано 20 февраля, 2015 G1234 мне кажется в Вашей ситуации, проще удалить зуб и имплантироватьсяпока не беспокоит - скорее всего киста уже по крайней мере годовалая - как-то поболел зуб денек и успокоился, удалить и имплантат поставить всегда успеется. Или может на соседей перекинутся? Ссылка на комментарий
SDC Опубликовано 20 февраля, 2015 Поделиться Опубликовано 20 февраля, 2015 (изменено) пока не беспокоит - скорее всего киста уже по крайней мере годовалая - как-то поболел зуб денек и успокоился, удалить и имплантат поставить всегда успеется. Или может на соседей перекинутся?На соседях не отразится. Насчет годовалой неверно. Процесс в хронической форме идет с тех самых пор, 30 лет назад. Изменено 20 февраля, 2015 пользователем SDC Ссылка на комментарий
Scrabble Опубликовано 20 февраля, 2015 Поделиться Опубликовано 20 февраля, 2015 Я за удаление. Ну зачем Вам такая возня с непрогнозируемым результатом? Процессище там есть, избавляться от него надо. Ссылка на комментарий
red_butler Опубликовано 20 февраля, 2015 Поделиться Опубликовано 20 февраля, 2015 на соседних не отразиться, но такие зубы дают жару в самый не подходящий момент, да и вопрос что уже в верхне-челюстном синусе... как бы потом еще и одонтогенный гайморит не пришлось лечить.как любил говорить руководитель моей интернатуры - "гной в голове - это не хорошо" 1 Ссылка на комментарий
Рекомендуемые сообщения
Для публикации сообщений создайте учётную запись или авторизуйтесь
Вы должны быть пользователем, чтобы оставить комментарий
Создать аккаунт
Зарегистрируйте новый аккаунт в нашем сообществе. Это очень просто!
Регистрация нового пользователяВойти
Уже есть аккаунт? Войти в систему.
Войти