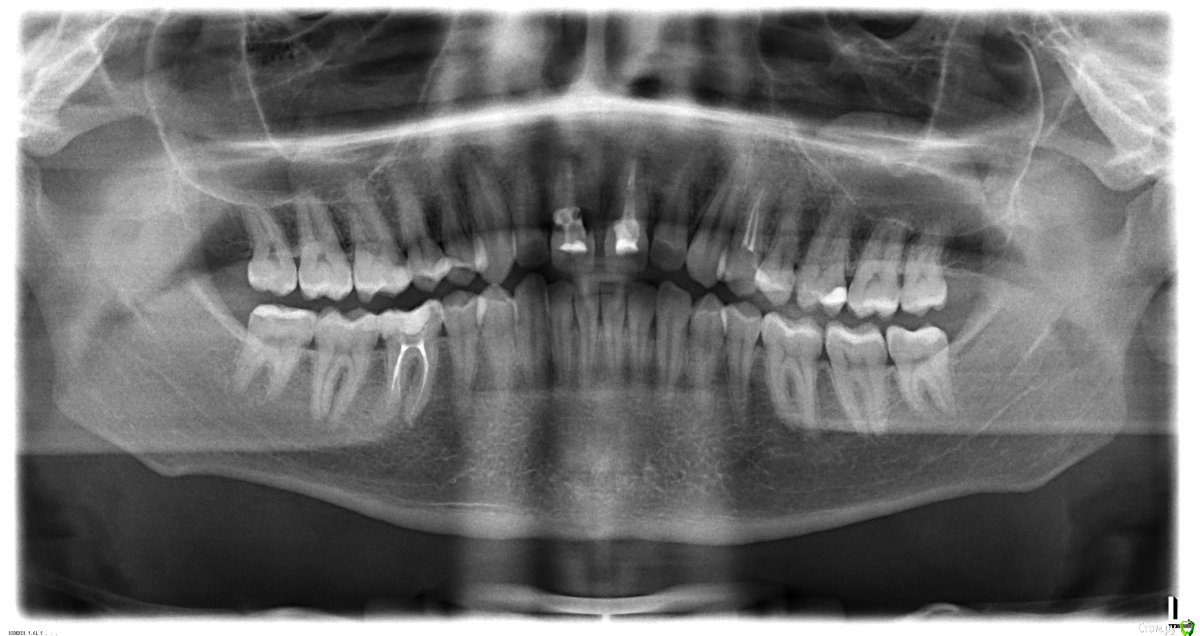
Alex397 Опубликовано 16 февраля, 2015 Поделиться Опубликовано 16 февраля, 2015 Здравствуйте! Подскажите пожалуйста по след. ситуации.Стоматолог сказал что два верхних резца требуют немедленного лечения каналов с последующей установкой коронок на оба зуба. Вопрос следующий: стоит ли устанавливать коронку на левый резец после лечения канала? Стоматолог аргументирует это тем, что это не зуб, а скорлупа и что он в любой момент может под основание отколоться и что потом спасти будет нельзя. Как вы считаете, есть ли такая необходимость? Ссылка на комментарий
SDC Опубликовано 16 февраля, 2015 Поделиться Опубликовано 16 февраля, 2015 На левый центральный резец может быть и стоит сделать коронку, но это второстепенный вопрос.Первично стоит рассмотреть вопрос удаления правого центрального резца с замещением имплантатом и коронкой по причине наружной резорбции/кариеса корня 11 зуба 4 Ссылка на комментарий
red_butler Опубликовано 17 февраля, 2015 Поделиться Опубликовано 17 февраля, 2015 делайте Кт, заодно посмотрим верхнечелюстные синусы 1 Ссылка на комментарий
Рекомендуемые сообщения
Для публикации сообщений создайте учётную запись или авторизуйтесь
Вы должны быть пользователем, чтобы оставить комментарий
Создать аккаунт
Зарегистрируйте новый аккаунт в нашем сообществе. Это очень просто!
Регистрация нового пользователяВойти
Уже есть аккаунт? Войти в систему.
Войти